阿摩線上測驗
登入
首頁
>
醫學四:80題 ( 包括小兒科,皮膚科,神經科,精神科等科目及其相關臨床實例與醫學倫理 )
> 104年 - 104-2 專技高考_醫師(二):醫學(四)(包括小兒科、皮膚科、神經科、精神科等科目及其相關臨床實例與醫學倫理)#36361
104年 - 104-2 專技高考_醫師(二):醫學(四)(包括小兒科、皮膚科、神經科、精神科等科目及其相關臨床實例與醫學倫理)#36361
科目:
醫學四:80題 ( 包括小兒科,皮膚科,神經科,精神科等科目及其相關臨床實例與醫學倫理 ) |
年份:
104年 |
選擇題數:
80 |
申論題數:
0
試卷資訊
所屬科目:
醫學四:80題 ( 包括小兒科,皮膚科,神經科,精神科等科目及其相關臨床實例與醫學倫理 )
選擇題 (80)
1.一位10個月大的女嬰得了川崎症,而接受高劑量靜脈免疫球蛋白治療。有關她之後的預防接 種,下列何者錯誤? (A)1歲大時接種水痘疫苗 (B)1歲3個月接種日本腦炎疫苗 (C)1歲6個月接種白喉、非細胞性百日咳、破傷風、小兒麻痺、b型嗜血桿菌五合一疫苗 (D)流感季可施打流感疫苗
2.一位1歲3個月男童因發高燒3天和臉部之皮疹求診,身體診察時發現左手食指有紅腫合併水泡如圖所示,下列那 一項是最可能的診斷?
(A)手足口症 (B)水痘 (C)單純疱疹病毒感染 (D)膿痂疹
3.一位家住高雄的10歲男童出現發燒、肌肉痠痛和關節痛,約於第4病日出現皮疹如圖 所示,先從手腳開始進而擴散至軀幹,病人手掌、腳掌出現輕度腫脹,手掌緊繃感, 掌心搔癢,有些刺痛感;血液檢查發現:血紅素為9.5gm/dL、血比容為28.5%、白血 球為4,000/mm3,其中以淋巴球為主約佔65%,並出現非典型淋巴球16%、血小板為 43,000/mm3,GOT:200 U/L、GPT:59 U/L ,下列敘述何者正確?
(A)病童為感染EB病毒引起之傳染性單核球增多症,若皮疹變嚴重應考慮使用類固醇 治療 (B)病童為感染A群鏈球菌引起之猩紅熱,須趕快使用抗生素治療10天,以免引起風濕 熱 (C)病童為登革熱,屬於第二類法定傳染病,需於24小時內通報並抽血送至疾病管制局 檢查 (D)病童為感染微小病毒B19引起之傳染性紅斑,應嚴密追蹤血球變化以及早偵測是否 出現噬血症候群
4.下列那一項不是Apgar score的評估項目? (A)心跳次數 (B)肌肉張力 (C)呼吸 (D)哭聲大小
5.早產兒呼吸窘迫症候群其第一天時胸部X光的變化不包括下列那一項? (A)氣管空氣影像(air bronchogram) (B)網狀顆粒影像(reticulogranular pattern) (C)纖維化變化 (D)air leakage
6.一位36週早產兒經剖腹產生下後,發生呼吸窘迫症狀,呼吸聲有囉音(rales),經給予氧氣 (FiO2 25%)及連續性氣道正壓(CPAP)呼吸後,症狀逐漸改善,隔天即無症狀。下列那 一項是最可能的診斷? (A)呼吸窘迫症候群(respiratory distress syndrome) (B)短暫呼吸急促(transient tachypnea of newborn) (C)細菌性肺炎(bacterial pneumonia) (D)自發性氣胸(spontaneous pneumothorax)
7.下列何者不是造成延遲性黃疸之原因? (A)膽道阻塞 (B)配方奶哺育 (C)泌尿道感染 (D)甲狀腺低下症
8.下列敘述何者正確? (A)新生兒胃抽取液超過20 c.c.以上時,應懷疑肺部疾病 (B)新生兒在第一天看到胎便,可排除腸阻塞之可能 (C)約50%十二指腸阻塞的病童,合併染色體異常 (D)胎兒期羊水過多,常是胎兒腎臟疾病造成
9.1歲8個月大的幼兒,因大量磚紅色血便求診,病人沒有發燒,沒有腹痛,最可能是下列何種 診斷? (A)腸套疊 (B)沙門氏菌腸炎 (C)美克爾氏憩室出血(Meckel's diverticulum) (D)肛裂
10.下列有關兒童單純發燒性抽筋(simple febrile seizures)之敘述,何者最不正確? (A)有明顯家族史 (B)很少在6個月前發生 (C)須作腦電圖(electroencephalogram)檢查 (D)不會影響日後智能表現
11.關於兒童急性腎衰竭,下列何者不是腎前性腎功能不全的典型實驗數據表現? (A)尿鈉< 20 mEq/L (B)鈉離子排除分率(FE
