阿摩線上測驗
登入
首頁
>
一般醫學
> 100年 - 100 專技高考_法醫師:一般醫學#36958
100年 - 100 專技高考_法醫師:一般醫學#36958
科目:
一般醫學 |
年份:
100年 |
選擇題數:
100 |
申論題數:
0
試卷資訊
所屬科目:
一般醫學
選擇題 (100)
1有關愛滋病病毒(HIV)的敘述,下列何者錯誤? (A)感染 T 淋巴球 (B)可經由血液、性接觸和生產傳染 (C)目前已有好的疫苗及特效藥可完全控制病情及病毒傳染 (D)病人常死於伺機性感染(Opportunistic infection)
2 臨床使用上常被當成最後一道防線治療細菌感染症的抗生素 Vancomycin,其作用機轉為何? (A)抑制 N-acetylglucosamine 與 N-acetylmuramic acid 的鍵結 (B)抑制 Peptidoglycan 結構中 Pentapeptide 的生成 (C)抑制 Transpeptidase 的酵素作用 (D)破壞已合成的 Peptidoglycan 與 N-acetylmuramic acid 的鍵結
3 從病患肺部中取出之檢體切片經 10% KOH 處理後,發現許多透明具有隔膜(Septa)分叉菌絲穿過 組織,並且有菊花狀排列之瓶孢子柄(Phialides),診斷上最可能是那一種真菌疾病? (A)麴菌症(Aspergillosis) (B)接合菌症(Zygomycosis) (C)新型隱球菌症(Cryptococcosis) (D)新月菌症(Fusariosis)
4 對立克次體(Rickettsia rickettsii)與恙蟲病原菌(Orientia tsutsugamushi)的敘述,下列何者錯誤? (A)二者皆以節肢動物為傳播媒介 (B)二者細胞壁皆含有 Peptidoglycan 及 Lipopolysaccharide (C)二者皆為細胞內寄生菌 (D)二者皆可在被感染細胞的細胞質中發現
5 真菌細胞不具有的結構或成分是: (A)質體 (B)細胞核 (C)粒線體 (D)內質網
6 自體免疫反應若要擴大為長期損壞特定器官的自體免疫疾病,必須擴大發炎反應並增加致病性自體 抗原的種類及數量,此致病機轉為何? (A)免疫區塊的擴展(Epitope spreading) (B)間接異體辨識(Indirect allorecognition) (C)異種移植物排斥(Xenograft rejection) (D)周邊受體編輯(Peripheral receptor editing) 代號:1110 頁次:12-2
7 未曾接受輸血的 A 型捐血者,其血液輸注到未曾接受輸血的 B 型受血者身上時,經常會產生嚴重甚 至致命的輸血反應。下列何者是這種輸血不良反應的合理解釋? (A)血液遭到病毒污染,引發強烈免疫反應而造成紅血球破壞(Hemolysis) (B)捐血者和受血者的主要組織相容性複合物(Major histocompatibility complex)不同,造成 T 細胞強 烈活化而傷害輸入的血球細胞 (C)血漿中的補體成分和自然殺手細胞可以自行辨認不同血型的細胞而進行細胞毒殺作用 (D)血液中的液性免疫反應可以辨認非自體的紅血球而進行細胞毒殺作用
8 有關 B 細胞、樹突細胞及巨噬細胞之比較,下列何者錯誤? (A) B 細胞藉由細胞膜上的抗體將抗原吞入,這個過程稱為 Phagocytosis (B)樹突細胞會利用 Toll-like receptor 辨識微生物的共同結構,例如 TLR-4(Toll-like receptor-4)可與 LPS 結合 (C)只有樹突細胞可以有效活化 Naive T 細胞,B 細胞與巨噬細胞活化 Naive T 細胞之能力較差 (D)淋巴結中的樹突細胞會表現高量的 B7 分子,而淋巴結中的 B 細胞除非已經與抗原結合,否則其 B7 表現量不高
9 有關 TLR-9 之敘述,下列何者正確? (A)屬於吞噬受器(Phagocytic receptor)之一種 (B)能辨識病毒 RNA,而導致細胞產生干擾素(Interferon) (C)接受細菌之鞭毛素(Flagellin)刺激 (D)接受細菌之非甲基化 CpG DNA(Unmethylated CpG DNA)刺激
