所屬科目:進階專科護理-一般內科
1. 有關腸道營養( enteral nutrition )的一般原則,下列敘述何者正確?
①假如病人情況允許,靜脈營養應優先於腸道營養
②管路灌食有腹瀉情形時,應使用止瀉藥及減少纖維素含量
③鼻胃管放置錯位,包括插進氣管、支氣管,常發生在昏迷的病人
④有長期管灌需求的病人,可以建議放置胃造廔管 (A) ①② (B) ②③ (C) ③④ (D) ①④
2. 一位58歲男性罹患糖尿病15年,目前口服藥物控制,下列何者 不是 營養狀態評估的指標? (A) BMI (B) albumin (C) HbA1c (D) hemoglobin
3. 有關嚴重高血鉀合併心電圖改變的醫療處置,下列敘述何者 不適當 ? (A) 靜脈輸注葡萄糖酸鈣( calcium gluconate ),可以有效降低血清鉀離子濃度 (B) 胰島素(regular insulin )與葡萄糖靜脈注射,可以使鉀離子移入細胞 (C) 以NaHCO3等滲溶液靜脈輸注,可以改善代謝性酸中毒 (D) 以 β2腎上腺素促效劑,可以促進細胞對鉀的攝取
4. 有關成年人的營養需求,下列敘述何者不適當? (A) 蛋白質攝取量每日0.8 g/ kg,可以滿足97%成年人的需求 (B) 對於重症病人,蛋白質攝取量至少每日1.2g/kg,以減少瘦體身體(lean body)質量流失 (C) 身體質量指數25 - 29 kg/m2的成年人,其熱量需求為21 - 25kcal/kg/ day (D) 某些組織(如骨髓、眼睛等)不能代謝脂肪酸,需以葡萄糖(每日約40g)作為能量來源
5. 有關病毒性腦炎( encephalitis)感染,下列敘述何者 不適當 ? (A) 第一型單純皰疹病毒(HSV- 1)為最常見和最重要的病原 (B) 臨床表現為發燒、意識狀態改變,合併性格改變或癲癇 (C) 腦脊髓液分析應包括單純皰疹病毒和腸病毒聚合酶連鎖反應檢測 (D) 磁振攝影常發現枕葉病灶,為HSV- 1最敏感的影像檢查
6. 有關胺基糖苷類( aminoglycosides)藥物,下列敘述何者 不適當 ? (A) 透過與細菌核糖體(ribosome )結合,在mRNA轉譯過程,抑制細菌蛋白質合成 (B) 常與細胞壁活性藥物(如 β 內醯胺類)併用,用於治療嚴重感染 (C) 在膿瘍( abscesses)的低 pH值/低氧環境中,仍保有良好的活性 (D) 使用需注意發生不可逆腎毒性( nephrotoxicity)和耳毒性( ototoxicity)
7. 磺胺類藥物(trimethoprim/sulfamethoxazole:Baktar® ),是廣效性抗生素,臨床 無法 治療 下列何種病原? (A) 人類肺囊蟲(Pneumocystis jiroveci) (B) 大腸桿菌(E. coli) (C) 金黃色葡萄球菌( Staphylococcus aureus) (D) 綠膿桿菌(Pseudomonas aeruginosa )
8. 病人生命徵象為體溫 38.5 ℃、脈搏 120 次 / 分、呼吸 22 次 / 分、血壓 120 / 65 mmHg、 WBC15000μL (seg 84.7%)、CRP 19.8mg/dL、指甲夾板出血及主動脈瓣區舒張期心雜音, 下列何者為最可能的診斷? (A) bacterial peritonitis (B) myocarditis (C) pericarditis (D) bacterial endocarditis
9. 一位 70歲女性因暈厥被送至急診,圖(一)是此病人的心電圖,最有可能是下列何種心律? (A) 一度房室傳導阻滯(first- degree AV block ) (B) 二度房室傳導阻滯(second - degree AV block ),Mobitz type I (C) 二度房室傳導阻滯(second - degree AV block ),Mobitz type II (D) 完全性房室傳導阻滯( complete AV block )
10. 一位60歲女性因腹痛、噁心與嘔吐來急診。此病人有剖腹產與膽囊切除手術病史,其 KUB如圖(二),請問最有可能的診斷為何?
