所屬科目:中醫臨床醫學(三)
27 如圖各項操作圖示,分別對應於不同之檢查名稱,下列配對何者正確? (A)①Finkelstein’s test②Tinel’s sign③Phalen’s test④Cozen’s test (B)①Phalen’s test②Cozen’s test③Finkelstein’s test④Tinel’s sign (C)①Tinel’s sign②Phalen’s test③Cozen’s test④Finkelstein’s test (D)①Cozen’s test②Finkelstein’s test③Tinel’s sign④Phalen’s test
49. 2 歲大小孩從床鋪上跌落地,左大腿腫痛,X 光如下圖。下列何者是最適當的處置? (A)垂直懸吊皮膚牽引 (B)骨骼牽引 (C)用折頂迴旋法復位後,再以夾板固定 (D)水平位持續牽引
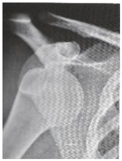
58 肩關節正面 X 光片(如圖),下列何者正確? (A)肩鎖關節脫位 (B)喙突下脫位 (C)盂下脫位 (D)鎖骨下脫位