阿摩線上測驗
登入
首頁
>
中醫臨床醫學(三)
> 101年 - 101-2 專技高考_中醫師(二)、中醫師:中醫臨床醫學(三)(包括中醫外科學、中醫傷科學、中醫五官科學)#36839
101年 - 101-2 專技高考_中醫師(二)、中醫師:中醫臨床醫學(三)(包括中醫外科學、中醫傷科學、中醫五官科學)#36839
科目:
中醫臨床醫學(三) |
年份:
101年 |
選擇題數:
80 |
申論題數:
0
試卷資訊
所屬科目:
中醫臨床醫學(三)
選擇題 (80)
1 下列何者生膿的速度最快? (A)漏底風 (B)流痰 (C)腕癰 (D)蛇眼疔
2 下列何者的臨床表現是以耳內悶腫出膿為其特徵? (A)耳疳 (B)耳 (C)耳痔 (D)耳菌
3 55 歲男性病患,在右足踝內側近關節處,出現堅硬,漫腫,皮色不變,時時隱痛,難於行立者,請 問下列診斷何者錯誤? (A)走緩 (B)鞋帶 (C)腳拐毒 (D)驢眼毒
4 有關「走馬牙疳」,下列敘述何者錯誤? (A)癖積毒火攻牙者,宜服蘆薈消疳飲 (B)疹痘餘毒所中者,宜服清疳解毒湯 (C)苔黃便秘,脈數有力者,宜服涼膈散 (D)如熱久津傷,無實熱證狀者,兼服人參茯苓粥
5 1 歲王小弟,在腸胃型感冒後口生白斑,越長越多,啼叫不安,經診察口腔如圖,且咽喉腫起,難於 乳哺,此為何證?
(A)雪口 (B)乳蛾 (C)喉癬 (D)喉菌
6 下列何種癰隨處可發生? (A)厲癰 (B)癰 (C)痘癰 (D)黃瓜癰
7 各疔治法雖不雷同,但總以下列何法為主體? (A)散風發表 (B)清火解毒 (C)和營養陰 (D)瀉熱止痛
8 腦疽初起,出現口唇焦紫,大渴、大便結燥,宜服用下列何方? (A)內
黃連湯 (B)琥珀膏 (C)仙方活命飲 (D)白虎湯
9 有關「鬢疽」,下列敘述何者正確? (A)生於鬢角,為手足少陽二經所過,最易腐潰 (B)初起宜服柴胡清肝湯 (C)瘡堅痛少,潰而膿微,瘡形散漫不聚者,治以消毒為主,托裏為輔 (D)根盤不開大而聚縮者,乃屬真氣虛而邪氣實
10 某患者罹患赤白遊風,皮膚出現病灶起如雲片,浮腫焮熱,痛癢相兼,高纍如粟,色白者,初宜服 荊防敗毒散疏解之,次宜服何方治療為佳? (A)四物消風飲 (B)烏藥順氣散 (C)清胃湯 (D)補中益氣湯加防風、蟬蛻、殭蠶、生何首烏
11 下列何種疾病,最常因風寒濕三氣合而為病? (A)四彎風 (B)白屑風 (C)腎囊風 (D)鶴膝風
12 一名就讀國中三年級女學生,最近頭皮出現病灶如附圖所示,毛髮成片脫落,其最可能的診斷為何?
