阿摩線上測驗
登入
首頁
>
牙醫學(四)(包括口腔顎面外科學、牙科放射線學等科目及其相關臨床實例與醫學倫理)
> 103年 - 103-2 專技高考_牙醫師(二):牙醫學(四)(包括口腔顎面外科學、牙科放射線學等科目及其相關臨床實例與醫學倫理)#35902
103年 - 103-2 專技高考_牙醫師(二):牙醫學(四)(包括口腔顎面外科學、牙科放射線學等科目及其相關臨床實例與醫學倫理)#35902
科目:
牙醫學(四)(包括口腔顎面外科學、牙科放射線學等科目及其相關臨床實例與醫學倫理) |
年份:
103年 |
選擇題數:
80 |
申論題數:
0
試卷資訊
所屬科目:
牙醫學(四)(包括口腔顎面外科學、牙科放射線學等科目及其相關臨床實例與醫學倫理)
選擇題 (80)
1.組織受傷時,促使白血球貼附在血管壁上並穿透血管壁的物質是下列何者? (A)前列腺素(prostaglandin) (B)組織胺(histamine) (C)補體(complement) (D)激肽(kinin)
2.人體產生傷口後會馬上進行一連串的癒合過程(healing process)。下列關於傷口癒合的敍 述,何者錯誤? (A)可分為三個phase : inflammation, proliferation, remodeling (B)Inflammatory phase持續約3~5天 (C)Remodeling phase可進行一年以上 (D)Remodeling phase中先形成的type I collagen fiber會被type III collagen fiber取代
3.下列何種牙科局部麻醉施打方式,可以使用較短的針? (A)下齒槽神經阻斷術(inferior alveolar nerve block) (B)後上齒槽神經阻斷術(posterior superior alveolar nerve block) (C)Vazirani-Akinosi mandibular nerve block (D)Gow-Gates麻醉術
4.下列四個英文字母,各代表的意義為:A:airway B:breathing C:circulation D: definite treatment P:position,有一病患前來看診,疑似局部麻醉藥物過量而產生休克, 除了呼叫別人援助外,你緊急處理之步驟為何? (A)P→A→B→C→D (B)D→B→C→A→P (C)A→P→B→C→D (D)A→B→C→D→P
5.下圖中的麻醉注射方式,為下列那一種?
(A)Vazirani-Akinosi mandibular block (B)Gow-Gates mandibular block (C)Posterior superior alveolar nerve block (D)Mental nerve block
6.有關 3~9歲小孩的 inferior alveolar nerve 阻斷麻醉方法之敘述,何者正確? (A)與大人注射方法一樣 (B)小孩 mandibular foramen 的位置與咬合面關係,比成人高位 (C)注射的進針深度約 25 mm (D)小孩的麻醉成功率比成人高
7.與麻醉藥物過量引起之併發症,下列何者比較無關? (A)年齡 (B)體重 (C)性別 (D)系統性疾病
8.有關牙周韌帶注射(PDL injection)之敘述,下列何者正確? (A)麻醉劑由牙周韌帶直接滲透至牙根尖 (B)注射針之斜面方向影響其成功率 (C)只需一個注射點即可獲得完全的麻醉效果 (D)麻醉劑由牙周韌帶經齒槽骨滲透至牙根尖神經叢
9.下列有關牙齦收縮線(gingival retraction cord)的敘述,何者錯誤? (A)含有消旋酸腎上腺素(racemic epinephrine)的牙齦收縮線,不可用在有心血管危險 (risk)的病人 (B)一般的牙齦收縮線含有 8% 的消旋酸腎上腺素(racemic epinephrine) (C)即使在出血的情況下,其含有的腎上腺素會很快被吸收 (D)血中濃度可超過在心跳停止或過敏性休克時,急救所使用腎上腺素的 4 倍
10.局部麻醉時,下列何者是最容易斷針的注射部位? (A)下齒槽神經 (B)頰神經 (C)大腭神經 (D)後上齒槽神經
11.當要用牙根尖挺自齒槽內拔除殘餘的牙根尖時,其所使用的力學原理,下列何者正確? (A)lever (B)wedge (C)wheel and axle (D)elevation
12.上顎的所有牙齒中那一顆牙最容易造成阻生齒? (A)第三大臼齒 (B)第二大臼齒 (C)第二小臼齒 (D)犬齒
13.山地醫療隊出發到偏遠山區從事醫療服務,裝備越輕便越好,若是要攜帶拔牙鉗,最好選擇 下列何者? (A)150+151 (B)89+90 (C)53R+53L (D)17+23
14.對於正在哺乳的女性病人,應避免使用下列何種藥物? (A)Aspirin (B)Codeine (C)Pentazocine (D)Meperidine
15.同時拔除上下顎多顆牙時,拔牙的順序應為何? (A)先拔下顎,後拔上顎 (B)先拔後牙,後拔前牙 (C)先拔困難,後拔簡單 (D)沒有一定順序
16. 如圖所示,最不可能的診斷為何?
