阿摩線上測驗
登入
首頁
>
重症呼吸治療學
> 101年 - 101-2 專技高考_呼吸治療師:重症呼吸治療學#36820
101年 - 101-2 專技高考_呼吸治療師:重症呼吸治療學#36820
科目:
重症呼吸治療學 |
年份:
101年 |
選擇題數:
80 |
申論題數:
0
試卷資訊
所屬科目:
重症呼吸治療學
選擇題 (80)
1.下列有關ARDS病理變化的敘述,何者錯誤? (A)會產生玻璃膜(hyaline membrane) (B)肺泡上皮細胞為主要受傷害的細胞,少見血管內皮細胞受損 (C)可以見到中性白血球浸潤(neutrophilic infiltration) (D)可以看到肺泡內出血(hemorrhage)
2.下列何者不是ARDS常見之呼吸系統機械力學的變化? (A)呼吸道阻抗降低 (B)FRC下降 (C)呼吸系統compliance降低 (D)呼吸道dead space增加
3.下列何者不是造成通透性增加之肺水腫(permeability lung edema)的常見原因? (A)脂肪栓塞(fat emboli) (B)高緯度肺水腫(high altitude lung edema) (C)上呼吸道阻塞(upper airway obstruction) (D)心衰竭(heart failure)
4.急性呼吸窘迫症候群(acute respiratory distress syndrome)病患的肺部生理變化是: (A)肺順應性(compliance)變差 (B)氣道阻力(airway resistance)變大 (C)氧氣瀰漫功能(diffusion)變佳 (D)平衡的通氣/灌流(ventilation/perfusion)
5.ARDS屬於非心因性肺水腫之一,下列何者不是心因性肺水腫的特徵? (A)心臟擴大 (B)肺動脈楔狀壓上升 (C)胸部X光影像顯示周邊浸潤 (D)出現肋膜積液
6.有關急性呼吸窘迫症候群(acute respiratory distress syndrome)之低潮氣容積通氣(low tidal volume ventilation)治療,呼吸器設定潮氣容積之建議,何者錯誤? (A)根據個人之 pressure-volume relation 來設定 (B)呼吸壓力高於 upper inflection point(UIP)會導致肺部過度擴張(over distension) (C)呼吸壓力低於 lower inflection point(LIP)會導致肺泡動態性塌陷 (dynamic collapse) (D)最適當的吐氣末陽壓「optimal positive end-expiratory pressure(PEEP)」應大於 upper inflection point(UIP)
7.一位 60 歲男性,體重 50 公斤,因急性呼吸衰竭,予以氣管內管插管,並給予呼吸器支持;在加 護病房之胸部 X 光顯示兩側肺部浸潤,呼吸器設定 FiO
2
: 80% 下,PaO
2
為 60 mm Hg,吐氣末 陽壓(PEEP):15 cm H
2
O,平均呼吸道壓力(mean airway pressure):45 cm H
2
O,護士突 然發現病患發紺(cyanosis)、呼吸器顯示呼吸道壓力升高,以下為醫師應考慮之最可能狀況為 何? (A)敗血症(sepsis) (B)脂肪拴塞(fat embolism) (C)張力性氣胸(tension pneumothorax) (D)肺出血(pulmonary hemorrhage)
8. 一位 60 歲男性,體重50 公斤,因急性呼吸窘迫症候群(acute respiratory distress syndrome),在加護病房予以氣管內管插管,並給予呼吸器支持;下圖為病患之壓力容積曲線 (pressure-volume curve),呼吸器設定潮氣容積時,應建議壓力維持在那個區間?
