阿摩線上測驗
登入
首頁
>
中醫臨床醫學(三)
> 103年 - 103-2 專技高考_中醫師(二)、中醫師:中醫臨床醫學(三)(包括中醫外科學、中醫傷科學、中醫五官科學)#36433
103年 - 103-2 專技高考_中醫師(二)、中醫師:中醫臨床醫學(三)(包括中醫外科學、中醫傷科學、中醫五官科學)#36433
科目:
中醫臨床醫學(三) |
年份:
103年 |
選擇題數:
80 |
申論題數:
0
試卷資訊
所屬科目:
中醫臨床醫學(三)
選擇題 (80)
下列有關中醫外科辨經的敘述,何者錯誤? (A)手心屬心包經 (B)足心屬腎經 (C)乳房屬肝經 (D)腹部,總屬陰經
2 下列有關中醫外科開刀法的敘述,何者錯誤? (A)當切開潰瘍後,除面部、手指外,儘量慢慢將留膿擠出 (B)當膿瘍成膿後,膿腫中央有透膿點,是已到膿熟階段 (C)深部膿瘍手術使用藥捻治療,待停用藥捻後,需將消腫散結藥末摻於膏藥上,直到膿盡生肌 (D)瘡瘍生在皮肉較薄的頭、頸、指等部位,必須淺切
3 耳痔最常生於何處? (A)內耳 (B)中耳 (C)耳咽管 (D)外耳道
4 「鍼眼」是臨床常見的眼科疾病。下列有關其證治之敘述,何者錯誤? (A)生於眼皮毛睫間 (B)膿已成者,候膿熟針之,再貼「黃連膏」 (C)破後邪風入侵致病患頭面浮腫,目赤澀痛者,治宜內服「芎皮散」 (D)多因脾經痰濁鬱積而成
5 硇砂散之使用方法為何? (A)食前溫服 (B)水調蘸點 (C)空心溫酒送下 (D)撒布吹敷患處
6 大小腸癰,若膿未成者,最宜服下列何方? (A)大黃湯 (B)薏苡附子散 (C)薏苡湯 (D)丹皮湯
7 下列何者不生於手指處? (A)托盤疔 (B)蛇眼疔 (C)蛇背疔 (D)鰍肚疔
8 下列何者不是乳癰初起之治則? (A)速下乳汁 (B)清熱解毒法 (C)托裡透膿法 (D)發表散邪
9 下列何處之疔瘡,一般能自行排膿不需切開? (A)面部 (B)手部 (C)臀部 (D)足部
10 百脈疽的發生部位為何處? (A)頭頂 (B)會陰處 (C)頸部 (D)背脊處
11 下列何者不是百會疽的病因? (A)膏粱太過,火毒凝結 (B)陽經亢極熱氣不散,氣血凝結聚頂而成 (C)六陽經受風邪風火相煽,臟腑熱毒上攻 (D)由於濕痰流結所致
12 此病患最可能的診斷為下列 何者? (A)面遊風 (B)白駁風 (C)赤白遊風 (D)紫白癜風
13 承上題,下列何項治療最適宜? (A)內服「黃連消毒飲」 (B)初服「浮萍丸」,次服「蒼耳膏」 (C)初服「荊防敗毒散」,次服「補中益氣湯」加防風、蟬蛻、殭蠶、何首烏 (D)初起宜服「萬靈丹」,次以「胡麻丸」常服 代號:6105 頁次:8-2
14 下列那一種皮膚病的發生是因中螳螂水毒而生? (A)黃水瘡 (B)蜣螂蛀 (C)狐水刺 (D)烏白癩
15 某患者出現疙瘩滋生,搔癢流水,蔓延增竄,纏綿不休症狀。請問其病因為何? (A)風燥為病 (B)風濕為病 (C)風寒濕為病 (D)風火為病
16 有關便毒之敘述,下列何者為錯誤? (A)精搏血留,聚中壅遏 (B)由暴怒傷肝,以致氣滯血凝而成 (C)由交合不潔,感染毒邪而成 (D)勞傷肺氣,衛氣失固
17 有關氣瘤的敘述,下列何者錯誤? (A)此病發生在皮膚,歸屬肺經 (B)腫塊浮軟,宛如氣在瘤中,擠壓富有彈性 (C)由氣血凝滯而成 (D)宜用歸脾丸治之
18 有關舌疳的敘述,下列何者正確? (A)此病由心肝膽火毒上炎,結於舌尖而生 (B)此病由心脾毒火上升,結於舌部而生 (C)此病由腎火上升,結於舌根而生 (D)此病由脾胃濕熱上蒸,結於舌面而生
