所屬科目:胸腔科
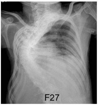
1. 女性21歲,未吸煙,主訴長期呼吸困難。胸部X光如圖。 可預期會出現下列肺部異常,何者除外? (A) 侷限性肺部疾病 (B) 肺泡換氣低下 (hypoventilation) (C) 阻塞性肺部疾病 (D) 換氣-灌注 (V-Q) 異常 (E) 肺動脈高壓症
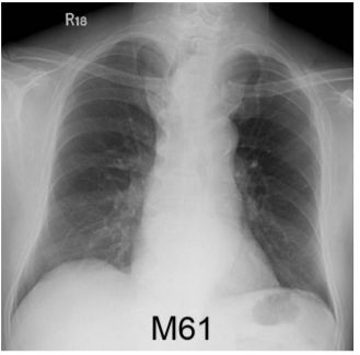
4. 男性,61歲,有吸煙史,主訴咳嗽和喘,胸部X光如圖,下列何種診斷最可能? (A) 鱗狀細胞肺癌 (B) 小細胞肺癌 (C) 淋巴瘤 (D) 主動脈瘤 (E) 甲狀腺腫
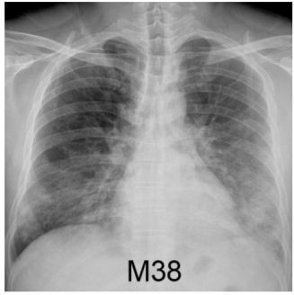
6. 男性38歲,有吸煙史,因發燒、咳、喘來急診,胸部X光如圖1,隔天喘加劇、胸部X光如圖2,其最可能診斷為何? (A) 流感肺炎 (B) 葡萄球菌肺炎 (C) 綠膿桿菌肺炎 (D) 克雷白 ( Klebsiella ) 菌肺炎 (E) 退伍軍人症肺炎
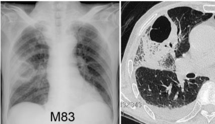
9. 男性,83歲,有吸煙史,因發燒、咳嗽有痰來診,胸部X光和斷層如圖所示,其最可能診斷為何? (A) 空洞性肺癌併阻塞性肺炎 (B) 肺炎併肺膿瘍 ( abscess ) (C) 肺炎併氣囊 ( pneumatocele ) (D) 肺囊腫 ( lung cyst ) 併肺炎 (E) 肺結核