阿摩線上測驗
登入
首頁
>
中醫臨床醫學(三)
> 101年 - 101-1 專技高考_中醫師(二):中醫臨床醫學(三)(包括中醫外科學、中醫傷科學、中醫五官科學)#36855
101年 - 101-1 專技高考_中醫師(二):中醫臨床醫學(三)(包括中醫外科學、中醫傷科學、中醫五官科學)#36855
科目:
中醫臨床醫學(三) |
年份:
101年 |
選擇題數:
80 |
申論題數:
0
試卷資訊
所屬科目:
中醫臨床醫學(三)
選擇題 (80)
1 有關外瘍清熱的敘述,下列何者錯誤? (A)風熱證,因風生熱,先使用寒涼藥,不宜早用辛涼疏風藥 (B)濕熱證,施治時,不可單用芩連,也要用淡滲利濕藥 (C)毒火證,來勢迅速,易散難聚,審證即確,即當大劑涼血,並清心肝之熱 (D)外瘍潰後,有火宜清,但忌用大涼藥,尤其有潰久證,宜調和胃氣兼顧元氣為主
2 潰瘍以痛減為吉,若膿出而痛仍不減,甚至劇痛,則下列敘述何者錯誤? (A)毒邪未盡 (B)治療不當,膿流不暢 (C)竄生 (D)病將癒之兆
3 許多疾病均可能因舌體腫脹,不能轉動,塞滿口腔,導致無法發聲,甚至暈厥、氣悶窒息。下列何 者無上述臨床特徵? (A)蓮花舌 (B)木舌 (C)重舌 (D)乳蛾
4 53 歲男性農夫,就診時手指頂尖腫脹如蛇頭,堅硬赤腫,痛極連心。根據病情,則下列敘述何者錯 誤? (A)此病中醫病名為蛇頭疔 (B)治療上應及早切開排膿 (C)本病的病因大多為外傷感染引起 (D)內治法以清熱解毒為主,瀉其火毒
5 下列有關「鼻淵」的敘述,何者錯誤? (A)內因膽經之熱移於腦髓 (B)外因風寒凝鬱火邪 (C)鼻流黃濁涕者,宜「奇授藿香丸」內服 (D)鼻流清涕不臭但味腥者,宜服「六味地黃丸」
6 蜣螂蛀多生於下列何者之手指骨節? (A)體虛之人 (B)怕熱者 (C)體壯者 (D)熱盛者
7 乳癰初起疼痛、皮色焮紅、身熱往來,最宜服下列何方? (A)復元通氣湯 (B)托裏排膿湯 (C)栝蔞牛蒡湯 (D)人參養榮湯
8 有關丫叉毒的敘述,下列何者錯誤? (A)又名虎口疽 (B)起因於大腸經濕熱凝結而成 (C)症見初起如豆,漫大色青,木痛堅硬 (D)生於尻尾高骨尖處
9 下列何者的臨床表現,類似現代醫學「異位性皮膚炎」嬰兒時期的表現? (A)胎風 (B)奶癬 (C)油風 (D)臍瘡
10 一名患者,夏天天氣熱,流汗多,在天突穴處,出現病灶如粟米,搔癢無度,抓破津水,浸淫成片。 則最可能的診斷為下列何者? (A)髮際瘡 (B)蜘蛛瘡 (C)魚尾毒 (D)鈕扣風
11 對於「血風瘡」的證治敘述,下列何者錯誤? (A)好發部位以腿脛居多 (B)年久紫黑堅硬,屬氣血不行者,切勿以針砭出黑血,以免動血傷血 (C)初起形如粟米,搔癢無度,抓破流津,浸淫成片,血痕累累,令人煩躁口渴,日輕夜重 (D)日久易耗血生火,夜不得寐,心煩,便秘,咽乾不渴,此屬「火燥血熱」,宜內服「地黃飲」
12 對於「凍瘡」的證治敘述,下列何者錯誤? (A)多因外受嚴寒之氣傷及皮肉,以致氣血凝結而成 (B)受凍處的處理,宜覆以衣被,揉搓患部令氣血活動,若麻木處通活如故,代表治療奏效 (C)暴凍後宜以熱水浸泡久一點,甚至用火烘熱,以利氣血流通 (D)若有潰爛,首應設法保暖,外敷以生肌長肉藥物;日久不癒者,治宜「獨聖膏」外敷 代號:6106 頁次:8-2
13 下列那一種皮膚病在臨床上不會造成人與人之間的傳染? (A)疥瘡 (B)陰虱瘡 (C)黃水瘡 (D)狐水刺