19 有關「大頭瘟」的敘述,下列何者錯誤? (A)由夏秋天時炎熱,受暑毒而造成 (B)本病會造成人與人之間傳染 (C)治療可內服「普濟消毒飲」 (D)治療可外敷「如意金黃散」
20 張老先生 78 歲,患蛇串瘡,皮疹消退後,患部仍劇痛不止,下列何種治療原則最佳? (A)清肝火,利濕熱 (B)健脾胃,清濕熱 (C)理氣活血,重鎮止痛 (D)滋陰清熱
21 下列何項疾病要首先考慮? (A)髕骨無位移性骨折 (B)膝前十字韌帶損傷 (C)膝半月板損傷 (D)髕骨軟骨病
22 承上題,下列何者測試可鑑別診斷? (A)屈膝 90°,兩手環握小腿上段作向前拉的動作,患者脛骨向前移動度明顯大於健側 (B)患膝伸直,用拇、食指將髕骨向遠端推壓,囑患者用力收縮股四頭肌,引發髕骨部疼痛 (C)患者俯臥位,屈膝 90°,在足踝部用力下壓並作旋轉研磨,引發疼痛產生 (D)患者平臥,將患膝過度伸直,髕下即產生疼痛
23 有關腰椎椎管狹窄症,下列何者錯誤? (A)好發於 40 歲以上之中年人 (B)長期反覆腰腿痛和間歇性跛行 (C)疼痛為酸痛,刺痛或灼痛,有的可放射到大腿外側或前方 (D)多為單側
24 有關腰椎間盤突出症的診斷要點,下列何者正確? (A)小腿下端以脛骨為界,脛骨前皮膚感覺過敏、遲鈍、痛覺喪失表明腰 5-骶 1 椎間盤突出壓迫第 5 腰神經根 (B) X 光顯示椎間隙前寬後窄,左右不等寬,亦表示椎間盤突出 (C)足背伸肌和伸肌力減弱可能是腰 4-5 椎間盤突出 (D)跟腱反射減弱或消失多是腰骶椎間盤突出,壓迫第 5 腰神經根所致
25 有關梨狀肌症候群(piriformis syndrome),下列敘述何者錯誤? (A)可因長時間騎乘單車誘發 (B)其發病原因與坐骨神經關係密切 (C)疼痛可能會由臀區放射到下肢 (D)可藉由直腿抬高試驗(straight leg raising test)陰性反應與椎間盤突出(herniated intervertebral disc) 鑑別
26 下列那一個不是踝關節周圍主要韌帶? (A)外側副韌帶 (B)內側副韌帶 (C)下脛腓韌帶 (D)距跟韌帶 代號:6105 頁次:8-3
27 如附圖所示髖關節的角度,其名稱為何?
(A) Q 角(Q angle) (B)頸幹角(neck shaft angle) (C)髖臼角(acetabular angle) (D)前傾角(anteversion angle)
28 有關損傷疾患的解剖部位,下列組合何者正確? (A) Perthes’ disease-髖關節 (B) Osgood-Schlatter’s disease-踝關節 (C) Jones 氏骨折-掌骨 (D)貝克氏囊腫(Baker’s cyst)-腕關節
29 懷疑半月板損傷時,可進行下列何項測試加以驗證? (A)抽屜測試(drawer test) (B)奧培爾氏測試(Ober’s test) (C)髕骨研磨測試(Patellar grind test) (D)阿普萊氏研磨測試(Apley’s grinding test)
30 下列何項疾病要首先考慮? (A)尺骨鷹嘴滑囊炎 (B)肱骨外上髁炎 (C)旋前肌肌腱炎 (D)肱骨內上髁炎
31 承上題,下列何者測試可鑑別診斷? (A)手腕放置於屈曲 90°的位置,60 秒內出現麻痛加重 (B)四指包住拇指握拳並向尺側屈曲,患處疼痛加劇 (C)手肘伸直前臂旋後,再將手腕極度背伸,患處疼痛加劇 (D)手肘伸直前臂旋前,再將手腕屈曲及向尺側偏,患處疼痛加劇
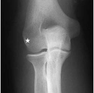
32 附圖為手肘前後位成像(AP view)的 X 光片,其中以白色星狀標示的結構為何?
