阿摩線上測驗
登入
首頁
>
醫學四:80題 ( 包括小兒科,皮膚科,神經科,精神科等科目及其相關臨床實例與醫學倫理 )
> 103年 - 103-2 專技高考_醫師(二):醫學(四)(包括小兒科、皮膚科、神經科、精神科等科目及其相關臨床實例與醫學倫理)#36692
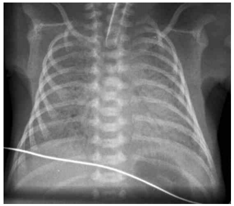
103年 - 103-2 專技高考_醫師(二):醫學(四)(包括小兒科、皮膚科、神經科、精神科等科目及其相關臨床實例與醫學倫理)#36692
科目:
醫學四:80題 ( 包括小兒科,皮膚科,神經科,精神科等科目及其相關臨床實例與醫學倫理 ) |
年份:
103年 |
選擇題數:
80 |
申論題數:
0
試卷資訊
所屬科目:
醫學四:80題 ( 包括小兒科,皮膚科,神經科,精神科等科目及其相關臨床實例與醫學倫理 )
選擇題 (80)
1 已知有 B 型肝炎免疫力的人,由下列何種血清標記可區分 infection)而非經由疫苗獲得抗體 (A)HBsAg (-)
(B)Anti-HBs(+) (C)Anti-HBc(+)(D)Anti-HBe(-)
2 一個 7 天大男童,因為腹脹及黃疸求診。 出生體重為 2,550 公克,出生週數。身體診察顯示倦怠、活力不佳,肝臟可摸到兩指幅。血液檢查白血球 8,280μL,其中 segment占15%,band form 占22%,lymphocyte 占 30%,monocyte占1%,eosinophil占1.2% 。血紅素15 g/dL,血小板 220,000/μL。ALT 77 U/L、AST 72 U/L腹部X 光、腹部皮膚及糞便如下,臨床診斷最可能為下列何者 (A)intestinal obstruction (B)acute gastroenteritis (C)milk allergy(D)congenital megacolon
3 下列何種疾病不是基因之三核苷酸重覆(trinucleotide repeat)過多所導致? (A)DiGeorge 症候群 (B)Friedreich ataxia (C)Huntington chorea(D)fragile X 症候群
4 下列那一種情形最不適合接種注射型非活性流感疫苗 (A)罹患糖尿病的 70 歲老人(B)懷孕 32 週的孕婦 (C)罹患輕度心室中隔缺損的 3個月嬰兒 (D)罹患發紺性心臟病的 6歲兒童
5 下列何種先天構造異常之新生兒會在安靜時呈現呼吸窘迫及發紺後發紺情況則得以緩解?(A)先天性橫膈疝氣(congenital diaphragmatic hernia)(B)氣管食道瘻管(tracheo-esophageal fistula)(C)皮耳羅賓症候群(Piérre-Robin syndrome)(D)雙側後鼻孔閉鎖(bilateral choanal atresia)
6 一位於母親懷孕 28 週時出生的新生兒,出生後有明顯呼吸窘迫現象,胸部 X 光如圖所呈現,此嬰兒 最適當的治療是: (A)一氧化氮吸入性治療(nitric oxide inhalation) (B)表面張力素(surfactant) (C)廣效抗生素(broad spectrum antibiotics) (D)類固醇(steroids)
7 一個足月兒出生體重 4.8 公斤,以頭位自產道產出,出生後之身體診察發現此嬰兒之驚嚇反射(Moro reflex)不對稱,右側沒有反應。此嬰兒同時有發紺現象伴隨不規則的費力呼吸,呼吸時兩側胸部動 作不對稱,右側肋緣下沒有明顯凹陷,聽診時右側肺部呼吸音較小聲;此新生兒的臨床診斷最可能 是下列何者? (A)右側氣胸 (B)左側肺部塌陷 (C)右側上臂神經叢傷害 (D)右側下臂神經叢傷害
8 下列何者不是新生兒胎便吸入症候群(meconium aspiration syndrome)之臨床表現? (A)呼吸急促 (B)貧血 (C)氣胸 (D)膚色藍紫色
9 治療早產兒開放性動脈導管(patent ductus arteriosus)最適合的藥物為: (A)epinephrine (B)β-blocker (C)indomethacin (D)dopamine
10 下列何種疾病最不會引發新生兒延遲性黃疸症候群? (A)UTI(urinary tract infection) (B)CMV infection (C)hypothyroidism (D)Wilson disease