(A)放射線骨性壞死 (B)顎下腺導管阻塞 (C)有腫瘤存在 (D)牙根尖感染
17.下列有關植牙二階手術的敘述,何者錯誤? (A)須儘量保留 attached tissue (B)punch technique適用於 attached tissue 不足時 (C)apically repositioned flap 適用於 attached tissue 不足時 (D)上顎前牙區唇側軟組織豐隆度不夠時,可以 palatal roll technique 來改善美觀
18.當上顎唇繫帶太接近齒槽嵴,以致影響活動義齒配戴時,可施行移除繫帶之手術;對基部特 別寬之繫帶,以採用下列何種術式效果較佳? (A)單純繫帶切除 (B)繫帶切除合併Z字整形術(Z-plasty) (C)局部性前庭整形術(vestibuloplasty) (D)唇轉移術(lip switch)
19.牙科植體與下顎管之間最小的安全距離為何? (A)0.5 mm (B)1 mm (C)1.5 mm (D)2 mm
20.植體植入後多久才開始有骨整合的出現? (A)一星期 (B)二星期 (C)三星期 (D)四星期
21.有關廣泛性頸部淋巴廓清術(RND),下列何者解剖構造是會被切除的? (A)舌下神經(Hypoglossal nerve) (B)臂神經叢(Brachial plexus) (C)頸神經叢(Cervical plexus) (D)膈神經(Phrenic nerve)
22.有關單囊性造釉細胞瘤(unicystic ameloblastoma)之敘述,下列何者錯誤? (A)較常發生在年輕人 (B)可分為 mural type,luminal type及intraluminal type (C)有較厚之包膜包裹於腫瘤外 (D)僅進行剜出術(enucleation)最適當
23.治療上顎黏液瘤(myxoma)的手術原則是: (A)造袋術(marsupialization) (B)刮除術(curettage) (C)剜出術(enucleation) (D)顎骨部分切除術(partial resection of jaw bone)
24.放射線治療時,下列那一正常細胞或組織不容易受影響? (A)上皮細胞 (B)唾液腺 (C)骨 (D)神經
25.下列有關含牙囊腫的敘述,何者錯誤? (A)通常是無症狀的 (B)長到非常大時,會破壞附近的神經,造成知覺麻木 (C)所含的牙齒經常發育不全 (D)當超過 3 公分以上,一張環口X光片,就很容易發現它
26.有關齒源性角化囊腫的特性,下列何者錯誤? (A)老年人為主 (B)再發率高 (C)男性多於女性 (D)下顎較上顎多
27.顎骨囊性病變(cystic lesion)若小於2公分時,最適當之手術方法為何? (A)刮除術(curettage) (B)剜出術(enucleation) (C)抽除術(extirpation) (D)造袋術(marsupialization)
28.欲幫正顎手術病人評估臉部比例時,中顏面部與上顏面部的界線為: (A)眉毛 (B)下眼瞼 (C)耳垂 (D)耳朵上緣
29.一個成長中的孩子因顏面部外傷而導致顳顎關節(TMJ)受損,日後可能形成下列那種問 題? (A)TMJ骨黏連(ankylosis) (B)下顎骨生長過長 (C)後牙開咬 (D)Class III咬合不正
30.口內垂直下顎枝切開術(intraoral vertical ramus osteotomy)常用於治療何症?①下顎前突 症(mandibular prognathism) ②下顎後縮症(mandibular retrognathism) (A)只有① (B)只有② (C)①② (D)①②均不正確
31.矯正下顎骨過突症,下列何種手術最容易損傷到下齒槽神經? (A)C-shape ramus osteotomy (B)sagittal split osteotomy (C)vertical ramus osteotomy (D)subcondylar osteotomy
32.下列那一種顱顏疼痛,男性比女性較常見? (A)三叉神經痛(trigeminal neuralgia) (B)叢發型頭痛(cluster headache) (C)緊張型頭痛(tension headache) (D)偏頭痛(migraine)
33.Janetta procedure 是指下列何種三叉神經根部之手術? (A)血管減壓手術(microvascular decompression) (B)伽瑪光刀手術(GammaKnife radiosurgery) (C)切斷手術(rhizotomy) (D)氣球加壓手術(balloon compression)