10 個體有 Activation-induced cytidine deaminase(AID)基因缺損時,常造成那一種遺傳疾病? (A)高 IgM 徵候群(Hyper-IgM syndrome) (B) X-關聯無珈瑪球蛋白血症(X-linked agammaglobulinemia syndrome, XLA) (C)嚴重混合型免疫缺損(Severe combined immunodeficiency, SCID) (D) Wiskott-Aldrich 徵候群(Wiskott-Aldrich syndrome)
11 一位疑似罹患急性呼吸窘迫徵候群(Acute respiratory distress syndrome; ARDS)的病患,其兩側肺葉呈 現肺浸潤的現象,並出現輕微肺水腫(Lung edema)情況。測量病患體循環動脈血氧分壓(PaO2)為 60 mmHg、動脈血二氧化碳分壓(PaCO2)為 32 mmHg。此時,患者呈現周邊組織氧氣供應不足之 問題,主要是導因於下列何者? (A)肺通氣量不足(Hypoventilation) (B)呼吸道阻塞 (C)擴散(Diffusion)障礙 (D)肺通氣量不足與擴散障礙共同之結果
12 病人之血液氣體分析如下:pH 7.60,HCO
3
-
40 mEq/L。其urine Na
+
,K
+
and Cl
-
數值如下:urine Na
+
84 mEq/L、K
+
40 mEq/L and Cl
-
90 mEq/L,上述情況,由下列何者所導致? (A)脫水(Dehydration) (B)利尿劑使用(Use of diuretics) (C)腹瀉(Diarrhea) (D)嘔吐(Vomiting)
13 (A) Second-degree heart block (B) Sinus rhythm (C) Atrial fibrillation (D) Junctional rhythm
14 承上題,此女性休息 2 小時後,又與家人爭吵,出現頭暈、心悸、胸悶及無力之症狀。此時,其脈搏 規則,每分鐘心跳為 160-180 次,血壓 94/58 mmHg。此時之心電圖變化可能為何? (A) Second degree heart block 合併 Wenckebach phenomenon (B) Ventricular fibrillation (C) Paroxysmal supraventricular tachycarida 合併 accelerated AV conduction (D) Idioventricular rhythm
15 一位 52 歲,身高 160 公分的男性病患接受肺功能檢查,數值顯示:用力呼氣全程所呼出的氣量(Forced vital capacity;FVC)為 2.85 公升(為正常值 75%)、第一秒鐘用力呼氣量(FEV1)為 2.47 公升 (為正常值 85%)、FEV1/FVC = 88%,根據上述的數值推測,可能為何種肺部疾病之患者?①肺水 腫(Lung edema) ②肺纖維化(Lung fibrosis) ③氣喘(Asthma) ④第二型肺泡細胞損傷 (A)只有③ (B)只有①② (C)只有①②④ (D)①②③④
16 維他命BB12主要以下列何種方式在迴腸(Ileum)吸收? (A)內吞作用(Endocytosis) (B)促進性擴散作用(Facilitated diffusion) (C)初級主動運輸(Primary active transport) (D)次級主動運輸(Secondary active transport)
17 一位男童出現低血鉀(Hypokalemia)、代謝性鹼中毒(Metabolic alkalosis)、Hyperreninemia、 Hyperaldosteronism,男童的血壓正常。其最可能是那一個離子通道異常? (A)Na
+
-K
+
pump (B)Na
+
-K
+
-2 Cl
-
cotransporter (C)Na
+
/H
+
antiporter (D)Cl
-
/HCO
3
-
exchanger
18 維生素D
3
之生合成如簡圖中所示,第(2)步驟是在何處進行?