11 足月正常新生兒純母乳哺餵,2 個月大時仍發現有黃疸,抽血檢查 bilirubin(direct/total)為2.5/5.2 mg/dL, 下列何者最正確? (A)屬延遲性黃疸,是母乳哺餵嬰兒常有症狀,應注意嬰兒大便顏色,如果有點黃,追蹤即可 (B)是高間接性膽紅質血症(unconjugated hyperbilirubinemia) (C)應立即停掉母奶哺餵,一般 3~5 天後黃疸會退,之後再母乳哺餵 (D)是膽汁滯留(cholestasis);應進一步安排檢查
12 一位三歲半男童,誤食奶奶做鹼粽剩下的鹼油(pH 值為 12),產生嘔吐、嘴巴潰爛現象。下列何者 最正確? (A)考慮為強鹼引起的腐蝕性食道炎,應該趕快給予酸性水液,以酸鹼中和 (B)口咽(oropharynx)無腐蝕病灶時,表示食道胃部無受損 (C)一般不會同時發生腐蝕性胃炎 (D)部分病人會發生食道狹窄合併症
13 1 歲 5 個月的男童因為高燒不退 5 天,躁動不安及不愛動左腳,被帶至急診室評估,身體診察發現左 膝紅腫合併壓痛及關節活動受限,下列何者是最重要的檢查來確診敗血性關節炎(septic arthritis)? (A)左膝關節 X 光 (B)紅血球沉降速率(ESR) (C)左膝關節液檢查(Gram stain and culture) (D)血球計數及分類
,鈉離子濃度為 133 mmol/L,血中氯離子濃度為 104 mmol/L,血中 pH 值為 7.2, 重碳酸根(HCO
3
-
)離子濃度為 18 mmol/L,尿液的 pH 值為 6.5。請計算女童血中的陰離子間隙(anion gap)? (A)13.8 mmol/L (B)8.2 mmol/L (C)11 mmol/L (D)18 mmol/L
15 承上題,女童最有可能的診斷為: (A)第一型腎小管酸血症(renal tubular acidosis, type I) (B)第四型腎小管酸血症(renal tubular acidosis, type IV) (C)Bartter 氏症候群(Bartter syndrome) (D)Fanconi 症候群(Fanconi syndrome)
16 一位 3 歲男孩原本會跑步但近四個月發現越來越不能走路,一週前發現他蹲下去後需靠雙手撐住地 面才能站起來,血清中肌酸激酶(creatine kinase)為正常值的 100 倍。他最可能是得到下列何種疾 病? (A)Duchenne muscular dystrophy (B)spinal muscular atrophy (C)congenital muscular dystrophy (D)myasthenia gravis
17 一位懷孕週數 26 週的早產兒出院後,於出生後七個月大時到你的門診追蹤診察。他會發出ㄧㄨ聲音, 但仍無 da ba 音。頭會轉向音源。俯臥時胸部和頭部可以抬起,但仍不會翻身。給他玩具會抓握,但 仍不會主動伸手抓。你對他的評估是: (A)粗動作發展遲緩 (B)細動作發展遲緩 (C)語言發展遲緩 (D)整體發展正常
18 一位 10 歲男童,因昏迷而被學校保健護士送至醫院急診室。到院時有自發性呼吸,醫師叫他沒反應, 身體診察四肢鬆軟無力,痛刺激手部時眼睛會張開、手會縮回,此時之葛氏昏迷指數(Glasgow coma scale)為多少分? (A)6 (B)7 (C)8 (D)9
19 一位 10 歲男童於兩天前即發生嘔吐、全身無力之症狀,醫師給予症狀治療,但病人情況惡化,因為失 去知覺而送到急診室。身體檢查發現病人處於昏迷(coma)狀態,體溫 38.5℃,血壓 90/40 mmHg, 心跳 160 次/分,除口腔黏膜乾燥外並未發現其他異狀,亦無神經局部病灶徵象(focal sign)。實驗 室檢查顯示血糖值為 50 mg/dL,血清鈉離子濃度 125 mmol/L、鉀離子濃度 3.6 mmol/L、氯離子濃度 80 mmol/L,尿液鈉離子濃度 50 mmol/L。此病童最可能的診斷為何? (A)急性腸胃炎(acute gastroenteritis) (B)心臟衰竭(heart failure) (C)腦炎(encephalitis) (D)腎上腺機能不全(adrenal insufficiency)