14 「白疕」俗稱「蛇虱」,相當於現代醫學的那一種皮膚病? (A)白癬 (B)乾癬 (C)單純糠疹 (D)斑禿
15 有關乳房結核之敘述,下列何者錯誤? (A)乳房結核,其核隨喜怒而消長 (B)乳房結核,由肝氣鬱結而成 (C)乳房結核,初起疼痛,皮色鮮紅 (D)又名乳痞
16 有關舌疳之敘述,下列何者錯誤? (A)舌疳別名舌菌 (B)起因為肝氣鬱結而成 (C)此症因舌難轉掉,妨礙飲食,胃氣先虛,故易成壞症 (D)日久延及牙齦者,即名牙癌
17 有關氣癭的敘述,下列何者錯誤? (A)由平素飲水或食物含碘不足,或心情不暢,氣滯鬱結而成 (B)多流行於山區高原地帶 (C)產後腎氣虧虛,外邪乘虛侵襲,亦能引起氣癭 (D)多有肉癭的既往史
18 中醫認為「黧黑斑」的起因為下列何者? (A)由內科疾病傳變而發斑 (B)由憂思抑鬱,血虛不華,火燥結滯而生於面上 (C)由火鬱於孫絡之血分,風邪外搏而發 (D)腎水不能榮華於上,熱滯結而為斑
19 如圖所示,此為目科何證?
(A)椒瘡 (B)目中努肉 (C)胞垂難視 (D)拳毛倒睫
20 42 歲女性,二年前罹患乳癌並已做完化療,三天前腰背後開始有癢痛感,並陸續出現小丘疹和小水 泡如下圖。下列的診斷何者較正確?
(A)天泡瘡 (B)狐水刺 (C)葡萄疫 (D)蛇串瘡
21 寰椎(atlas)與樞椎(axis)之間的寰樞關節(atlanto-axial joint)屬於那一種關節形式? (A)屈戍關節(hinge joint) (B)車軸關節(pivot joint) (C)橢圓關節(ellipsoidal joint) (D)球窩關節(ball and socket joint) 代號:6106 頁次:8-3
22 下列何者正確? (A)左側位 (B)左 45 度斜位 (C)右側位 (D)右 45 度斜位
23 承上題,可見如蘇格蘭狗的影像,其鼻子、眼睛、耳朵、頸部、前腳、後腳的脊椎結構,依順序各 為何?①上關節突(superior articular process) ②下關節突(inferior articular process) ③橫突 (transverse process) ④椎弓根(pedicle) ⑤節間部(pars interarticularis) ⑥對側下關節突 (opposite inferior articular process) (A)⑥④①⑤②③ (B)⑥④②⑤①③ (C)③④①⑤②⑥ (D)③④②⑤①⑥
24 如圖示橈尺骨幹雙骨折,是下列何種外力所致? (A)直接暴力 (B)傳達暴力 (C)扭轉暴力 (D)牽拉暴力
25 某 32 歲女性患者主訴右膝膕腫脹感伴有輕微疼痛已三年,經檢查,被動屈膝至 50 度便受限,觸診 患處,慢慢用力按壓,腫脹處並不會隨著壓力而明顯產生體積變化,經 X 光檢查如圖所示。則下列 何項診斷最有可能?
(A)膕窩囊腫 (B)骨腫瘤 (C)肌肉血腫 (D)類風濕性關節炎
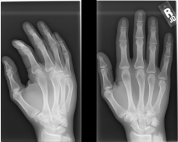
26 年輕男性患者主訴右手疼痛,昨日打球跌倒引起,患部 X 光檢查如附圖,下列相關敘述何者正確? ①此類型骨折係由外力沿掌骨縱軸作用在掌骨頭所致 ②患部局部腫脹疼痛,可能觸及骨擦音及畸形 ③此骨折稱為巴氏(Barton)骨折 ④骨折斷端因骨間肌及屈指肌的牽拉而呈現成角畸形
(A)①②③ (B)①②④ (C)①③④ (D)②③④
27 35 歲男性登山客抱怨足痛兩週多,醫師開立 X 光檢查如圖所示,其最可能之診斷為何?