Na
)< 1% (C)尿液滲透壓 > 500 mOsm/kg (D)尿液分析可見紅血球及白血球
12.兒童的腎絲球濾過速率(glomerular filtration rate, GFR)何時可以達到和成人一般的數值? (A)出生後第二年至第三年 (B)出生後第四年至第五年 (C)出生後第七年至第八年 (D)青春期
13.下列何種病原最少引起溶血性尿毒症候群(hemolytic-uremic syndrome)?(A)大腸桿菌O157:H7(E. coli O157:H7) (B)志賀氏菌(Shigella) (C)肺炎鏈球菌(Streptococcus pneumoniae) (D)霍亂弧菌(Vibrio cholerae)
14.有關cerebral palsy之敘述,下列何者錯誤? (A)cerebral palsy的病人不一定會合併智能障礙 (B)最嚴重的型態是hemiplegia (C)要診斷為cerebral palsy時須事先排除其他進行性腦病變的可能 (D)cerebral palsy的治療需要復健師與心理師的幫忙
15.下列何種疾病不屬於neurocutaneous syndromes? (A)Sturge-Weber syndrome (B)multiple sclerosis (C)von Hippel-Lindau disease (D)incontinentia pigmenti
16.一位嬰兒注視著檢查者,眼睛隨著他的移動而轉動,並且對著他笑,但是沒有笑出聲音,手 微張開,扶著肩膀時頭才會挺直。這位正常嬰兒的發展年齡最可能是幾個月大? (A)1 (B)2 (C)4 (D)6
17.關於21-羥酶缺乏(21-hydroxylase deficiency)所致之先天性腎上腺增生(congenital adrenal hyperplasia)的敘述,下列何者正確? (A)男嬰的外陰部會出現性器混淆(ambiguous genitalia) (B)大多數患兒會出現電解質失調(electrolyte disturbance) (C)男童比女童易罹患此症 (D)臨床上常以21-羥酶酵素活性(enzyme activity)的測定作為診斷的依據
18.關於先天性甲狀腺低能症(congenital hypothyroidism)的臨床表徵,下列那一項最為罕 見? (A)身材矮小 (B)餵食困難 (C)甲狀腺腫 (D)皮膚乾燥
19.關於幼兒持續性高胰島素低血糖症(persistent hyperinsulinemic hypoglycemia of infancy) 的敘述,下列何者錯誤? (A)其遺傳模式為X-性聯遺傳(X-linked inheritance) (B)KIR 6.2 channel的基因突變會造成此病 (C)sulfonylurea receptor的基因突變會造成此病 (D)需及時治療以避免神經方面的後遺症
20.有關幼年性特發性關節炎(juvenile idiopathic arthritis)中的系統性關節炎(systemic-onset arthritis)敘述,下列何者正確? (A)不會有肝、脾腫大 (B)不會有淋巴腺腫大及心包膜炎 (C)經常併發慢性葡萄膜炎(chronic uveitis) (D)發燒時常伴隨皮膚疹
21.7 個月大的男孩,發生高燒、咳嗽、呼吸困難的症狀,送到醫院後給予呼吸器及100%氧氣治 療,才能勉強維持血中氧氣濃度大於 85%,血液檢查顯示白血球數目為25,500/mm3;其中 淋 巴 球64.5%,顆 粒 球4.5%; 單 核 球30.5%,嗜 鹼 性 球0.5%,免 疫 學 檢 查CD3=89%, CD4=54%,CD8=35%,CD19=0%,CD56=11%。最有可能的診斷是下列那一種疾病? (A)Bruton agammaglobulinemia (B)severe combined immunodeficiency (C)common variable immunodeficiency (D)hyper-IgM syndrome
22.氣喘病童因急性氣喘發作至急診室時,下列處置何者最不適當? (A)給予氧氣(O
2
)吸入 (B)給予吸入型短效支氣管擴張劑(short-acting β2 agonist) (C)給予吸入型類固醇(inhaled corticosteroid) (D)給予吸入型抗膽鹼藥物(inhaled anticholinergics)
