阿摩線上測驗
登入
首頁
>
醫學四:80題 ( 包括小兒科,皮膚科,神經科,精神科等科目及其相關臨床實例與醫學倫理 )
> 102年 - 102-2 專技高考_醫師(二):醫學(四)(包括小兒科、皮膚科、神經科、精神科等科目及其相關臨床實例與醫學倫理)#36684
102年 - 102-2 專技高考_醫師(二):醫學(四)(包括小兒科、皮膚科、神經科、精神科等科目及其相關臨床實例與醫學倫理)#36684
科目:
醫學四:80題 ( 包括小兒科,皮膚科,神經科,精神科等科目及其相關臨床實例與醫學倫理 ) |
年份:
102年 |
選擇題數:
80 |
申論題數:
0
試卷資訊
所屬科目:
醫學四:80題 ( 包括小兒科,皮膚科,神經科,精神科等科目及其相關臨床實例與醫學倫理 )
選擇題 (80)
一位 2 歲男童發燒 2 天後就診,發現有兩側急性中耳炎,給予 amoxicillin 40 mg/kg/day 治療 3 天之後, 仍然持續發燒,於是改用 amoxicillin 90 mg/kg/day,體溫隨即回復正常。下列四種細菌之中,那一種 最符合該男童中耳炎的治療反應? (A) Staphylococcus aureus (B) Streptococcus pneumoniae (C) Haemophilus influenzae (D) Moraxella catarrhalis
2 一位 12 歲男童因為發燒 7 天住院,血色素 11.2 g/dL,白血球 14,200/mm
3
,血小板 360,500/mm3 ,周 邊血液白血球有 37%均形似如圖所示的白血球。下列那一種感染最容易出現這種現象?
(A) enterovirus (B) Epstein-Barr virus (C) Streptococcus pneumoniae (D) influenza virus
3 一位 4 歲男童因為發燒 4 天,前來就診,其舌頭如圖所示。下列那一種疾病最少出現這種變化?
(A) Kawasaki disease (B) scarlet fever carlet fever (C) Streptococcus pneumoniae pneumonia (D) Staphylococcus aureus infection
4 一位 5 歲男童因為發燒 3 天、腹痛與嘔吐前來就診,就診時發現咽部稍微發紅,呼吸急促,腹部柔 軟但有廣泛性輕微壓痛。外科醫師認為可能有腹部急症而準備開刀,開刀前的例行胸部與腹部 X 光 檢查如圖所示。下列那一項是這位病童最可能的診斷?
(A)急性腸阻塞併發肺水腫 (B)支氣管性肺炎 (C)腸道破裂併發全身發炎反應症候群 (D)急性闌尾炎併發肺積水
5 一位 9 個月男嬰發燒、嘔吐、腹瀉 3 天,糞便帶有血絲與黏液,至急診所做的腹部 X 光檢查如圖所 示,下列那一項處置最不適當?
(A)下消化道鋇劑攝影檢查(B)腹部超音波檢查(C)糞便細菌培養 (D)可給 ceftriaxone、metronidazole、amikacin等抗生素
6 如圖,此張放射線影像圖診斷為氣漏症候群之那一項?