20 一名新生兒外生殖器有性器混淆(ambiguous genitalia)現象,染色體為 46,XX。最不可能的診斷為: (A)21-hydroxylase deficiency (B)17α-hydroxylase deficiency (C)aromatase deficiency (D)ovotesticular disorders of sex development
21 臺灣地區先天性腎上腺增生(congenital adrenal hyperplasia)的新生兒篩檢是測定嬰兒血片的: (A)ACTH (B)cortisol (C)17-hydroxyprogesterone (D)21-hydroxylase enzyme activity
22 有關 velocardiofacial(DiGeorge)syndrome 之敘述,下列何者正確? (A)第五與第六鰓弓在胚胎發育時失常引起 (B)是 Wiskott-Aldrich syndrome 症狀表現之一 (C)是以 B 淋巴球缺陷為主的免疫功能障礙 (D)常見原因是染色體第 22 對 q11.2 處的 deletion
23 下列那一個自體抗體在全身性紅斑性狼瘡(systemic lupus erythematosus, SLE)具有診斷上的意義? (A)抗 Sm 抗體(anti-Smith antibody) (B)抗 Scl-70 抗體(anti-Scl-70 antibody) (C)抗 Jo-1 抗體(anti-Jo-1 antibody) (D)抗 centromere 抗體(anti-centromere antibody)
24 下列何者不可作為過敏性鼻炎長期維持性治療藥物? (A)鼻內類固醇噴劑(corticosteroids) (B)鼻內去充血噴劑(decongestants) (C)鼻內色甘酸鈉噴劑(cromolyn sodium) (D)鼻內抗組織胺噴劑(antihistamines)
25 關於自體免疫性溶血性貧血(autoimmune hemolytic anemia)中的冷型抗體(cold antibodies),下列 何者錯誤? (A)常在溫度<37℃ 時發生凝集 (B)Mycoplasma pneumoniae 為可能的致病原 (C)其抗體為 IgG (D)用類固醇治療效果不彰
26 在目前最先進的治療下,下列何種小兒癌症有最好的預後? (A)medulloblastoma in posterior fossa (B)neuroblastoma stage 4S (C)advanced anaplastic large cell lymphoma (D)anaplastic stage IV Wilms tumor
27 一位 14 週大女童因腿部一軟組織急速長大而就診,腫塊觸診感覺很軟,如圖所示,抽血檢查發現病 童有輕微貧血及血小板下降情形,血液抹片可見紅血球碎片(fragment),血液中 D-dimer 值上升, 此病童最有可能是: (A)皮下出血(subcutaneous hemorrhage) (B)Kasabach-Merritt 症候群 (C)Evans 症候群 (D)骨肉瘤(osteosarcoma)
28 下列何者得到巨細胞病毒( cytomegalovirus, CMV)感染最可能產生嚴重的併發症? (A)足月兒由產道出生,出生時母親 CMV 之 IgG 為陽性者 (B)足月兒經口餵食時,餵以有 CMV 感染母親之捐贈乳者 (C)足月兒母親在懷孕時有 CMV 之原發感染(primary infection)者 (D)六個月大之嬰兒因接觸母親之唾液而傳染者
29 針對患先天性房室間傳導完全阻斷( CCAVB)的新生兒。下列何者不是放置心律調整器之適應症? (A)有心衰竭的現象 (B)心室跳動次數每分鐘60次(C)寬 QRS 波(wide QRS complex (D)合併 QT 延長症候群 .
30 8 歲男孩因矮小、學習障礙及心雜音而就醫。染色體檢查正常,有蹼狀頸。下列何者為最可能的心臟問題? (A)肺動脈瓣膜狹窄(PS) (B)開放性動脈導管(PDA)(C)法洛氏四合症(TOF)(D)主動脈弓縮窄(coarctation of the aorta)
.