(A) 沾黏性小腸阻塞( adhesive small bowel obstruction ) (B) 大腸阻塞(large bowel obstruction ) (C) 缺血性大腸炎(ischemic colitis) (D) 小腸憩室炎(small bowel diverticulitis)
11. 下列實驗室檢查結果,何者 不符合 腎前性急性腎損傷(prerenal acute kidney injury)的診斷? (A) 排鈉分率(fractional excretion of sodium,FENa )>1% (B) 尿液滲透壓( urine osmolality)>500mOsm/kg (C) 尿素氮和血清肌酸酐的比值(BUN:Cr ratio )>20 (D) 尿素排出分率(fractional excretion of urea nitrogen ,FEUrea )<35%
12. 一位 25歲男性因呼吸困難至急診就醫,主訴2天前工作撞擊到右側胸部,胸部X光檢查如圖(三),下列處置何者較適當?
(A) 立即給予右側胸管置入引流 (B) 觀察呼吸困難狀況並給予肌肉鬆弛劑 (C) 立即安排胸腔鏡手術治療 (D) 安排胸部電腦斷層檢查確立診斷
13. 一位 68 歲男性因右上腹悶痛 3 天加劇,伴隨噁心,出現黃疸與發燒 ( 38.5 °C ) 而就醫。 抽血檢查結果 WBC 16200 / μ L ( neutrophil 87 %,band form 9 % )、CRP 12.8 mg / dL、 AST 38 U / L、ALT 45 U / L、total bilirubin 4.5 mg / dL。最有可能之診斷為何? (A) 病毒性肝炎 (B) 細菌性膽管炎 (C) 肝硬化急性發作 (D) 急性胰臟炎
14. 一位 38歲男性,罹患第二型糖尿病未規則治療,因意識改變就醫。抽血檢查結果血糖980mg/ dL、血清滲透壓350 mOsm/kg、ketone (定量) 0.1 mmol/L、lactate 1.9mmol/L, 動脈血液氣體分析結果pH 7.36、PaCO₂ 41mmHg、 22mmol/L。根據以上數據, 最可能的診斷為何? (A) 高滲透壓高血糖狀態 (B) 糖尿病酮酸中毒 (C) 高乳酸酸中毒 (D) 正常代謝性酸中毒
15. 下列哪項檢驗最常用於判斷心衰竭嚴重程度的血清指標? (A) Troponin T (B) Myoglobin (C) BNP (D) Lactate
16. 一位 80 歲男性因肺炎併急性呼吸衰竭使用機械通氣 ( mechanical ventilation ) ,護理師 發現呼吸器異常警示音、頸部可觸及皮下氣泡聲( crepitus)、呼吸音右側變弱,SpO ₂降至86 %。最可能的併發症及最恰當的處置為何? (A) 呼吸器相關肺炎;給予經驗性抗生素治療 (B) 氣壓性傷害( barotrauma );通知醫師評估是否需胸管引流 (C) 呼吸器脫落導致肺不張;立即重新連接呼吸器 (D) 呼吸器異常同步( ventilator dyssynchrony);增加鎮靜劑改善病人適應度
17. 一位 65 歲男性因泌尿道感染併發寒顫與發燒入院,生命徵象為血壓 85 / 50 mmHg、 體溫 37.8 °C、心跳 110 次 / 分、呼吸速率 24 次 / 分,尿量明顯減少。 SpO ₂為 98 %, 乳酸值為4.2mmol/L。此時,作為專科護理師,下列哪項處置應優先執行? (A) 盡快安排病人立即接受腎臟超音波檢查,查明是否有水腎( hydronephrosis) (B) 給予退燒藥以降低病人不適 (C) 快速給予靜脈輸注晶體溶液( crystalloid fluid ) 30mL/ kg以穩定血壓 (D) 等待醫師評估後再決定是否使用升壓劑
18. 有關 4 種休克類型的病理機轉,下列敘述何者最適當? (A) 低血容量性休克是因血管阻塞,造成心臟無法有效射出血液 (B) 心因性休克的主要機轉是心肌收縮力不足,導致心輸出量下降 (C) 阻塞性休克常見於嚴重感染,造成微血管滲透性上升 (D) 血管擴張性休克的特徵是前負荷增加,導致周邊灌流過度
19. 一位72歲男性因嚴重感染合併意識改變至加護病房治療,平均動脈壓 52mmHg,依體重 給予生理食鹽水輸注30mL/kg後仍呈現低血壓。此時最適合的第一線升壓劑為何? (A) epinephrine (B) dopamine (C) norepinephrine (D) vasopressin
20. 院內心跳停止(in -hospital cardiac arrest,IHCA)後成功ROSC(恢復自發性循環)之病人, 下列處置何者 不適當 ? (A) 常規給予lidocaine防止再次心律不整 (B) 維持PaCO₂在35 - 45mmHg (C) 對STEMI病人或高度疑似STEMI病人做PCI治療 (D) 將平均動脈壓控制在65mmHg以上
21. 一位58歲男性主訴胸悶、盜汗到急診,十二導程心電圖如圖(四)。目前血壓90/60mmHg、 心跳52 次/分,無明顯肺部濕囉音。在等待心導管檢查的同時,下列處置何者 不適當 ?