(A)鈣化性肌炎 (B)類風濕性關節炎 (C)骨腫瘤 (D)行軍骨折
28 附圖所示,屬下列何種骨折?
(A)柯雷氏(Colles)骨折 (B)史密斯(Smith)骨折 (C)蓋氏損傷(Galeazzi injury) (D)孟氏損傷(Monteggia injury)
29 棘下肌(infraspinatus)收縮主要可使肩部盂肱關節(glenohumeral joint)進行下列那一個動作? (A)內旋(internal rotation) (B)內收(adduction) (C)外旋(external rotation) (D)外展(abduction)
30 有關膝十字韌帶損傷之診斷治療,下列何者錯誤? (A)有外傷史,傷後膝關節有嚴重腫脹及疼痛 (B)膝抽屜試驗,若向後有過度活動,表示前十字韌帶斷裂 (C)十字韌帶斷裂伴有側副韌帶、半月板損傷,可考慮手術治療 (D)手術後宜及早進行股四頭肌鍛鍊,防止肌肉萎縮
31 有關膝部傷筋之敘述,下列何者錯誤? (A)膝關節為人體最大的屈戍關節,骨性結構欠穩,主要由韌帶及周圍肌肉來穩定關節 (B)單純的側副韌帶損傷較少見,多與膝關節囊、十字韌帶或半月板同時損傷 (C)膝關節骨折、脫位、韌帶斷裂、軟骨損傷等,都可使膝關節滑膜同時損傷 (D)前後十字韌帶損傷易造成關節疼痛及活動度變差,但不易有嚴重腫脹
32 有關踝關節的敘述,下列何者錯誤? (A)踝關節是由脛腓骨下端與距骨所構成,是以背伸、蹠屈為主的屈戍關節 (B)踝關節囊兩側較緊張,內側有堅強的三角韌帶,外側有三條腓骨固定韌帶 (C)踝關節的特點是內踝比外踝長,內側韌帶比外側堅強,可以有效阻止距骨外翻 (D)距骨體前寬後窄,背伸時其寬部進入踝關節內,則關節穩定。而蹠屈時,其窄部進入關節內,則 關節不穩,易發生扭傷
33 有關跟腱損傷的診斷,下列何者錯誤? (A)跟腱斷裂時,可有斷裂聲,跟腱部腫脹、壓痛、有瘀斑。主要斷面多在跟腱附著點上方 3~4 公分處 (B)足蹠屈無力,活動受限,跛行。但由於足趾的屈肌和腓骨肌的代償,蹠屈功能不一定喪失 (C)如係完全斷裂,斷裂處可摸到凹陷和空虛感 (D)跟腱斷裂後,近端由於小腿肌肉的收縮而向上回縮
34 有關腰椎間盤突出症的敘述,下列何者錯誤? (A)腰椎間盤突出症是常見的腰腿痛疾患,好發於 20~50 歲的青壯年,男多於女 (B)隨著年齡的增長及不斷遭受擠壓,使椎間盤逐漸退化,間隙變窄,周圍韌帶鬆弛,或產生裂隙, 乃椎間盤突出的內因 (C)在外力的作用下,如彎腰提取重物時,椎間盤後部壓力增加,容易發生纖維環破裂和髓核向後外 側突出 (D)由於腰椎的負重量及活動度較胸椎為大,尤以腰 2-3 及腰 3-4 之間,是全身應力的中點,故最易引 起腰椎間盤突出症
35 有關「長短腳」的敘述,下列何者正確? (A)產生的原因為髖關節半脫位和股骨頭壞死兩種而已 (B)小孩需考慮伯爾德士氏病(Perthes’ disease) (C)病患平躺,下肢伸直併攏,兩側由膝蓋測量至足內踝尖比較 (D)病患平躺,屈膝及屈髖,足跟對齊,若一側膝部較高,表示該側股骨較長
36 35 歲女性患者,跌倒時腕部著地,現在右手腕關節局部隱隱疼痛、握物無力,前臂旋前時尺骨小頭 向背側略為突出,其最可能病症為何? (A)腕三角軟骨損傷 (B)下尺橈關節損傷 (C)伸指肌腱斷裂 (D)腕尺側副韌帶損傷
