所屬科目:進階專科護理-兒科
13.李小姐至門診就醫,血壓為 94/ 68 mmHg、心跳 118次/分、呼吸 17次/分,心電圖如下, 李小姐最可能是何種心率異常?(A) 心室心搏過速 ( ventricular tachycardia ) (B) 心房顫動 ( atrial fibrillation )(C) 心房心搏過速 ( atrial tachycardia ) (D) 心房撲動 ( atrial flutter )
17.下列四個圖形中,哪一個最可能是氣喘急性發作病人的 flow- volume curve?
(A) (B) (C) (D)
27.吳先生使用呼吸器,放置中央靜脈導管與鼻胃管,發生呼吸困難,其胸部 X 光如下, 應最優先執行下列何項處置?(A) 插上胸管(B) 更換強效抗生素使用(C) 安排胸部電腦斷層確認病因(D) 調高呼吸器給氣壓力以改善呼吸困難
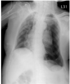
37. 小雄為足月新生兒,出生後出現呼吸窘迫及發紺、胸部較為突出,聽診時右側呼吸音 及心音較左側清楚,X 光如下圖,下列診斷何者最為可能?(A) Left pneumothorax(B) Dextrocardia(C) Left diaphragmatic hernia(D) Tracheoesophageal fistula