所屬科目:中醫臨床醫學(三)
17 小華的媽媽某日因整天忙碌,忘記幫小華換尿片,等到晚上解開尿片時,才發現小華的屁股附近皮膚 整片通紅如圖所示。下列診斷何者最適宜? (A)狐水刺 (B)漏底風 (C)猴疳 (D)臀癰
33 下圖之①②③分別為不同神經支配部位之感覺檢查,關於其對應關係,下列何者正確? (A)①橈神經②尺神經③正中神經 (B)①橈神經②正中神經③尺神經 (C)①正中神經②橈神經③尺神經 (D)①尺神經②橈神經③正中神經
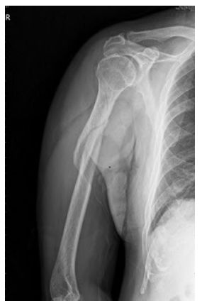
52 70歲男性騎機車自摔右手撐地,右上臂腫脹瘀青明顯無法用力,X光如附圖所示,下列敘述何者正確? ①X光顯示右側肱骨幹骨折 ②該處骨折為橫斷性骨折 ③該骨折易併發尺神經受損 ④該處骨折因容易發生骨折延遲癒合或不癒合 (A)①③ (B)②③ (C)①④ (D)②④
53 關於橈骨遠端骨折復位手法如附圖所示,下列敘述何者正確? (A)此復位手法為橈骨遠端屈曲型骨折復位手法 (B)整復起始擺位為肘部屈曲 90 度,前臂旋前位 (C)圖①術者兩拇指並列遠端背側,其餘四指扣緊大小魚際順勢拔伸 (D)圖②需藉牽引力,驟然猛抖同時迅速橈偏掌屈,完成復位
54 45歲男性接球不慎頂到左手無名指,當下疼痛明顯,無名指無法完全伸直,今天求診,X光檢查如附 圖所示,下列敘述何者正確?①X光顯示左手無名指末端指節撕脫性骨折 ②左無名指日久失治外觀 會呈現錘狀指 ③此受傷機轉主要由於屈指淺肌的拉扯所致 ④使用夾板固定時,左手無名指遠端 指節需呈現些微屈曲(flexion)位做固定 (A)①② (B)①④ (C)①③④ (D)②③④