(A)張力性氣胸(tension pneumothorax) (B)心包膜積氣(pneumopericardium) (C)中縱隔積氣(pneumomediastinum) (D)腹膜積氣(pneumoperitonium)
7 一餵食母奶的足月新生兒,於 7 天大時回診,因黃疸,檢查血清膽紅素為 13 mg/dL,其出生體重 3,200 公克,現在為 3,250 公克,活力佳。下列那一項處理最適當? (A)照光治療 (B)停餵母奶 (C)繼續觀察 (D)住院檢查
8 下列有關陰囊水腫的敘述,何者錯誤? (A)一般男嬰發生陰囊水腫的機率約為 1~2% (B)新生兒陰囊水腫需要跟鼠蹊部疝氣做鑑別診斷 (C)罹患陰囊水腫的男嬰,日後發生睪丸扭轉的機率較正常男嬰高 (D)陰囊水腫常需要開刀治療
9 一自然產嬰兒出生後第二天被發現於頭皮頂骨(parietal)區有一乒乓球大小的腫塊,邊緣清楚、並 且未超越骨縫。請問最可能的診斷是: (A)胎頭腫塊(caput succedaneum) (B)頭血腫(cephalohematoma) (C)帽狀腱膜下血腫(subgaleal hematoma) (D)腦脊髓膜膨出(meningocele)
10 (A)乳糖不耐症(lactose intolerance) (B)先天性巨大結腸症(Hirschsprung disease) (C)肥厚性幽門狹窄症(hypertrophic pyloric stenosis) (D)十二指腸閉鎖症(duodenal atresia)
11 承上題,上述男嬰之身體診查,最不可能出現的徵狀是: (A)黃疸 (B)脫水及代謝性酸中毒 (C)上腹部腫塊 (D)腹壁出現蠕動波
12 有關添加副食品的做法,下列何者最不適切? (A)蜂蜜水可以給 1 歲以下之嬰兒補充水分及熱量 (B)嬰兒 4 至 6 個月時可添加副食品 (C)每次以只添加一種副食品為原則 (D)米粉或麥粉可以開水或嬰兒配方奶調成糊狀,用茶匙餵食
13 一位 7 歲男孩因腹痛至急診,主訴 24 小時前出現右下腹痛,隨後發生嘔吐及輕微發燒,男孩完全無 胃口,亦無腹瀉,4 小時前腹痛擴展至全腹部且略為腫脹,身體診查發現男孩中度脫水、腸音消失、整 個腹部皆有反彈痛(rebound tenderness)。最應優先考慮的診斷為下列何者? (A)急性腸胃炎(acute gastroenteritis) (B)急性闌尾炎(acute appendicitis) (C)急性腸繫膜淋巴腺炎(acute mesenteric lymphadenitis) (D)急性腎盂腎炎(acute pyelonephritis)
14 下列有關乳糖(lactose)之消化吸收及代謝之敘述,何者正確? (A)胰臟分泌乳糖酶(lactase)消化乳糖 (B)成人之乳糖酶(lactase)會上升且與種族有關 (C)乳糖不耐症會造成滲透性腹瀉(osmotic diarrhea) (D)半乳糖血症(galactosemia)是因攝食過量乳糖所致
15 一位 4 歲男童最近隨母親回大陸省親,回國後他與母親均發生腹瀉及發燒現象,經醫師診斷為急性 腸胃炎。過去兩天母親注意到男童變得蒼白、疲倦,而且雙眼浮腫、尿液明顯變少。抽血檢驗發現 男童之血色素及血小板數皆降低,尿液常規檢查可見到血尿、蛋白尿。下列何者為最可能之診斷? (A) Henoch-Schönlein 紫斑症(Henoch-Schönlein purpura) (B) IgA 腎炎(IgA nephropathy) (C)鏈球菌感染後之急性腎炎(poststreptococcal glomerulonephritis) (D)溶血性尿毒症候群(hemolytic-uremic syndrome)
複選題
16 一位 5 歲的女童這兩週來有上眼皮浮腫、下肢水腫現象。女童過往無類似病史。尿液常規檢查發現 Protein >300 mg/dL;WBC 0-2/HPF;RBC 0-2/HPF。血清白蛋白值為 1.6 g/dL。下列相關處置或敘述,何 者錯誤?(一律給分) (A)不需先切片診斷,可直接使用類固醇治療 (B)利尿劑有可能會增加血栓併發症(thromboemboli complication)的可能性 (C)對類固醇抗藥性(steroid resistant)是指在使用全量類固醇 4 週後仍然無法達到緩解(remission) (D)對類固醇倚賴(steroid dependent)是指在類固醇改隔日劑量時或停用 28 日內復發
17 某嬰兒病房出現 4 名呼吸道細胞融合病毒(respiratory syncytial virus)的院內感染病例,下列那一項 是最有效的感染管制措施? (A)病房每天用紫外線照射一小時 (B)加強洗手 (C)所有住院嬰兒靜脈注射免疫球蛋白 (D)嬰兒的呼吸道分泌物用漂白水消毒
18 有關阻塞性睡眠呼吸中止症候群(obstructive sleep apnea syndrome;OSAS)之敘述,下列何者錯誤? (A)大部分合併打鼾(snoring) (B)嚴重情況會導致肺高壓 (C)清晨睡醒易有頭痛現象,乃因血中二氧化碳濃度降低所致 (D)小孩常見主因為口腔扁桃腺及腺樣體(adenoids)肥大
