阿摩線上測驗
登入
首頁
>
免疫科
> 91年 - 91 內科專科醫師考試筆試題 :免疫科#97098
91年 - 91 內科專科醫師考試筆試題 :免疫科#97098
科目:
免疫科 |
年份:
91年 |
選擇題數:
10 |
申論題數:
0
試卷資訊
所屬科目:
免疫科
選擇題 (10)
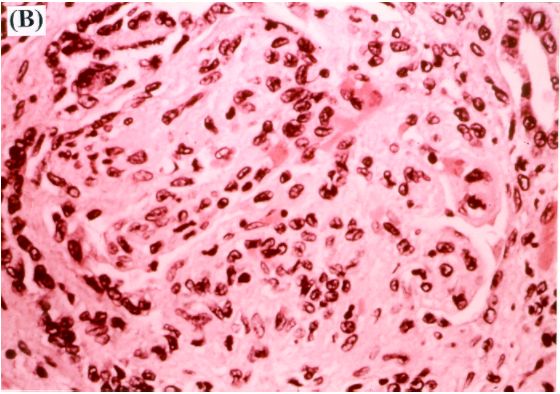
1. 一位17歲女性患者,因有昏眩,多發性關節疼痛及下肢浮腫而住院。ANA 1:320 speckled,血液常規:RBC 2.87M/μL,WBC 2.84K/μL, platelet 124K。尿液常規檢查發現:proteinuria ≧300 mg/dL,尿沈渣RBC 40-50/HPF,WBC 20-30/HPF,hyaline cast 3-5/HPF。腎臟活體檢查的結果(見 照片A和 照片B)為:A螢光抗體染色 BH&E染色。請問這位患者的最可能診斷為:
(A) Acute pyelonephritis (B) Amyloidosis (C) Multiple myeloma (D) Lupus nephritis (E) Post-streptococcal glomerulonephritis
2. (承前題)請問下列的何種治療對病人最為適當? (A) Pencillin G IV injection (B) Oral melphalan (C) High dose oral glucocorticoids (D) Oral cyclosporine (E) Cyclophosphamide pulse therapy
3. 有一位33歲的女性患者,在二年前開始發覺冬天兩手指端會有發白、發紫現象。最近一年來時常有多發性關節酸痛,體重減輕及腸胃不適。最近半年來有吞嚥困難及臉部和手指的皮膚繃緊及膚色變黑。在求診前一個月有乾咳及運動性呼吸困難。請問最可能的診斷為: (A) Progressive systemic sclerosis (B) Systemic lupus erythematosus (C) Dermatomyositis (D) Rheumatoid arthritis (E) Idiopathic pulmonary fibrosis
4. (續前題)上述患者住院之後的檢查結果如下:ANA 1:1280 nucleolar pattern,IgG 2042 mg/dL,IgA 365 mg/dL,IgM 156 mg/dL;PFT:moderate restrictive ventilatory defect with 56% of predicted DLCO;esophageal motility test 顯示食道下部 2/3 有不正常蠕動。試問下列何種藥物對此患者最有幫助? (A) Salazopyrine (B) D-penicillamine (C) Methotrexate (D) IVIG (E) Calcium channel blocker
5. 一位46歲的RA患者,兩側手指有ulnar deviation及手腕部固直(ankylosis),足趾亦有變形及足踝部腫脹。有一天早上醒來發覺左手第Ⅳ及Ⅴ指下垂無法上舉。而右腳也無力及感覺異常。抽血檢查發現RF 1810 IU/mL,C3 54.7 mg/dL,C4 8.4 mg/dL,CRP 11.7 mg/dL。請問這位患者的可能診斷為: (A) Entrapment syndrome (B) 左手第Ⅳ、Ⅴ指間餷帶及右足 Achilles tendon 斷裂 (C) Mononeuritis multiplex (D) Atlanto-axial subluxation (E) Rheumatoid nodules formation in the above sites
6. (續前題)為了進一步確定診斷,請問應該作下列的那一種檢查最有幫助? (A) 血中肌肉酵素的檢查 (B) 頸椎X-光照相(包括hyperextension及hyperflexion) (C) 滑液膜的生檢切片 (D) 肌電圖及神經對導速度測定 (E) 罹患部位的超音波檢查
7. 下列何種肌肉酵素對評估多發性肌炎患者的肌肉發炎程度最為敏感? (A) Aldolase (B) Lactic dehydrogenase (C) Creatine kinase (D) Glutamate pyruvate transaminase (E) Glutamic-oxaloacetic transaminase
8. 下列有關 rheumatoid arthritis(RA)藥物治療的描述,何者正確? (A) NSAIDs 可以防止骨頭的侵蝕 (B) TNF-α neutralizing agents可以作為第一線藥物來使用 (C) 類固醇對RA的症狀緩解相當有效,唯使用劑量必須大於0.5 mg/kg/day (D) 當併發有rheumatoid interstitial lung fibrosis時,methylprednisolone pulse therapy有相當的療效 (E) DMARDs中以methotrexate的使用作為基石
9. 試問下列的自體抗體與自體免疫疾病的配對中,何者不正確? (A) Anti-Jo-1---PSS (B) Anti-centromere ---CREST syndrome (C) cANCA---Wegener's garnulomatosis (D) Anti-ds DNA --- SLE (E) Anti-U1 RNA --- MCTD
10. 有一位23歲的女性患者罹患SLE已有四年之久。三天前家人發現她的口齒不清,而且左手有抽搐發生,但無意識喪失。住院之後抽血檢查的結果如下:ANA 1:160 speckled,anti-ds DNA 43.7 IU/mL,C3/C4=68.5/7.6 mg/dL,WBC 4700/μL。請問下列的那三種檢查最有幫助?(1)CSF (2) EEG (3) brain CT scan (4) MRI with contrast medium (5) anti-ENA (6) anti-cardiolipin antibodies (A) 1 + 2 + 3 (B) 1 + 4 + 6 (C) 2 + 3 + 5 (D) 3 + 4 + 6 (E) 4 + 5 + 6
申論題 (0)
相關試卷
108年 - 108 內科專科醫師甄審試卷:免疫科#81618
108年 · #81618
107年 - 107年度內科專科醫師考試筆試題 -- 免疫科#75099
107年 · #75099
106年 - 一0六年度內科專科醫師考試筆試題 -- 免疫科#76645
106年 · #76645
105年 - 一0五年度內科專科醫師考試筆試題 -- 免疫科#76646
105年 · #76646
104年 - 一0四年度內科專科醫師考試筆試題 -- 免疫科#76647
104年 · #76647
103年 - 一0三年度內科專科醫師考試筆試題 -- 免疫科#76656
103年 · #76656
102年 - 一0二年度內科專科醫師考試筆試題 -- 免疫科#76729
102年 · #76729
101年 - 一0一年度內科專科醫師考試筆試題 -- 免疫科#76727
101年 · #76727
100年 - 一00年度內科專科醫師考試筆試題 -- 免疫科#76728
100年 · #76728
99年 - 99 內科專科醫師考試筆試題:免疫科#97086
99年 · #97086