(A)A - B點之間 (B)B - C點之間 (C)C - D點之間 (D)A - D點之間
9.下列敘述為導致急性呼吸窘迫症候群(acute respiratory distress syndrome)相關之誘發因素, 何者之死亡率最高? (A)多重輸血(multiple transfusions) (B)肺挫傷(pulmonary contusion) (C)酮酸中毒(diabetic ketoacidosis) (D)敗血症候群(sepsis syndrome)
10.有關輸血相關急性肺損傷(transfusion-associated acute lung injury),下列敘述何者錯誤? (A)一般在輸血時或輸血後數小時內發生 (B)發燒、低血壓、呼吸困難為常見症狀 (C)一定會產生肺水腫(hydrostatic pulmonary edema) (D)一般在一星期內緩解
11.下列有關輸血相關急性肺損傷(transfusion-associated acute lung injury)之敘述,何者錯誤? (A)發生之機率約 0.02% (B)嗜中性白血球(neutrophils)導致之肺損傷 (C)發燒為常見之症狀 (D)死亡率極高,通常大於 10%
12.急性呼吸窘迫症候群(acute respiratory distress syndrome, ARDS)與心臟衰竭(congestive heart failure, CHF)的胸部X光片比較,何者錯誤? (A)CHF 常見心臟肥大(cardiomegaly)、肺門周圍浸潤(perihilar infiltrates)、和肋膜腔積液 (pleural effusions) (B)ARDS 常見周邊肺泡浸潤(peripheral alveolar infiltrates)和 air bronchograms (C)ARDS 少見心臟肥大和肋膜腔積液 (D)在 ICU,胸腔X光可以清楚分辨 ARDS 和 CHF 的患者
13.急性呼吸窘迫症候群(acute respiratory distress syndrome, ARDS)的臨床特徵,下列何者錯 誤? (A)呼吸急促(tachypnea) (B)胸腔X光顯示兩側肺浸潤(pulmonary infiltrates) (C)低血氧症(hypoxemia) (D)高二氧化碳血症(hypercapnia)
14.以肺動脈導管(pulmonary artery catheters, PACs)來導引急性肺損傷(acute lung injury, ALI) 的治療,下列敘述何者正確? (A)可以降低死亡率 (B)可以減少 ICU 住院天數 (C)對整個液體平衡(fluid balance)可能有幫助 (D)在急性肺損傷(acute lung injury, ALI)的治療上,需常規使用 PACs
15.下列何者不是深部靜脈血栓的危險因子? (A)長期臥床 (B)第四期大腸直腸癌 (C)接受白內障手術 (D)服用避孕藥
16.氣喘病人合併下列那些情形,使用白三烯素受體拮抗劑無法獲得改善? (A)運動誘發性氣喘 (B)阿司匹靈敏感氣喘 (C)過敏性鼻炎 (D)胃食道逆流
17.ABG動脈血液氣體濃度在氣喘之診斷及評估方面,下列敘述何者錯誤? (A)ABG在氣喘發作時不可能正常 (B)輕度氣喘時,PaO
2
正常,PaCO
2
下降,pH增加 (C)中度氣喘發作時,PaO
2
開始下降 (D)嚴重氣喘發作時,PaO
2
降,PaCO
2
正常或下降,pH值正常或增加
18.Cromolyn/nedocromil sodium在氣喘治療上,下列敘述何者錯誤? (A)在成人可防止cough-variant或exercise induced asthma (B)在小孩可防止atopic (allergic) asthma (C)在急性發作時也有其效果 (D)可用於過敏性鼻炎
19.陳先生68歲過去是老菸槍,二年前診斷成人慢性阻塞性肺疾,FEV
1
= 45% predicted value, FEV
1
/FVC=48%,運動性喘,使用吸入性乙醯膽鹼治療,一天爬二樓突然覺得胸口劇烈疼痛,全 身冒冷汗,緊急使用短效氣管擴張劑仍無法緩解,約經20分鐘後其胸痛才慢慢緩解,下列那些是 合適的處理?①應至心臟科評估冠狀動脈功能 ②應儘量減少日常活動,以防症狀加重 ③應加 重吸入性長效擴張劑劑量,減少呼吸道收縮 ④可考慮抽動脈血或夜間睡眠檢查,評估有無 PaCO
2
過高或夜間睡眠時PaO
2
缺氧 (A)①④ (B)①② (C)②③ (D)③④
