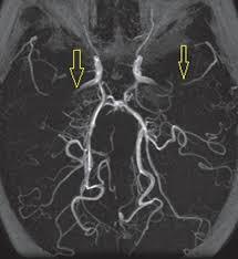
47 35 歲健康女性,早上起床時,突然發生失語症,右側肢體無力,經腦部核磁共振掃描檢查結果如下 圖,其最可能的診斷為何?
(A)Fabry disease
(B)可逆性後側腦白質病變症候群(reversible posterior leukoencephalopathy syndrome)
(C)粒線體病變
(D)moyamoya 症

答案:登入後查看
統計: A(6), B(6), C(0), D(53), E(0) #1054982
統計: A(6), B(6), C(0), D(53), E(0) #1054982
詳解 (共 6 筆)
#6124727
襪靠這題目圖片也太糊了吧
2
0
#4418051

0
0
#4418057
考試題目圖片
0
0
#4418059

0
0
#3111755
毛毛樣腦血管病(Moyamoya disease)
0
0
#4418046
病因學: 最早的毛毛樣腦血管病(Moyamoya disease)是內頸動脈血管有多出來的側支循環、X光片很像毛玻璃,像霧(日文為Moya Moya)稱之。一種慢性進行性腦血管閉塞疾病,由於顱內大血管閉塞,導致小血管代償性雜亂無章地瘋長,異常毛細血管亂麻成一團,而形成煙霧狀,所以也稱之為“煙霧病”。
0
0