(A)肱骨外上髁 (B)肱骨內上髁 (C)橈骨頭 (D)肱骨鷹嘴窩
33 由於過度使用及勞動所造成的損傷,下列何者較為少見? (A)扳機指 (B)腱鞘囊腫 (C)腕三角軟骨損傷 (D)橈骨莖突腱鞘炎
34 45 歲女性患者,無明顯外傷史,右肩部疼痛,肩外展 60°至 120°時疼痛明顯,肩外展超過 120°時疼 痛減輕,其最可能病症為何? (A)肩關節周圍炎 (B)肱二頭肌長頭肌腱炎 (C)棘上肌肌腱炎 (D)三角肌肌腱炎 代號:6105 頁次:8-4
35 下列何項疾病要首先考慮? (A)屈指肌腱腱鞘炎 (B)腕隧道症候群 (C)腕三角軟骨損傷 (D)橈骨莖突腱鞘炎
36 承上題,下列何者測試可鑑別診斷? (A)手腕放置於屈曲 90°的位置,60 秒內出現麻痛加重 (B)四指包住拇指握拳並向尺側屈曲,患處疼痛加劇 (C)手肘伸直前臂旋後,再將手腕極度背伸,患處疼痛加劇 (D)手肘伸直前臂旋前,再將手腕屈曲及偏向尺側,患處疼痛加劇
37 「夾紙試驗」(如圖)與檢查何神經損傷最相關?
(A) C6 (B) C7 (C) T1 (D) T2
38 依《醫宗金鑑‧正骨心法》,有關傷損發熱之證,下列敘述何者錯誤? (A)因出血過多,脈洪大而虛,重按之全無,用獨參湯 (B)發熱煩躁,肉瞤筋惕,用聖愈湯 (C)脈沉微,按之軟弱,此陰盛發熱,宜用四君子湯加炮薑、附子 (D)血脫之證,脈細小者易治
39 22 歲女性患者於一個月前打完羽毛球後開始覺得左手腕酸脹,而且經常連帶左前臂酸脹不適。經醫師 檢視,發現其左腕之外觀如圖示,其最可能之診斷為:
(A)舟狀骨脫位 (B)雞眼 (C)惡性腫瘤 (D)腱鞘囊腫
40 某 40 歲家庭主婦自訴突然出現腰痛,伴有頻尿,尿急,血尿,腎區有叩擊痛。下列初步診斷何者 為宜? (A)腰椎間盤突出症 (B)增生性脊柱炎 (C)腎盂炎 (D)腰部扭挫傷
41 下列何種治法多應用於損傷中期?①清熱涼血 ②和營止痛 ③補氣養血 ④舒筋活絡 (A)①② (B)③④ (C)①③ (D)②④
42 依《正骨心法要旨》記載,蓋氣流而注,血注而凝,或注於四肢關節或流於胸腹腰脅,或漫腫, 或結塊。若日久潰破而氣血虛者,宜治以下列何者最適當? (A)歸脾湯 (B)十全大補湯 (C)補中益氣湯 (D)益氣養榮湯
43 下列何者不是「大七厘散」的適應症? (A)五勞七傷 (B)坐鬱過多 (C)前胸挫傷 (D)急性大出血
44 下列那一洗方能耑洗一切跌倒損傷,筋翻骨錯,疼痛不止? (A)散瘀和傷湯 (B)五加皮湯 (C)海桐皮湯 (D)正骨紫金丹
45 有關受傷後神志躁動不安、夜臥不寧的原因,下列何者錯誤? (A)傷後出血過多,致氣血兩虧,心失血養,則心神不安或心煩,夜難成眠 (B)肝腎虛弱患者,久病致虛勞,或房勞過度,或遺泄頻繁,傷及腎陽,虛陽上擾心神而心煩不寐 (C)傷後瘀血停留,阻滯經絡,血液運行不暢,亦能導致心煩不寐 (D)久病體虛,亦可致氣血兩虧,心失血養,則心神不安,或心煩夜難成眠 代號:6105 頁次:8-5
46 內傷後期治法以「補法」為主,《小兒藥證直訣》中提到可治損傷後期腎陰虛,腰膝痠痛,頭暈 目眩,咽乾耳鳴,潮熱盜汗等症,是下列何種臨床常用方劑? (A)四物湯 (B)右歸丸 (C)二仙湯 (D)六味地黃丸
47 一體力勞動者,近日工作不遂常遷怒同事,平時覺胸腹悶痛,嗜以手撫摸,依《醫宗金鑑.正骨 心法》宜處以下列何方? (A)補中益氣湯 (B)四君子湯加柴胡、山梔 (C)四物湯加柴胡、山梔、桃仁、紅花 (D)六君子湯加柴胡、川芎、當歸
48 依《醫宗金鑑.正骨心法》,傷損而少腹引陰莖作痛,以下列何方治療? (A)六味地黃丸 (B)復元活血湯 (C)小柴胡湯加大黃、黃連、山梔 (D)地龍散
49 橈尺骨幹雙骨折,若橈尺骨骨折斷端互相靠攏時,可用下列何種手法整復? (A)擠捏分骨手法 (B)折頂手法 (C)縱壓手法 (D)回旋手法
50 行軍骨折多好發於下列那一部位? (A)跟骨 (B)舟狀骨 (C)第二蹠骨 (D)第五蹠骨
51 有關蹠跗關節脫位之敘述,下列何者正確? (A)多因間接暴力所致 (B)前足受到扭、旋外力時,更易發生蹠跗關節脫位 (C)臨床中可見第 2~5 蹠骨向內側脫位 (D)一般固定時間 2~3 週
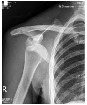
52 45 歲女性,踩在椅凳上擦窗戶時不慎向後跌倒,肩部著地損傷,肩部疼痛、腫脹,呈「方肩」畸形, 彈性固定於肩外展 20~30 度位置,肩關節照 X 光片如圖示,請問診斷為何?
