所屬科目:解剖病理專科醫師
96. 一位 65 歲女性,無腫瘤病史,發現全身多處腫塊,whole body PET (下圖) 及 MRI 顯示軟組織、骨、腦、肺有多個 1-2 cm 之腫瘤,PET 另外發現左心房內有 約 4.5 cm 區域之高代謝性疑似病灶。頸部、上顎、脊椎三處腫瘤之組織切片,病 理檢驗皆顯示為 spindle cell neoplasm with moderate pleomorphism and increased mitoses,分化方向不明確,FISH 則發現 MDM2 amplification。
關於這些腫瘤,下列描述何者最可能是正確的? (A)依部位相關發生率來說,此腫瘤最有可能是 angiosarcoma (B)FNCLCC grade 是已知的最重要預後因子 (C)常見的 copy number 異常包括 PDGFRA & EGFR gain 及 CDKN2A loss (D)TP53 missense mutation 是最常見的基因變異
98. 16 歲女孩被父母帶來急診,症狀為這兩週開始漸進性頭暈、目眩、合併病態 不穩,最近一個月經常性原因不明嘔吐,體重減輕兩公斤。病患檢查爲意識清 楚,無發燒,有營養不良與言語不清,複視(diplopia)、旋轉性眼球震顫 (rotatory nystagmus) 、及四肢輕癱 (quadriparesis)。病患非素食主義者也無酗 酒。住院治療期間因心因性休克而過世,病理解剖之腦部如下圖:
以下何者爲最可能的診斷? (A)Mitochondrial Encephalomyopathy (B)Wernicke encephalopathy (C)Multiple sclerosis (D)Cobalamin deficiency related neurological disea
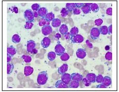
105. A 5-year-old girl, fine needle aspiration for LN: What is the most likely diagnosis?
(A) Birkitt lymphoma (B)Small cell carcinoma (C)Infectious mononucleosis (D)Large cell lymphoma (E)None of the above
106. A 55-year-old woman with hematuria, urine cytology: What is the most likely diagnosis?
(A) CMV inclusion (B)Malakoplakia (C)Urothelial carcinoma, low grade (D)Adenocarcinoma
107. What is the correct diagnosis of this Pap smear obtained from a 55-year-old woman with post-menopausal vaginal bleeding?
(A) Endometritis (B)Repair cells (C)Endocervical adenocarcinoma (D)Endometrial adenocarcinoma (E)Extra-uterine adenocarcinoma
108. What is the most possible diagnosis of this Pap smear obtained from a 35-year-old woman with routine check?
(A) High grade intraepithelial lesion (B)Reactive endocervical glandular cells (C)Adenocarcinoma in situ (D)Adenocarcinoma
110. The cells shown here are noted in the Pap smear of a 65-year-old woman with postmenopausal bleeding. The most possible diagnosis ? (A) Adenocarcinoma (B)Squamous cell carcinoma (C)Malignant mixed mullerian tumor (D)以上皆非
111. 子宮頸抹片中有以下發現, 與下列何者最為相關? (A) HPV infection (B)Trichomonas infection (C)Intrauterine device (IUD) (D)Pregnancy (E)Diabetes
112. 子宮頸抹片, 36 歲, 例行年度篩檢, 圖中所指細胞最合適選項為何?
(A) Benign endometrial cells (B)Parabasal squamous cells in atrophy (C)Endometrial adenocarcinoma (D)High-grade squamous intraepithelial lesion (HSIL) (E)Endocervical adenocarcinoma
115. 甲狀腺抽吸, 如圖所示, 最合理診斷為? (A) Medullary carcinoma (B)Follicular carcinoma (C)Papillary carcinoma (D)Anaplastic carcinoma (E)Nodular goiter
116. 56 歲女性,staging surgery for endometrial cancer, peritoneal washing cytology 有此發現, 圖中所指細胞最合適選項為何? (A) Endometrial adenocarcinoma (B)Reactive mesothelial cells (C)Cauterized tubal epithelium (D)Colon adenocarcinoma
118. The smear was prepared from the FNA of a thyroid nodule in a 44-year-old woman. According to the thyroid TBS, what is the best diagnosis?
(A) Benign follicular nodule (B)Atypia of undetermined significance (C)Suspicious for follicular neoplasm (D)Suspicious for Papillary carcinoma (E)Suspicious for parathyroid neoplasm
120. 子宮頸抹片, 36 歲, 例行年度篩檢, 有關圖中所示細胞, 最合適選項為何? (A) Indicating progesterone effect (B)Low grade intraepithelial lesion (C)Changes compatible with intra-uterine device (D)Decidual cells
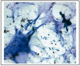
122. 腹水細胞學檢查有以下發現, 請問最有可能之病灶在? (A) Stomach (B)Gall bladder (C)Appendix (D)Pancreas
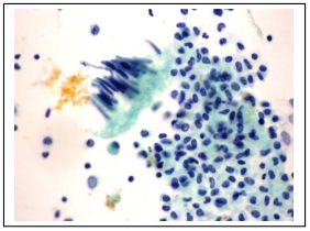
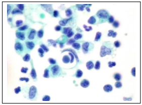
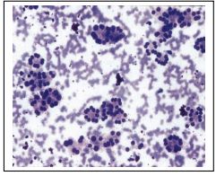
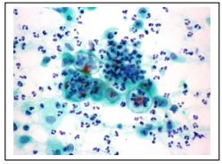
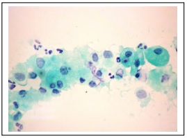
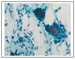
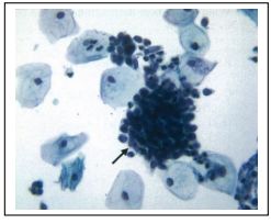
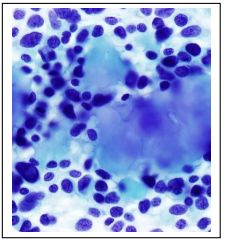
124. Pleural effusion, 36 歲, 女性, 有關圖中細胞發現, 應該建議優先做什麼檢查? (A) CT of lung to rule out lung cancer (B)Acid fast stain to rule out tuberculosis (C)Flow cytometry to rule out lymphoma (D)Autoantibodies to rule out SLE