(A)釘腦疔 (B)玉枕疽 (C)髮際瘡 (D)油風
13 有關「痄腮」,下列敘述何者正確? (A)好發於春、冬二季,以老人及體弱人最易染病 (B)可經由飛沫及直接接觸感染病人之唾液而傳染 (C)一般人皆可被感染,感染後通常會再復發 (D)初起病狀雖輕,但極易傳變,很難治癒
14 4 歲男童,平日體弱,臀部經常有疔瘡發作,數週前外感,隨之出現高燒、頭痛、大腿外側骨頭壓痛 等症狀,根據病情描述,此童可能罹患下列那一種病? (A)坐板瘡 (B)附骨疽 (C)臀疽 (D)臀癰
15 下列敘述,何者最為正確? (A)「風疽」多生於大腿 (B)「附骨疽」多生於脛骨 (C)「緩疽」多生於足背 (D)「敦疽」多生於足趾
16 肉癭的病因與下列何項無直接關係? (A)腎水不足 (B)憂思鬱怒 (C)肝鬱不達 (D)脾失健運
17 下列何方可通治五淋? (A)五苓散 (B)五淋散 (C)萆薢分清飲 (D)八正散
18 有關「疳瘡」,下列敘述何者錯誤? (A)又名「精瘡」 (B)莖上生瘡,外皮腫脹包裹者,名為「袖口疳」 (C)生梅毒時,誤用薰搽藥致腐爛如臼者,名為「楊梅內疳」 (D)生於莖之下者,名為「蛀疳」
19 有關「陰虱瘡」的證治,下列敘述何者錯誤? (A)多因性行為而傳染 (B)初起搔癢難忍,抓破色紅,中含紫點 (C)若前陰毛際內形如肉餅,發癢結如蠟皮者,此乃疾將癒也 (D)一般治則,內服宜「蘆柏地黃丸」,外用鍼挑破去虱,擦銀杏無憂散
20 有關「奶癬」的證治,下列敘述何者錯誤? (A)病因多由胎中血熱,出生時落草受風所致 (B)治療時,乾者宜抹「潤肌膏」,濕者宜以嫩黃柏頭末與滑石等分撒之 (C)若熱極皮膚火熱,紅暈成片,遊走狀如火丹,此乃陰不斂陽之徵,治宜收斂,不宜外發 (D)乳母亦需忌食魚腥與辛辣動風發物
21 「術者雙手握骨折部,兩拇指按於骨折近端的外側,其他各指抱骨折遠端的內側向外捺正,助手同 時在牽拉下內收其上臂即可復位。」上述方法是用於整復下列那一種類型的肱骨外科頸骨折? (A)裂縫骨折 (B)嵌插骨折 (C)內收型骨折 (D)外展型骨折
22 下列何種骨折最不易出現缺血性壞死(avascular necrosis)情形? (A)手腕舟狀骨(scaphoid) (B)股骨頸(femoral neck) (C)橈骨頭(radial head) (D)月狀骨(lunate) 代號:6103 頁次:8-3
23 造成肩夾擠症候群(shoulder impingement syndrome)的是下列那一條肌肉的肌腱最常見? (A)三角肌(deltoid) (B)棘上肌(supraspinatus) (C)小圓肌(teres minor) (D)肱二頭肌(biceps brachii)
24 有關「小兒麻痺症」,下列敘述何者錯誤? (A)小兒麻痺是由病毒引起的急性傳染病 (B)病變在中樞神經系統,主要侵犯脊髓後角運動神經細胞,因此可引起肌癱瘓 (C)從發病到出現肌肉癱瘓約經 2-4 週 (D)本病發熱之熱型乃初發熱 1-4 天自行消退,經過 3-5 天靜止期,熱度再起,呈雙峰熱型,為本病特 徵表現
25 25 歲男性患者,因今日騎自行車不慎跌落山谷而無法行走,右髖關節疼痛,且患肢呈現外展外旋, X 光檢查診斷右髖脫位,其手法復位的順序為何?
(A)④③①② (B)③④②① (C)①③④② (D)③①②④
26 有關「膝膕窩囊腫」,下列敘述何者正確? (A)屬於結節性囊腫,多發型較多 (B)原因不明,囊內為水樣物質,清澈不渾濁 (C)生長緩慢,質軟,觸之有移動感;刺激囊腫會變肥厚、變硬 (D)會腫大變硬,影響關節活動,X 光片上明顯影響關節結構
27 23 歲女性,自訴一年前跌倒以致右膝損傷,右膝酸痛反覆持續至今,上下樓梯時酸痛加重,蹲下困 難,膝關節軸位,X 光片如圖示,請問診斷為何?