(A)肩關節後脫位 (B)盂下脫位 (C)喙突下脫位 (D)鎖骨下脫位
53 習慣性頷顳關節脫位復位後,患者可配合自行按摩下列那一個穴道? (A)翳風穴 (B)風池穴 (C)太陽穴 (D)地倉穴
54 下列骨折經正骨手法整復,經 4~6 週後開始以理筋手法復健,下列理筋手法何者不適用?
(A)按摩法 (B)撥絡法 (C)拔伸牽引法 (D)舉臂抬肩法
55 下列何者是正中神經損傷的症狀? (A)腕下垂 (B)拇指不能外展和背伸 (C)第四、五指不能夾緊紙片 (D)拇指不能對掌,不能向掌側運動 代號:6105 頁次:8-6
56 依《醫宗金鑑‧正骨心法》,傷損嘔吐黑血,形氣虛,用加味芎藭湯,此方乃川芎、當歸再加下列 何者? (A)側柏葉、赤芍、生地 (B)百合、生地、牡丹皮 (C)白朮、百合、荊芥 (D)黃連、梔子、大黃
57 附圖箭頭所示,X 光診斷為第幾椎壓迫性骨折?
(A)第十二胸椎 (B)第一腰椎 (C)第二腰椎 (D)第三腰椎
58 圖中所示之骨折整復方法,患者坐位,挺胸抬頭,雙手叉腰,術者將膝部頂住患者背部正中,雙手 握其兩肩外側,向背部徐徐牽引,使之挺胸伸肩,此法適用於下列何種骨折?
(A)鎖骨骨折 (B)肩胛骨骨折 (C)肱骨外科頸骨折 (D)胸椎骨折
59 圖中所示是指何種基本復位手法?
(A)縱壓 (B)分骨 (C)捺正 (D)端提 代號:6105 頁次:8-7
60 《傷科彙纂》載《陳氏秘傳》法:「布帶一條從患處綁至那邊腋下縛住,又用一條從患處腋下綁至 那邊肩上,亦用棉絮一團實其腋下,方得穩固。」上述方法是用於固定下列那一種骨折? (A)鎖骨骨折 (B)肱骨骨折 (C)肩胛骨骨折 (D)肋骨骨折
61 「五臟六腑之精氣,皆上注於目而為之精。精之窠為眼,骨之精為瞳子,筋之精為黑眼…」,該敘述 記載於下列何典籍? (A)《靈樞‧五癃津液別篇》 (B)《素問‧上古天真論》 (C)《素問‧逆調論》 (D)《靈樞‧大惑論》
62 下列何者為我國最早的五官科醫生? (A)張仲景 (B)巢元方 (C)扁鵲 (D)孫思邈
63 患者自訴眼瞼有一硬塊,發現日漸長大,但生長緩慢,皮色不變(如圖),則下列敘述何者正確?
(A)痰濕阻結,氣血混結,用化堅二陳丸 (B)脾胃蘊積濕熱,阻滯脈絡,治用荊防敗毒散 (C)局部用紫金錠,外敷如意金黃散 (D)熱毒上攻,口渴喜飲,便秘溲赤,宜清熱瀉火解毒
64 一患者長年務農,大眥內側漸鼓起如肉膜,且向黑珠生長(如圖),下列相關敘述何者錯誤?