23.有一位年齡7歲的小女孩因長期臉色蒼白而半個月來四肢常無緣無故出現紫斑或牙齦出血而 被送來醫院,檢查結果發現無肝脾腫大。血液學呈現血色素(Hb)9.2g/dL,白血球計數 2500/mm3,中性球佔5%,血小板數為25×103 /mm3,網狀紅血球矯正後為0.4%。骨髓檢查 有核細胞非常稀少,且各血球系都有明顯缺乏現象。下列何者是最有可能的診斷? (A)急性淋巴性白血病 (B)特異性血小板減少性紫斑症 (C)免疫性溶血性貧血 (D)嚴重再生不良性貧血
24.兒童患者如果發生disseminated intravascular coagulation(DIC),血液檢查時,下列何者 不會出現? (A)血中D-dimer出現 (B)血中Factor V 或 Factor VIII 降低 (C)血小板(platelets)數目降低 (D)血中fibrinogen升高
25.有一位12歲的男童因兩邊淋巴腺腫大到醫院求診,經血液及切片檢查,發現有細胞型態正常 的組織球增生與血液細胞吞噬現象。細胞免疫檢驗發現CD1a陰性,而有CD8陽性之T細胞。 下列何者為最正確診斷? (A)Langerhans cell histiocytosis (B)infection-associated hemophagocytic syndrome (C)malignant histiocytosis (D)acute monocytic leukemia
26.10天大男嬰被發現心跳過快。心電圖顯示窄QRS波,心跳每分鐘220次,P波不明顯。下列 何者處置最不適當? (A)可先嘗試刺激迷走神經治療 (B)可先給予靜脈注射adenosine (C)首選給予靜脈注射verapamil (D)生命徵象穩定,給予同步電擊(DC cardioversion)
27.下列何者於聽診時隨病人呼吸但會有固定且寬的第二心音分開(widely splitting of S2)? (A)三尖瓣膜閉鎖 (B)主動脈狹窄 (C)心室中膈缺損 (D)心房中膈缺損
28.有關心室中膈缺損(VSD)的敘述,下列何者錯誤? (A)第二型(膜型)的心室中膈缺損可能自然癒合 (B)第一型(室上嵴型)的心室中膈缺損易造成主動脈瓣膜脫垂 (C)東方民族其第一型(室上嵴型)心室中膈缺損的發生率比第二型(膜型)高 (D)部分第二型(膜型)的心室中膈缺損日後會合併肺動脈瓣下狹窄
29.先天性代謝異常疾病(inborn errors of metabolism)大多以體染色體隱性方式遺傳 (autosomal recessive inheritance),但有少數例外,以性染色體隱性方式(X-linked recessive)遺傳,例如? (A)先天腎上腺增生症(congenital adrenal hyperplasia) (B)第一型肝醣儲積症(glycogen storage disease I, von Gierke disease) (C)第一型黏多醣症(mucopolysaccharidosis I, Hurler syndrome) (D)葡萄糖-6-磷酸去氫酶(glucose-6-phosphate dehydrogenase)缺乏症
30.下列遺傳或染色體疾病與其好發先天性心臟病之相關組合,何者最不可能? (A)Down syndrome – endocardial cushion defect (B)Turner syndrome – bicuspid aortic valve (C)DiGeorge syndrome –interrupted aortic arch (D)Williams syndrome – aortic root dilatation/regurgitation
31.人類的DNA(genome)分別包裹於各條染色體之中,人類大約有兩萬三千個基因。下列有 關基因在染色體上分布之敘述,何者錯誤? (A)染色體的中心節或端粒(telomere)處常有許多重複的序列 (B)基因(gene)常由多個exon所組成,exon和exon之間的intron常常比exon要長的多 (C)人類的基因排列相當的緊密,基因和基因之間幾乎沒有甚麼無關的序列,這和低等生物不 同 (D)人類的DNA上有一些小段的序列,雖然沒有負責蛋白質,但是會轉錄形成shRNA,可能有 基因調控的功能
