所屬科目:胸腔科
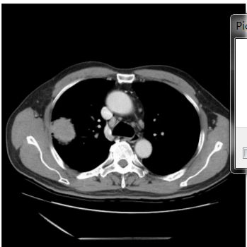
18. 67歲男性,過去無抽菸史,此次因發燒數日至門診就醫,胸部X光顯示右上肺實質化陰影,投予抗生素治療後無明顯變化,故安排胸部電腦斷層檢查(如圖),經支氣管鏡切片病理發現為肺腺癌。後來安排全身正子掃描以及腦部核磁共振,發現右上肺腫瘤的SUVmax為4.5,右下氣管旁淋巴結的SUVmax為2.7,此外無其他病灶。請問下一步最適當的處置為何? (A) 檢驗EGFR基因是否有突變 (B) 縱膈腔淋巴結切片病理檢查 (C) 手術切除 (D) 化學治療 (E) 同步性化學及放射線治療