(A) 監測生命徵象、建立靜脈路徑 (B) 給予低流量氧氣支持(若SpO₂<90%) (C) 給予硝酸甘油( nitroglycerin )緩解胸痛 (D) 安排右側心電圖以排除右心心肌梗塞
22. 病人主訴持續胸痛,且疼痛輻射至肩膀,心電圖顯示PR段下降和廣泛型ST段上升。下列 何者是 最不可能 的診斷線索? (A) 聽診時可聽到心包摩擦音 (B) 胸痛伴隨吸氣加劇 (C) 平躺休息時胸痛明顯緩解 (D) 胸部X光通常無特定發現
23. 有關急性冠心症治療的敘述,下列何者 錯誤 ? (A) 在沒有禁忌症的情況下,應儘可能加上HMG-CoA還原酶抑制劑 (B) 硝酸鹽類藥物可緩解症狀,但無證據顯示可降低死亡率 (C) 若合併心衰竭徵象時,應儘早使用 β 受體阻斷劑以改善症狀 (D) 當左心室射出率<40%時,儘早使用血管張力素轉化酶抑制劑可降低死亡率
24. 有關主動脈瘤的篩檢與診斷,下列何者 錯誤 ? (A) 有腹主動脈瘤家族史且>65歲男性應考慮腹部超音波篩檢 (B) 胸主動脈瘤可考慮磁振造影檢查評估瘤體與血管壁狀態 (C) 經食道心臟超音波可以評估主動脈及弓部病灶 (D) 腎動脈下腹主動脈瘤的首選篩檢工具為電腦斷層檢查
25. 有關直接口服抗凝劑(direct oral anticoagulants,DOACs)和warfarin比較,下列何者 錯誤 ? (A) DOACs作用時間較快且半衰期較短 (B) DOACs不需監測凝血數值 (C) DOACs顱內出血的風險較低 (D) DOACs為機械瓣膜置換病人的首選藥物
26. 下列何種藥物 最不可能 增加昏厥的風險? (A) amlodipine (B) furosemide (C) rosuvastatin (D) quetiapine
27. 有關主動脈瓣狹窄的典型症狀,下列何者 錯誤 ? (A) 活動時呼吸困難 (B) 心律不整 (C) 心絞痛 (D) 昏厥
28. 有關圖 (五)心電圖的判讀結果,下列何者正確?