(A)肝臟 (B)腎臟 (C)皮膚 (D)脂肪組織
19 妊娠前期由胎盤分泌造成甲狀腺功能亢進之激素,其機轉為何? (A)具有類似腦下垂體前葉所分泌醣化激素(Glycosylated hormone)之 β-子單位(β-subunit) (B)可刺激腦下垂體前葉分泌甲促素(TSH) (C)可直接結合於甲狀腺細胞之甲促素受器(TSH receptor) (D)可直接促進鈉碘共運器(NIS)輸送碘分子進入甲狀腺細胞
20 一位新生兒在出生體檢時,發現外生殖器有些異狀,有陰莖及陰囊的發育,但沒有睪丸,性染色體 分析發現其為 XX,外陰部亦未發現有陰道的形成。導致此種情形的原因可能與母親懷孕期間下列何 者有關? (A)血中有過多的睪固酮(Testosterone) (B)血中有過多的 Luteinizing hormone (C)胎盤製造過多的 Human chorionic gonadotropin (D)胎盤製造過少的 Estrogen
21 一位母親述說她的新生兒血液篩檢異常,尿布有一種特殊的陳腐味道。下列相關敘述何者正確? (A)新生兒可能患有苯酮尿症(Phenylketonuria) (B)此病是極為罕見的先天遺傳代謝疾病 (C)此病是一種性聯染色體遺傳,所以她的小孩一定是男嬰 (D)最常見的是苯丙氨酸羥化酶(Phenylalanine hydroxylase)過多,導致代謝異常
22 下列何種方法可偵測轉錄因子 TFIID 與 Promoter 之間的交互接觸? (A) Fingerprinting (B) Footprinting (C) PCR (D) Northern blot analysis
23 鳥胺酸酮酸轉胺酵素缺乏症(Ornithine aminotransferase deficiency)會引起視網膜病變,病患於 40 至 60 歲時通常就會呈現全盲。研究發現長期降低精胺酸(Arginine)的食物攝取,可降低血液中鳥 胺酸酮酸(Ornithine)濃度,並延緩視網膜病變發生。精胺酸轉成鳥胺酸酮酸是下列那個代謝途徑的 反應步驟之一? (A)尿素循環(Urea cycle) (B)三羧酸循環(Tricarboxylic acid cycle) (C)多胺(Polyamine)合成 (D)一氧化氮(Nitric oxide)合成
24 人類的第一型肝醣貯存疾病(Glycogen storage disease)是因為缺乏下列那個酵素所造成? (A)葡萄糖 6-磷酸酯酶(Glucose 6-phosphatase) (B)去支酶(Debranching enzyme) (C)分支酶(Branching enzyme) (D)磷酸化酶(Phosphorylase)
25 粒線體電子傳遞鏈的 Complex I 與 Complex II 主要是把電子傳遞到: (A) Cytochrome c (B) Succinate (C) NADH (D) Ubiquinone
26 下列那一個蛋白質對於真核生物 DNA 複製之啟動(Initiation)是需要的? (A) p53 抑癌基因 (B) DnaB 解螺旋酶 (C) MCM6 微型染色體維持因子 (D)網膜細胞瘤調控蛋白(Rb)
27 近年來國人飲食習慣西化,造成肥胖人口增加,研究肥胖致病機制的學者指出,由脂肪細胞所分泌的一 種荷爾蒙 Leptin 會作用在腦部而影響進食行為,其訊息傳導機制牽涉到 JAK-STAT(Janus kinase-signal transducers and activators of transcription)system。下列關於 Leptin 訊息傳導之敘述何者錯誤? (A) Leptin 受體在細胞膜上原呈 monomer,與 Leptin 結合後形成 dimer (B) Leptin 受體與 Leptin 結合,形成 dimer 後會在 intracellular domain 自體磷酸化 (C) Leptin 受體蛋白沒有 kinase 活性,但與 Leptin 結合,形成 dimer 後會被 JAK 磷酸化 (D)在 Leptin 受體蛋白 intracellular domain 上的磷酸化 tyrosine residues 可結合 STATs,使 STATs 也被磷酸化
28 蛋白質體(Proteome)是用來描述: (A)蛋白質的區域(Domains) (B)蛋白質的三級結構(Tertiary structure) (C)蛋白質的四級結構(Quaternary structure) (D)細胞內基因所控制的所有蛋白質的總稱 代號:1110 頁次:12-5
29 何種蛋白的病變最常導致 Ehlers-Danlos 徵候群(鬆皮症)? (A)骨橋蛋白(Osteopontin) (B)纖黏蛋白(Fibronectin) (C)膠原蛋白(Collagen) (D)角質蛋白(Keratin)
30 一位 6 個月大的女嬰因嘔吐、身體脫水、發燒而送至急診。血液胺基酸檢查發現,有兩個帶非極性 側鏈的胺基酸於血液中的濃度偏高。下列何者最可能是這兩個胺基酸? (A)天冬胺酸(Aspartic acid)與麩醯胺酸(Glutamine) (B)麩胺酸(Glutamic acid)與羥丁胺酸(Threonine) (C)組胺酸(Histidine)與白胺酸(Leucine) (D)白胺酸與異白胺酸(Isoleucine)
31 下列何者為Prostaglandin I2的藥理作用? (A)抑制 Renin 的釋放 (B)促進胃酸分泌 (C)支氣管鬆弛 (D)使懷孕的子宮收縮
32 下列何種降血壓藥物用於短期治療惡性高血壓患者,但易引起高血糖的副作用? (A) Verapamil (B) Trimethaphan (C) Diazoxide (D) Nitroprusside
33 Diazepam 因為具有下列何種特性,所以不能使用於具有急性狹角性青光眼(Narrow-angle glaucoma) 的病人? (A)抗多巴胺活性 (B)抗交感神經活性 (C)抗副交感神經活性 (D)抗血清素活性