37 有關橈骨莖突腱鞘炎之敘述,下列何者正確? (A)為外展拇長肌及屈拇短肌的肌腱在共同的腱鞘中過多地來回磨動、勞損所致 (B)又稱為 de Quervain 氏病 (C)檢查時將拇指儘量屈曲握於掌心,同時將腕關節向橈側傾,可引起患處疼痛 (D)疼痛嚴重時,宜將拇指固定於屈曲位 3~4 週,以限制活動,可緩解症狀
38 有關痛風性關節炎的敘述,下列何者錯誤? (A) 30~60%患者有家族史,好發在 30~50 歲之間,女性占絕對多數 (B)初期發作多在夜間,以蹠趾關節為主,疼痛日輕夜重,是為特點 (C)典型的痛風性關節炎晚期的表現為增生性關節炎合併尿酸沉著,造成骨的吸收、關節破壞與強直 (D)由於代謝失調,尿酸產生過多而排泄又不足,結果尿酸鈉結石沉澱在骨內成一種透明的晶體,軟 骨中產生白堊狀痛風石在耳殼邊及手指的軟骨上,滑囊產生滑囊炎在膝關節及肘關節為多
39 下列肌肉收縮時,何者不具屈曲膝關節的功能? (A)股二頭肌(biceps femoris) (B)半腱肌(semitendinosus) (C)半膜肌(semimembranosus) (D)股內側肌(vastus medialis)
40 腳踝外側韌帶有三條,由後至前之排列順序,下列何者正確? (A)跟腓韌帶、三角韌帶、後腓距韌帶 (B)跟腓韌帶、後腓距韌帶、三角韌帶 (C)後腓距韌帶、跟腓韌帶、前腓距韌帶 (D)後腓距韌帶、前腓距韌帶、跟腓韌帶
41 有關化膿性骨髓炎的感染途徑,下列何者最不可能? (A)細菌從身體其他部位的感染病灶經血液循環達到骨組織引起骨髓炎 (B)由於割傷如開放性骨折、槍傷感染後發生的骨髓炎 (C)從鄰近的軟組織感染直接蔓延至骨組織,如指端感染所引起的指骨骨髓炎 (D)輸血或吸毒之針頭污染引起的感染性骨髓炎
42 45 歲園藝工作者,近 2 個月右手食指用力伸屈時疼痛,並出現彈跳動作,晨起和勞動後症狀較重, 在掌骨頭掌側面有壓痛點,其最可能病症為何? (A)橈骨莖突狹窄性腱鞘炎 (B)屈指肌腱腱鞘炎 (C)伸指肌腱斷裂 (D)屈指肌腱斷裂
43 依《醫宗金鑑.正骨心法》,足背跗骨受傷之治療方式,下列何者錯誤? (A)先以手法輕輕搓摩,令其骨合筋舒 (B)洗以海桐皮湯或八仙逍遙湯 (C)貼以烏龍膏 (D)內服健步虎潛丸或補筋丸
44 45 歲男性患者昨日於海鮮店應酬後,突發左足第一蹠骨腫脹紅熱,血液生化顯示尿酸值為 11.3 mg/dL。 則下列何種食物是他可以放心食用的? (A)香菇 (B)雞精 (C)地瓜葉 (D)豬肝
45 中醫傷科常用之「如意金黃散」一方係出自何書? (A)《傷科大成》 (B)《外科正宗》 (C)《正骨心法》 (D)《少林武功銅人簿》
46 30 歲女性受傷後咳血衄血而喘,是因氣逆而血蘊於肺,依《醫宗金鑑.正骨心法》記載,只宜活血 行氣,應治以下列何方? (A)二味參蘇飲 (B)七味白朮散 (C)十味參蘇飲 (D)血府逐瘀湯
47 36 歲女性逛街時不慎跌倒,損傷後一直覺得口渴,經辨證屬胃火熾盛,依《醫宗金鑑.正骨心法》, 應治以下列何方? (A)竹葉黃耆湯 (B)竹葉石膏湯 (C)黃連解毒湯 (D)玉燭散
48 一位年輕男性因打球跳躍後閃挫,之後一直覺得胸腹痛悶,胸腹部拒按,依《醫宗金鑑.正骨心法》, 以下列何者治療最適當? (A)加味逍遙散 (B)加味歸脾湯 (C)四君子湯加柴胡、山梔 (D)四物湯加柴胡、山梔、桃仁、紅花
