所屬科目:醫學四:80題 ( 包括小兒科,皮膚科,神經科,精神科等科目及其相關臨床實例與醫學倫理 )
34.45歲男性,兩年來在足背逐步形成搔癢的皮疹,如圖所示,最適合的診斷為何? (A)急性濕疹(acute eczema) (B)慢性濕疹(chronic eczema) (C)尋常性乾癬(psoriasis vulgaris) (D)類澱粉症苔癬(lichen amyloidosis)
36.40歲男性,從小就發現軀幹皮膚出現多發性色素斑及腫瘤,如圖所示,最可能的診斷為: (A)tuberous sclerosis (B)neurofibromatosis (C)neurocutaneous melanosis (D)xeroderma pigmentosum
42.穿耳洞後在耳垂出現逐漸長大之皮膚病灶如圖所示,下列何者為最可能的診斷? (A)化膿性肉芽腫(pyogenic granuloma) (B)蟹足腫(keloid) (C)上皮囊腫(epidermal inclusion cyst) (D)皮膚纖維瘤(dermatofibroma)
46.李小姐,55歲,因突發性頭痛及癲癇發作、意識障礙被同事送到急診室,其電腦斷層攝影檢查(CT)如下 圖。下列敘述何者錯誤? (A)可能診斷為蜘蛛網膜下腔出血(subarachnoid hemorrhage) (B)最常見之病因為腦動脈瘤(aneurysm)破裂 (C)併發症中,可能會出現水腦症 (D)併發症中,大腦血管痙攣(vasospasm)通常比再出血(rebleeding)早發生
74.足月產新生兒因呼吸急促住進新生兒加護病房,胸腹部X光如附圖,則最可能的診斷為下列何者?(A)橫膈疝脫(diaphragmatic hernia) (B)左側氣胸 (C)胎便吸入(meconium aspiration) (D)右肋膜積液(E)一律給分
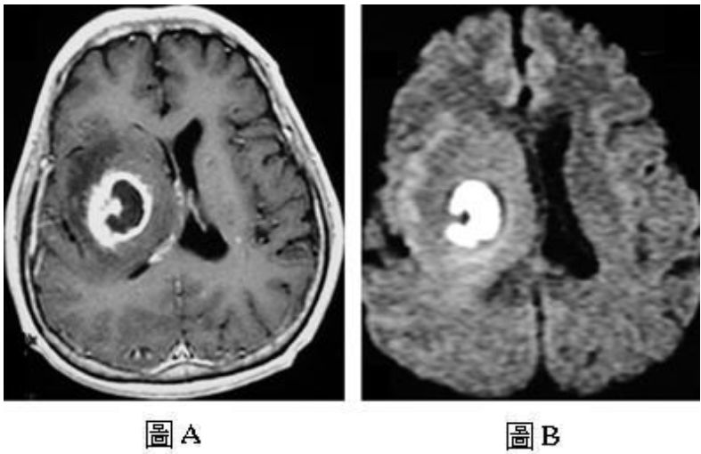
75.50歲男性患者,主訴左側肢體無力已經二個星期,接受磁振造影檢查,圖A是注射顯影劑後的T1加權影像, 圖B是擴散加權影像(diffusion-weighted image),下列何者是最可能的診斷? (A)多型性神經膠母細胞瘤(glioblastoma) (B)細菌性膿瘍(pyogenic abscess) (C)轉移(metastasis) (D)多發性硬化症(multiple sclerosis)