所屬科目:血液科
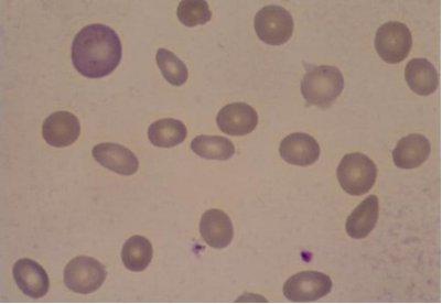
7. 一位病人因為身體疲倦來診,理學檢查顯示結膜貧血,鞏膜黃疸,血液抹片如圖五所示。圖六中,左邊試管內為此病人加了抗凝劑的血液,靜置30分鐘後,上層血漿呈紅色;右邊為小便,潛血反應為陽性,但沈澱物中並無紅血球。請問此病人最可能是有下面何種狀況?圖五圖六 (A) Acute hepatitis (B) Glomerulonephritis (C) Cystitis (D) Intravascular hemolysis (E) Porphyria
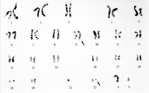
8. 一位病人無特殊不適,在體檢中無意發現白血球過高,理學檢查,除脾臟在左肋骨下緣一指幅處可觸摸到外,無其他異常。醫師安排了骨髓檢查及染色體分析,圖七中所示為一骨髓細胞的核型(karyotype),箭頭所指為異常的染色體。請問此病人最可能是得了什麼病?圖七 (A) 急性骨髓性白血病第四亞型 (B) 慢性骨髓性白血病 (C) 急性T-淋巴芽細胞白血病 (D) 骨髓增生不良症候群 (E) T細胞淋巴瘤