34.病人因急性頭痛,臆斷是顳部動脈炎(temporal arteritis),接下來該做何種檢查確認? (A)電腦斷層(CT) (B)磁振造影(MRI) (C)紅血球沈降率(ESR) (D)腦波(EER)
35.多形性腺瘤(pleomorphic adenoma)最常發生在下列何腺體? (A)parotid gland (B)submandibular gland (C)sublingual gland (D)Ebner’s gland
36.唾液腺結石,最常出現在下列何處? (A)腮腺 (B)顎下腺 (C)舌下腺 (D)小唾液腺
37.下列有關黏液囊腫(mucocele)的敘述,何者錯誤? (A)經常是因為咬傷或外傷所引起 (B)最常發生於上唇 (C)是一種假性囊腫 (D)術後可能復發
38.下列何種情況最可能造成複合性骨折(compound fracture)? (A)下顎骨角骨折,侵犯到部分萌出之智齒 (B)下顎喙狀突(coronoid process)和上升枝(ramus)骨折 (C)髁突(condyle)骨折 (D)顴骨骨折
39.這張病人的CT scan顯示何處有骨折?
(A)右側顴骨骨體和左側下顎骨聯合 (B)右側上顎骨和左側下顎骨聯合 (C)左側顴骨骨體和右側下顎骨聯合 (D)左側上顎骨和右側下顎骨聯合
40.在成年人使用閉合式復位術(closed reduction)固定下顎骨折,須時多久? (A)1週 (B)3週 (C)9週 (D)12週
41.顴骨弓(zygomatic arch)發生骨折時,臨床上常可發生下列何種徵兆? (A)腦脊髓液(CSF)由鼻孔流出 (B)耳後瘀血的貝氏症狀(Battle’s sign) (C)下直肌(inferior rectus muscle)陷入,眼球無法向上正常運動 (D)張口受到限制
42.下列何者不是下顎骨重建成功的條件? (A)夠堅固以承受各種功能的力量 (B)能恢復病人美觀 (C)能覆載假牙 (D)具有角質化黏膜覆蓋
43.唇腭裂患者早期施行velopharyngeal flap可矯正下列何種功能? (A)發音 (B)呼吸 (C)咀嚼 (D)舌運動
44.咽腭帆關閉不全(velopharyngeal insufficiency)可應用上基底咽島瓣(superiorly based pharyngeal flap)矯治,關於此術式之敘述,下列何者錯誤? (A)此島瓣嵌入軟腭而將鼻咽通道分隔成左右兩個側孔 (B)成功率約50%左右 (C)可彈性設計島瓣大小及位置 (D)術後可能造成阻塞性睡眠呼吸暫停(obstructive sleep apnea)
45.根據 Malamed的研究,下列何者不是牙科治療前、中、後最常見的緊急狀況? (A)過度換氣(hyperventilation) (B)抽搐(seizure) (C)心肌梗塞(myocardial infarction) (D)低血糖(hypoglycemia)
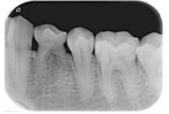
46.下列何者較會影響傷口癒合?①end-stage renal disease ②ethanolism ③hyperthyroidism (A)僅① (B)僅①② (C)僅②③ (D)①②③
47.下列何疾病的患者,較不宜長期使用皮質類固醇(corticosteroid)? (A)慢性阻塞性肺疾(chronic obstructive pulmonary disease) (B)腎移植(renal transplant) (C)肺結核(pulmonary tuberculosis) (D)紅斑性狼瘡(SLE)
48.在牙科門診中,病患發生癲癇大發作(grand mal),停止後,應接受下列那種處置?①聯絡 內科醫師,持續觀察並監測生命徵象1小時以上 ②給予epinephrine (A)只有① (B)只有② (C)①② (D)①②均不需要
49.下列何種口服藥,不是治療顳顎關節症候群的常規用藥? (A)NSAIDs (B)Muscle Relaxants (C)Antidepressants (D)Antibiotics