20.成人慢性阻塞性肺疾(COPD)患者急性發作,引起呼吸衰竭,使用呼吸器時,下列敘述何者錯 誤? (A)屬於centrilobular emphysema型態患者,使用PEEP無法改善auto-PEEP (B)panlobular emphysema型態患者,應用PEEP可有效改善病患auto-PEEP (C)不管是centrilobular emphysema或panlobular emphysema患者,有效清除呼吸道痰液,有助 於病患脫離呼吸器 (D)不管是centrilobular emphysema與panlobular emphysema急性發作時,可使用 IV類固醇改善 急性發作之症狀
21.成人慢性阻塞性肺疾(COPD)患者急性發作引起呼吸衰竭,不易脫離呼吸器,有許多因素,下 列敘述何者錯誤? (A)與急性發作時,肺功能變差有關 (B)使用Pressure support mode作weaning trial,脫離呼吸器成功機會比較高 (C)使用T-piece作weaning trial,脫離呼吸器成功機會比較高 (D)患者具有高的auto-PEEP,當開始脫離呼吸器訓練時,可能需要外加5 cm H
2
O PEEP,比較容 易脫離呼吸器成功
22.有效的運動訓練,可以改善成人慢性阻塞性肺疾患者的下列那些情況?①降低全身慢性發炎 ② 增加運動耐受性 ③減少急性發作 ④改善6分鐘走路檢查(6 minute walking test),postexercise SaO
2
(A)①②③④ (B)僅①②③ (C)僅①③④ (D)僅②③④
23.關於 COPD,下列敘述何者錯誤? (A)當肺泡血氧濃度小於 58~60 mm Hg,肺部血管將會收縮 (B)長期處於缺氧狀態下將引起肺心症、右心衰竭 (C)氧氣治療會增加存活率 (D)戒菸能改善目前肺功能及減緩肺功能變壞的速度
24.70 歲男性病人主訴運動時會喘、長期咳嗽但沒有明顯帶痰,抽菸每天 2 packs 抽 50 年,理學檢 查有桶狀胸,下列敍述何者錯誤? (A)診斷為肺氣腫 (emphysema ) (B)Pack-years 為 100 (C)吸入型類固醇對這種病人效果不錯 (D)建議戒菸
25.28 歲女病人,因吞服過多安眠藥送至急診時意識不清,在 room air 下的 ABG 為 pH:7.24、 PaCO
2
:60 mm Hg、PaO
2
:65 mm Hg、HCO
3
-
:26 mEq/L,下列敘述何者錯誤? (A)Acute respiratory acidosis with hypoxemia (B)因藥物抑制呼吸中樞所致 (C)Type I hypoxemic respiratory failure (D)A-a gradient D(A-a)O
2
為 10 mm Hg
26.敗血症(sepsis)引起的多重器官衰竭症候群(multiple organ dysfunction syndrome)中,下列 何者不是腎臟衰竭的評估工具? (A)動脈血氣體分析(arterial blood gas analysis) (B)血中尿素氮(blood urea nitrogen) (C)血中肌酸酐(creatinine) (D)尿量(urine output)
27.65歲女性病患(體重60公斤)因尿路感染導致敗血性休克(septic shock),目前已接受廣效型 抗生素與1500毫升生理食鹽水輸液治療,血壓為74/43(收縮壓/舒張壓)mm Hg,中心靜脈壓 (central venous pressure)為12 cm H
2
O,前4小時尿量為72毫升,下列何項治療步驟最不合 理? (A)給與高劑量的升壓劑如norepinephrine,以提升平均動脈壓至高於65 mm Hg (B)給與靜脈輸液如normal saline,以維持中心靜脈壓於8~12 cm H
2
O (C)給與利尿劑,以維持每小時尿量>30毫升 (D)病患應轉入加護病房
28.敗血症(sepsis)病患營養狀況的敘述,下列何者錯誤? (A)給與H
2
阻斷劑可以減少胃酸及胃內細菌的孳生,所以可以減少醫院性肺炎(nosocomial pneumonia)的機會 (B)儘早進行經腸道餵食,對病患的腸道功能有益 (C)病患能經腸道餵食,則不使用全腸胃外的營養(total parenteral nutrition) (D)應使用鼻胃管以減少吸入性肺炎的機會
29.一個41歲男性因使用海洛因過量產生多重器官衰竭,經14天加護病房的呼吸器治療後突然產生發 燒39℃,並於抽痰時發現大量綠色及帶有臭味的痰,最有可能發生的問題是: (A)潮濕瓶過熱所產生的問題 (B)可能因心肌梗塞產生急性肺水腫 (C)可能產生院內感染,特別像是綠膿桿菌 (D)對氣管內管產生急性過敏反應
30.62 歲糖尿病女性病患因為意識改變而被帶到急診室求診,到院後血壓為 65/35mm Hg,心跳 130 次/min,體溫 38.9℃ ,呼吸速度 36次/min,氧氣飽合度為 89%(room air)。在尿管置入後, 發現有膿狀的尿液,pH: 6.98,PaCO