49 下列那一本著作是早期的一部中醫傷科專書,它闡述骨折的治療原則為復位、夾板固定、功能鍛鍊 和藥物治療? (A)《仙授理傷續斷秘方》 (B)《備急千金要方》 (C)《外臺秘要》 (D)《聖濟總錄》
50 跌倒時手掌先著地,肘關節處於伸直和前臂旋前位,暴力沿前臂橈側向上傳達,引起肘部過度外翻, 會使橈骨頭撞擊下列何者,產生反作用力擠壓而發生骨折? (A)肱骨外髁 (B)肱骨內上髁 (C)肱骨小頭 (D)尺骨鷹嘴
51 關於肘關節脫位之敘述,下列何者錯誤? (A)依位置可分為「前脫位」及「後脫位」 (B)尺骨常脫落移位於肱骨下端後方,此為後脫位 (C)可能造成創傷性骨化肌炎 (D)俟腫脹消,確定無其他併發症,再行整復復位
52 鎖骨骨折後,內側段向後上方移位,是因為下列何者的牽拉? (A)提肩胛肌 (B)胸鎖乳突肌 (C)斜方肌 (D)肩胛下肌
53 下列那一種類型的肱骨外科頸骨折,臨床較少見,但若處理不當,常容易造成患肢嚴重的功能障礙? (A)嵌插骨折 (B)合併肩關節脫位 (C)內收型骨折 (D)外展型骨折
54 跌倒時因肘關節突然屈曲,同時肱三頭肌強烈收縮造成肘部撕脫骨折,則發生骨折的部位以下列何 者最常見? (A)肱骨髁上 (B)肱骨外髁 (C)肱骨內上髁 (D)尺骨鷹嘴
55 「一助手把住上臂,術者兩拇指並列置於遠端背側,其他四指置於其腕部,扣緊大小魚際肌,先順 勢拔伸 2~3 分鐘,待重疊移位完全糾正後,將遠段旋前,並利用牽引力,驟然猛抖,同時迅速尺偏 掌屈,使之復位」上述方法是用於整復下列那一種骨折? (A)橈骨下端伸直型骨折 (B)橈骨下端屈曲型骨折 (C)腕舟骨骨折 (D)第一掌骨基底部骨折
56 有關掌指關節及指間關節脫位的敘述,下列何者錯誤? (A)掌指關節屈曲時,易因外力作用而發生脫位 (B)《醫宗金鑑.正骨心法》「五指之骨名錘骨,即各指本節之名也」 (C)指間關節脫位多因外力使關節極度過伸、扭轉或側方擠壓,造成關節囊破裂、側副韌帶撕斷而引 起。脫位的方向大多是遠節指骨向背側移位 (D)指間關節脫位整復後,還可採用鄰指膠布固定
57 下列何者並非月狀骨脫位的診斷要點? (A)腕部掌側腫脹、隆起、疼痛、壓痛明顯 (B)腕關節呈屈曲位無名指不能完全伸直,握拳時第四掌骨頭明顯塌陷 (C)脫位的月狀骨壓迫正中神經,使拇、食、中三指感覺異常與屈曲障礙 (D) X 光正位片顯示月狀骨由正常的四方形變成三角形,側位片可見月狀骨凹形關節面與頭狀骨分離 而轉向掌側
58 有關臑骨下端骨折的敘述,下列何者錯誤? (A)兒童常見骨折之一 (B)青枝骨折、裂紋骨折、無側方移位的骨折不必整復,可用直角夾板以肘部 8 字繃帶固定 (C)臑骨下端骨折一般主張採用手術切開治療 (D)骨折位移分成屈曲型和伸直型兩種
59 10 歲男童溜冰跌倒後發生小腿脛腓骨骨幹的螺旋形骨折,請問造成其損傷的暴力形式應屬於下列何者? (A)間接暴力 (B)直接暴力 (C)筋肉牽拉 (D)持續性勞損
60 有關肩關節脫位復位後的固定方法,下列敘述何者錯誤? (A)復位後必須予以妥善固定,以防日後形成習慣性脫位 (B)一般可用胸壁繃帶固定法 (C)將患側上臂保持在外展外旋位,肘關節屈曲 60~90 度 (D)前臂用頸腕帶或三角巾懸托於胸前,固定時間 2~3 週
61 下列何廓不附於血輪? (A)雷廓 (B)澤廓 (C)山廓 (D)風廓
62 附圖為患者眼睛外觀,下列相關敘述何者錯誤?