50.下列那一個因素,不是造成顳顎關節囊外黏連(extracapsular ankylosis)的原因? (A)下顎喙狀突肥大(coronoid process hyperplasia) (B)顴骨弓外傷(trauma to the zygomatic arch) (C)口腔黏膜下纖維化(oral submucous fibrosis) (D)感染侵犯到顳肌(infection around the temporalis muscle)
51.下列何者非關節穿刺術(arthrocentesis)之適應症? (A)不可復性關節盤前移(anterior disc displacement without reduction)合併張口受限 (B)可復位性關節盤前移(anterior disc displacement with reduction)合併慢性疼痛 (C)退化性骨關節炎(degenerative osteoarthritis) (D)骨性黏連(bony ankylosis)
52.最近幾年國內外紛紛成立維護病人權益的組織團體,像北美洲的「全國健康聯盟」、國內的 「消費者文教基金會」、「病人權益促進會」等等。對於以上團體主張之病人的權利義務, 下列何者錯誤? (A)病史資料的提供,包括必要時坦承自己特殊的性癖好 (B)順從治療,接受醫師給予的處方與醫囑 (C)要求醫師給予試驗性的高科技醫療行為 (D)主動地照顧自身的身體
53.1.請問由臨床症狀其診斷最可能是? (A)壞死性筋膜炎(necrotizing fasciitis) (B)急性皮下氣腫(acute subcutaneous emphysema) (C)盧德威氏口峽炎(Ludwig's angina) (D)急性、廣泛性蜂窩性組織炎(acute, diffused cellulitis)
54.2.這種發炎需要緊急施行手術,原因為何? (A)容易造成皮膚廣泛性壞死 (B)容易造成菌血症 (C)容易造成腎臟衰竭 (D)容易造成縱膈炎
55.3.下列何項治療較不需要? (A)需施行多次的傷口清創手術 (B)需隔離病房觀察治療 (C)給與充分的點滴注射液與電解質 (D)需給予抗生素
56.4.這種發炎現象最常見於下列何種病人? (A)接受器官移植的人 (B)HIV的患者 (C)酗酒與糖尿病的人 (D)接受化學治療的人
57.產生Bremsstrahlung放射線的機制是什麼? (A)原子核的分解 (B)原子核內之夸克運動 (C)電子與殼層電子(shell electron)碰撞 (D)電子受原子核之影響
58.依英國放射線保護協會(NRPB)之調查,一個人一年所受的背景輻射(background radiation)劑量約為多少? (A)2 mSv (B)6 mSv (C)10 mSv (D)14 mSv
59.根據1990年ICRP的準則,非職業性曝露於放射線下,其年有效劑量(annual effective dose)不得超過多少劑量,否則會造成皮膚永久性損傷? (A)2 mSv (B)15 mSv (C)30 mSv (D)50 mSv
60.底片中感光乳劑(emulsion)的主要化學成分為何? (A)AgCl (B)AgBr (C)AgF (D)Ag
61.下圖所示之X光影像是由何種拍攝方式所產生?
(A)Water's view (B)Submental vertex view (C)Posterior-anterior view (D)Anterior-posterior view
62.下列何者為唾液腺造影術(sialography)所使用之脂溶性顯影劑(contrast medium)? (A)Urografin® (B)Triosil® (C)Lipidolol® (D)Salagen ®
63.以放射線影像偵測齲齒之敘述下列何者錯誤? (A)較臨床檢視為準確 (B)應定期檢查 (C)檢查間隔時間不應因病人不同而有差異 (D)咬翼檢查(bitewing radiography)適用於鄰接面齲齒偵測
64.下圖中,各部位名稱何者正確?
(A)A:sphenoid sinus (B)B:maxillary sinus (C)C:nasal septum (D)D:condyle head
65.下圖根尖X光片中,白色箭頭所指為何構造?
(A)Periodontal ligament space (B)Alveolar crest (C)Cementum (D)Lamina dura
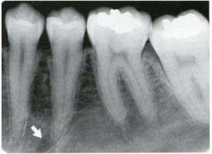
66.下圖中白色箭頭所指位於左下顎第二小臼齒根尖部位之放射線透過性(radiolucent)影像, 根據X光片影像中資訊判斷,下列何者最有可能?