19 一位 5 歲無糖尿病病史的男孩,過去一年來反覆發生抽搐及意識不清而送來急診,每次測得血糖值皆低於 30 mg/dL。問診發現父親之朋友在每次男孩發病前均曾給予口服降血糖藥。其最適合的診斷為何? (A)身體虐待(physical abuse) (B)性虐待(sexual abuse) (C)代理孟喬森症候群(Munchausen syndrome by proxy) (D)精神虐待(psychologic abuse)
20 早產兒最常見之腦出血為何? (A)腦室周圍原生質腦室內出血(germinal matrix intraventricular hemorrhage) (B)腦實質出血(parenchymal hemorrhage) (C)小腦出血(cerebellar hemorrhage) (D)腦幹出血(brain stem hemorrhage)
21 一位 12 歲男童因為身材矮小就診,他出生時體重 3.5 公斤,最近一年身高增加 4 公分。他的父親身 高 160 公分,第二性徵發育始於 14 歲;母親身高 150 公分,初經年齡為 13 歲。此男童身體診查顯 示身高 131 公分(低於第三百分位),體重 27.5 公斤(第十百分位),左右睪丸均為 4 毫升,無陰 毛發育,此外未發現其他身體檢查異常。骨齡檢查結果為 11 歲 6 個月,血清 IGF-I 值為 200 ng/mL (正常值 140-400 ng/mL)。此男童最可能的診斷為: (A)家族性身材矮小(familial short stature) (B)腦垂體低能症(hypopituitarism) (C)體質性生長遲緩(constitutional growth delay) (D)營養不良(malnutrition)
22 下列何者不是 McCune-Albright syndrome 的疾病特徵? (A)皮膚有乳咖啡色斑(café-au-lait spot) (B)多骨的纖維性發育不良(polyostotic fibrous dysplasia) (C) GnRH 刺激試驗呈青春期反應(pubertal response) (D)再發性卵巢濾泡(recurrent ovarian cyst)
23 一位 15 歲女孩來到門診,主訴發燒 3 週、體重減輕、全身倦怠,身體診查發現雙側臉頰紅斑。在懷 疑 systemic lupus erythematosus 情形下,下列何種檢查結果符合美國風濕病學院(ACR)公布的十一 項診斷準則之一? (A)淋巴球 2200/mm3 (B) 24 小時肌酐廓清率(creatinine clearance rate)45 ml/min/1.73 m2 (C) positive anticardiolipin IgG and IgM (D)補體 C3:60 mg/dL, C4:9.87 mg/dL
24 有關全身性幼年型類風溼性關節炎(systemic-onset juvenile idiopathic arthritis)的臨床表現,何者最少見? (A)通常會合併發燒 (B)出現鮭魚色(salmon-colored)的皮疹 (C)會有 Gottron 徵象 (D)可能出現心包膜積水的症狀
25 媽媽帶一位 6 歲小朋友至門診求診,主訴疲倦合併腹痛,身體診查發現下肢有紫紅色之皮疹,眼瞼 及陰囊水腫。下列敘述何者錯誤? (A)皮疹可能持續數天至數週 (B)部分病童會合併關節痛,以膝及踝關節最為常見 (C)約 25%至 50%的病童會有血尿或蛋白尿,需定期追蹤尿液檢查 (D)常見血小板低下及 IgA 升高
26 一位 7 歲大的男孩因近一個月來臉色蒼白、腹脹、活動力較差到門診求診,血液常規檢查結果如 下:WBC:20,000/mm
3
、segment 2%、lymphocyte 25%、blast cell 72%、RBC:2.30×10
6
/mm
3
、 Hb:6.0 g/dL、血小板:10,000/mm
3
。身體診查發現肝臟及脾臟有腫大現象,骨髓 blast cell 檢查顯示 early pre-B cell 及 CD10 陽性(+),CD33 及 CD13 陰性(-),脊髓液及染色體檢查無特殊異常。依照目 前的治療結果,預期此男孩 5 年存活率約為: (A)小於 30% (B)40%~50% (C)60%~70% (D)大於 80%
27 一位 5 歲罹患重型β型海洋性貧血症(β-thalassemia major)的孩童,下列處置那一項較不適當? (A)使用減白血球之濃縮紅血球輸血 (B)最好在血色素為 9.5-10.5 g/dL 時,給予輸血 (C)立即切除脾臟 (D)需給予排鐵劑治療
28 下列何者與兒童急性白血病的預後關係最小? (A)特殊染色體型 (B)有無肝臟及脾臟腫大 (C)有無侵犯中樞神經系統 (D)對初步化療的反應
複選題
29 兒童心律不整病人如果需要用到連續 3 次電擊去顫術(defibrillation)時,建議之電擊量分別為多少 J/kg? (A) 2, 2-4, 4 (B) 2, 4, 8 (C) 2, 8, 8 (D) 4, 4, 8