2
:36 mm Hg,PaO
2
:59 mm Hg,Bicarbonate:10 mEq/L,BUN: 68 mEq/dL;Cr:3.6 mEq/dL,Glucose:532 mg/dL,Hb:9.4 g/dL,WBC: 16785/mm
3
,platelet:76000/mm
3
。下列措施何者最恰當? (A)針對低血氧性呼吸衰竭,予以插管 (B)在第一個小時內予以 1000~2000 mL 的 normal saline 作為 volume resuscitation (C)給予升壓劑 dopamine (D)注射 sodium bicarbonate
31.敗血症過程中,有關組織氧氣消耗量(oxygen consumption,VO
2
)之敘述,下列何者錯誤? (A) 氧氣消耗量(VO
2
)會增加 (B)氧氣消耗量(VO
2
)增加主要是因為組織有氧代謝(aerobic metabolism)增加 (C)氧氣消耗量(VO
2
)增加與嗜中性白血球活化(neutrophil activation)有關 (D)氧氣運輸量的多寡是處理嚴重敗血性患者之最主要考量
32.主動脈剝離發生於降主動脈起始部的機會,占所有主動脈剝離的比例約為多少? (A)1/4 (B)1/3 (C)2/3 (D)3/4
33.內分泌性(腎上腺危相,adrenal crisis)休克,通常被歸類為下列何種休克? (A)低血容積性休克 (B)心因性休克 (C)分布性休克 (D)心外阻塞性休克
34.使用動脈氣球幫浦(intra-aortic balloon pumping)來治療心因性休克病患,對於病患預後的影響 為何? (A)可以大大降低病患死亡率 (B)些微降低病患死亡率 (C)對病患死亡率沒有影響 (D)反而增加病患死亡率
35.無尿(anuria)的定義是指一天的尿量小於多少? (A)200 mL/day (B)150 mL/day (C)100 mL/day (D)50 mL/day
36.心衰竭之代償機轉可造成: (A)周邊血管擴張 (B)靜脈張力下降 (C)腎臟血流下降 (D)肺間質水腫,氧合功能(oxygenation)變好
37.下列何者可用來代表左心室的前負荷(preload)? (A)中心靜脈壓(central venous pressure) (B)肺動脈壓(pulmonary artery pressure) (C)主動脈壓(aortic pressure) (D)肺微血管楔壓(pulmonary capillary wedge pressure)
38.血流阻滯(reduced blood flow)會導致下列何種生理數值下降? (A)PaO
2
(B)P(A-a)O
2
(C)CaO
2
(D)CvO
2
39.影響 CaO
2
(oxygen content)最重要的因子為何? (A)PaO
2
(B)PAO
2
(C)O
2
saturation (D)Hemoglobin
40.一位重症患者併急性腎衰竭,低血壓、寡尿但每日仍須大量輸液,血中肌酸酐 4 mg/dL,何種腎 臟代替療法較合適? (A)連續靜靜脈血液透析 (B)連續靜靜脈血液過濾 (C)間歇性血液透析 (D)腹膜透析
41.Pulmonary artery pressure 上升,systemic vascular resistance 上升,cardiac output 下降,上 述臨床狀況較常出現於下列何種形式的休克(stock)? (A)Hypovolemic (B)Septic (C)Cardiogenic (D)Anaphylactic
42.下列何種休克(shock)病人,接受正確的臨床處置後,有立即最快速的改善? (A)缺血性休克(hypovolemic shock) (B)敗血性休克(septic shock) (C)心因性休克(cardiogenic shock) (D)心外阻塞性休克(extracardiac obstructive shock)
43.下列有關高血鉀症之處置,何者效果最慢? (A)血液透析 (B)靜脈注射 10% calcium gluconate (C)靜脈注射 sodium bicarbonate (D)噴霧吸入(nebulization)albuterol
44.開胸手術(thoracotomy)後,若發生肋膜腔出血而造成血胸,一般說來,若出血量大於多少, 就要考慮以手術治療? (A)200 mL/h (B)300 mL/h (C)400 mL/h (D)500 mL/h
45.下列何者不是造成術後氧合(oxygenation)不足之原因? (A)功能肺餘量(functional residual capacity,FRC)減少 (B)通氣灌流失衡(ventilation-perfusion mismatch) (C)上呼吸道阻塞 (D)肺水腫