(A)股骨髁上骨折 (B)新鮮髕骨脫位 (C)股骨髁間骨折 (D)髕骨習慣性脫位
28 下列那一種骨折,可併發「足下垂」的症狀? (A)腓骨下端骨折 (B)腓骨上端骨折 (C)脛骨下端骨折 (D)脛骨上端骨折
29 骨折的副木外固定最早於何時可以解除,並加強患肢的活動鍛鍊? (A)骨折處無壓痛,沿患肢縱軸叩擊才有疼痛時 (B)被動活動患肢時,骨折處還有異常活動 (C) X 光片顯示骨折線模糊,周圍有連續性骨痂 (D) X 光片顯示骨小樑通過骨折線
30 下列那一洗方能專洗跌撲損傷,腫硬疼痛,及一切冷振風濕,筋骨血肉肢體酸痛等? (A)五加皮湯 (B)八仙逍遙散 (C)散瘀和傷湯 (D)海桐皮湯 代號:6103 頁次:8-4
31 有關「尺骨鷹嘴骨折」,下列敘述何者錯誤? (A)尺骨鷹嘴骨折又稱為鵝鼻骨骨折 (B)兒童常見的骨折之一 (C)需與成人骨線未閉合進行鑑別診斷 (D)對骨折診斷有懷疑時,可拍攝健側照片對照
32 依《醫宗金鑑.正骨心法》有關臂骨骨折,下列敘述何者錯誤? (A)臂骨者,自肘至腕,有正輔二根 (B)以手法接對端正,貼萬靈膏,竹簾裹之 (C)俟三日後,開簾視之,以手指按其患處,或仍有未平,再揉摩其瘀結之筋,令其復舊 (D)每日午後,服正骨紫金丹
33 有關「脫位」,下列敘述何者錯誤? (A)肩鎖關節脫位是由於肩鎖韌帶及喙鎖韌帶損傷造成 (B)肘關節脫位合併內上髁骨折,病人易有拇指、食指的感覺異常 (C)肩關節脫位的病人出現三角肌感覺異常,是因腋神經損傷 (D)踝關節脫位常合併骨折;因三角韌帶附著關係,造成內踝骨折
34 《備急千金要方》中稱「失欠頰車」,在臨床上以何種型態最常見? (A)前脫位 (B)後脫位 (C)下方脫位 (D)側方脫位
35 肱骨幹骨折處在三角肌止點以上時,骨折近端由於肌肉的牽拉,可發生下列那一種典型的移位? (A)向前、向內移位 (B)向上、向外移位 (C)向外、向前移位 (D)向上移位
36 20 歲男性,經常運動,因膝關節疼痛來院檢查,發現半月板損傷,則下列何項檢查最有可能為陽性徵? (A)抽屜試驗(Drawer test) (B)迴旋擠壓試驗(McMurray’s test) (C)拉離試驗(Apley’s Distraction test) (D)浮髕試驗(Ballotable patella sign)
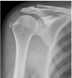
37 下列那一種骨折晚期可出現骨不連接、進行性肘外翻和牽拉性尺神經麻痹? (A)肱骨髁上骨折 (B)肱骨外髁骨折 (C)橈骨頭骨折 (D)尺骨鷹嘴骨折
38 有關 Galeazzi 骨折(蓋氏骨折),下列何者正確? (A)橈骨上三分之一骨折合併橈骨頭脫位 (B)橈骨下三分之一骨折合併橈尺下關節脫位 (C)尺骨上三分之一骨折合併橈骨頭脫位 (D)尺骨下三分之一骨折合併橈尺下關節脫位
39 (A)撞擊症候群 (B)鎖骨下動脈撕裂傷 (C)肩關節脫臼 (D)鎖骨骨折
40 承上題,此患者有何重要症狀或徵象可供鑑別? (A)手指冰冷感 (B)皮下瘀紫斑 (C)手臂麻木感 (D)外觀畸形,呈「方肩」狀
41 45 歲男性因打撲損傷,敗血流入胃脘,嘔吐黑血,形氣虛者,依《醫宗金鑑.正骨心法》,宜治以 下列何方? (A)百合散 (B)加味芎藭湯 (C)獨參湯 (D)益氣養榮湯