34 長期使用下列何種治療巴金森氏症的藥物,容易發生 On-Off phenomenon? (A) Levodopa (B) Bromocriptine (C) Pergolide (D) Amantadine
35 若欲長期使用腎上腺皮質素抗發炎或抗排斥,則下列何者為最佳之選擇? (A) Cortisol (B) Prednisolone (C) Dexamethasone (D) Cortisone
36 手術病人常因併用 Succinylcholine 與 Halothane 麻醉,若此時產生 Malignant hyperthermia,則可以使 用下列何種藥物治療之? (A) Baclofen (B) Dantrolene (C) Pancuronium (D) Atracurium
37 患有 Pheochromocytoma 的高血壓病人,使用下列何種降血壓藥物最為適當? (A) Captopril (B) Nicardipine (C) Trimethaphan (D) Losartan
38 患有陽萎的水腫患者,不宜使用下列何種利尿劑來改善水腫? (A) Chlorothiazide (B) Furosemide (C) Acetazolamide (D) Spironolactone
39 有一腎功能不全的病人,受到立克次體的感染,應選用下列何種四環黴素治療? (A) Chlortetracycline (B) Doxycycline (C) Minocycline (D) Oxytetracycline
40 一位病人因感染腸球菌導致心內膜炎,且此患者對 Vancomycin 具抗藥性,以致治療無效,下列何者 為最佳首選治療藥物? (A) Linezolid (B) Clarithromycin (C) Minocycline (D) Ticarcillin
41 一位 71 歲男性,已有多年慢性阻塞性肺病之病史,主訴運動後呼吸急促。理學檢查顯示嘴唇發紺, 動脈血氧飽和度為 89%,血紅素 18.8 gm/dL,血比容 55%,白血球 7,950/μL,血小板 385,000/μL。 這位男士血紅素增高最可能的原因為何? (A) Polycythemia vera (B) Plasma volume depletion (C) Inappropriate decrease of erythropoietin (D) Appropriate increase of erythropoietin
42 肝肺徵候群(Hepatopulmonary syndrome)的致病機制主要為下列何種異常? (A)肺血管 (B)肺泡 (C)氣管 (D)肺間質
43 威爾遜氏病(Wilson’s disease)與遺傳性血色素沈著症(Hemochromatosis)之遺傳方式為下列何者? (A)兩者皆為顯性遺傳 (B)兩者皆為隱性遺傳 (C)威爾遜氏病為顯性遺傳,遺傳性血色素沈著症為隱性遺傳 (D)威爾遜氏病為隱性遺傳,遺傳性血色素沈著症為顯性遺傳
44 一位 30 歲男性因咳嗽及呼吸困難前來就醫,肺部聽診時聽到右下肺野有 Bronchial sound,下列何者 為最有可能之診斷? (A)右下肺肋膜腔積水 (B)氣喘發作 (C)心臟衰竭 (D)右下肺葉肺炎
45 一位 25 歲男性,至醫院主訴其父親及兄長皆於 30 歲左右猝死,理學檢查發現病人之足部 Achilles 腱肥厚,且可見黃色瘤(Xanthoma)於膝部伸展腱(Extensor tendon),一般心電圖檢查則未見明顯 異常。下列診斷中,何者需最優先考慮? (A) Marfan 徵候群 (B) Brugada 徵候群 (C)家族性高膽固醇血症 (D)肥厚性心肌病變
46 下列何者為臺灣末期腎病(ESRD)最常見的原因? (A)糖尿病腎病變(Diabetic nephropathy) (B)腎絲球腎炎(Glomerulonephritis) (C)間質性腎炎(Interstitial nephritis) (D)多囊腎(Polycystic kidney disease)
47 有關 IgA 腎病變(IgA nephropathy)的預後,下列何者非「不良預後」之指標? (A)每日尿蛋白量>3.5 公克 (B)高血壓 (C)女性病人 (D)病理切片表現出腎絲球硬化(Glomerulosclerosis)
48 長期罹患謝格連氏乾燥症(Sjögren’s syndrome),可能會有併發淋巴腫瘤(Lymphoma)之危險。出 現下列那一種實驗室檢驗結果可能是一種警訊? (A) Leukocytosis (B) High C-reactive protein (C) Low complement C4 (D) High rheumatoid factor
49 絕大多數慢性骨髓性白血病患的血球細胞內可發現何種基因異常? (A) BCR/ABL 融合基因 (B) PML/RARα 融合基因 (C) MLL 基因重組 (D) BCL-2 過度表現 代號:1110 頁次:12-7
50 下列何種臨床疾病不會降低肺部一氧化碳擴散能力(DLco)? (A)肺出血(Pulmonary hemorrhage) (B)肺血管病變(Pulmonary vascular disease) (C)肺間質性疾病(Interstitial lung disease) (D)肺氣腫(Emphysema)
51 以實證醫學的角度而言,對一位 75 歲的女性來說,下列何項敘述最不正確? (A)每年施行子宮頸抹片檢查有助於子宮頸癌的發現 (B)每年施行乳房攝影(Mammography)有助於乳癌的早期發現,進而可降低乳癌的死亡率 (C)每年施行糞便潛血檢查有助於早期大腸直腸癌的偵測,進而可降低大腸直腸癌的死亡率 (D)每年施行胸部 X 光檢查可降低肺癌的死亡率
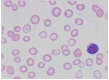
52 一位病人被發現有貧血,他的血液抹片如圖所示,則下列何項檢查對診斷最有幫助?