30 下列何種先天性心臟病兒出生後,若開放性動脈導管閉鎖,就可能有致命的危險? ①肺動脈閉鎖合併心室中隔缺損(pulmonary atresia with ventricular septal defect) ②主動脈弓截斷(interrupted aortic arch) ③左心發育不全症(hypoplastic left heart syndrome) ④心室中隔缺損(ventricular septal defect) (A)①②③ (B)②③④ (C)①③④ (D)①②④
31 一位 3 個月大男嬰,媽媽主訴男嬰餵食不良(poor feeding)及蒼白(pallor)盜汗(cold sweating), 身體診查發現心跳 260 次/分,血壓 76/40 mmHg,最可能診斷為何? (A)發高燒(high fever) (B)敗血症(sepsis) (C)上心室頻脈(supraventricular tachycardia) (D)竇性頻脈(sinus tachycardia)
32 目前臺灣的新生兒篩檢已經全面性使用串聯質譜儀篩檢,分析胺基酸以及 acylcarnitines。後者包括長 鏈的脂肪酸 carnitine 複合物,以及短鏈的有機酸 carnitine 複合物。下列那一項疾病不在篩檢的範圍 內? (A)苯酮尿症(phenylketonuria) (B)黑尿症(alkaptonuria) (C)楓糖尿症(maple syrup urine disease) (D)甲基丙二酸血症(methylmalonic acidemia)
33 下列那些先天性代謝疾病,病人身體及尿液容易有特殊的味道產生?①isovaleric acidemia ②galactosemia ③maple syrup urine disease ④methylmalonic acidemia (A)①② (B)①③ (C)①④ (D)③④
34 下列關於蕁麻疹(urticaria)的敘述,何者錯誤? (A)個別病灶通常在 24 小時內會消失,但可能會有新的病灶產生 (B) dermographism 是因機械刺激造成 mast cell degranulation 而產生皮膚浮腫 (C)急性和慢性蕁麻疹的定義,臨床上以是否持續 6 個月當分界 (D)陽光或冷熱刺激亦可能會造成蕁麻疹
35 一位 30 歲年輕女性被診斷患有鏈球菌(Streptococcus)咽喉炎,數日後在兩小腿脛前,出現數顆壓 痛的紅色結節,下列敘述何者錯誤? (A)依照病史,需考慮結節性紅斑(erythema nodosum) (B)皮膚病灶通常不會產生潰瘍 (C)發炎細胞的浸潤主要發生在皮下脂肪組織,以 lobular panniculitis 為主 (D)除治療咽喉炎外,應臥床休息並考慮使用 NSAIDs 治療
36 一位 35 歲的男性病人到皮膚科就診,主訴每年夏天身上都會出現白色與棕色皮疹(如圖),KOH 鏡檢發現“spaghetti and meatballs",則此病人最可能罹患:
(A)玫瑰糠疹(pityriasis rosea) (B)變色糠疹(pityriasis versicolor) (C)白色糠疹(pityriasis alba) (D)慢性苔蘚性糠疹(pityriasis lichenoides chronica)
37 一位 28 歲 AIDS 患者,主訴為大腿內側突然出現數顆 2-4 mm 的丘疹,其中心具有 umbilication 的現 象。其皮膚切片如圖示,最可能的診斷是:
(A)尋常疣(verruca vulgaris) (B)扁平疣(verruca plana) (C)傳染性軟疣(molluscum contagiosum) (D)尖端濕疣(condyloma acuminata)
38 (A)化膿性肉芽腫(pyogenic granuloma) (B)纖維肉瘤(fibrosarcoma) (C)卡波西氏肉瘤(Kaposi’s sarcoma) (D)血管肉瘤(angiosarcoma)
39 承上題,那一種病毒的 DNA fragments 可以在上述切片檢體中發現? (A)人類疱疹病毒第三型(human herpesvirus 3) (B)人類疱疹病毒第六型( 人類疱疹病毒第六型(human herpesvirus 6 human herpesvirus 6) (C)人類疱疹病毒第七型( 人類疱疹病毒第七型(human herpesvirus 7 human herpesvirus 7) (D)人類疱疹病毒第八型( 人類疱疹病毒第八型(human herpesvirus 8 human herpesvirus 8)
40 有關圓禿(alopecia areata),下列敘述何者錯誤? (A)大多無其他症狀 (B)可能導致所有的頭髮脫落,稱 alopecia totalis (C)可能導致全身所有的毛髮脫落,稱 alopecia universalis (D)圓禿多數預後差,掉髮無法復原
41 有關全身性紅斑狼瘡(systemic lupus erythematosus),下列敘述何者錯誤? (A)女性多於男性 (B)臉上多有蝴蝶斑(butterfly rash) (C)血清抗核抗體(antinuclear antibody)為陽性 (D)應多曬太陽,以強化免疫力
42 如圖所示之皮疹,下列敘述何者正確?