42 依《醫宗金鑑.正骨心法》,有關傷損煩躁,下列敘述何者錯誤? (A)煩躁自汗頭暈,宜用獨參湯 (B)煩躁脅痛,宜用小柴胡湯 (C)煩躁不寐,宜用加味歸脾湯 (D)亡血過多煩躁,宜用聖愈湯
43 Finkelstein’s Test 呈現陽性,與下列何種疾病有關? (A)肱骨外上髁炎 (B)腕隧道徵候群 (C)橈骨莖突腱鞘炎 (D)肱二頭肌肌腱炎
44 女僕膝(housemaid’s knee)多因是過度跪膝工作所造成之炎症現象,其病位為何? (A)髕骨上滑囊(suprapatellar bursa) (B)深部髕骨下滑囊(deep infrapatellar bursa) (C)髕骨前滑囊(prepatellar bursa) (D)鵝足滑囊(pes anserine bursa) 代號:6103 頁次:8-5
45 28 歲裝卸工,在扛一木箱時,突發腰部劇痛,腰部俯仰轉側困難,咳嗽、噴嚏使腰痛加劇,疼痛牽 涉雙側坐骨神經區,神經系統檢查無異常,最可能是下列何種疾病? (A)椎管狹窄症 (B)腰椎骨折 (C)急性腰椎間盤突出 (D)急性腰扭傷
46 有關「肩關節周圍炎」,下列敘述何者正確? (A)肩關節疼痛表現多為晝夜疼痛程度相同,只能靠藥物緩解 (B)主動運動範圍可比被動運動大,可能是代償性肩胛胸壁運動所致 (C)症狀表現為關節周圍軟組織炎性症狀,不影響關節囊容積 (D)一般肩關節 X 光檢查可以確診病因
47 某高中舞蹈班學生,練習劈腿時造成下肢損傷,下列何者最可能? (A)股四頭肌起捩傷 (B)股內收肌損傷 (C)股骨大轉子滑囊炎 (D)梨狀肌綜合徵
48 依《醫宗金鑑.正骨心法》,髖骨外向之凹,其形似臼,以納髀骨之上端如杵者,名稱為何? (A)環跳 (B)胯骨 (C)髀關 (D)大楗骨
49 有關「落枕」,下列敘述何者正確?①晨起後感到項背明顯酸痛 ②病程較短,通常一週左右即可 自行痊癒 ③常與職業有密切關係,好發於老年人 ④檢查時,於斜方肌及大小圓肌亦常有壓痛感 (A)①② (B)①③ (C)②④ (D)③④
50 有關肘部扭挫傷之診斷治療,下列何者錯誤? (A)有明顯外傷史,肘關節處於半屈伸位,瀰漫性腫脹、疼痛、功能障礙,有的出現瘀斑 (B)環狀韌帶的斷裂常使橈骨頭脫位併尺骨上段骨折 (C)肘部損傷後功能訓練進行愈快愈好,尤其在恢復期應儘量作被動屈伸來拉開粘連,增加活動度 (D)肘部扭挫傷早期患肢用三角巾懸吊,肘關節置於屈曲 90°的功能位,以限制肘關節的屈伸活動,並 督促患者作手指屈伸握拳活動,以利消腫
51 有關「腱鞘囊腫」,下列敘述何者錯誤? (A)古稱「腕筋結」、「腕筋瘤」,實際上不是腫瘤 (B)內含有無色透明或微呈白色、淡黃色的濃稠黏液 (C)腱鞘囊腫患者往往在沒有明顯外傷史情況下發現囊性的腫塊 (D)表面光滑皮色不變,與皮膚相連,局部溫度稍高
52 有關「手指傷筋」,下列敘述何者正確? (A)指間關節扭挫傷多見於老年人 (B)屈指肌腱腱鞘炎又稱「媽媽手」 (C)「錘狀指」為手指屈指肌腱斷裂所致 (D)扳機指嚴重者屈曲後不能自行伸直
53 橈骨莖突狹窄性腱鞘炎會侵犯那些肌腱? (A)外展拇長肌、伸拇短肌 (B)外展拇長肌、伸拇長肌 (C)外展拇短肌、伸拇短肌 (D)外展拇短肌、伸拇長肌
54 50 歲男性患者,因搬重物扭傷左脅部已五天,就診時欲以理筋手法治療,則下列何手法最合適? (A)滾法 (B)拿捏法 (C)擦法 (D)揉法