31 神經皮膚症候群(neurocutaneous syndrome) 患童有其特異性神經變異,下列之對應組合中何者最不可能?(A)Sturge-Weber syndrome – 感覺神經性聽力障礙合併大腦膠質瘤(glioma) (B)結節性硬化症(tuberous sclerosis complex)-腦室管膜下鈣化(subependymal calcification) (C)von Hippel-Lindau disease – 小腦有血管母細胞( hemangioblastoma) (D)神經纖維瘤症(von Recklinghausen syndrome)-基底核出現 unidentified bright objects(UBO)
32 下列遺傳疾病與其特異性徵候之相關組合,何者最不可能?(A)Miller-Dieker syndrome –lissencephaly/infantile seizure(B)Angelman syndrome – rocker-bottom feet/clenched hand(C)Waardenburg syndrome –heterochromia irides/piebaldism(D)Prader-Willi syndrome – severe neonatal hypotonia/hypogonadism
複選題
33 上心室心率過快(supraventricular tachycardia)的兒童,如果需要用到電擊術(cardioversion)時,建議最初之電擊量為多少 J/kg? (A)0.5 (B)2 (C)4(D)8
34 80 歲老太太開完腹腔手術後併發敗血症 化﹙如下圖所示﹚,最可能是下列何種微量金屬物質的缺乏 (A)鋅 (B)鐵 (C)鎂(D)鈣
35 58 歲男性,於額頭、眉間及鼻翼出現如附圖 會癢之皮膚病變。患者在下列何處最可能出現類似之皮膚病變? (A)頭皮 (B)頸部 (C)手掌(D)足底
36 異位性皮膚炎(atopic dermatitis)的敘述,下列何者錯誤? (A)病程為急性、突發性 (C)皮膚乾燥 (B)劇癢(D)嬰兒期,好發的部位包括臉部
在腹股溝出現搔癢之紅斑以伍氏燈(Wood’s light)檢查出現如圖之發現,最適合之診斷為:
: (A)erythrasma (B)candidal intertrigo(C)tinea versocolor
(D)tinea cruris
38 承上題,這位患者皮膚病的致病菌為 (A)Trichophyton rubrum (B)Malassezia furfur(C)Candida albicans (D)Corynebacterium minutissimum
39 66 歲男性, 陰囊有慢慢變大、會癢之皮膚病變(如圖),有 4 年之久,其間亦接受外用藥物治療 但沒有改善,病理檢查如下圖 ;下列何者為最適當的診斷?
(A)慢性濕疹(chronic eczema)(B)乾癬(psoriasis)
(C)陰部皮癬(tinea cruris) 、 )
(D)陰部柏哲氏病(Paget’s disease)
40 70 歲病患,近一個月在身體和四肢出現紅疹和水疱(圖 A),皮膚病理切片發現在真皮層有淋巴球 的浸潤(圖 B),直接免疫螢光染色發現 IgG 螢光出現在角質細胞間(圖 C),最可能的診斷為何? (A)落葉性天疱瘡(pemphigus foliaceus) (B)尋常性天疱瘡(pemphigus vulgaris) (C)類天疱瘡(bullous pemphigoid) (D)疱疹性皮膚炎(dermatitis herpetiformis)
41 下列何種自體免疫抗體(autoantibody)與新生兒紅斑性狼瘡(neonatal lupus erythematosus)關聯性 最高? (A)anti-histone (B)anti-Ro (C)anti-La (D)anti-Sm
42 50 歲男性,主訴臉部有脫色斑,KOH 鏡檢陰性,伍氏燈(Wood’s light)檢查下對比更加明顯,臨 床如圖所示,其診斷為下列何者? (A)白斑(vitiligo) (B)白色糠疹(pityriasis alba) (C)汗斑(pityriasis versicolor) (D)白化症(albinism)
43 75 歲男性因肺癌住院治療,電腦斷層發現腫瘤轉移到兩側腎上腺,全身倦怠,血鉀上升,全身皮膚 及口腔黏膜、掌紋處多處變黑,下列敘述何者正確? (A)無法對 corticotropin stimulation test 有正常的反應,血液中 ACTH 濃度高 (B)niacin 缺乏 (C)癌細胞轉移皮膚造成 (D)病人服用 epidermal growth factor receptor(EGFR)inhibitor 造成