(A) Coombs test (B)VitB
12
level (C) Hemoglobin electrophoresis (D) Bone marrow examination
53 有關急性瀰漫性腦脊髓炎(Acute disseminated encephalomyelitis)之敘述,下列何者錯誤? (A)臨床發病前會有呼吸道感染或接種疫苗史 (B)脊髓液均可以培養出病毒或病原體 (C)臨床症狀為多樣性,包括不等程度之運動無力、抽搐、腦病變等 (D)神經影像以 MRI 最能顯出基底核、視丘、皮質下白質等之變化
54 有關漢諾克-森萊氏紫斑症(Henoch-Schönlein purpura)之敘述,下列何者錯誤? (A)侵犯小血管(Small blood vessel) (B)出現可觸摸性紫斑(Palpable purpura) (C)血小板數明顯減少 (D)出現間歇性腹絞痛
55 關於胎便吸入徵候群(Meconium aspiration syndrome)之敘述,下列何者錯誤? (A)出生後隨即出現呼吸窘迫(Respiratory distress) (B)常合併氣胸(Pneumothorax) (C)使用界面活性劑(Surfactant)治療無效 (D)持續性發紺時可考慮體外氧氣交換循環輔助器(ECMO)
56 一位 41 週大的胎兒因臍帶脫垂(Prolapsed umbilical cord),緊急剖腹產娩出,並有羊水胎便染色。 在出生 6 小時後,此新生兒發生全身性強直陣攣發作(Generalized tonic clonic seizure),最有可能的 原因是: (A)腦部先天性異常 (B)缺氧缺血性腦病變 (C)腦膜炎 (D)破傷風
57 下列有關核黃疸(Kernicterus)急性期常見之臨床表徵,何者最罕見? (A)抽筋(Seizure) (B)張力減退(Hypotonia) (C)心跳緩慢(Bradycardia) (D)角弓反張(Opisthotonos)
58 一位 7 個月嬰兒持續發燒 3 天之後,於軀幹部位出現許多紅色斑丘疹,其後隨即退燒也無其他症狀。 下列那一項是最可能的診斷? (A) Kawasaki disease (B) Erythema infectiosum (C) Roseola infantum (D) Enterovirus infection
59 下列何者不是性傳染病(Sexually transmitted disease)? (A) Lichen planus (B) Scabies (C) Condyloma lata (D) Condyloma acuminata
60 一位 39 歲男性軀幹出現多發、形狀不規則的白色及淡褐色斑(Macules)。以指甲輕刮可見有粉末 狀的白色脫屑,病灶面積到夏天就會增加,冬天則會緩解。其最可能的診斷為: (A)白斑(Vitiligo) (B)白色糠疹(Pityriasis alba) (C)汗斑(Tinea versicolor) (D)二期梅毒(Secondary syphilis)
61 下列何者是確立診斷尋常性天疱瘡(Pemphigus vulgaris)及類天疱瘡(Bullous pemphigoid)之最可 靠方法? (A)臨床症狀 (B)皮膚水疱的分布位置 (C)伍氏燈檢查法 (D)直接免疫螢光檢查法
62 帕金森病(Parkinson’s disease)的指標性病理變化是: (A) Lewy bodies (B) Hirano bodies (C) Achromatic cells (D) Senile plaques and neurofibrillary tangles
63 神經管胚細胞瘤(Medulloblastoma)的好發年齡約是: (A) 10 歲以下 (B) 20-25 歲 (C) 40-50 歲 (D) 60-70 歲
64 某位昏迷的病人送至急診發現有體溫升高、頸部僵硬及右側肢體無力的症狀,首先應安排何種檢查? (A)腦波(EEG) (B)腦部電腦斷層(Brain CT) (C)腰椎穿刺(Lumbar puncture) (D)毒物篩檢(Toxin agents screening)
65 對於情感性精神分裂症(Schizoaffective disorder)之敘述,下列何者正確? (A)其預後較情感性疾患佳 (B)在 DSM-IV 之診斷標準中,此疾病至少須維持一週以上,同時有精神分裂症及情感性症狀,且在 情感性症狀穩定後,其精神病症狀至少持續兩週以上 (C)罹患此症之家屬較一般人更易得妄想症 (D)與精神分裂症患者相同,罹患情感性精神分裂症之女性患者比男性患者較晚發作