(A) 前壁及外側壁心肌梗塞 (B) 前壁及中膈心肌梗塞 (C) 下壁及中膈心肌梗塞 (D) 下壁及後壁心肌梗塞
29. 有關感染性心內膜炎的診斷,下列何者正確? (A) 足底可能有無痛性小結節或斑點狀出血病變 (B) 經胸心臟超音波靈敏度高於經食道超音波 (C) 手指可能有豌豆大小紅色輕微隆起的無痛性結節 (D) 眼底檢查可能發現視網膜有紅色點狀出血病灶
30. 下列痰塗片耐酸菌染色鏡檢 ( AFB ) 與痰結核分枝桿菌核酸增幅檢驗 ( PCR ) 的結果組合, 何者最可能是痰液中有「非結核分枝桿菌」? (A) AFB( – )&PCR( –) (B) AFB(+)&PCR(– ) (C) AFB( – )&PCR(+) (D) AFB(+)&PCR(+)
31. 下列哪一類血管是支氣管擴張症併發大量咳血,最可能的出血源? (A) 肺動脈 (B) 肺靜脈 (C) 支氣管動脈 (D) 支氣管靜脈
32. 下列四種 ß2 agonists,何者的支氣管擴張起始作用最快( quick onset)? (A) formoterol (B) salmeterol (C) indacaterol (D) vilanterol
33. 病人主訴坐姿比平躺喘,檢測SpO2,坐姿時92 %,平躺時96 %,請問下列哪一類疾病最 可能是這位病人的診斷? (A) 心衰竭 (B) 慢性阻塞性肺病 (C) 肝硬化 (D) 末期腎病
34. 肺阻塞 ( COPD ) 病人因為活動喘促,走在平地上跟不上同年齡者,在平地上以自己控制 的速度走約200公尺就需休息,根據”The Modified Medical Research Council Dyspnea Scale ” 評量應該屬於哪一期? (A) 1 (B) 2 (C) 3 (D) 4
35. 依GOLD建議( global initiative for COPD , 2021 ),就肺阻塞(COPD)病人過去一年急性惡 化頻率及臨床症狀進行分組。下列哪位病人屬於Group B?(CAT:COPD assessment test ) (A) 過去一年曾經因急性惡化住院兩次,CAT 5分 (B) 過去一年曾經因急性惡化住院一次,CAT 15分 (C) 過去一年不曾有急性惡化,CAT 5分 (D) 過去一年不曾有急性惡化,CAT 15分
36. 常規體檢顯示肝指數正常、HBsAg陰性、HBeAg陰性、anti - HBs 陽性、anti - HBe陽性、 IgM anti-HBc陰性、IgG anti-HBc陽性,下列判讀何者正確? (A) 已緩解的急性B型肝炎 (B) 免疫活化的慢性B型肝炎 (C) 免疫耐受的慢性B型肝炎 (D) 接種B型肝炎疫苗而免疫
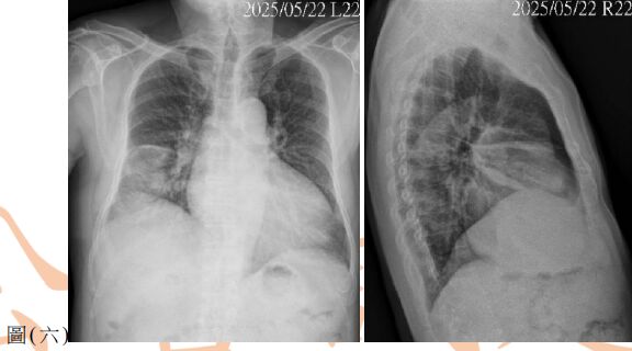
37. 病人因咳嗽、胸悶數週求診,無發燒,聽診無喘鳴音,血壓 150 / 88 mmHg,雙腳輕度凹陷性水腫,胸部X光如圖(六)。此病人的初步處置,下列何者最適當?
(A) 檢測腫瘤指數,安排電腦斷層導引切片檢查 (B) 痰液培養結核菌,給予抗結核藥物治療 (C) 先給予經驗性抗生素,一週後追蹤胸部X光 (D) 先給予利尿劑,一週後追蹤胸部X光
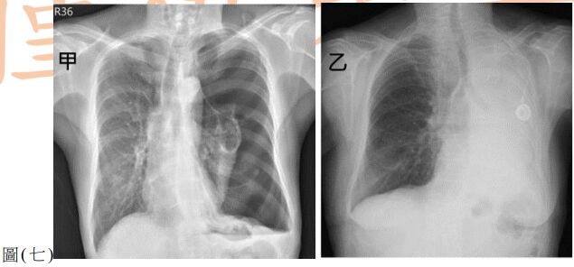
38. 甲、乙兩位病人因呼吸喘促求診,胸部 X 光如圖 ( 七 )。對於是否置放胸管引流改善呼吸 喘促的決策,下列何者正確?