46.體外膜性氧合機(ECMO)用於急性呼吸窘迫症候群(ARDS)之治療,其死亡率約為多少? (A)20% (B)50% (C)80% (D)100%
47.高壓氧(HBO)治療後可能出現的併發症(complication)有那些?①耳朵受損 ②氣栓(air emboli) ③肺毒性反應 ④肺炎 (A)僅②③ (B)僅③④ (C)僅①②③ (D)①②③④
48.氣管內灌氣(tracheal gas insufflation,TGI)可增加二氧化碳排出的主要機轉是: (A)吸氣期沖洗(inspiratory washout) (B)吐氣期沖洗(expiratory washout) (C)增加解剖無效腔(anatomic dead space)量 (D)增加肺泡無效腔(alveolar dead space)量
49.急性肺部損傷病患使用高頻率振盪通氣(HFOV),動脈血氣體分析呈現嚴重呼吸性酸中毒(pH 7.15),下列處置何者最不適當? (A)調高振幅(△P) (B)調降頻率(H
Z
) (C)調高 bias flow (D)延長吸氣時間(Ti%)
50. 下列何者不是成人使用高頻率振盪通氣(HFOV)必須評估監測的項目? (A)雙側呼吸音和心跳音 (B)每小時觀察胸壁起伏範圍 (C)動脈血液氣體分析 (D)肺微血管楔壓
51.成人使用3100B高頻率振盪通氣(high frequency oscillation ventilation),影響 amplitude 的因 素不包括下列何者? (A)肺順應性 (B)流速大小 (C)人工氣管內管的尺寸 (D)氣道阻力
52.病人使用呼吸器時,下列何種情況適用人工鼻(artificial nose,HME)? (A)痰液有血 (B)痰液多且濃 (C)病人無呼吸道疾病病史且體溫過低 (D)病人無呼吸道疾病病史且體溫正常
53.依據 ARDS Clinical Network Mechanical Ventilation Protocol 之建議,下列敘述何者正確? (A)避免 plateau pressure 超過 30 cm H
2
O (B)當氧氣濃度增加至 70%,可將吐氣末陽壓(PEEP) 設定在 8~12 cm H
2
O (C)利用身高與體重計算出 ideal body weight 作為潮氣容積設定依據 (D)氧合作用(oxygenation)的目標值為 PaO
2
80~100 mm Hg 或 SpO
2
90%~100%
54.下列何種情況不會影響 pulse oximeter 的測量準確性? (A)嚴重貧血 (B)指甲上有塗染料如指甲油 (C)病人有使用經由血液中的顯影劑或染料 (D)竇性心搏過快
55.血行動力(hemodynamic)監測之正常數值範圍,下列何者錯誤? (A)Mean pulmonary arterial pressure(PAP):20~25 mm Hg (B)Cardiacindex(CI):2.5~4 L/min per m
2
(C)Systemic vascular resistance(SVR):900~1400 dynes-sec/cm
5
(D)Central venouspressure(CVP):2~6 mm Hg
56.下列何種情況會引起呼吸系統彈性增加? (A)支氣管收縮 (B)氣管內管部分阻塞 (C)肺氣腫 (D)肺水腫
57.有關氧氣鋼瓶之敘述,下列何者錯誤? (A)H 號氧氣鋼瓶比 E 號氧氣鋼瓶大 (B)決定氣態和液態氧氣鋼瓶或鋁瓶之氧氣供應時間長短的是瓶內壓力 (C)不同鋼瓶的轉換變數(conversion factor)不同 (D)不同鋼瓶的轉換變數(conversion factor)隨不同氣體成分也會不同
58.使用呼吸器病人其 FiO
2
:70%,Hb:10 g/dL,PaO
2
:60 mm Hg,PaCO
2
:50 mm Hg, SaO
2
:90%,pH 7.25,其心輸出量為 4 L/min,則其氧氣供應量(O
2
delivery)約為多少? (A)300 mL O
2
/ min (B)400 mL O
2
/ min (C)500 mL O
2
/ min (D)600 mL O
2
/ min
59. 計算食道壓壓力時間乘積(esophageal pressure time product),胸廓彈性被動曲線(passive chest wall recoil pressure)可有所謂上限 (upper bound)和下限(lower bound)之說,若確 定病人吸氣肌自上限開始作功且未有吐氣肌舒張現象,下圖吸氣期上限和下限間之差(即斜線部 分)代表為何?