(A)白睛發黃 (B)病位在氣輪 (C)肺家為病 (D)膽汁外溢
63 一患者,常眼澀癢痛,反覆發作多年無良好治療,求診時如下圖,下列敘述何者正確?
(A)倒睫拳毛,摩擦日久,導致黑睛病變 (B)上胞下垂,眼瞼日久摩擦,黑睛病變 (C)瞼弦赤爛,慢性發炎,邪鬱良久不去,黑睛受犯 (D)椒瘡日久,可致由上垂下,赤脈至黑睛混赤,亦可由黑睛四周侵入
64 一患者早上起床,忽見眼白一片血紅,不痛不腫(如圖),下列相關敘述何者錯誤?
(A)初起宜冷敷,三日後可視情況熱敷 (B)輕者一般可自癒,重者宜清肺散血 (C)心營耗損,肝腎不足者,宜養血補心,歸芍地黃湯 (D)本病亦會傳染,宜應隔離治療,以防病情擴散
65 青盲,視力失明,與下列何種現代醫學疾病有關? (A)視網膜中央血管阻塞 (B)急性視神經炎 (C)白內障 (D)視神經萎縮
66 73 歲女性逐漸視力模糊,不痛不癢,眼前有位置固定之點狀、條狀或圓盤狀陰影。檢視瞳神,晶珠 灰白色混濁。有關患者的診斷,下列何者錯誤? (A)雲霧移睛 (B)圓翳內障 (C)黃心白翳 (D)白內障
67 患者抱怨胞瞼不能自控的跳動,尤其勞累時更為嚴重,時疏時頻,平日常會心煩失眠,怔忡健忘, 其最有可能之診斷及證候為何? (A)目劄,緣於脾虛肝旺 (B)目劄,緣於肺陰虛 (C)胞輪振跳,緣於心脾兩虛 (D)胞輪振跳,緣於血虛生風
68 51 歲女性突然頭痛如劈,眼珠脹痛欲脫,連及目眶,視力急降,抱輪紅赤或白睛混赤浮腫,黑睛呈 霧狀混濁,瞳神散大,瞳內呈淡綠色,眼珠變硬,噁心想吐,舌紅苔黃,脈弦數。有關患者病機與 治療的敘述,下列何者正確? (A)急性期先治頭痛,再收瞳神 (B)《外臺秘要》認為是內肝管缺,眼孔不通所致 (C)青風內障急性發作導致眼壓高 (D)痛至巔頂可用吳茱萸湯降逆止痛
69 依《傷寒論》,下列何者不是仲景所提治療少陰咽痛的方藥? (A)豬膚湯 (B)甘草湯 (C)麥門冬湯 (D)苦酒湯
70 有關耳鼻喉科治法之敘述,下列何者錯誤? (A)《保生秘要》記載有以採用現今之耳咽管自行吹張法治療耳鳴、重聽 (B)可用導引、運功方式治療耳鼻喉科疾病 (C)《景岳全書》中記載之耳膜按摩術至今仍用於治療暴聾或耳鳴不止者 (D)以壓迫頸外動脈以止鼻衄的治療方式,首見於《扁鵲心書》中
71 有關耳鼻喉口齒科癌症的敘述,下列何者正確? (A)喉菌:好發於軟顎與喉核處,初起僅有不適感,嚴重會引發呼吸困難 (B)上頜竇癌:會出現局部疼痛,在患側鼻道流出臭味帶血的膿水 (C)舌菌:好發於舌尖邊或舌根,初起舌苔白黃厚膩,舌面疼痛難忍 (D)咽菌:好發於聲門區與會厭喉側面,常見聲音嘶啞,甚則呼吸困難
72 18 歲男性耳殼突然局部腫起,腫處皮色不變、按之柔軟,不熱不痛,穿刺有黃色黏液,抽後腫消, 不久又腫起,則此患者最不可能罹患的是下列何病? (A)耳殼流痰 (B)耳廓假性囊腫 (C)旋耳瘡 (D)滲出性軟骨膜炎
73 42 歲男性,耳內突然有空虛或發涼之感,耳鳴耳聾,蹲下站起來或勞而更甚。該病患最宜以下列何 方治療? (A)銀翹散 (B)龍膽瀉肝湯 (C)益氣聰明湯 (D)耳聾左慈丸
74 下列何者症見鼻內乾燥,肌膜萎縮,鼻竅寬大,此症發生緩慢,病程較長,是常見的慢性鼻病,相 當於萎縮性鼻炎? (A)鼻槁 (B)鼻鼽 (C)鼻疳 (D)鼻瘜肉