(A) 只有甲適合插胸管 (B) 只有乙適合插胸管 (C) 甲、乙皆適合插胸管 (D) 甲、乙皆不適合插胸管
39. 下列何者 不是 計算肝硬化病人Child-Turcotte -Pugh分數所需的資訊? (A) ascites (B) bilirubin (C) partial thrombin time (D) albumin
40. 肝硬化病人因急性食道靜脈瘤出血住院,經藥物及內視鏡治療後仍反覆出血,此時下列治療策略,何者 最不適當 ? (A) 經頸靜脈肝內門體靜脈分流術 (B) 遠端脾靜脈腎靜脈分流術 (C) 肝臟移植 (D) 脾臟切除
41. 病人罹患慢性 B 型肝炎病史,因腹痛數日至急診,生命徵象穩定,醫師進行超音波導引 腹腔穿刺後,腹水分析顯示:腹水多形核白血球 250 個 / μ L、腹水紅血球 12500 個 / μ L、 腹水全蛋白 2.1 g / dL、腹水白蛋白 1.6 g / dL,血清白蛋白 3.5 g / dL,此病人最可能是下列 何種狀況? (A) 肝硬化所造成的大量腹水 (B) 肝癌破裂出血 (C) 自發性細菌性腹膜炎 (D) 次發性細菌性腹膜炎
42. 有關大腸直腸癌的風險因子,下列敘述何者 錯誤 ? (A) 男性的發生率高於女性 (B) 每日服用aspirin可以降低風險 (C) 高脂肪飲食可能造成罹病率上升 (D) 大部分大腸直腸癌源自於腺瘤性瘜肉
43. 下列何者 不是 急性胰臟炎診斷的主要依據? (A) 典型的上腹部疼痛,輻射到背部 (B) 合併高血鈣和高血糖 (C) 血清脂肪酶超過正常值上限的3倍 (D) 腹部電腦斷層顯示胰臟腫脹
44. 罹患高血壓、冠心症及心房顫動病人,因劇烈腹痛、腹瀉及大便帶血至急診,體溫37.8℃、 脈搏88次/分、呼吸18次/分、血壓92/60mmHg,身體診察發現腹部肌肉僵硬並有反彈痛, 腹部X光呈現拇指狀印痕(thumb- printing),下列何者為最可能的診斷? (A) 胃潰瘍穿孔 (B) 缺血性結腸炎 (C) 主動脈瘤剝離 (D) 潰瘍性結腸炎
45. 腸阻塞(ileus)合併腹部脹痛病人,無合併腹膜徵象、缺血性腸道或機械性阻塞的疑慮時, 下列處置何者 最不適當 ? (A) 禁食 (B) 補充水分 (C) 矯正電解質不平衡 (D) 使用麻醉性止痛藥緩解腹痛
46. 有關代謝性症候群造成胰島素阻抗的病理機轉,下列敘述何者正確? (A) 高血壓引起胰島素分泌減少 (B) 肝臟脂肪堆積導致胰島素快速分解 (C) 高密度脂蛋白增加胰島素抗性 (D) 細胞內脂肪酸損害胰島素訊息傳遞路徑
47. 下列哪一項為診斷骨質疏鬆症指標的檢查? (A) 骨骼掃描( bone scan ) (B) 腰椎X光檢查(lumbar spine X-ray) (C) 定量式骨質密度超音波檢查( quantitative ultrasound studies,QUS) (D) 雙重能量X光吸收攝影( dual- energy X-ray absorptiometry,DEXA)
48. 第一型糖尿病病人出現倦怠、腹痛、嘔吐及意識改變,血壓90/55 mmHg、脈搏112 次/分, 黏膜乾燥、呼吸深沉帶水果味,抽血檢查發現血糖490 mg/dL、pH 7.08、7 mEq/L, 血清鈉128 mEq /L,血清鉀5.8mEq/L。下列敘述何者正確? (A) 酸中毒會促進呼吸深快以排除二氧化碳 (B) 高血糖會導致血漿滲透壓下降以稀釋血鈉 (C) 血清鉀升高顯示細胞內鉀含量增加 (D) 呼氣水果味主要由acetoacetic acid所產生
49. 對於甲狀腺毒症(thyrotoxicosis)敘述,下列何者 錯誤 ? (A) 如果是Graves'disease引起,通常是TSH過低、Free T4過高 (B) 常見病因為Graves' disease (C) 甲狀腺大小有時會增大至原本的2到3倍 (D) 治療方式為切除甲狀腺