(A)通常先發生濕疹樣病變 (B)其發生與陽光照射、懷孕或口服避孕藥有關 (C)通常伴有肝功能異常 (D)紅寶石雷射治療是最佳處置
43 某一中年男性患者,口唇有多發性褐黑色斑點,且肛門周圍有類似之色素斑,其父親與女兒亦有類 似之病灶。以下敘述何者錯誤? (A)腸胃道內視鏡為必要之檢查 (B)此症患者較常合併腸胃道息肉(polyps) (C)若有合併腸胃道息肉,80%以上會轉變為惡性 (D)此症唇部之色素病灶不易轉變為惡性腫瘤
44 一新生女嬰,因出生時全身被羊皮紙般的薄膜披覆(collodion membrane)而照會皮膚科。身體診查 除了眼瞼輕微外翻(ectropion)外,口腔黏膜、頭髮及指甲為正常。經二週的皮膚照護,薄膜逐漸脫 落,但患者開始在全身長出許多厚、粗、黑棕色的皮屑,伴隨手腳掌角化。經基因突變分析發現在 TGM1(transglutaminase 1)基因有一 compound heterozygous missense 的突變。此患者最可能罹患下 列何種疾病? (A)表皮溶解性過度角化症(epidermolytic hyperkeratosis) (B)旋線狀魚鱗癬(ichthyosis linearis circumflexa) (C)尋常性魚鱗癬(ichthyosis vulgaris) (D)體染色體隱性遺傳層狀魚鱗癬(autosomal recessive lamellar ichthyosis)
45 一男性病患,自出生起,手掌及腳掌漸次全面角化,邊緣有紅色(如圖),不具癢感。其父也有同 樣的皮膚病變。皮屑 KOH 鏡檢為陰性,最可能的診斷是: (A)足癬(tinea pedis) (B)掌蹠角化症(palmoplantar keratodermas moplantar keratodermas) (C)汗疱疹(pompholyx pompholyx) (D)異位性皮膚炎(atopic dermatitis)
46 一位 40 歲女性,突發頭痛、暈眩至急診,腦部磁振造影顯示有右側延腦外側梗塞(right lateral medullary infarction),病人會有下列那些症狀表現?①右側肢體的痛感下降 ②右側臉的痛感下 降 ③右側肢體失調(dysmetria) ④右側肢體無力 (A)①③ (B)②④ (C)①④ (D)②③
47 一位 78 歲老先生,二週前下車時,不慎頭部撞到車門,近日感覺右側肢體力量變差,最可能的診斷 為: (A)硬腦膜上腔出血(epidural hematoma) (B)硬腦膜下腔出血(subdural hematoma) (C)蜘蛛網膜下腔出血(subarachnoid hemorrhage) (D)腦室出血(intraventricular hemorrhage)
48 腦內動脈二氧化碳(CO2)濃度上升時,腦內血管及血流變化為何? (A)微動脈(arterioles)擴張,血流量不變 (B)微動脈(arterioles)擴張,血流量上升 (C)微動脈(arterioles)收縮,血流量下降 (D)微動脈(arterioles)收縮,血流量不變
49 一位 20 歲就讀於大學 2 年級的學生,常常利用電腦上網玩遊戲,近 3 星期他覺得右手掌麻麻的,尤 其是大拇指及食指,而騎車時麻木感更加厲害,這兩天甚至拿筆寫字都覺得不靈活,因此他到門診 求助。你認為他最可能的診斷是什麼? (A)尺神經(ulnar nerve)病變 (B)橈神經(radial nerve)病變 (C)腕隧道症候群(carpal tunnel syndrome) (D)臂神經叢病變(brachial plexus neuropathies)
50 一位神經學檢查均正常的 15 歲男孩,自小學起就因為上課時常打瞌睡而被老師處罰,開懷大笑時會 突然下巴下垂無力,他辯稱非自己所能控制。下列敘述何者錯誤? (A)最可能的診斷為 rapid eye movement(REM)sleep behavior disorder (B)可伴有 hypnagogic hallucination 及 sleep paralysis (C)有研究發現與 HLA-DQ(B1-0602)之基因有關 (D) overnight polysomnography 及 multiple sleep latency test 可協助診斷