75 診其脈浮滑,舌淡紅尖朱點苔薄白,餘 症如上述。請問林小姐未服感冒膠囊前,病、證為何? (A)外感風熱 (B)外感風寒 (C)外感寒濕 (D)外感濕熱
76 承上題,林小姐服感冒膠囊後,其病、證為何? (A)慢性鼻竇炎急性發作、外感風寒化熱入裏 (B)慢性鼻竇炎急性發作、外感風熱化熱入裏 (C)慢性鼻竇炎急性發作、肝火上炎 (D)慢性鼻竇炎急性發作、肺熱內盛
77 下列何項描述屬「慢喉瘖」? (A)咽喉中的異常感覺,如有梅核塞於咽喉,咯之不出,嚥之不下 (B)由於飲食不慎,誤將魚刺或其他骨類鯁於咽喉、食管,邪毒乘機而入,氣血凝滯,熱毒熏蒸,以 致咽喉不適 (C)聲嘶日久,講話費力,喉內不適,有異物感,常作「吭喀」以清嗓 (D)聲嘶日久,勞則加重,午後明顯,語言低微,講話費力,不能持久
78 下列何病症若未積極治療,最可能出現氣道閉阻? (A)風熱乳蛾 (B)急喉風 (C)急喉瘖 (D)喉癬
79 口齒唇舌病的辨證中,若為脾虛血少風燥之證,則所表現的症狀中,下列何者最為恰當? (A)唇舌破裂,色嫩紅,或呈線形裂縫 (B)牙齦萎縮,邊緣潰爛,牙根宣露,萎縮潰爛呈紅色 (C)唇腫破裂潰爛,流水 (D)潰爛成片,布於口腔,表面腐物鬆厚、灰白如糜粥樣,周圍紅腫
80 若患者咽喉膿液清稀、污黯而腥臭、潰口久不癒合者,屬下列何證型? (A)肺腎陰虛,陰精虧損 (B)脾胃虧損,邪毒內陷 (C)肺脾虛損 (D)脾腎兩虛
申論題 (0)
相關試卷
111年 - 111-2 專技高考_中醫師(二):中醫臨床醫學(三)(包括中醫外科學、中醫傷科學、中醫五官科學)#109951
111年 · #109951
111年 - 111-1 專技高考_中醫師(二):中醫臨床醫學(三)(包括中醫外科學、中醫傷科學、中醫五官科學)#106353
111年 · #106353
110年 - 110-2 專技高考_中醫師(二):中醫臨床醫學(三)(包括中醫外科學、中醫傷科學、中醫五官科學)#100612
110年 · #100612
110年 - 110-1 專技高考_中醫師(二):中醫臨床醫學(三)(包括中醫外科學、中醫傷科學、中醫五官科學)#96439
110年 · #96439
109年 - 109-2 專技高考_中醫師(二):中醫臨床醫學(三)(包括中醫外科學、中醫傷科學、中醫五官科學)#89484
109年 · #89484
109年 - 109-1 專技高考_中醫師(二):中醫臨床醫學(三)(包括中醫外科學、中醫傷科學、中醫五官科學)#82967
109年 · #82967
108年 - 108-2 專技高考中醫臨床醫學(三)(包括中醫外科學、中醫傷科學、中醫五官科學)#78362
108年 · #78362
108年 - 108-1 專技高考_中醫師(二):中醫臨床醫學(三)(包括中醫外科學、中醫傷科學、中醫五官科學)#74496
108年 · #74496
107年 - 107-2 專技高考_中醫師(二):中醫臨床醫學(三)(包括中醫外科學、中醫傷科學、中醫五官科學)#71175
107年 · #71175
107年 - 107-1 專技高考_中醫師(二):中醫臨床醫學(三)(包括中醫外科學、中醫傷科學、中醫五官科學)#67795
107年 · #67795