66 妄想症患者可能會傷害妄想對象,但下列那一亞型的可能性較低? (A)被害妄想型(Persecutory type) (B)嫉妒妄想型(Jealous type) (C)色情妄想型(Erotomanic type) (D)誇大妄想型(Grandiose type)
67 厭食症所造成的激素改變為何? (A) Growth hormone 增加 (B) Follicle-stimulating hormone 增加 (C) Luteinizing hormone 增加 (D) Thyroid-stimulating hormone 增加
68 一名 35 歲女性病人,有甲狀腺機能亢進症,於清晨開甲狀腺二側次全切除手術,夜間病人有四 肢麻木、肌肉疼痛及胸悶感,甚至有腳掌及手掌痙攣(Carpopedal spasm)。此外,病人無發熱,血 壓 126/85 mmHg,心跳 77/分,下列何者是最適當之處置? (A)給予氣管內插管並給予氧氣 (B)檢查血中鈣的濃度,並給予 Calcium gluconate 注射 (C)拆開傷口並做傷口血腫引流 (D)給予 Lactate Ringer’s solution
69 器官移植後,由 T 淋巴球所主導產生的排斥反應為: (A)超急性排斥反應(Hyperacute rejection) (B)急性排斥反應(Acute rejection) (C)亞急性排斥反應(Subacute rejection) (D)慢性排斥反應(Chronic rejection)
70 有一位酒駕車禍傷患被送至急診室,初步檢查病人雖有呼吸及心跳,但臉部受到撞擊而變形及有殘 留的嘔吐物且意識不清,初步的Glasgow coma scale為E2V3M4;若你是他的主治醫師,最優先的處置 為何? (A)馬上安排腦部電腦斷層,以確定腦部及顏面損傷情形或有無出血 (B)檢查口腔呼吸道是否暢通,若有異物(如假牙、斷牙)應予以清除,必要時放置氣管插管 (C)馬上給予大量輸液,放置導尿管,監測血壓,以確保心肺正常功能 (D)馬上照胸部 X-ray,檢查是否有氣胸、血胸或吸入性肺炎並抽取動脈血,監測是否有 hypoxia
71 一位 45 歲男性,騎摩托車與汽車迎面相撞,10 分鐘後被送達急診。病人到院時意識清楚,血壓 80/60 mmHg,脈搏 120/分,呼吸 15/分,主訴腹脹,理學檢查無明顯外傷,腹部膨脹,輕微壓痛。 此時除進行相關檢查外,應給予何種輸液治療? (A) 5%白蛋白溶液(albumin solution) (B) 0.45%鹽水(Half saline) (C) 0.225%鹽水(1/4 saline) (D) Lactate Ringer’s solution
72 一位 58 歲男性,8 年前接受腎臟移植,最近 2 個月偶而出現血便(bloody stool)情形,至門診求治, 此外並無腸阻塞症狀,理學檢查並無特殊發現,下列何檢查應優先考慮? (A)內視鏡(Upper GI endoscopy) (B)腹部超音波(Abdominal ultrasound) (C)血管攝影(Angiography) (D)大腸鏡(Colonoscopy)
73 Breast tumor 中惡性度最高者為: (A) Papillary carcinoma (B) Paget’s disease (C) Inflammatory carcinoma (D) Ductal carcinoma in situ(DCIS)
74 有關 Triad of cholangitis 之敘述,下列何者錯誤? (A) Jaundice (B) Fever (C) Hypotension (D) Abdominal pain
75 (A) Hoffmann’s sign (B) Murphy’s sign (C) Kerning’s sign (D) Rovsing’s sign
76 承上題,此時最快速方便且有效的診斷工具是: (A)膽道核醫造影 (B)內視鏡逆行性膽道攝影 (C)腹部超音波 (D)腹部電腦斷層
77 在腹主動脈瘤手術治療時,將動脈瘤的近端與遠端分別夾住,然後切開動脈瘤作人工血管的置換, 在常溫下若夾住時間超過 45 分鐘,則下列何種併發症最不易發生? (A)下肢麻痺 (B)急性腎臟衰竭 (C)腸道缺血 (D)肝性昏迷
