所屬科目:胸腔科
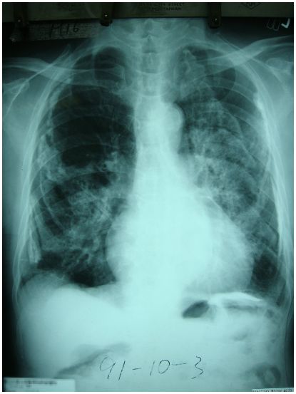
2. 40歲男性因高燒、胸痛和咳嗽來急診,胸部X光如圖所示,胸水中嗜中性白血球數> 1000/uL,抹片可見革蘭氏陰性菌,請問下列處置何者適宜? (A) 當胸水培養出來細菌時,即需插管引流 (B) 當胸水之pH < 7.20時,才需要插入胸管 (chest tube)引流 (C) 應儘早施行 decortication,才可預防發生纖維胸(fibrothorax) (D) 可反覆施行針抽胸水,即可防止出現纖維胸 (E) 應儘快施行胸管(chest tube)引流
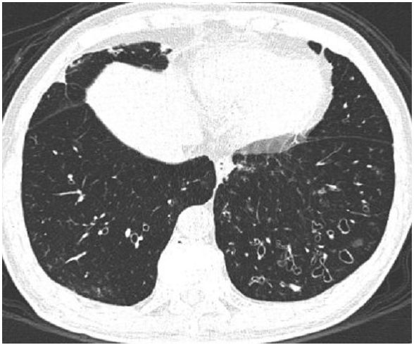
3. 68歲男性主訴多年來咳嗽多痰,胸部電腦斷層掃描如圖所示,下列有關此病人診療之敘述,何者正確? (A) 理學檢查若有喘鳴聲(wheezes),即表示有合併支氣管性氣喘病 (asthma) (B) 痰抹片檢查常顯示很多嗜中性白血球(neutrophils) (C) 此病人之正面胸部X光應呈現正常 (D) 肺功能檢查之主要變化是肺活量(VC)降低 (E) 如果連續三天都出現血痰,就是手術肺葉切除之時機
4. 75歲男性,未曾吸菸,主訴長期呼吸困難,胸部X光如圖所示,下列有關其診療之敘述,何者正確? (A) 可能會呈現慢性換氣不足(hypoventilation) (B) 血中HCO3- 濃度可能會降低 (C) 吸入 anticholinergic 是首選治療藥 (D) 胸部X光顯示是矽肺症 (Silicosis) (E) 肺功能FEV1 / FVC 通常低於0.6