所屬科目:胸腔科
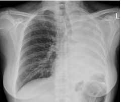
3. 66歲婦人因咳血和呼吸困難求診,胸部X光如圖,請問下列何者對診斷最有助益? (A) 抽動脈血氣體分析 (B) 做胸腔穿刺抽水檢查 (C) 做痰檢查細菌與癌細胞 (D) 做支氣管鏡檢查 (E) 做核醫肺部掃瞄
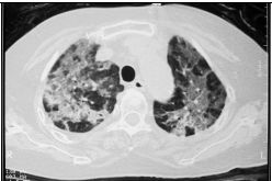
4. 60歲B細胞淋巴瘤病人,化療中出現發燒、乾咳和喘,其胸部電腦斷層如圖,下列何種感染最可能? (A) Pneumocystis jirovecii (B) Hemophilus influenzae (C) Nontuberculosis Mycobacterium (D) Cryptococcus neoformans (E) Pseudomonas aeruginosa
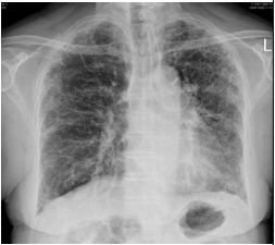
8. 68歲男性主訴慢性咳和喘,胸部X光如圖,下列何種影像檢查最有助於診斷? (A) 胸部磁振造影(MRI) (B) 超音波掃描 (C) 注射顯影劑之胸部電腦斷層 (D) 高解析度之胸部電腦斷層 (E) 正子電腦斷層(PET-CT)
9. 下列有關心臟衰竭引起肺水腫導致呼吸衰竭之敘述,何者正確? 1.常有換氣-灌注(V/Q)不配合 2.常合併dead space增加 3. 通常PaCO2明顯昇高 4.常有肺內分流(shunt) (A) 1+2 (B) 1+4 (C) 2+3 (D) 2+4 (E) 3+4
11. 下列有關咳嗽之敘述,何者正確? 1.服用血管緊縮素轉化酵素抑制劑(ACEI)引起的咳嗽常在服用滿6個月才出現 2.如果懷疑是肺癌引起,應做高解析度胸部電腦斷層 3.穩定的慢性支氣管炎病人,不宜服用止咳藥 4.所謂 "cough syncope" 是因心臟輸出量減少所致 (A) 1+2 (B) 1+3 (C) 2+3 (D) 2+4 (E) 3+4
12. 下列關於MDR-TB的敘述哪一個不正確? (A) MDR-TB指至少對Isoniazid及Rifampicin具抗藥性的患者 (B) MDR-TB的病患以一開始即感染具抗藥性的菌株為最常見的原因 (C) 至少需使用4種有效的藥物治療18個月以上,且需會診具治療多重抗藥結核有經驗的醫師 (D) 病患不規則服藥、服藥期間不足即自行停藥是造成MDR-TB的原因之一 (E) Isoniazid預防性治療不適用於MDR-TB病人之親密接觸者