50. 下列微生物製劑,何者造成QTc延長的風險最低? (A) levofloxacin (B) isavuconazole (C) ketoconazole (D) azithromycin
51. 有關流行性感冒,下列敘述何者 錯誤 ? (A)流感後次發細菌性肺炎常見的病原菌為金黃色葡萄球菌 (B) 流行性感冒的致病原為一種DNA病毒 (C) 可能發生的常見併發症包括肺炎、心肌炎及腦炎 (D) oseltamivir、peramivir可用來治療A型和B型流感病毒
52. 有關登革熱的敘述,下列何者錯誤? (A) 潛伏期為4至10日,以發燒、噁心/嘔吐、肌肉疼痛及關節痛為特徵 (B) 發疹約發生在頭痛、發燒第4至第7日,從軀幹散至頭部與四肢 (C) 抽血檢驗可能出現白血球減少和血小板減少 (D) 常發生在熱帶及亞熱帶地區,台灣主要病媒蚊為三斑家蚊和白線斑蚊
53. 有關麻疹的敘述,下列何者 錯誤 ? (A) 經由空氣、飛沫傳播或直接接觸鼻腔或咽喉分泌物而傳染 (B) 常見的症狀為高燒≧3天、結膜炎、流鼻水與咳嗽等 (C) 需在24小時內向衛生主管機關通報 (D) 一般麻疹要在出現疹子後才有傳染力
54. 在人口密集機構 ( 如學校、醫院、安養院 ) 集體出現噁心嘔吐及群聚腹瀉症候群的情形, 且糞便細菌培養均為陰性,下列何者為最有可能的病原體? (A) 輪狀病毒 (B) 諾羅病毒 (C) 大腸桿菌 (D) 霍亂弧菌
55. 根據2021年「戰勝敗血症治療指引」,有關敗血性休克的處置,下列敘述何者正確? (A) 使用升壓劑的病人,建議維持平均動脈壓55mmHg以上 (B) 建議在前3小時給予每公斤體重至少30mL的晶體溶液( crystalloid ) (C) 敗血症合併嚴重急性呼吸窘迫症病人,不建議使用葉克膜(ECMO)治療 (D) 合併心臟功能失常的病人,建議以dopamine為第一線升壓劑
56. 病人因發燒、寒顫、頭痛、噁心及倦怠,因嘔吐嚴重而就醫,身體診察發現頸部僵硬、 皮膚有出血點及紫斑,腦脊髓液檢查發現有革蘭氏陰性雙球菌。有關此病人的診斷與治療, 下列敘述何者 錯誤 ? (A) 最有可能致病菌為腦膜炎球菌(Neisseria meningitides) (B) 抗生素建議使用高劑量ceftriaxone (C) 必須在72小時之內通報衛生主管機關 (D) 應持續呼吸道隔離至抗生素治療滿24小時
57. 有關抗生素使用的描述,下列哪一項 錯誤 ? (A) gentamicin 是常見的 aminoglycosides 類抗生素,對革蘭氏陽性菌、革蘭氏陰性菌和 厭氧菌均有良好效果 (B) levofloxacin可以使用於治療綠膿桿菌(Pseudomonas aeruginosa )感染 (C) vancomycin可以口服使用於治療困難梭菌(Clostridioides difficile )感染 (D) ceftriaxone不可加入含鈣的點滴注射液混合輸注使用
58. 當懷疑病人因鴉片類藥物中毒導致意識改變,可使用下列何種藥物? (A) flumazenil (B) thiamine (C) dextrose (D) naloxone
59. 針對癲癇發作及意識改變病人的初步評估,下列實驗室檢查何者 最不重要 ? (A) 血鈉濃度 (B) 血鉀濃度 (C) 血鈣濃度 (D) 血鎂濃度
60. 病人無慢性疾病史,因為發燒與頭痛 3 天至急診就醫,病人意識混亂且頸部僵硬,但腦部 電腦斷層檢查無異常,腦脊髓液檢查發現:白血球 300 個 / μ L、嗜中性球 90%、 紅血球 有2個/μL、蛋白質250mg/dL、葡萄糖25mg/ dL 以及血液中葡萄糖85mg/dL。下列何者 為可能的診斷? (A) 真菌性腦膜炎 (B) 病毒性腦膜炎 (C) 細菌性腦膜炎 (D) 結核性腦膜炎
