所屬科目:進階專科護理-兒科
4. 依據 Early Goal Direct Therapy 輸液原則為敗血症休克病人進行輸液,下列何者不符合 其輸液治療的目標?(A) 維持中央靜脈壓(CVP 值)在 8 –12 mmHg(B) 維持中央靜脈血氧飽和度()低於 70%(C) 維持尿液量每小時每公斤體重至少 0.5 毫升以上(D) 平均動脈壓高於 65mmHg
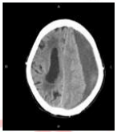
6. 女性 86 歲,近日來嗜睡,今早叫不醒,被送至急診室。家屬表示約 3 週前曾經跌倒, 頭部雖有撞到傢俱,但無明顯外傷。目前腦部電腦斷層檢查結果如下圖,病人最可能的診斷為何?(A) 腦內出血(B) 硬腦膜上血腫(C) 硬腦膜下血腫(D) 蜘蛛網膜下腔出血
50.一位 12 歲女童,身材矮小、無第二性徵,染色體檢查如下,下列診斷何者最為可能?(A) achondroplasia(B) Down syndrome(C) tuberous sclerosis complex(D) Turner syndrome
57.一歲男童,一夜尖叫不安,拒絕進食。在急診 X 光檢查結果如下圖所示,下列何者是最可能的診斷?(A) Intussusception(B) Celiac disease(C) Intestinal lymphoma(D) Hirschsprung’s disease