32.下列那個診斷最符合? 圖 一 圖二 (A)急性鏈球菌感染後腎絲球腎炎(acute poststreptococcal glomerulonephritis) (B)溶血性尿毒症候群(hemolytic uremic syndrome) (C)風濕熱(rheumatic fever) (D)毒性休克症候群(toxic shock syndrome)
33.承上題,最可能的病原體是: (A)A群鏈球菌(group A Streptococcus) (B)大腸桿菌(Escherichia coli) (C)金黃色葡萄球菌(Staphylococcus aureus) (D)肺炎鏈球菌(Streptococcus pneumoniae)
34.下列有關脂漏性皮膚炎 (seborrheic dermatitis) 之敘述,何者最不適當? (A)臨床上常呈現油膩樣或脫屑性的紅斑 (B)不會發生於嬰兒(infant) (C)和皮屑芽胞菌(Malassezia furfur)有關 (D)常位於皮脂腺(sebaceous gland)發達處
35.33歲男性,主訴1年來右手掌出現如圖之皮膚病變。下列何者為門診最優先之檢查?
(A)細菌培養(bacteria culture) (B)KOH鏡檢(KOH examination) (C)貼膚試驗(patch test) (D)皮膚切片(skin biopsy)
36.65歲男性,主訴為右上臉頰及眼皮出現成群疼痛的水疱,下列那一種檢查可幫助診斷? (A)Tzanck抹片檢查(Tzanck smear) (B)伍氏燈(Wood's light)檢查 (C)貼膚試驗(patch test) (D)KOH鏡檢
37.63歲女性,於顏面及胸前有如圖之皮膚病變,且數目隨年紀而逐漸增多,下列何者是最可能 的診斷?
(A)後天性色素細胞性母斑(acquired melanocytic nevus) (B)基底細胞癌(basal cell carcinoma) (C)日光性角化症(actinic keratosis) (D)脂漏性角化症(seborrheic keratosis)
38.下列何者不是前癌病變(precancerous disorders)? (A)actinic keratosis (B)Bowen’s disease (C)erythroplasia of Queyrat (D)seborrheic keratosis
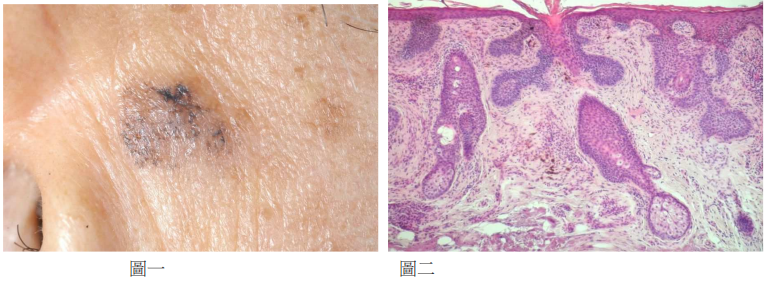
39.70歲男性,兩年前在臉部皮膚逐漸出現如圖一之病變,病理切片如圖二,該病變的最適診斷為:
(A)intradermal nevus (B)seborrheic keratosis (C)actinic keratosis (D)basal cell carcinoma
40.Generalized brown hyperpigmentation是下列那一種內分泌疾病的皮膚表徵? (A)Cushing’s syndrome (B)Addison’s disease (C)Graves’ disease (D)glucagonoma syndrome
41.50歲男性,患有高血壓與尋常性乾癬,下列那一類抗高血壓藥物會惡化乾癬,宜避免處方? (A)diuretics (B)β-blocker (C)calcium channel blocker (D)α-blocker
42.最可能之診斷為何? (圖A) (圖 B) (A)多形性紅斑(erythema multiforme) (B)落葉性天疱瘡(pemphigus foliaceus) (C)毒性表皮壞死鬆解症(toxic epidermal necrolysis) (D)表皮崩解性水疱症(epidermolysis bullosa)
43.承上題,下列何種皮膚檢查會呈陽性? (A)Auspitz sign (B)Darier sign (C)Nikolsky sign (D)Koebner phenomenon
44.4下列何種檢查有助於診斷? (A)diascopy (B)Nikolsky sign (C)Tzanck smear (D)Darier’s sign