51 下列關於癲癇症病因的敘述,何者正確? (A)小於 1 個月新生兒以腦部腫瘤最常見 (B)嬰幼兒及少年(大於 1 個月,小於 12 歲)以基因異常或原發性(idiopathic)為主 (C)青少年(12 至 18 歲)以腦血管疾病為主 (D)青年與成人(18 至 35 歲)以神經退化性疾病為主
52 關於慢性緊縮型頭痛(chronic tension-type headache)的敘述,下列何者錯誤? (A)每個月頭痛天數超過 15 天以上 (B)頭痛需要超過一年以上 (C)建議使用預防性藥物 (D)不是所有病人都會有肌肉壓痛
53 一般而言,血管性失智症(vascular dementia)的病人,多具有下列何種特徵? (A)多重血管危險因子 (B)動作遲緩,肢體僵硬,尤以上肢為最 (C)很少出現憂鬱症狀 (D)很久以後才會出現大小便失禁
54 有關裘馨式肌肉失養症(Duchenne’s muscular dystrophy)之臨床表徵描述,下列何者錯誤? (A)為性聯隱性遺傳 (B)因缺乏 dystrophin 蛋白所造成 (C)發病年齡通常在 20 歲以上 (D)肌肉酵素 CK 之上升通常大於正常值 10 倍以上
55 一位 70 歲的女性因為記憶力及認路能力日漸惡化,經過神經科專科醫師診斷,得了 Alzheimer's disease,日前開始接受藥物治療,但卻出現食慾變差、嘔吐等症狀,這位病人使用的藥物主要是提升何種神經傳導物質在腦中的濃度? (A) acetylcholine(B) norepinephrine(C) serotonin(D) dopamine
56 一位 60 歲的女性被家人帶來看診,症狀為一年半以來,交談中常常找不出適當的字語,有時以替代 字充數,有時則大發脾氣,日常記憶力還好,生活功能也尚能自主。身體診查發現運動、感覺、平 衡、自主神經系統都正常。這位女性最有可能的情況為: (A)原發性漸行性失語症(primary progressive aphasia) (B)路易氏體失智症(dementia with Lewy bodies) (C)庫賈氏症(Creutzfeldt-Jakob disease) (D)急性左側中大腦動脈(middle cerebral artery)阻塞
57 關於神經肌肉突觸疾病之敘述,下列何者錯誤? (A)肉毒桿菌素中毒為神經肌肉突觸前障礙疾病 (B)重症肌無力症為神經肌肉突觸後障礙疾病 (C)呼吸困難常是肉毒桿菌素中毒致命的主因 (D)心肌侵犯常是重症肌無力症致命的主因
58 腦脊髓液檢查的結果,下列那一個組合對診斷多發性硬化症(multiple sclerosis)最有幫助?①蛋白 電泳分析出現寡株帶(oligoclonal bands) ②蛋白質降低 ③糖值降低 ④以淋巴球為主的白血球 數目增加 ⑤IgG 的合成指數(IgG synthesis index)增加 (A)①② (B)②④ (C)①⑤ (D)③⑤
59 下列何者和神經性梅毒(neurosyphilis)相互有關聯? (A) Argyll-Robertson pupil (B) Marcus-Gunn pupil (C) Horner’s pupil (D) Adie’s pupil
複選題
60 下列何者是屬於體染色體顯性遺傳(autosomal dominant inheritance)? (A)威爾森氏症(Wilson’s disease) (B) Friedreich 氏共濟失調(Friedreich’s ataxia) (C)亨丁頓舞蹈症(Huntington’s disease) (D)脊髓性肌肉萎縮症(spinal muscular atrophy)
61 下列對於情感性疾患(mood disorders)之敘述,何者錯誤? (A)重度憂鬱症之盛行率,女性通常是男性的兩倍 (B)第一型雙極性疾患(bipolar I disorder)之盛行率,男性與女性差不多,但女性比男性會有較多躁 症之發作 (C)第一型雙極性疾患之發作年齡較重度憂鬱症早 (D)重度憂鬱症之平均發作年齡約為 40 歲
62 關於精神分裂症的敘述,下列何者錯誤? (A)終身盛行率約為百分之一 (B)在兒童青少年期發病者預後較差 (C)可能合併出現憂鬱或強迫症狀 (D)幻聽是必要診斷條件