61. 有關嚴重酒精戒斷引發癲癇病人的初步處置,下列敘述何者最適當? (A) 考量呼吸抑制的風險,應避免使用lorazepam或diazepam (B) 給予葡萄糖輸液補充前,應先給予thiamine (C) 應儘速給予抗癲癇藥物carbamazepine,避免引發癲癇重積症 (D) 應儘速插管或放置口咽呼吸道,以避免病人咬到舌頭
62. 下列何者最符合阻塞型睡眠呼吸中止症的臨床表現? (A) 入睡困難與持續性失眠 (B) 晨間頭痛與日間嗜睡 (C) 夜間呼吸困難併胸痛 (D) 夜間頻尿與夢遊
63. 一名年輕男性出現發燒、頭痛、頸部僵硬與行為改變,腦脊髓液分析顯示淋巴球上升, 腦波圖顯示在緩慢低振幅的背景中出現週期性局部顳葉棘波,下列藥物治療何者最適當? (A) acyclovir (B) benzathine penicillin G (C) ceftriaxone (D) doxycycline
64. 懷孕6個月婦女因持續發燒2天,合併寒顫、頻尿及腰痛入院,體溫39.2℃、脈搏88次/分、 呼吸18次/分及血壓110/90mmHg,身體診察發現右側肋脊夾角敲痛(CV angle knocking pain), 尿液培養尚未有報告,下列處置何者最適當? (A) 為避免藥物副作用,不建議使用抗生素,給予支持療法即可 (B) 優先選擇口服抗生素,療程以3天為限,以免造成胎兒傷害 (C) 靜脈注射quinolone類抗生素為優先選擇 (D) 靜脈注射ampicillin類或cephalosporins類抗生素為優先選擇
65. 慢性腎衰竭第五期的病人,血液檢驗報告呈現 BUN 182 mg / dL、creatinine 16.4 mg / dL, 建議進行血液透析治療,為預防初次血液透析引起的透析不平衡症候群,下列選項何者 正確? (A) 延長透析間隔天數 (B) 較快的透析血流速 (C) 縮短初次透析時間 (D) 選擇面積較大的透析器
66. 有關腹膜透析的敘述,下列何者正確? (A) 相較於血液透析病人較常出現低血鉀症 (B) 衛教飲食中蛋白質攝取量為0.6 - 0.8g/ day (C) 藉透析液中葡萄糖的擴散作用幫助移除多餘的水分 (D) 硬化性包囊腹膜炎為接受腹膜透析1年內常見的併發症
67. 病人每週一、三、五定期接受血液透析,於週一清晨發現全身無力、無法下床合併呼吸喘 的現象,在急診心電圖呈現junctional bradycardia,下列何者為最可能的原因? (A) 高血鈣 (B) 高血鎂 (C) 高血磷 (D) 高血鉀
68. 第二型糖尿病及第三期慢性腎衰竭病人,近半年有活動性喘且常感疲憊,胸部X光呈現 心胸比>0.5,心臟超音波顯示左心室射出分率37%,下列何者為最適合的藥物? (A) dipeptidyl peptidase - 4 inhibitors (B) thiazolidinediones (C) sodium- glucose cotransporter 2 inhibitors (D) α- glucosidase inhibitors
69. 膜性腎病變病人突然右側腰部劇烈疼痛合併血尿,體溫36.2℃、脈搏80次/分、呼吸18次/分、 血壓142/90mmHg,尿液檢驗呈現WBC 50-100/HPF(正常值<30/HPF)、RBC 200-300/HPF (正常值<20/HPF)、Protein 3+,下列何者為須優先考慮的診斷? (A) 腎靜脈栓塞 (B) 急性腎盂腎炎 (C) 腎結石合併腎水腫 (D) 腎臟腫瘤