45.承上題,下列敘述何者正確? (A)診斷為hypersensitivity vasculitis (B)皮膚病理切片檢查無助於診斷 (C)不會侵犯腎臟 (D)致病機轉可能與第四型免疫反應(type IV hypersensitivity reaction)有關
46.腦梗塞(cerebral infarction)的病因分類中,那一種病因可能與高血壓最不相關? (A)大血管粥狀動脈硬化性梗塞(large-vessel atherosclerotic infarction) (B)心臟栓塞(cardiac embolism) (C)小血管小洞性梗塞(small-vessel lacunar infarction) (D)血管炎(vasculitis)
47.李先生,75歲,有多次腦中風及高血壓、糖尿病病史,神經學檢查時,無明顯肌肉乏力,但 呈現口齒不清、吞嚥障礙,情緒失禁(emotional incontinence)及兩側深部肌腱反射增強 (hyperreflexia),下列何者最正確? (A)可能是假性延髓性麻痺(pseudobulbar palsy) (B)可能是糖尿病神經病變,與腦中風無關 (C)可能是急性左側大腦半球梗塞(left hemisphere infarction),與過去腦中風病史無關 (D)除腦中風外,無其他疾病會引起此症狀
48.70歲女性,有高血壓、心房震顫病史,早上起床時,突然發生短暫性右側肢體無力,約5分 鐘後完全復原,至門診求診,經腦部電腦斷層檢查正常後,下列何者處置較不適宜? (A)應長期使用抗血小板藥物治療 (B)應長期使用抗凝血劑治療 (C)應長期使用降血壓藥物治療 (D)安排頸部血管超音波檢查
49.成人腦部重約佔體重之2~3%,需要永不停止供應養分(每天約150公克葡萄糖和72公升氧 氣)。腦部氧氣消耗量占身體之多少百分比(%)? (A)5 (B)10 (C)15 (D)20
50.關於叢發性頭痛(cluster headache)的敘述,下列何者正確? (A)女生比男生多 (B)一定是單側的 (C)疼痛時間約4到72小時 (D)每年都一定會發作
51.下列關於在急診室內,急性癲癇發作的處置,何者最正確? (A)即使是單一短暫的發作過後,只要病人尚未清醒就須立即用藥 (B)若有癲癇與用藥病史就只需測藥物濃度,不需血球數、血糖、電解質等檢查 (C)若至急診前有連續的癲癇發作,就必須立刻做腦部影像檢查 (D)首次癲癇並有局部發作的特徵,若血球數、血糖、電解質等全部正常時就需要腦部影像檢 查
52.關於猝睡症(narcolepsy)的敘述,下列何者錯誤? (A)常發生在15到20歲之間 (B)下視丘過誤瘤(hypothalamic harmatoma)及腦幹中風為常見的病因之一 (C)無法控制的入睡衝動及情緒激動時發生肌肉張力的瞬間消失,為其主要特徵 (D)治療以modafinil、methylphenidate 或amphetamines等stimulant drugs為主
53.以巴金森症與自主神經障礙為主要的神經症候群為: (A)肌躍-肌張力不全症(myoclonus-dystonia syndrome, MDS) (B)多發系統退化症(multiple system atrophy) (C)漸行性核上麻庳(progressive supranuclear palsy) (D)皮質基底核退化症(corticobasal degeneration)
54.下列何種肌肉失養症(muscular dystrophy)為性聯隱性遺傳(X-linked recessive)? (A)Duchenne muscular dystrophy (B)limb-girdle muscular dystrophy type 1A (C)facioscapulohumeral dystrophy (D)myotonic dystrophy
55.16歲就讀於高中2年級的謝同學,長期午休都趴在桌上睡覺,近2星期他覺得左前臂及手掌麻 麻的,尤其是左小指麻木感更加厲害,這兩天甚至拿筆寫字都覺得不靈活,因此他到門診求 助。你認為這位謝同學,最可能的診斷是什麼? (A)腕隧道症候群(carpal tunnel syndrome) (B)尺骨神經(ulnar nerve)病變 (C)橈骨神經(radial nerve)病變 (D)臂神經叢(brachial plexus)病變