78 有關類風濕關節炎(Rheumatoid arthritis, RA)的敘述,下列何者正確? (A) RA 是一種自體免疫疾病,全身的關節都可以侵犯,尤其手指的遠端指關節(Distal interphalangeal joints)最易發生 (B) RA 對關節的侵犯為對稱性 (C)血清中的類風濕因子(Rheumatoid factor, RF)在 95%的 RA 病人會呈現陽性,正常人或其他疾病 不會有陽性反應,因此 RF 為診斷 RA 的專一因子(Specific factor) (D)早年性的 RA 又稱 Juvenile RA,早期發病預後較好
79 (A)骨肉瘤(Osteosarcoma) (B)非骨化性纖維瘤(Non-ossifying fibroma) (C)骨軟骨瘤(Osteochondroma) (D)巨大細胞瘤(Giant cell tumor)
80 承上題,小明之踝關節問題應該要如何處理? (A)冰敷,肢體抬高,待足踝消腫後,行切片手術以了解此蝕骨病灶之原因 (B)直接手術修補可能斷裂之前距腓韌帶(Anterior talofibular ligament),並同時刮除此蝕骨病灶 (C)冰敷,肢體抬高,囑咐其多休息,至於蝕骨病灶可以暫不必處理,密切追踪觀察,多數案例日後 將會自行痊癒 (D)因擔心蝕骨病灶惡化之可能性極高,易造成病理性骨折,應儘早進行廣泛性切除並予以植骨(Bone graft)
81 篩檢攝護腺癌最佳且具經濟效益之組合方式為: (A)肛門指診 + 直腸超音波 (B) PSA + 直腸超音波 (C) PSA + 肛門指診 (D) PSA + 肛門指診 + 直腸超音波
82 (A)急性腎盂炎(APN) (B)腎臟外傷 (C)輸尿管癌 (D)輸尿管結石
83 承上題,接下來何項檢查最能幫忙達到精確診斷的效果? (A)無顯影劑螺旋電腦斷層(Noncontrast spiral CT scan) (B)逆行性尿路攝影(Retrograde pyelography, RP) (C)腹部超音波(Abdominal ultrasound) (D)輸尿管鏡檢(Ureteroscopy)
84 接受心臟移植後之病患,其心血管系統對於運動之反應是: (A)心肌耗氧量不變 (B)心搏輸出量不變 (C)血管張力不變 (D)心律不變
85 造成 Pulseless Electrical Activity(PEA)最常見的原因不包括下列何者? (A) Hypoxia (B) Acidosis (C) Hyperthermia (D) Hypovolemia
86 Atracurium 是一種非去極性肌肉鬆弛劑(Non-depolarizing neuromuscular blocking agents),下列敘述 何者正確? (A)可在室溫下保存,而不影響其強度(Potency) (B)和酸性藥物合併使用,會產生沉澱物 (C) 80%透過肝臟代謝,20%經由腎臟排泄 (D)大量使用可能造成 Laudanosine toxicity
87 左耳灌冰水(0℃, 20 c.c.)進行溫差測驗(Caloric test),結果可見溫差眼震(Nystagmus)方向為: (A)向右 (B)向左 (C)向上 (D)向下
88 下列何者不引流至中鼻道(Middle meatus)? (A)上頜竇 (B)蝶竇 (C)額竇 (D)前篩竇
89 以耳鏡檢查成人耳膜時,須將耳殼往那個方向拉,使外耳道變直,便於觀察? (A)後上方向 (B)前上方向 (C)前下方向 (D)垂直向下
90 最常見的子宮體惡性腫瘤為: (A) Endometrial adenocarcinoma (B) Endometrial sarcoma (C) Leiomyosarcoma (D) Carcinosarcoma
91 一位 38 歲婦女主訴外陰部疼痛、腫脹,內診檢查發現距離陰道口左下側小陰唇內緣,有一 3 公分紅 腫腫塊並有壓痛現象,可能之診斷為何? (A) Apocrine acne (B) Hidradenitis suppurativa (C) Bartholin’s abscess (D) Fordyce’s spot
92 有關葡萄胎(Hydatidiform mole)之敘述,何者正確? (A)發生與年齡無關 (B) Complete mole 的致病機轉:大部分是兩個精子進入卵子 (C)絨毛膜癌之病史中若不含 Hydatidiform mole,則其診斷不成立 (D) Partial mole 之染色體常為 Triploidy 代號:1110 頁次:12-12