(A)全呼吸功 (B)肺彈力之食道壓壓力時間乘積 (C)肺阻力之食道壓壓力時間乘積 (D)內因性吐氣末陽壓之食道壓壓力時間乘積
60.對於ventilator-associated pneumonia的敘述,下列何者錯誤? (A)是加護病房內,需使用呼吸器的患者最常見的院內感染疾病 (B)病患在加護病房的死亡率並不會因感染肺炎而增加 (C)會延長呼吸器使用的時間,及病患在加護病房的時間 (D)愈早使用正確的抗生素,對病患預後愈好
61.當病人得到愛滋病或接受抗癌的化學藥物治療時,因免疫受抑制,體內的致病原常會復發(reactivation),下列何者不是常見的復發致病原? (A)Pneumocystis carinii (B)Legionella pneumophila (C)Cytomegalovirus (D)Mycobacterium tuberculosis
62.下列何者不是加護病房使用呼吸器病人常見的院內感染致病菌? (A)MRSA (B)Chlamydia species (C)Klebsiella sepcies (D)E coli
63. 某接受胸腔手術病患於加護病房中出現呼吸喘促現象,呼吸治療師檢查,發現呼吸器的圖形如所 示,下列敘述何者正確?
(A)為過度通氣,應使用止痛與鎮靜藥物 (B)可能為急性肺損傷,應將PEEP調高 (C)檢查呼吸器管路、氣管內管以及胸管 (D)應調高pressure support與V
T
,以符合病人自主呼吸之需求
64.某使用陽壓通氣的COPD病人,體重80kg,機器模式為SIMV, 速率4/min,V
T
500 mL,PS 5 cmH
2
O,病人實際呼吸速率為30/min,V
T
為150-250mL,且使用多處呼吸輔助肌,請問應如何 調整呼吸器設定? (A)降低速率 (B)增加PS (C)增加FiO
2
(D)增加PEEP
65.有關病患發生氣壓性創傷(barotrauma)之皮下氣腫(subcutaneous emphysema)的敘述,下 列何者錯誤? (A)病患出現皮下氣腫應檢查是否有氣胸產生 (B)胸部電腦斷層診斷皮下氣腫與氣胸敏感度比胸部X光為高 (C)病患出現皮下氣腫即代表死亡機率增加 (D)病患出現皮下氣腫大多採保守療法即可
66.下列何者不是正壓機械通氣對身體器官產生的影響? (A)腦壓增加 (B)心輸出量減少 (C)腎臟血流增加 (D)納離子與水份滯留體內
67.下列何者不是長期使用正壓機械通氣對腸胃產生的影響? (A)胃黏膜缺血 (B)胃脹氣 (C)壓力性潰瘍 (D)腸胃蠕動增加
68.下列何者為遲發性呼吸器相關肺炎(> 5天)常見的致病菌? (A)Escherichia coli (B)Acinetobacter baumannii (C)Streptococcus pneumoniae (D)Hemophilus influenzae
69.有關兒童氣喘用藥β2-agonist的副作用,下列敘述何者正確? (A)包含顫抖、頭疼、躁動與心搏過慢 (B)劑量過高可能發生鉀離子過低,心電圖ST段的變化 (C)臨床上並未發現產生耐受性或停藥後的戒斷症候群,所以長期使用無妨,使用時務必用最大劑 量,以求效果 (D)使用nebulizer,副作用較定量吸入藥劑(metered dose inhaler, MDI)少
70.初生兒持續肺高壓症(persistent pulmonary hypertension of newborn, PPHN)的後遺症中,下 列何者最少見? (A)氣管肺發育不良(bronchopulmonary dysplasia, BPD) (B)視網膜病變 (C)腦神經損傷 (D)聽力損傷
71.有關新生兒呼吸窘迫症的敘述,下列何者錯誤? (A)肺泡塌陷 (B)呼吸阻力增加 (C)肺順應性(compliance)增加 (D)肺泡表面壓力增加
72.兒童氣管內異物最常見於下列何種之支氣管? (A)右上肺葉 (B)右下肺葉 (C)左上肺葉 (D)左下肺葉
73.一位 10 歲兒童因昏厥送醫,呈現無意識、無脈搏之休克狀態,已知監測心電圖如附圖且持續無 改變;根據美國心臟協會 2010 年版兒童高級生命支持(Pediatric advanced life support)之內 容,在醫療機構內以下各項處理順序何者最適合?①給予腎上腺素 0.01毫克/每公斤體重 ②施 行心肺復甦術 2 分鐘 ③重新評估心律 ④建立靜脈/骨內注射途徑 ⑤電擊每公斤 2 焦耳
(A)①②③④⑤①② (B)②④①⑤③②⑤ (C)④①②⑤③①② (D)⑤②④③⑤②①
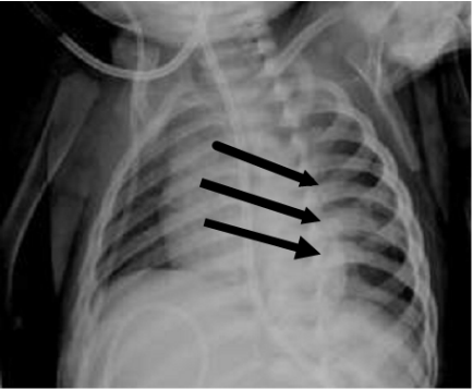
74.一歲女童因呼吸窘迫入院,胸部X光(附圖)意外發現如箭頭所指的病灶顯示後側肋骨有骨痂形 成(callous formation),下列敘述何者正確?