56.頸脊髓空洞症(cervical syringomyelia)最典型的臨床症狀是: (A)區段分離性的感覺異常症候群(segmental sensory dissociation) (B)分離性感覺與運動障礙症候群(sensory motor dissociation deficit) (C)聯合性後柱及側柱障礙症候群(combined posterior and lateral column deficit) (D)聯合性前柱及側柱障礙症候群(combined anterior and lateral column deficit)
57.38歲男性,三星期前開始出現倦怠,頭痛,間歇性微燒,最近兩天頭痛加劇合併噁心,嘔吐 與嗜睡。身體檢查發現頸部僵硬。腦脊髓液檢查呈現:壓力為240 mmH2 O,白血球為480顆 (其中淋巴球占80%),蛋白質為80 mg/dL,糖值為20 mg/dL(血糖值為120 mg/dL),隱 球菌抗原(cryptococcal antigen)為陰性。血清之性病研究實驗室凝集法(VDRL)為陰 性。下列何者為最有可能之診斷? (A)病毒性腦膜炎 (B)結核性腦膜炎 (C)未經抗生素治療過之細菌性腦膜炎 (D)寄生蟲性腦膜炎
58.下列有關急性間歇性紫質症(acute intermittent porphyria)的敘述,何者錯誤? (A)自體隱性遺傳之銅代謝異常的疾病 (B)磺胺類抗生素會誘發具有此遺傳基因之患者發病 (C)發病時會出現急性多發性神經炎 (D)發病時會有不明原因之腹痛
59.根根據病史,最可能的診斷是: (A)皮克氏病(Pick disease) (B)路易體病(dementia with Lewy bodies) (C)阿茲海默症(Alzheimer disease) (D)庫賈氏症(Creutzfeldt-Jakob disease)
60.承上題,所述病症,最可能的致病原因是? (A)Tau蛋白(Tau protein) (B)普里昂蛋白(Prion protein) (C)β-類澱粉蛋白(β-amyloid protein) (D)α-突觸核蛋白(α-synuclein protein)
61.依據DSM-IV-TR的診斷標準,下列關於躁症發作(manic episode)以及輕躁症發作 (hypomanic episode)的敘述,何者正確? (A)擔心手掌不乾淨而反覆洗手是輕躁症發作的診斷標準之一 (B)只有輕躁症發作才會有自信心膨脹(inflated self-esteem) (C)躁症發作的嚴重程度達住院標準,時間再短也可當作一次躁症發作(manic episode) (D)躁症與輕躁症發作的診斷標準均須有病人職業或社交等功能的顯著缺損
62.下列何種抗精神病藥,比較不會造成體重過重及高血糖或高血脂症? (A)quetiapine (B)olanzapine (C)clozapine (D)ziprasidone
63.某確診思覺失調症(schizophrenia)之年輕男病患,開始接受抗精神病藥物 (antipsychotics)治療,治療第三天時,突然出現眼球上吊之情形,此時之處置不包括: (A)給予抗膽鹼藥物(anticholinergics) (B)降低抗精神病藥物劑量或調整抗精神病藥物種類 (C)給予肌肉鬆弛劑(muscle relaxant) (D)排除其它可能之神經疾患,如:癲癇
64.關於功能性腸胃道疾患(functional gastrointestinal disorders)的精神科治療,下列何者錯 誤? (A)三環類抗鬱劑(tricyclic antidepressants)可以減緩這些患者之腸躁症狀 (B)選擇性血清素再回收抑制劑(selective serotonin reuptake inhibitors)可能造成腸胃道不 適,使病人提早停藥或順從性不佳 (C)使用精神科藥物治療功能性腸胃道疾患時,須監測其藥物副作用 (D)許多心理治療模式對於這些患者的治療具有療效,例如長期之精神分析治療
65.下列何者關於知覺(perception)評估的敘述錯誤? (A)知覺異常的臨床表現可能為幻覺(hallucination)或錯覺(illusion) (B)知覺異常經常與感覺系統有關,例如視覺、聽覺、嗅覺、觸覺等 (C)幻覺發生的情境在知覺評估當中並不重要 (D)使用古柯鹼(cocaine)可能造成有蟲或螞蟻在皮膚下爬行的幻覺(formication)
