所屬科目:中醫臨床醫學(三)
34 60 歲婦女慢性腰痛 2 年,未積極治療,其 X 光如圖所示,下列處置何者適宜?①立即進行手術,腰 椎放鋼板以免惡化 ②適時穿戴護腰 ③患處疼痛可外敷活血止痛藥膏 ④多訓練腰背肌肉、四肢 肌肉 ⑤適度的牽引也可使用 (A)①④⑤ (B)①②③ (C)僅②④⑤ (D)②③④⑤
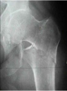
53 下圖為 60 歲男性走路自跌,左髖疼痛。下列敘述何者正確? (A)為不穩定骨折 (B)是順轉子間型骨折 (C)易發生股骨頭缺血性壞死 (D)此為囊內骨折
59 依《普濟方》,有關圖示整復手法的敘述,下列共幾項正確?①即「攀門拽伸法」 ②令患者俯臥 於門板上,患者雙手攀住門板上緣,用三人在下腰部與雙下肢拔伸牽引,醫者用手按壓骨折部進行 復位 ③是一種過伸位脊柱骨折復位法 ④臨床適用於體格健壯的胸腰椎壓迫性骨折 (A)1 (B)2 (C)3 (D)4