55 有關「繼發性腰椎椎管狹窄症」,下列敘述何者錯誤? (A)椎間盤退變,椎間隙變寬,韌帶緊繃,腰角變小,椎體因此退向後側方而壓迫脊柱 (B)凡是造成解剖關係失常的損傷,均可造成椎管狹窄,如外傷後硬膜外血腫機化或骨折後骨痂突入 椎管,均致狹窄 (C)骨移植或脊柱融合術後,椎板增厚或黃韌帶增厚,以及後關節突的膨大或骨質增生,因而使椎管 狹窄 (D)硬膜外軟組織變性、椎管內靜脈曲張、軟骨發育不良、畸形性骨炎、骨質疏鬆症等,均可致椎管 狹窄
56 下列何種檢查方式,可用來檢查棘上肌肌腱損傷? (A)
(B)
(C)
(D)
57 有關「跟部滑囊炎」,下列敘述何者錯誤? (A)多有慢性損傷史,多為一側足跟痛,站立過久或劇烈運動後,足跟部疼痛加劇 (B)跟腱起點的前、後、前下部,各有微小的滑囊,小腿脛後肌過多的收縮,引起跟部滑囊炎 (C)局部輕度腫脹,跟腱止點處壓痛明顯,可摸到捻髮音,應與跟骨骨炎、蹠筋膜炎作鑑別診斷 (D)部分患者踝關節側位 X 光片可見足跟後方透亮三角區模糊或消失
58 有關「腰椎間盤突出症神經根壓迫」之症候,下列敘述何者錯誤? (A)70-80%的患者膝、跟腱反射異常,腰 3-4 椎間盤突出多使膝反射改變;腰 4-5 椎間盤突出則跟腱反 射異常 (B)足背伸肌和伸肌力減弱時,是腰 4-5 椎間盤突出;足蹠屈或立位單腿蹺起肌力減弱,則是腰 51 椎間盤突出 (C)腰 4-5 椎間盤突出,感覺障礙在小腿外側及足背,腰 51 椎間盤突出,則感覺障礙在小趾、足外 側及小腿後側 (D)表現在大腿小腿的肌肉萎縮,兩側比較,肌肉萎縮程度與神經根受壓迫病程長短成正比
59 有關「彈響髖」,下列敘述何者錯誤? (A)一般青年人較多見 (B)因髂脛束在股骨大轉子上滑動所致 (C)常影響關節活動,造成明顯疼痛、不適感 (D)需要與先天性髖關節脫位鑑別
60 42 歲男性患者,從事室內裝潢工作,主訴反覆肩痛已三月餘,疼痛程度尚可忍受,但偶夜間痛醒, 外觀無明顯紅腫,經詢問無特殊運動傷害或明顯外傷史,經檢查 Hawkins impingement sign(霍金氏 夾擊現象)為陽性,X 光如圖所示。根據上述,初步可以診斷為何種疾病? (A)肩峰鎖骨關節骨刺 (B)三角肌勞損 (C)棘上肌鈣化 (D)肱骨大轉子骨裂
61 依《醫宗金鑑.眼科心法》,下列敘述何者錯誤? (A)黑睛屬巽,水廓也 (B)白睛屬乾,天廓也 (C)內眥大眥屬離火,震雷之廓也 (D)外眥小眥屬艮山,兌澤之廓也
62 依《素問.解精微論》,心者,五臟之專精也,何者為其竅也? (A)耳 (B)目 (C)鼻 (D)舌
63 腎陰虛火旺可導致何種眼證? (A)
(B)
(C)
(D)
64 一老婦人,自年輕起眼睛即長年有分泌物,眼痛澀,患者一直未接受治療,求診時如圖箭頭所示, 下列敘述何者正確?
(A)上胞下垂,瞼輪黏合 (B)漏睛症過久,毒邪鬱積,黏合而成 (C)邪毒久鬱,脈絡鬱阻,胞瞼重壅而成 (D)毒邪損及胞瞼與白睛表層,使瞼肉與白睛黏著,阻礙眼睛轉動,為椒瘡之後遺症
65 患者病初起時,出現眼瞼部局部紅腫癢痛,伴有頭痛,發熱,全身不適等症,舌苔薄白,脈浮數, 有關其證治,下列敘述何者錯誤? (A)本病為緣於風熱外襲之針眼 (B)治宜疏風清熱 (C)方宜銀翹散,以薄荷、豆豉、荊芥、銀花、連翹疏風解表,以石膏、梔子清熱解毒 (D)證偏熱重者,可去荊芥、豆豉,加黃連、黃芩以助清熱解毒
