所屬科目:中醫臨床醫學(三)
26 將患者腳掌擦上石膏粉或墨,然後踏印於地面或紙上,根據下圖印跡,主要檢查下肢何處有無異常? (A)足頂角 (B)足舟骨 (C)跟腱 (D)足弓
29. 74歲男性患者,主訴106年1月跌倒後無法久走久站,久走後右小腿痠痛,麻痺感已1年,大便秘,腹部 仍略脹氣,大便2天1行,服軟便劑,小便頻較困難,懷疑攝護腺腫大,夜尿3~4次,106年12月左大腿 外側麻痺感,小便頻,食慾稍增,經常口乾口破,核磁共振影像(MRI)如下圖,下列診斷何者最適當? (A)腰椎薦椎化 (B)梨狀肌症候群 (C)腰部扭傷 (D)腰椎退化性關節炎
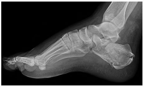
54 跟骨骨折矯正復位時,跟骨結節關節角(Bohler’s Angle)的矯正對足踝功能很重要。下圖之跟骨骨折, 理想之跟骨結節關節角矯正後約幾度? (A)5 (B)10 (C)40 (D)80
55 50歲男性,文書工作,偶有小跑步運動,右膝疼痛數月之久,無明顯受傷病史,X光正面向顯示如下圖。下列處置何者最合適? (A)安排手術內固定 (B)徒手復位,夾板固定 (C)徒手復位,抱膝固定 (D)照左膝X光做比較
58 左髖關節脫位後,畸形姿勢不能改變,呈彈性固定,髖關節後上方脫位的畸形圖,下列何者正確? (A) (B) (C) (D)