所屬科目:進階專科護理-兒科
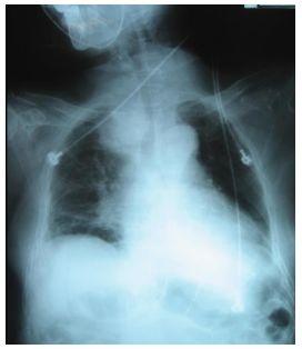
15. 李先生,70歲,罹甲狀腺癌,身體檢查時呈現呼吸喘、急促及窘迫,胸部X光(如附圖), 聽診時最可能發現下列何種狀況? (A) crackles (B) mediastinal crunch(Hamman’s sign) (C) stridor (D) pleural friction rub
46. 10歲男童,體重30公斤,過去無特殊疾病,上體育課時忽然昏倒,體育老師給予心肺復甦術後,被送到急診,心電圖顯示如下,下列處置何者正確? (A) 須立刻給予20焦耳同步化整律(synchronized cardioversion) (B) 停止心肺復甦術,先給予進階呼吸道氣管插管 (C) 立刻給予600cc normal saline輸液復甦 (D) 給予epinephrine (1:10000) 0.3mg靜脈注射