44 65 歲乾癬患者,最近因服用其他藥物,乾癬突然加劇,下列何種藥物和乾癬惡化最相關? (A)isosorbide mononitrate (B)atenolol (C)metformin (D)simvastatin
45 下列關於黑色棘皮症(acanthosis nigricans)的敘述何者為錯誤? (A)可能與胰島素抗性(insulin resistance)的內分泌疾病有關 (B)可能由藥物引起,例如菸鹼酸(nicotinic acid) (C)移除相關的內臟惡性腫瘤後,皮膚病灶可能消失 (D)對於肥胖相關的黑色棘皮症,減重對於皮膚病灶沒有改善作用
46 34 歲女性,主訴頭痛已 2 週,當起身站立時整個頭會脹痛、噁心,躺下則頭痛立即改善,一般檢查 為正常。最可能的診斷為何? (A)大腦靜脈竇栓塞(cerebral sinus thrombosis) (B)內頸動脈剝離(internal carotid artery dissection)引起的頭痛 (C)低顱內壓頭痛(low intracranial pressure headache) (D)椎基底偏頭痛(vertebrobasilar migraine)
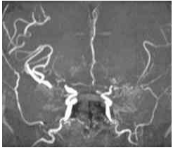
47 35 歲健康女性,早上起床時,突然發生失語症,右側肢體無力,經腦部核磁共振掃描檢查結果如下 圖,其最可能的診斷為何? (A)Fabry disease (B)可逆性後側腦白質病變症候群(reversible posterior leukoencephalopathy syndrome) (C)粒線體病變 (D)moyamoya 症
48 66 歲男性,已知高血壓多年但未控制,突發頭痛、意識不清與癲癇,至急診時血壓為 240/130 mmHg, 神經學檢查意識混沌,但無局部肢體無力現象,腦部磁振照影檢查最可能的發現為何? (A)小腦(cerebellum)出血 (B)視丘(thalamus)出血 (C)大腦枕葉部(occipital lobe)水腫 (D)中腦(midbrain)梗塞
49 一位 5 個月大的男孩,父母發現他在剛睡醒時常會有一陣陣全身抽動現象,每隔幾秒就抽動一次, 一連串的發作甚至可達 3 至 5 分鐘。下列敘述何者錯誤? (A)ACTH、corticosteroid 或 benzodiazepine drugs 是常用的治療藥物 (B)最可能的診斷是 West syndrome (C)90%以上的病患在 1 歲後會逐漸康復痊癒 (D)Hypsarrhythmia 為其特徵性之腦電圖(EEG)表現
50 一位神經學檢查均正常的 8 歲女孩,一天內常有上百次突然表情呆滯,動作暫停,對旁人之呼叫無 反應,約 10 秒後恢復神智。下列何者敘述為錯誤? (A)大腦磁振攝影檢查(MRI)結果常為正常 (B)最可能的診斷為兒童良性 rolandic 癲癇(benign rolandic epilepsy) (C)可被過度換氣(hyperventilation)檢查誘發 (D)每秒 3 次的棘波-慢波複合波(3-Hz spike-and-wave complexes, 3-Hz spike-wave discharges)為其特 徵性之腦電圖(EEG)表現
51 關於癲癇重積狀態(status epilepticus)的敘述,下列何者錯誤? (A)定義為癲癇發作持續 60 分鐘以上,或任一次發作完神智 24 小時內未恢復清醒 (B)在成人之抽搐型癲癇重積狀態(convulsive status epilepticus),死亡率高達 7%到 10% (C)以發燒感染、中風、藥物改變或服藥之遵從性不佳、飲用酒類或其他藥物及新陳代謝異常為發生 之主要原因 (D)非抽搐型癲癇重積狀態(nonconvulsive status epilepticus)較常發生於中老年人,且過去多無癲癇 病史
52 關於偏頭痛的敘述,下列何者正確? (A)男生比女生容易得到偏頭痛 (B)常常是中老年才開始發病 (C)一定是單側頭痛 (D)常伴隨噁心和嘔吐