66 60 歲男性勞倦後頭眩眼脹,視物昏朦如山煙籠罩,眼觀燈火有虹暈,視力下降,瞳神散大,眼壓 50 mmHg,眼珠變硬,失眠耳鳴,口燥咽乾,舌絳少苔,脈細數,下列有關患者的治療,何者較正 確? (A)龍膽瀉肝湯 (B)丹梔逍遙散 (C)黃連溫膽湯 (D)阿膠雞子黃湯
67 有關「風輪赤豆」,下列敘述何者錯誤? (A)多見於小兒 (B)易反覆發作 (C)不影響視力 (D)類似束狀角膜炎
68 有關「風牽偏視」,下列敘述何者正確? (A)《證治準繩.眼門》稱之為瞳神將反 (B)視一為二,為其臨床特徵 (C)風邪中絡,可以補陽還五湯加減主治 (D)絡脈瘀阻,可以小續命湯加減主治
69 有關耳鼻喉口齒科癌症,下列敘述何者錯誤? (A)鼻咽癌:早期症狀不明顯,症狀明顯者,多已出現轉移 (B)咽菌:好發於聲門區與會厭喉側面,常見聲音嘶啞,甚則呼吸困難 (C)舌菌:好發於舌尖邊或舌根,初起舌面易出現增厚斑塊,潰瘍 (D)上頜竇癌:會出現局部疼痛,在患側鼻道流出臭味帶血的膿水
70 26 歲男性突然耳聾,下列何者最不可能是導致該患者突然耳聾(暴聾)的病因? (A)風邪 (B)肝、腎陰虛 (C)耵聹 (D)熱邪
71 耳科疾病中有關耳脹耳閉,下列敘述何者錯誤? (A)病初起,耳內脹而兼痛稱耳脹 (B)病之久者,耳內如物阻隔清竅閉塞,稱為耳閉 (C)與急性、慢性化膿性中耳炎相似 (D)若兼耳鳴,妨礙聽覺屬「卒聾」、「風聾」
72 耳朵與五臟的關係密切,下列那二臟開竅於耳,若臟氣平和,則聽覺聰敏而可聞五音矣? (A)腎心 (B)腎肝 (C)腎脾 (D)腎肺
73 「腦漏」是指鼻流濁涕,如泉下滲,量多不止之鼻病,此症狀相當於現代醫學之何種鼻病? (A)萎縮性鼻竇炎 (B)慢性肥大性鼻炎 (C)過敏性鼻炎 (D)慢性鼻竇炎
74 鼻槁,亦稱鼻乾燥,其病因病理,下列敘述何者錯誤? (A)肺臟虧虛,鼻失養滋所致 (B)脾氣虛弱,濕蘊生熱所致 (C)膽腑虛熱,熱煉津液所致 (D)腎陰虧虛,肺津亦少所致
75 咽喉疾患若以聲音為辨證的依據,其聲嘶日久,咽乾不喜飲,多屬何證? (A)肺腎陰虛,陰精虧損 (B)胃火傷津,邪毒內攻 (C)肺脾氣虛,痰阻中焦 (D)心火上炎,心腎不交
76 有關「牙痛」,下列敘述何者錯誤? (A)多為風、火、蟲、虛所致 (B)若為齲齒牙痛,可以清胃湯加露蜂房、海桐皮內服治之 (C)若為齲齒牙痛,可以龍眼肉、當歸等量煎水漱口 (D)齒為骨之餘,腎主骨,故虛證多腎虛火炎
77 鼻衄,因外感風熱或燥熱之邪,犯肺所致,肺經熱盛,內治宜疏風清熱,涼血止血,處方以桑菊飲 清熱宣肺,更加何藥涼血止血? (A)當歸、乳香、沒藥 (B)紅花、赤芍、地榆炭 (C)丹皮、白茅根、山梔炭 (D)桃仁、川芎、黃耆
78 喉癰辨證中要如何分辨有膿無膿? (A)出現痰鳴氣急,嗆咳,呼吸困難,喉底一側,紅腫突起,咽壁紅腫,頸部有臖核,是為膿已成 (B)若腫脹散漫,可用壓舌板輕觸患處,紅腫光亮,高突,四周紅暈緊束,按之軟者,是為膿已成 (C)若腫脹散漫,可用壓舌板輕觸患處,喉底一側,紅腫突起,咽壁紅腫,按之堅硬者,是為膿已成 (D)喉底一側,紅腫突起,咽壁紅腫,頸部有臖核,按之痛覺散漫,是為膿已成
79 鼻窒因邪毒久留氣滯血瘀所致,可選用下列何方加減內服治療? (A)丹梔逍遙散 (B)養陰清肺湯 (C)當歸龍薈丸 (D)當歸芍藥湯
80 火熱上炎,煉津成痰,痰涎結聚於咽喉,最宜用下列何者治療? (A)瓜蔞、貝母、竹茹、射干 (B)熟地、山萸肉、淮山藥、女貞子 (C)皂角刺、陳皮、半夏、連翹 (D)薄荷、夏枯草、地丁、杭菊
申論題 (0)