63 下列有關情感性精神分裂症(schizoaffective disorder)的敘述,何者錯誤? (A)此症之預後與精神分裂症相同 (B)此症患者的家屬比一般人更易得到精神分裂症 (C)相較於主要症狀為 schizophrenic symptoms,主要症狀為 affective symptoms 的患者其預後較佳 (D)此症之診斷,必須有一段時間同時存在 schizophrenic symptoms 與 affective symptoms
64 下列何項抗憂鬱藥物不屬於選擇性血清素再回收抑制劑(selective serotonin reuptake inhibitors)? (A) fluoxetine (B) paroxetine (C) sertraline (D) bupropion
65 一位 25 歲女性,由於小學六年級時曾被狗咬過,所以非常怕狗,她因而不敢獨自外出,更害怕到任 何有狗的地方,而出現人際退縮,也無法外出謀職。她了解到這些害怕是太過度了,但又苦惱於不 知如何改變。下列有關此個案的治療,何者錯誤? (A)藥物治療效果最佳 (B)心理治療能協助個案了解畏懼的原因,而鼓勵個案尋求進一步的治療 (C)催眠、支持性治療與家庭治療或許也有助益 (D)此類問題以行為治療為主,系統性減敏感法(systematic desensitization)為最常使用的方法 代號:2102 頁次:12-11
66 下列四項診斷中,那一種個案首次發作時,最常自行前往急診就醫? (A)急性精神分裂症 (B)恐慌症 (C)身體形象畏懼症(body dysmorphic disorder) (D)慮病症(hypochondriasis)
67 強迫症(obsessive-compulsive disorder)患者最常見之共病精神疾患為下列何者? (A)抽搐症(tic disorder) (B)妥瑞氏症候群(Tourette’s syndrome) (C)重度憂鬱症(major depressive disorder) (D)酒精濫用(alcohol abuse)
68 下列有關睡眠衛生之敘述,何者錯誤? (A)準時起床 (B)儘量臨睡前吃飽可助眠 (C)不宜睡前一直看電視 (D)一直睡不著宜暫時離開床鋪
69 治療雙極性疾患(bipolar disorder)用的 lithium 及 valproic acid 的致畸胎性為: (A)只有 lithium 會產生胎兒畸型 (B)只有 valproic acid 會產生胎兒畸型 (C) lithium 及 valproic acid 皆會產生胎兒畸型 (D) lithium 及 valproic acid 皆不會產生胎兒畸型
70 下列關於神經性梅毒(neurosyphilis)之敘述,何者錯誤? (A)在盤尼希林(penicillin)發明後,神經性梅毒較少發生,但自愛滋病出現以來,神經性梅毒再度受 到醫學界之重視 (B)神經性梅毒對腦部之影響主要是顳葉,所以會產生類似精神分裂症患者之幻聽與妄想 (C)其腦脊髓液有淋巴球增多(lymphocytosis)及較多之蛋白質 (D)神經性梅毒通常在感染梅毒螺旋菌 10 至 15 年後發生
71 一位 78 歲男性患者被送至精神科門診,就其太太描述:患者於 9 年前開始出現記憶力變差,想不起 原來要做的事,症狀持續約莫 2 年,之後患者逐漸變得沉默寡言,對人帶有強烈敵意,並有迷路、走失 之情形。患者身體健朗,從未有過任何內外科病史。此名患者最有可能之臨床診斷為下列何者? (A)血管性失智症(vascular dementia) (B)解離性失憶症(dissociative amnesia) (C)阿茲海默症(Alzheimer’s disease) (D)巴金森氏症(Parkinson’s disease)
72 下列何者不是安非他命的戒斷症狀? (A)嗜睡 (B)聽幻覺 (C)情緒低落 (D)飢餓感
73 下列有關智能障礙之敘述,何者錯誤? (A)智能障礙指的是智商低於 70 (B)智能障礙最常見的是中度智能不足 (C)約 2/3 的智能障礙可找出可能成因 (D) fragile X syndrome 是智能障礙常見的成因之一
複選題
74 關於中樞神經興奮劑 methylphenidate 的敘述,下列何者錯誤? (A)可用於治療注意力不足過動症 (B)常見的副作用有食慾不振,睡眠障礙,頭痛,不自主運動等 (C)可減少中樞神經系統多巴胺(dopamine)的釋放 (D)目前除了短效劑型中樞神經興奮劑,也有長效劑型可以選擇
