所屬科目:胸腔科
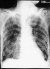
15. 一 70 歲男性,過去有抽菸病史 30 年 (1 pack/d) 咳嗽有痰且呼吸困難 3 天,理學檢查發現肺 - 肝界線 (lung-liver border) 在第 6 肋間,兩側肺野呼吸音對稱且有喘鳴,病人胸部 X 光如附圖二 示,病人可能發生: (A) 右側氣胸 (B) COPD 急性發作 (C) 肺血管栓塞 (D) 肺纖維化症 (E) 異物吸入症候群