53 一位 75 歲輕度失智老人,於一年前其認知障礙漸進發生且逐漸惡化,於近半年動作緩慢易跌倒,常 有意識混亂及幻覺的現象。神經學檢查軀幹僵直,四肢輕微顫抖。電腦斷層掃描顯示大腦泛發性萎 縮。病人最可能罹患下列何種病? (A)路易體失智症(dementia with Lewy bodies) (B)阿茲海默症(Alzheimer disease) (C)常壓性水腦症(normal-pressure hydrocephalus) (D)庫賈氏症(Creutzfeldt-Jakob disease)
54 下列關於威爾遜氏病(Wilson disease)治療的敘述,何者正確? (A)D-penicillamine 最常見副作用是會產生多發性神經病變(polyneuropathy) (B)在整個療程中,飲食可以不必忌諱高含銅食物 (C)所有的病人都會在開始治療後惡化 (D)若因 D-penicillamine 副作用而無法服用的患者可改用 trientine
55 一位 36 歲男性於劇烈運動後,又去吃完豐盛晚餐,爾後產生突發性四肢近端肌肉無力,送至急診就 醫,發現血中鉀離子濃度下降至 1.8 mEq/L,下列何者為病患最可能之診斷? (A)周期性麻痺(periodic paralysis) (B)肌肉失養症(muscular dystrophy) (C)重症肌無力症(myasthenia gravis) (D)發炎性肌肉病變(inflammatory myopathy)
56 下列有關肌肉病變之敘述,何者錯誤? (A)血中肌酸激酶(creatine kinase)值有助於肌肉疾病的診斷 (B)裘馨氏肌肉失養症(Duchenne muscular dystrophy)是由肢體末端開始無力之肌肉疾病 (C)肌肉切片檢查有助於多發性肌炎之診斷 (D)肌強直性失養症(myotonic dystrophy)是成人常見之遺傳性肌肉疾病
57 有關檢查脊髓受傷病患之敘述,下列何者錯誤? (A)患者若上、下肢完全麻痺,但腦神經系統正常,通常表示頸椎受傷 (B)患者僅下肢麻痺,上肢肌力正常,可完全排除頸椎受傷 (C)患者於外傷後 48~72 小時內還能保留肢體運動或感覺,通常表示有較佳之預後 (D)對任何脊椎受傷之患者,首要考量為不可任意移動頸部
58 一位 48 歲患有輕度厭食症之女性因嗜睡和全身無力被送至急診室,身體檢查無異常發現,唯實驗室 檢查發現血清鈉離子濃度為 114 meq/L。經緩慢的給予 3% NaCl 之高張鹽水(hypertonic saline)點 滴注射,2 天後血清鈉離子濃度上升至 135 meq/L,患者意識恢復,無力症狀也改善。但再 3 天後患 者突然發生四肢全癱,吞嚥與構音障礙,和半昏迷狀態。根據以上敘述,下列何者是此病人治療後 最可能發生的併發症? (A)腦下垂體中風(pituitary apoplexy) (B)急性多發性神經炎 (C)中央橋腦髓鞘溶解症(central pontine myelinolysis) (D)多發性硬化症(multiple sclerosis)急性復發
59 復發-緩解型之多發性硬化症(relapsing-remitting type of multiple sclerosis)病人在疾病緩解期 (remitting stage)須接受治療以減少疾病復發,下列那一項選擇為最不適當之藥物? (A)interferon-β1b (B)interferon-β1a (C)nonsteroid anti-inflammatory drugs (D)glatiramer acetate
60 一位 18 歲男性,近年來漸次出現肢體顫抖,步態不穩,構音障礙,在學成績退步,情緒不穩定。身 體檢查發現眼角膜有棕綠色的沉澱,上肢有翼跳動震顫(wing beating tremor)合併有肌張力異常的 姿勢(dystonic posture)。下列何者是最可能的診斷? (A)舞蹈棘紅血球症(choreoacanthocytosis) (B)席登罕氏舞蹈症(Sydenham chorea) (C)多發性硬化症(multiple sclerosis) (D)威爾森氏症(Wilson disease)
61 下列何種藥物,可用來治療思覺失調症(schizophrenia)? (A)serotonin dopamine agonists (B)serotonin dopamine antagonists (C)serotonin norepinephrine reuptake inhibitors (D)serotonin dopamine reuptake inhibitors