(A)Apical granuloma (B)Radicular cyst (C)Dentoalveolar abscess (D)Mental foramen
67.下圖中有何種牙齒相關的病變?
(A)小牙症(microdontia) (B)牙中牙(dens invaginatus) (C)先天缺牙(congenital missing) (D)卡拉貝利牙阜(cusp of Carabelli)
68. 下圖之下顎後牙區之根尖片影像,發現只有左下第一大臼齒有異常,最可能之臨床診斷為:
(A)牛牙(taurodontia) (B)先天性梅毒(congenital syphilis) (C)牙本質發育不全(dentinogenesis imperfecta) (D)牙釉質發育不全(amelogenesis imperfecta)
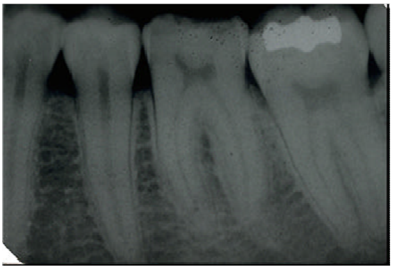
69.下圖下顎後牙區根尖片所顯示之左下第一大臼齒牙髓腔附近的放射線不透過性 (radiopaque)影像,最可能之診斷為何?
(A)牙髓腔結石(pulp stone) (B)牙骨質增殖(hypercementosis) (C)多生牙(supernumerary tooth) (D)牙釉質珠(enamel pearl)
70.X光片影像無法幫助評估下列何種牙周狀況? (A)存在之齒槽骨量 (B)齒槽嵴之狀況 (C)根叉處之骨喪失 (D)增加牙周病危險性之系統性因子
71.下列何種顎骨良性腫瘤於X光片上較不常見牙根吸收? (A)造釉細胞瘤(ameloblastoma) (B)牙瘤(odontoma) (C)骨性纖維瘤(ossifying fibroma) (D)中央巨細胞肉芽腫(central giant cell granuloma)
72.有關顎骨鱗狀細胞癌(squamous cell carcinoma)之放射線影像特徵,下列敘述何者錯誤? (A)邊緣多不規則,且中心多呈放射線透性(radiolucent) (B)會侵犯上顎竇(maxillary sinus)及下齒槽神經管(inferior alveolar nerve canal) (C)侵犯到牙齒周邊的齒槽骨時,最開始會呈現牙周韌帶變窄的影像 (D)常因齒槽骨受侵蝕而造成牙齒浮動(floating)
73.下列病變何者在放射線檢查時會發現大牙髓腔及根管(large pulp chambers and root canals)? (A)Taurodontism and osteomalacia (B)Hyperthyroidism and hypoparathyroidism (C)Hypophosphatasia and hypophosphatemia (D)Osteoporosis and hyperpituitarism
74.一位40歲男性患者,主訴右側下顎部腫大造成顏面畸形,從X光片(如下圖)可見到一多房 性、有明顯骨中隔(bony septa)之放射線透性(radiolucent)影像,自右下顎小臼齒延伸 到上升枝,第二小臼齒有明顯牙根吸收現象,第一、二大臼齒有部分牙根吸收情形,下列何 者是優先考慮的診斷?
(A)造釉細胞瘤(ameloblastoma) (B)骨內血管瘤(central hemangioma) (C)腺瘤樣齒源性瘤(adenomatoid odontogenic tumor) (D)成骨細胞瘤(osteoblastoma)
75.一位36歲女性,主訴門齒乳突(incisive papilla)後方有一略感輕微壓痛、直徑約1公分之柔 軟腫大,上顎根尖片(如下圖)可見左右上顎正中門齒牙根之間有一周界清晰之圓形放射線 透性影像,上顎門齒之牙髓活性測試呈活性反應,下列何者是最適當之診斷?
(A)nasolabial cyst (B)globulomaxillary cyst (C)radicular cyst (D)nasopalatine duct cyst
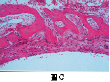
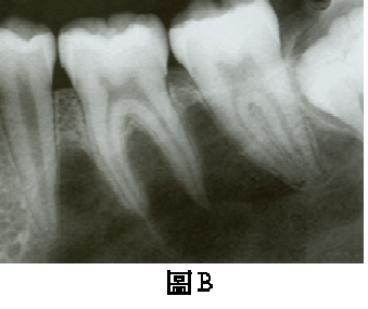
76. 一位16歲男孩在常規X光檢查時,發現左下顎臼齒下方有一放射線透性影像,牙根之間呈現扇形(scalloped),病灶下緣周界較不 清晰(圖A),根尖片可見到清晰之齒槽骨板(lamina dura)(圖B),患處牙齒之牙髓均呈活性反應,口外醫師安排活體切片檢查 時發現放射線透性(radiolucent)病灶內空無一物,刮取病灶周邊組織鏡檢(圖C),可見鄰近之骨組織有一薄層含血管之結締組 織,並沒有發現任何上皮襯底(epithelial lining)。您認為下列何者較符合上述之診斷?