93 一位妊娠 35 週的初產婦,主訴有陰道出血合併子宮收縮現象,此時的胎兒監視器顯示胎心音為每分 鐘 120 下,超音波檢查發現胎盤後方有一陰影,大小約胎盤的四分之一。此時內診發現胎兒為頭位, 胎頭下降高度為+0,子宮頸開口約 1 公分,子宮頸柔軟度為 50%。此時最佳處置為何? (A)剖腹生產 (B)使用硫酸鎂(MgSO4)安胎治療 (C)人工破羊水(Amniotomy)之後使用子宮收縮素(Oxytocin)引產(Induction) (D)人工破羊水但不使用子宮收縮素引產
94 一對夫妻先生 35 歲,太太 30 歲,在太太懷孕 17 週被發現為地中海貧血(Thalassemia)帶因者,兩 人 MCV 及 MCH 值都明顯偏低。血紅素電泳檢查顯示先生 HbA2 為 5.1%,太太 HbA2 為 2.2%, 兩人 Ferritin 值正常,基因分析顯示先生帶有 β-血紅素(β-hemoglobin)基因之點突變,但無 α- 血紅素(α- hemoglobin)基因之缺失,太太則有 α-血紅素基因之缺失(- -/αα)。唐氏症母血篩檢估唐氏 症機率為 1:130,trisomy 18 機率為 1:8700,神經管缺損(Neural tube defect) 機率為 1:5400,下列處理 方式何者最適當? (A)建議施行羊膜腔穿刺術以檢驗胎兒 β-血紅素基因 (B)建議施行羊膜腔穿刺術以檢驗胎兒 α-血紅素基因 (C)建議施行羊膜腔穿刺術以檢驗羊水血紅素 (D)建議施行羊膜腔穿刺術以檢驗胎兒染色體
95 一名 34 歲女性,G4P3,妊娠 34 週,無糖尿病,依胎兒生物生理計分法(Biophysical profile, BPP)得 分為 10 分,最佳處置為何? (A)立即分娩 (B)當天重複 BPP 試驗 (C) 3 天後重複 BPP 試驗 (D) 7 天後重複 BPP 試驗
96 下列何者是心臟病病人參加運動測試的禁忌症? (A)穩定型心絞痛 (B)嚴重主動脈狹窄 (C)休息時心縮壓 150 mmHg,心舒壓 90 mmHg (D)第一度房室傳導障礙
97 中腦動脈(Middle cerebral artery)梗塞最常造成腦中風病人出現下列何種形式之視野(Visual field)障 礙? (A)單眼盲(One-eye blindness) (B)兩顳側偏盲(Bitemporal hemianopia) (C)同側半邊偏盲(Homonymous hemianopia) (D)視野中心缺損(Central scotoma)
98 下列何種疾病最不會出現垂足(drop foot)現象? (A)腓神經(fibular nerve)病變 (B)第五腰椎神經根病變(Radiculopathy) (C)腦中風導致下肢癱瘓 (D)脛神經(Tibial nerve)病變
99 肱骨骨幹骨折最容易造成那一條神經損傷? (A)橈神經(Radial nerve) (B)肌皮神經(Musculocutaneous nerve) (C)正中神經(Median nerve) (D)尺神經(Ulnar nerve)
100 對於發生過缺血性中風(Ischemic stroke)的病患,給予阿斯匹靈(Aspirin)治療的目的主要是: (A)預防發燒 (B)預防心肌出血 (C)預防關節炎 (D)預防再次中風
申論題 (0)
相關試卷
114年 - 114 專技高考_法醫師:一般醫學#129090
114年 · #129090
113年 - 113 專技高考_法醫師:一般醫學#121756
113年 · #121756
112年 - 112 專技高考_法醫師:一般醫學#115982
112年 · #115982
111年 - 111 專技高考_法醫師:一般醫學#110002
111年 · #110002
110年 - 110 專技高考_法醫師:一般醫學#100622
110年 · #100622
109年 - 109 專技高考_法醫師:一般醫學#89474
109年 · #89474
108年 - 108 專技高考_法醫師:一般醫學#78359
108年 · #78359
107年 - 107 專技高考_法醫師:一般醫學#71174
107年 · #71174
106年 - 106 專技高考_法醫師:一般醫學#63994
106年 · #63994
105年 - 105 專技高考_法醫師:一般醫學#54565
105年 · #54565