75 將地磚的花紋看成是蟲在地上爬,以致於不敢下床走路,此症狀是: (A)幻覺(hallucination) (B)錯覺(illusion) (C)假性幻覺(pseudo-hallucination) (D)妄想(delusion)
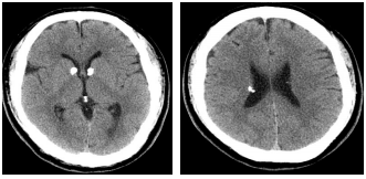
76 33 歲男性,輕微智能不足,抽搐(seizure),根據此二張 CT 影像,最適當的診斷是:
(A) gliomatosis (B) multiple sclerosis(MS) (C) tuberous sclerosis(TS) (D) heterotopia of gray matter
77 (A)水痘(chicken pox) (B)帶狀疱疹(herpes zoster) (C)單純性疱疹(herpes simplex) (D)接觸性皮膚炎(contact dermatitis)
78 承上題,下列敘述何者錯誤? (A)必須會診眼科,因為可能侵犯眼角膜(corneal infection) (B)侵犯的部位是第七對腦神經(facial nerve)所支配 (C)可使用抗病毒藥物 acyclovir (D)可能產生神經痛的後遺症
79 慢性精神分裂症患者 S,個人衛生不佳,受聽幻覺干擾,脾氣暴躁,經常半夜大喊大叫,但是 S 不 認為自己患有精神疾病,且認為抗精神病藥物有副作用,拒絕就醫;S 之母不忍見 S 之病情惡化,自 費請曾診視 S 之精神科專科醫師 D 開立抗精神病藥物之口服滴劑,由 S 之母偷偷加入 S 之飲食中,D 出 於好意開立滴劑,S 於不知情之情況下服用後,病情確有改善,但經常抱怨手抖、肌肉僵硬及排尿不 順。此個案主要牽涉到那些倫理原則之衝突? (A)尊重自主原則、不傷害原則與正義原則 (B)尊重自主原則、不傷害原則與行善原則 (C)尊重自主原則、行善原則與正義原則 (D)不傷害原則、行善原則與正義原則
80 有位研究員想要利用幾個焦點團體發展「問題少女與父母間關係」的問卷。研究者規劃時應考慮受 試者權益的倫理議題不包括下列何者? (A)所給補償費的金額大小,是否符合正義原則 (B)研究的樣本大小 (C)何人參與焦點團體的保密措施 何人參與焦點團體的保密措施 (D)會談中敏感話題可能造成的情緒低落
申論題 (0)
相關試卷
115年 - 115-1 專技高考_醫師(二):醫學(四)(包括小兒科、皮膚科、神經科、精神科等科目及其相關臨床實例與醫學倫理)#137336
115年 · #137336
114年 - 114 專技高考_醫師(二):醫學(四)(包括小兒科、皮膚科、神經科、精神科等科目及其相關臨床實例與醫學倫理)#127921
114年 · #127921
114年 - 114-1 專技高考_醫師(二):醫學(四)(包括小兒科、皮膚科、神經科、精神科等科目及其相關臨床實例與醫學倫理)#125091
114年 · #125091
113年 - 113-2 專技高考_醫師(二):醫學(四)(包括小兒科、皮膚科、神經科、精神科等科目及其相關臨床實例與醫學倫理)#120661
113年 · #120661
113年 - 113-1 專技高考_醫師(二):醫學(四)(包括小兒科、皮膚科、神經科、精神科等科目及其相關臨床實例與醫學倫理)#118722
113年 · #118722
112年 - 112-2 專技高考_醫師(二):醫學(四)(包括小兒科、皮膚科、神經科、精神科等科目及其相關臨床實例與醫學倫理)#114975
112年 · #114975
112年 - 112-1 專技高考 _醫師(二):醫學(四)(包括小兒科、皮膚科、神經科、精神科等科目及其相關臨床實例與醫學倫理)#113170
112年 · #113170
111年 - 111-2 專技高考_醫師(二):醫學(四)(包括小兒科、皮膚科、神經科、精神科等科目及其相關臨床實例與醫學倫理)#108728
111年 · #108728
111年 - 111-1 專技高考_醫師(二):醫學(四)(包括小兒科、皮膚科、神經科、精神科等科目及其相關臨床實例與醫學倫理)#106182
111年 · #106182
110年 - 110-2 專技高考_醫師(二):醫學(四)(包括小兒科、皮膚科、神經科、精神科等科目及其相關臨床實例與醫學倫理)#99891
110年 · #99891