所屬科目:進階專科護理-一般內科
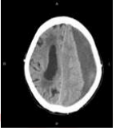
6. 女性 86 歲,近日來嗜睡,今早叫不醒,被送至急診室。家屬表示約 3 週前曾經跌倒, 頭部雖有撞到傢俱,但無明顯外傷。目前腦部電腦斷層檢查結果如下圖,病人最可能的診斷為何?(A) 腦內出血(B) 硬腦膜上血腫(C) 硬腦膜下血腫(D) 蜘蛛網膜下腔出血
58.下表為劉先生肺功能檢查結果,造成劉先生呼吸不順最可能的診斷為何?
(A) 侷限性通氣障礙 (B) 阻塞性通氣障礙(C) 合併阻塞性與侷限性通氣障礙 (D) 肺功能正常無通氣障礙的
73.劉太太 65 歲,最近一個星期內昏厥兩次,住院後心電圖如下: 根據心電圖判讀劉太太有下列何種心律不整?(A) first-degree AV block(B) Mobitz type I second-degree AV block(C) Mobitz type II second-degree AV block(D) third-degree AV block