(A)動脈瘤性骨囊腫(aneurysmal bone cyst) (B)史塔尼氏囊腫(Stafne bone cyst) (C)單純性骨囊腫(simple bone cyst) (D)齒源性角化囊腫(odontogenic keratocyst)
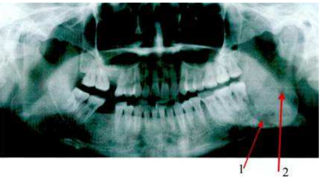
77.下圖X光片所呈現的影像,1與2箭頭所指的最可能為下列何者?
(A)1是骨折的影像,2是上呼吸道的影像 (B)2是骨折的影像,1是上呼吸道的影像 (C)1和2都是上呼吸道的影像 (D)1和2都是骨折的影像
78.患者為25歲女性,主訴兩側顳顎關節疼痛。X光片(如下圖)呈現髁突有腐蝕性(erosive) 現象,其臨床診斷最可能為下列何者?
(A)骨折(fracture) (B)骨肉瘤(osteosarcoma) (C)關節炎(arthritis) (D)骨瘤(osteoma)
79.下列何者不是直接數位放射線攝影(direct digital radiography)的優點?(A)可以降低病人接受的輻射劑量(B)感光片可以重複使用(C)影像解析度較傳統根尖X光片高出許多
(D)快速得到影像,可以節省時間
80.接受放射線治療後病人容易產生齲齒,有關此類齲齒之敘述何者錯誤? (A)牙齒受到輻射直接傷害,產生齲齒 (B)唾液腺受到輻射傷害,唾液減少,產生齲齒 (C)常見發生於多顆牙齒 (D)常見發生於齒頸部
申論題 (0)
相關試卷
115年 - 115-1 專技高考_牙醫師(二):牙醫學(四)(包括口腔顎面外科學、牙科放射線學等科目及其相關臨床實例與醫學倫理)#137358
115年 · #137358
114年 - 114-2 專技高考_牙醫師(二):牙醫學(四)(包括口腔顎面外科學、牙科放射線學等科目及其相關臨床實例與醫學倫理)#128945
114年 · #128945
114年 - 114-1 專技高考_牙醫師(二):牙醫學(四)(包括口腔顎面外科學、牙科放射線學等科目及其相關臨床實例與醫學倫理)#125098
114年 · #125098
113年 - 113-2 專技高考_牙醫師(二):牙醫學(四)(包括口腔顎面外科學、牙科放射線學等科目及其相關臨床實例與醫學倫理)#121679
113年 · #121679
113年 - 113-1 專技高考_牙醫師(二):牙醫學(四)(包括口腔顎面外科學、牙科放射線學等科目及其相關臨床實例與醫學倫理)#118730
113年 · #118730
112年 - 112-2 專技高考_牙醫師(二):牙醫學(四)(包括口腔顎面外科學、牙科放射線學等科目及其相關臨床實例與醫學倫理)#115909
112年 · #115909
112年 - 112-1 專技高考_牙醫師(二):牙醫學(四)(包括口腔顎面外科學、牙科放射線學等科目及其相關臨床實例與醫學倫理)#113155
112年 · #113155
111年 - 111-2 專技高考_牙醫師(二):牙醫學(四)(包括口腔顎面外科學、牙科放射線學等科目及其相關臨床實例與醫學倫理)#109860
111年 · #109860
111年 - 111-1 專技高考_牙醫師(二):牙醫學(四)(包括口腔顎面外科學、牙科放射線學等科目及其相關臨床實例與醫學倫理)#106178
111年 · #106178
110年 - 110-2 專技高考_牙醫師(二):牙醫學(四)(包括口腔顎面外科學、牙科放射線學等科目及其相關臨床實例與醫學倫理)#99925
110年 · #99925