所屬科目:胸腔科
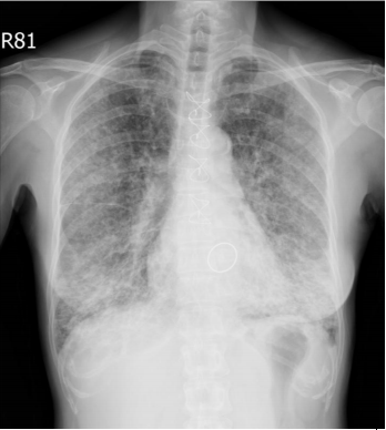
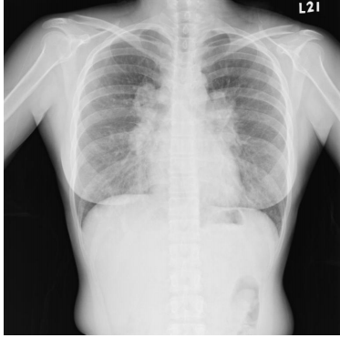
10. 35歲年輕女性,因健檢照了一張胸部X光,如下圖所示,此外,患者在小腿上有皮膚病兆,經診斷為結節性紅斑(erythema nodosum),請問下列哪些敘述正確 1. 需要轉介眼科醫師進行眼睛的評估 2. 該疾病的分期需要進一步使用電腦斷層進行分期 3. 所有患者均需接受治療 4. 該疾病容易造成多重器官侵犯 5. 所有患者的診斷均需要病理切片的檢查 (A) 1+3+4+5 (B) 1+2+4 (C) 1+4 (D) 2+3 (E) 2+4+5
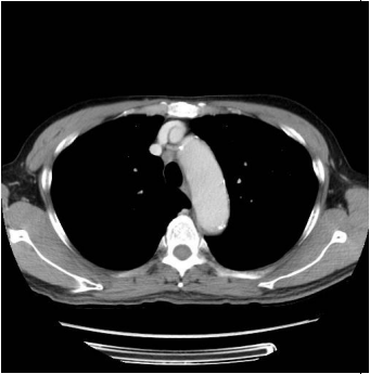
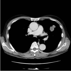
12. 71歲男性病人因為咳嗽三周,胸部X光意外發現左肺有陰影。電腦斷層檢查顯示(如圖示)左下葉有一顆腫瘤及右氣管前有一顆1公分淋巴結,頭部電腦斷層及骨骼掃描皆無異常。請問接下來的檢查何者最有效率,可以在最短的時間得到治療所需要的資訊? (A) 先做電腦斷層接片檢查確認為惡性後,再做正子斷層造影,淋巴結有異常再做縱膈腔鏡淋巴取樣。 (B) 先做電腦斷層接片檢查確認為惡性後,再做正子斷層造影,淋巴結有異常再做支氣管超音波經氣管淋巴結抽吸。 (C) 先做支氣管超音波周邊腫瘤切片,再做正子斷層造影。淋巴結有異常再做支氣管超音波經氣管淋巴結抽吸。 (D) 先做支氣管超音波經氣管淋巴結抽吸,確認為惡性腫瘤,如果為良性同時做支氣管超音波周邊腫瘤切片後,再考慮正子斷層造影。 (E) 先做正子斷層造影,確認無其他轉移再做電腦斷層切片檢查。
17. 63歲女性病人因風濕性心臟病換過二尖瓣瓣膜,心律不整長期使用藥物。因為喘的情形加劇,CXR及電腦斷層如圖示,下列何者為是? (A) 為典型的 Interstitial Lung Disease,可以是idiopathic pulmonary fibrosis。 (B) 肺部有許多小點,Miliary TB無法排除。 (C) X光及電腦斷層有許多的線條,可以是kerley line 應為肺水腫。 (D) 無顯影劑肝臟卻明顯較亮要考慮Amiodarone 造成的 Interstitial Lung Disease。 (E) 有許多的點跟線,應考慮肺癌合併 lymphangitis carcinomatosis。
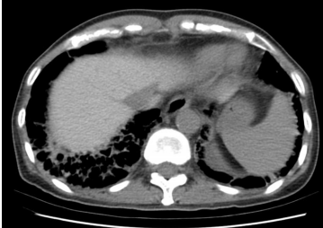
19. 57歲油漆工因胸悶來醫院就診,心臟相關檢查無問題,CXR如圖,仔細詢問過去的職業,曾在拆船廠工作十多年,其他器官並無轉移的跡象。下列何者為非? (A) 最有可能的診斷是肺腺癌。 (B) 偏光顯微鏡可以看到組織切片內的結晶。 (C) 免疫組織染色TTF-1 應為 Negative。 (D) 可以考慮外科切除。 (E) 第一線的化學治療為愛寧達(pemetrexed)加鉑金。