66.下列關於失眠病人衛教的敘述,何者錯誤? (A)限制白天躺床的時間 (B)如果沒有睡足六至八小時,會對健康有危害 (C)儘量在固定的時間上床睡覺 (D)睡前可泡熱水澡
67.有關產後憂鬱症(postpartum depression)的敘述,何者正確? (A)大部分於產後3~5天內發作 (B)很少會有傷害新生兒的想法 (C)終生罹患重鬱症的風險較高 (D)若不治療,通常於一個月內自行緩解
68.某計程車司機之睡眠型態如下:晚上11點就寢後約15分鐘內可以入睡,但多於凌晨3點左右 醒來便輾轉難再入睡,直到清晨6點左右可再入睡,但7點則必須起床開始工作,因此開車時 精神不濟。若欲短期投以藥物給該個案,下列何種藥物比較適合其睡眠型態? (A)非緩釋劑型之zolpidem (B)短效之benzodiazepines (C)中效之benzodiazepines (D)具有鎮靜安眠效果之抗精神病藥
69.江先生是一位肺癌患者,手術及化療兩年後再度復發住院,江先生談到「我的病是不是不會 好了?任何治療應該都沒有用,我不想再治療了」。你是江先生的醫師,下列何者屬於「同 理心」的回應 ? (A)「我們醫院設備齊全,我醫術高明」 (B)「你對病情很擔心,很害怕治不好,是不是?」 (C)「肺癌是很難治療,容易復發」 (D)「我們醫師會尊重你的決定」
70.咖啡因(caffeine)戒斷之最常見症狀為何? (A)入睡困難 (B)頭痛 (C)心搏過速 (D)手抖
71.某32歲女子,離開勒戒所不久,又施打來路不明的海洛因,因純度提高導致中毒出現意識不 清,送至醫院後處置之原則,下列何者正確? (A)因個案體溫會下降,所以保溫是海洛因中毒最重要的救護措施 (B)以靜脈注射methadone為主要藥物治療 (C)若瞳孔放大與呼吸速率增加,顯示中毒程度正逐漸改善 (D)因鴉片類拮抗劑(opioid antagonist)多為長效,所以通常給予單次劑量即可
72.某32歲無業女性有濫用鎮靜劑習慣超過5年,平均每日使用16毫克以上之flunitrazepam(俗 稱FM-2),若此個案擬戒除此藥,下列何者正確? (A)flunitrazepam排除半衰期(elimination half-life)較長,故很快會出現戒斷症狀 (B)可用carbamazepine治療flunitrazepam戒斷症狀 (C)立即停止任何苯二氮平(benzodiazepine),或僅投以短效型(short-acting)為原則 (D)譫妄是flunitrazepam戒斷最常見症狀
73.有關鑑別妄想型思覺失調症(paranoid schizophrenia)與安非他命精神病臨床特徵,下列何 者正確? (A)安非他命精神病常具有連結鬆散(loosening of association) (B)安非他命精神病少有視幻覺 (C)妄想型思覺失調症較多情感平淡(affective flattening) (D)安非他命精神病較會有性活動下降(hypo-sexuality)
74.依據DSM-IV-TR診斷標準,下列有關自閉症的敘述何者正確? (A)與典型自閉症比較,亞斯柏格症也有社交互動困難和侷限且重複的行為與興趣,但語言溝 通常無困難 (B)半數以上的自閉症兒童具有別人沒有的特殊才能(例如記憶超凡),而少數具有智能障礙 (C)半數以上的自閉症患者一生中會癲癇發作 (D)抗精神病藥物能改善其核心症狀
75.下列何種內科疾病較不易引起次發性情感疾患(secondary mood disorder)? (A)中風 (B)帕金森症 (C)多發性硬化症(multiple sclerosis) (D)維他命C缺乏
76.早產兒壞死性腸炎(necrotizing enterocolitis)的早期診斷,腹部X光檢查最典型的發現為異 常氣體聚積於何處? (A)腸腔內(intraluminal) (B)腸壁中(intramural) (C)腸壁外腹膜內(intraperitoneal) (D)腹壁中(abdominal wall)
77.一位35歲女性癲癇患者,近5日來出現全身倦怠、食慾不佳和發燒症狀,至急診時生命徵象 如下:血壓 95/60 mmHg,心跳 125次/分鐘,呼吸 20次/分鐘,體溫39.5℃,全身多處皮膚 疼痛異常且出現如圖的病灶。下列敘述何者錯誤?