62 關於抗精神病藥(antipsychotics)的副作用及其主要藥物機轉之配對,下列何者正確? (A)口乾:血清素(serotonin)再回收阻斷作用 (B)姿勢性低血壓(orthostatic hypotension):甲型腎上腺素受體(α adrenergic receptors)阻斷作用 (C)錐體外症候群(extrapyramidal syndrome):多巴胺(dopamine)再回收阻斷作用 (D)尿液滯留:甲型腎上腺素受體(α adrenergic receptors)阻斷作用
63 下列何種憂鬱症病人的特徵或伴隨症狀,最不會在之後病程中,轉變成雙極性疾患(bipolar disorder)? (A)發病時間早 (B)症狀產生的時間慢且維持時間長 (C)25 歲之前伴隨有妄想(delusions) (D)25 歲之前伴隨有幻覺(hallucinations)
64 28 歲的楊小姐,因為有恐慌發作(panic attack)前來就醫,下列何者最不可能是她的症狀? (A)心悸 (B)喉頭異物感 (C)胸悶 (D)失去定向感
65 下列關於強迫症(obsessive compulsive disorder)的敘述,何者正確? (A)完成強迫行為後可完全消除焦慮 (B)只有少數個案是突然發生,多數個案是不知不覺發生的(insidious onset) (C)最常見的強迫思考內容是擔心受到污染 (D)多數個案覺得自己的強迫行為是合理的
66 關於老年憂鬱疾患的特點,下列何者錯誤? (A)憂鬱症越晚發病,復發的可能性越高 (B)和年輕族群相較,老年憂鬱患者較常強調身體不適,可能造成臨床上被低估 (C)假性失智(pseudodementia)現象發生在老年憂鬱患者的比例不在少數,約略有 15% (D)年齡本身是發展成憂鬱症的重要危險因子
67 苯二氮平(benzodiazepine)較巴比妥鹽(barbiturate)安全,乃巴比妥鹽藥物過量時最容易有何種現 象導致生命危險? (A)心律不穩 (B)高燒 (C)呼吸抑制 (D)血壓過高
68 某 58 歲男性,已有 30 年飲酒史,40 歲失業後每天飲高粱酒至少一瓶,且合併有酒精性肝炎,自 55 歲起逐漸出現記憶力退化,經醫師確診為酒精引起之失智症(alcohol-induced persisting dementia), 則下列敘述何者正確? (A)個案可能會出現虛談(confabulation)現象 (B)不須考量營養不良所引起之記憶力下降 (C)以長程記憶力缺損為主 (D)經適當治療通常 80%個案可以恢復記憶
69 一位 30 歲男性(5 年前罹患癲癇後,雖然接受藥物治療,但仍偶會發作)最近一週被發現自言自語 及情緒變得暴躁,他向家人訴說一直有人在他耳邊說話。下列有關癲癇併發精神疾病之敘述,何者 錯誤?①癲癇患者最常見之精神問題是憂鬱,而且此憂鬱情緒與其顳葉之病灶有關 ②癲癇患者較 常於癲癇發作時併發精神病,較少於兩次癲癇發作中間併發精神病 ③癲癇患者最常見之精神病症 狀是幻覺與被害妄想 ④顳葉與額葉病灶之癲癇患者較易有暴力行為 (A)①④ (B)①② (C)②③ (D)③④
70 下列有關阿茲海默症(Alzheimer’s disease)之敘述,何者錯誤? (A)為最常見之失智症 (B)過去曾有腦傷是將來罹患阿茲海默症之危險因子 (C)女性較容易罹患阿茲海默症 (D)第 19 對染色體有 ApoE2 基因者較易得阿茲海默症
71 關於罹患注意力不足過動症的個案,下列何者錯誤? (A)注意力無法集中,以致無法完成該做的作業或工作 (B)自尊程度常比一般兒童青少年要高 (C)衝動控制不佳,容易動怒或發脾氣 (D)面對問題時沒耐心思考解決之道,提前放棄,缺乏組織和解決技巧
72 下列敘述何者錯誤? (A)評估兒童青少年的發展,須評估已具有的能力和生理年齡應有的發展程度之間的差距 (B)大多數輕度智能障礙的成年人,能發展出自我支持(self-support)的社交和職業技能 (C)大多數兒童在 1 歲時已會發出近似語言但不若語言清楚的聲音 (D)對於大多數輕度智能障礙的兒童來說,5 歲之前常常無法發展出社交和溝通技能
73 依據 DSM-IV-TR 診斷標準,下列何者會出現在典型自閉症但不在亞斯柏格症(Asperger's disorder) 的核心症狀之中? (A)社交互動缺損 (B)智能障礙 (C)語言能力與認知發展遲緩 (D)侷限、反覆、固著的行為/興趣/活動
74 有關人格違常者的行為模式之敘述,下列何者錯誤? (A)與文化背景所預期的甚遠,在認知、情感、人際關係、衝動控制尚有明顯的適應不良 (B)存在於廣泛的個人或社會情境中 (C)造成內心的顯著痛苦,或損害社會、職業等功能 (D)是突發性的,且發生於中老年時期