(A)必須排除肺結核的可能 (B)這極有可能是兒虐的結果 (C)肋骨與脊柱的關節脫臼 (D)需手術處理
75.關於兒科非侵襲性呼吸治療中使用的諸多介面(interfaces)中,下列何者比較不會產生氣道正壓 (positive airway pressure)? (A)鼻套管(Nasal prongs) (B)鼻咽管(Nasaopharyngeal tube) (C)氧氣導管(Oxygen cannula) (D)連續性呼吸道正壓(CPAP mask)
76.有關兒童敗血症處置考慮的先後順序,下列何者正確? (A) Airway and vascular access→Fluid→Dopamine→Steroid→Epinephrine/Norepinephrine→ECMO (B)Airway and vascular access→Dopamine→Fluid→Epinephrine/Norepinephrine→Steroid→ECMO (C)Airway and vascular access→Fluid→Dopamine→Epinephrine/Norepinephrine→Steroid→ECMO (D)Airway and vascular access→Fluid→Steroid→Dopamine→Epinephrine/Norepinephrine→ECMO
77.根據安寧緩和醫療條例,不施行心肺復甦術,應具備何種條件?①由二位醫師診斷確為末期病人 ②兩位醫師診斷確為末期病人,其中一位為專科醫師 ③病人簽署之意願書 ④若病人意識昏迷 或無法清楚表達意願時,則必須由配偶、成人子女孫子女、父母一致簽署同意書 ⑤若病人意識 昏迷或無法清楚表達意願時,由其最近親屬出具同意書代替之 (A)①③ (B)②③ (C)①④ (D)②⑤
78.基本救命術(BLS)最重要的基本要素為何? (A)胸部按壓及人工呼吸 (B)胸部按壓和及早進行去顫 (C)心臟電擊術及氣管插管 (D)人工呼吸,強心劑及升壓劑使用
79 (A)張力性氣胸 (B)血胸 (C)呼吸道阻塞造成大片肺坍塌 (D)氣管內管置入右側主支氣管中
80.承上題,應該要如何處理該問題? (A)立刻放置胸管減壓 (B)只需觀察即可 (C)把氧氣濃度調高 (D)換置新氣管內管
申論題 (0)
相關試卷
114年 - 114 專技高考_呼吸治療師:重症呼吸治療學#128961
114年 · #128961
113年 - 113 專技高考_呼吸治療師:重症呼吸治療學#121665
113年 · #121665
112年 - 112 專技高考_呼吸治療師:重症呼吸治療學#115902
112年 · #115902
111年 - 111 專技高考_呼吸治療師:重症呼吸治療學#109880
111年 · #109880
110年 - 110 專技高考_呼吸治療師:重症呼吸治療學#99933
110年 · #99933
109年 - 109-2 專技高考_呼吸治療師:重症呼吸治療學#89157
109年 · #89157
109年 - 109-1 專技高考_呼吸治療師:重症呼吸治療學#82776
109年 · #82776
108年 - 108-2 專技高考_呼吸治療師:重症呼吸治療學#78181
108年 · #78181
108年 - 108-1 專技高考_呼吸治療師:重症呼吸治療學#74588
108年 · #74588
107年 - 107-2 專技高考_呼吸治療師:重症呼吸治療學#70406
107年 · #70406