所屬科目:中醫臨床醫學(三)
27 髖部與骨盆檢查可分為五個臨床分帶,有關股三角結構之界限,下列敘述何者最不適當? (A)上為腹股溝摺痕(B)內側為內收長肌(C)外側為股直肌(D)底部由內收長肌、恥骨肌、髂腰肌所構成
28 有關斜頸(Torticollis)的敘述,下列選項何者最適當?①如採取手術療法要將胸鎖乳突肌胸骨頭與 鎖骨頭完全切斷,否則效果不佳②有三種較明確的分型,成年繼發性斜頸常需與眼性斜頸做鑑別 診斷 ③胎兒型斜頸為防止演變成嬰幼兒型斜頸要積極介入治療 ④嬰幼兒型斜頸出生時未見斜 頸,慢慢長大後才發生斜頸 ⑤可以熱敷按摩胸鎖乳突肌及頸部牽引固定等保守療法治療 (A)①②③ (B)②③④ (C)①④⑤ (D)③④⑤
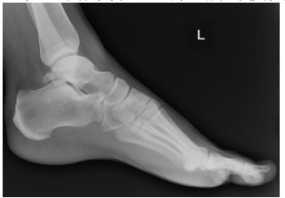
53 一位芭蕾舞者,主訴左腳踝後側疼痛,無跌倒扭傷病史,X 光如下圖。下列處置敘述何者最適當? (A)為距骨後突骨折,需徒手復位,夾板固定 (B)照右側 X 光比較 (C)為距骨後突骨折,需手術內固定復位,以預防缺血性壞死 (D)為距骨後突骨折,需復位石膏固定,以預防缺血性壞死
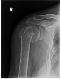
57 一位 60 歲女性主訴 2 天前在浴室滑倒,右肩疼痛求診,X 光顯示如下圖。下列敘述何者最不適當? (A)可預估患者跌倒時上臂在內收位,軀幹向傷側傾斜,手掌或肘部著地 (B)手法復位後,須用上臂超肩關節夾板固定 (C)睡覺時要仰臥,並在肘後部放一枕頭以維持肩部於前屈位,且維持肩關節在內收位,以利骨折之復位 (D)此種骨折也有可能傷及神經,最常見者為腋神經
58 危亦林是元朝著名骨傷科專家,所著《世醫得效方》中記載有詳細的軟繩牽引復位法:「須用軟繩從腳 吊起,墜下身直,其骨自然歸窠,未直則未歸窠,須要墜下,待其骨直歸窠。」該法主治下列何處骨折? (A)琵琶骨 (B)脊樑骨 (C)勞堂骨 (D)凌雲骨
59 某 17 歲男孩,某日騎單車跌倒,著地時左手臂直接撐地,旋即發生劇烈疼痛,經送醫檢查發現其 X 光片如圖所示,下列敘述有幾項正確?①左拄骨骨折 ②多發生於中 1/3 處 ③大多使用“∞”字繃帶 固定 ④患者常以健手托著患側肘部,以減輕上肢重量牽拉 ⑤幼兒多見 (A)2 (B)3 (C)4 (D)5