75 在 DSM-IV-TR 的診斷系統中,共有三大類人格違常疾患。其中,C 型人格違常疾患常表現出焦慮或 害怕的情緒,下列何者不屬於 C 型人格違常? (A)強迫性人格違常(obsessive-compulsive personality disorder) (B)依賴性人格違常(dependent personality disorder) (C)邊緣性人格違常(borderline personality disorder) (D)逃避性人格違常(avoidant personality disorder)
76 懷孕週數 22 週出生的早產兒,出生後一星期突發腹脹、食慾不振、活力變差,仰躺腹部 X 光片如圖, 則最常見原因為何? (A)腸胃炎(gastroenteritis) (B)膽道閉鎖(biliary atresia) (C)巨腸症(megacolon) (D)腹腔積氣(pneumoperitoneum)
77 有關兒童 DKA(diabetic ketoacidosis)之敘述,下列何者錯誤? (A)大多發生於肥胖小孩 (B)常以噁心、嘔吐和腹痛表現 (C)血中 pH 值小於 7.25 至 7.30 (D)呼吸以深快表現
78 一位 65 歲老先生突然產生右側眼睛無痛性的視力喪失,除此之外並無其他神經學的缺陷或症狀產生, 是下列那一條血管阻塞所致? (A)前大腦動脈(anterior cerebral artery) (B)基底動脈(basilar artery) (C)內頸動脈分支(branch of internal carotid artery) (D)後大腦動脈(posterior cerebral artery)
79 在那些情況下,醫療人員的保密義務可以有例外?①總統因為急症入院,媒體詢問總統病情時 ②警察要求醫療人員提供嫌疑犯之病歷與檢驗資料以協助破案 ③憂鬱症病患自殺身亡後,其精神 科醫師使用其詳細病史來呼籲自殺防治 ④病人同意他的資訊可以被揭露 (A)①②③④ (B)僅①②④ (C)僅②④ (D)僅④
80 40 歲林先生,經診斷罹患慢性思覺失調症(原名精神分裂症)。某日林先生於大街上持掃帚胡亂揮 舞,幸未造成他人傷害,被警察及家屬送至醫院急診,急診的住院醫師診視發現林先生有明顯之被 害妄想、被控制妄想及聽幻覺,但林先生拒絕接受住院治療,下列敘述何者正確? (A)住院醫師診斷確定之後,應立即將林先生強制住院 (B)林先生之行為觸犯法律,應請警察將林先生移送法辦 (C)林先生直接接受門診追蹤即可 (D)住院醫師應請精神科專科醫師評估林先生之狀況
申論題 (0)
相關試卷
115年 - 115-1 專技高考_醫師(二):醫學(四)(包括小兒科、皮膚科、神經科、精神科等科目及其相關臨床實例與醫學倫理)#137336
115年 · #137336
114年 - 114 專技高考_醫師(二):醫學(四)(包括小兒科、皮膚科、神經科、精神科等科目及其相關臨床實例與醫學倫理)#127921
114年 · #127921
114年 - 114-1 專技高考_醫師(二):醫學(四)(包括小兒科、皮膚科、神經科、精神科等科目及其相關臨床實例與醫學倫理)#125091
114年 · #125091
113年 - 113-2 專技高考_醫師(二):醫學(四)(包括小兒科、皮膚科、神經科、精神科等科目及其相關臨床實例與醫學倫理)#120661
113年 · #120661
113年 - 113-1 專技高考_醫師(二):醫學(四)(包括小兒科、皮膚科、神經科、精神科等科目及其相關臨床實例與醫學倫理)#118722
113年 · #118722
112年 - 112-2 專技高考_醫師(二):醫學(四)(包括小兒科、皮膚科、神經科、精神科等科目及其相關臨床實例與醫學倫理)#114975
112年 · #114975
112年 - 112-1 專技高考 _醫師(二):醫學(四)(包括小兒科、皮膚科、神經科、精神科等科目及其相關臨床實例與醫學倫理)#113170
112年 · #113170
111年 - 111-2 專技高考_醫師(二):醫學(四)(包括小兒科、皮膚科、神經科、精神科等科目及其相關臨床實例與醫學倫理)#108728
111年 · #108728
111年 - 111-1 專技高考_醫師(二):醫學(四)(包括小兒科、皮膚科、神經科、精神科等科目及其相關臨床實例與醫學倫理)#106182
111年 · #106182
110年 - 110-2 專技高考_醫師(二):醫學(四)(包括小兒科、皮膚科、神經科、精神科等科目及其相關臨床實例與醫學倫理)#99891
110年 · #99891