(A)可能的診斷為toxic epidermal necrolysis 或是 Stevens-Johnson syndrome (B)藥物史必須詳盡,將藥物不良反應列入考慮 (C)Nikolsky Sign為陰性 (D)比照燒傷病患的處理原則,大量給予輸液,避免低血容性休克
78.下列何者不是酒精戒斷(alcohol withdrawal)常見之症狀? (A)tremor (B)auditory hallucination (C)seizure (D)agitation
79.李醫師看門診時,有位院內的周護理師並未依照掛號的次序,直接帶著孩子進入診間,要求 與她熟識的李醫師替她孩子先看病。李醫師要如何做最為恰當? (A)為要使周護理師能儘快回到工作崗位應優先替她孩子看病 (B)對周護理師說外面有幾位孩子與家人在等著叫號,請她稍等會儘快為她孩子看病 (C)不理會周護理師,叫下一號病人進來 (D)質問診間護理師為何讓周護理師與她孩子進來
80.目前對確定診斷具存活力,但生活品質及預後很不好之先天異常的新生嬰兒,醫界大多共識 同意可以不給予急救措施,下列何者未被包含在內? (A)Trisomy 13 (B)Trisomy 18 (C)Trisomy 21 (D)Anencephaly
申論題 (0)
相關試卷
115年 - 115-1 專技高考_醫師(二):醫學(四)(包括小兒科、皮膚科、神經科、精神科等科目及其相關臨床實例與醫學倫理)#137336
115年 · #137336
114年 - 114 專技高考_醫師(二):醫學(四)(包括小兒科、皮膚科、神經科、精神科等科目及其相關臨床實例與醫學倫理)#127921
114年 · #127921
114年 - 114-1 專技高考_醫師(二):醫學(四)(包括小兒科、皮膚科、神經科、精神科等科目及其相關臨床實例與醫學倫理)#125091
114年 · #125091
113年 - 113-2 專技高考_醫師(二):醫學(四)(包括小兒科、皮膚科、神經科、精神科等科目及其相關臨床實例與醫學倫理)#120661
113年 · #120661
113年 - 113-1 專技高考_醫師(二):醫學(四)(包括小兒科、皮膚科、神經科、精神科等科目及其相關臨床實例與醫學倫理)#118722
113年 · #118722
112年 - 112-2 專技高考_醫師(二):醫學(四)(包括小兒科、皮膚科、神經科、精神科等科目及其相關臨床實例與醫學倫理)#114975
112年 · #114975
112年 - 112-1 專技高考 _醫師(二):醫學(四)(包括小兒科、皮膚科、神經科、精神科等科目及其相關臨床實例與醫學倫理)#113170
112年 · #113170
111年 - 111-2 專技高考_醫師(二):醫學(四)(包括小兒科、皮膚科、神經科、精神科等科目及其相關臨床實例與醫學倫理)#108728
111年 · #108728
111年 - 111-1 專技高考_醫師(二):醫學(四)(包括小兒科、皮膚科、神經科、精神科等科目及其相關臨床實例與醫學倫理)#106182
111年 · #106182
110年 - 110-2 專技高考_醫師(二):醫學(四)(包括小兒科、皮膚科、神經科、精神科等科目及其相關臨床實例與醫學倫理)#99891
110年 · #99891