70. 有關顯影劑腎病變,下列敘述何者正確? (A) 使用等滲透壓性顯影劑會增加顯影劑腎病變發生的風險 (B) 可於檢查前後給予等張性靜脈輸液預防顯影劑腎病變 (C) 血清肌酐酸通常在使用顯影劑後12小時開始上升 (D) 血清肌酐酸通常在使用顯影劑後24小時達高峰
71. 類風濕性關節炎最主要的遺傳風險因子,位於哪一基因區域? (A) HLA-DRB1 (B) IL- 6 (C) TNF-α (D) TP53
72. 病人近半年來持續性下背痛,在清晨更嚴重,活動後減輕,右膝關節和右足踝腫脹發炎, 皮膚和指甲檢查均無異常,無明確腸道症狀,血清 anti-cyclic citrullinated protein 陰性。 下列何者為最有可能的診斷? (A) 乾癬性關節炎 (B) 未分化周邊脊椎關節炎 (C) 類風濕性關節炎 (D) 僵直性脊椎炎
73. 病人在一次腸道感染(經糞便培養確診為沙門氏菌感染)後約2週,開始出現右膝關節疼痛 和發炎。身體檢查發現結膜炎,下列何者為最有可能的診斷? (A) 化膿性關節炎 (B) 反應性關節炎 (C) 痛風 (D) 退化性關節炎
74. 病人出現慢性溶血性貧血,伴有血紅素尿和深色尿液,尤其是感染後惡化。實驗室檢查 顯示血清lactate dehydrogenase顯著升高,haptoglobin幾乎檢測不到,Coombs試驗陰性。 下列何者為最有可能的診斷? (A) 自體免疫溶血性貧血 (B) 藥物性溶血性貧血 (C) 遺傳性球形紅血球增多症 (D) 陣發性夜間血紅素尿症
75. 病人於嚴重創傷後出現全身多器官功能障礙,實驗室檢查發現血小板下降、凝血酶原時間 ( PT )和活化部分凝血酶原時間( APTT )延長以及 D - dimer 升高。下列何者為最有可能的 診斷? (A) hemophilia (B) von Willebrand disease (C) thrombotic thrombocytopenic purpura (D) disseminated intravascular coagulation
76. 病人在輸血過程中出現發燒、呼吸困難和低血壓等急性症狀,在輸血後 4 小時仍持續發燒 且呼吸困難,下列何者為最有可能的輸血相關不良反應? (A) 輸血相關循環過載 (B) 非溶血性發熱性輸血反應 (C) 血品污染 (D) 輸血相關急性肺損傷
77. 有關上腔靜脈症候群的治療原則,下列敘述何者 錯誤 ? (A) 支架置放術只適用於有嚴重呼吸道阻塞或頭痛 (B) 對於惡性淋巴瘤或生殖細胞瘤應盡快給予化學治療 (C) 類固醇和利尿劑是緩解呼吸喘及腫脹的首選藥物 (D) 全身性抗凝血治療只適用於確定阻塞來自血栓
78. 有關惡性高血鈣的治療措施,下列敘述何者 錯誤 ? (A) 生理食鹽水輸液可促進鈣離子由腎臟排出 (B) thiazide利尿劑可促進鈣離子由腎臟排出 (C) calcitonin降鈣作用快,但可能出現耐受性 (D) zoledronic acid可抑制骨吸收,但嚴重腎功能異常者應謹慎使用
79. 有關癌症末期病人接受安寧緩和醫療,治療腸胃道症狀的處置原則,下列何者最適當? (A) 食慾不振時,可會診營養師提供高營養食物 (B) 類固醇對於惡性幽門狹窄造成的噁心嘔吐,具有緩解功效 (C) 為避免脫水,不建議給予利尿劑處理腹水 (D) 緩解便秘的首要步驟是減少液體攝取,以避免腹脹不適
80. 第三期慢性腎臟病病人,因罹患轉移性大腸癌,近期抱怨右側腰部持續性鈍痛。雖每4小時 服用 acetaminophen 500 mg,但疼痛指數仍為 6分 (滿分10分表示最痛) 。根據WHO三階 止痛藥物開立原則,下列何者是最適當的藥物處置? (A) 增加acetaminophen劑量至每日上限 (B) 改用口服celecoxib (C) 加上口服tramadol (D) 改用靜脈輸注morphine