(A)胬肉初生者,心肺風熱,多淚癢澀,治宜梔子勝奇散加減 (B)胬肉頭尖高起,體厚紅赤,生長迅速,屬脾胃實熱,蒸騰於上,可治以瀉脾除熱飲,瀉熱通腑 (C)三焦壅熱者,胬肉時輕時重,實熱擾心,心中煩熱,治以消翳湯加減 (D)眼裂部位暴露於外,易於感邪,外感風熱,客於心肺之絡,使眥部經脈瘀滯,胬肉脹起
65 患者白睛赤澀輕微,小泡反覆難癒,全身乏力,便溏或便秘,食慾不振,咳嗽有痰,腹脹不舒,舌淡 苔薄白,脈細無力,其最可能的診斷及證治為何? (A)肺陰不足,內治宜養陰清肺湯,以滋陰潤肺,兼以散結 (B)肺脾兩虛,內治宜六君子湯加減,以脾肺雙補 (C)脾腎陽虛,內治宜腎氣丸加減,以溫補脾腎 (D)心脾兩虛,內治宜歸脾湯加減,以健脾養心
66 下列何項眼疾癒後較不影響視力? (A)聚星障 (B)花翳白陷 (C)凝脂翳 (D)白睛溢血
67 抱輪紅赤,臨證需與白睛紅赤鑑別,下列敘述何者錯誤? (A)抱輪紅赤是環繞黑睛周圍發紅,顏色紫暗;白睛紅赤起自白睛周邊,顏色鮮紅 (B)抱輪紅赤其血絡呈放射狀;白睛紅赤其血絡呈樹枝狀 (C)抱輪紅赤血絡推之可動;白睛紅赤血絡推之不可動 (D)兩者可以同時存在,稱白睛混赤 代號:6105 頁次:8-8
68 12 歲男童曾經眼部意外受傷,雖然眼睛外觀完好,視力卻逐漸喪失。檢查眼底視網膜血管變細, 視神經萎縮。有關患童的治療,下列何者最適宜? (A)丹梔逍遙散 (B)血府逐瘀湯 (C)明目地黃丸 (D)人參養榮湯
69 金元時代有關耳鼻喉相關醫學的發展與論述,下列何者錯誤? (A)醫學分科有口齒兼咽喉科 (B)《瘡瘍全書》提及以切開排膿的方法治療咽喉膿腫 (C)《世醫得效方》有喉風十八症之論述 (D)《洪氏集驗方》有應用壓迫頸外動脈以止鼻衂的報導
70 有關耳鼻喉口齒科癌症的敘述,下列何者錯誤? (A)鼻咽癌:早期症狀不明顯,症狀明顯者,多已出現轉移 (B)上頷竇癌:會出現局部疼痛,在患側鼻道流出臭味帶血的膿水 (C)舌菌:好發於舌根,初起舌面易出現增厚斑塊,潰瘍 (D)喉菌:好發於軟顎與喉核處,初起僅有不適感,嚴重會引發呼吸困難
71 肝膽濕熱上蒸造成耳部疼痛,痛引腮腦,出現暫時性聽力減退,內治可選用銀花解毒湯,而方中何藥 可利水滲濕消腫? (A)澤瀉 (B)豬苓 (C)赤茯苓 (D)車前子
72 耳眩暈之病因病理,下列何者錯誤? (A)髓海不足 (B)上氣不足 (C)心火上炎 (D)痰濁中阻
73 鼻腔內有贅生物,其狀若葡萄或榴子,光滑柔軟,帶蒂而可活動者為下列何病? (A)鼻疔 (B)鼻痔 (C)鼻槁 (D)鼻疳
74 傷風鼻塞,四時均可發生,尤以冬春兩季為多,主要症狀為鼻竅不通、流涕、噴嚏,甚至不聞香臭。 其相當於下列何病? (A)慢性鼻炎 (B)鼻竇炎 (C)急性鼻炎 (D)過敏性鼻炎
75 根據《內經》對病機、病位、症狀及「腦滲為涕」的論述與今之急慢性鼻竇炎相類似的是指何鼻病? (A)鼻槁 (B)鼻淵 (C)鼻窒 (D)鼻瘜肉
76 《靈樞.癰疽篇》:「癰發於嗌中,名曰猛疽,猛疽不治,化為膿,膿不瀉,塞咽半日死」,是描述 下列何病? (A)乳蛾 (B)喉癰 (C)喉痹 (D)石蛾
77 咽喉病的發生,外因多為何種外邪乘機侵犯? (A)風、濕、燥、火 (B)風、寒、疫、癘 (C)風、熱、濕、疫 (D)風、火、熱、濕
78 腎主骨,齒乃骨之餘,而腎之經脈,上繫於齒,齒的生理功能和病理變化,與腎的盛衰有著一定關 係;下列相關敘述,何者錯誤? (A)丈夫二八腎氣平均,筋骨勁強,故真牙生而長極 (B)丈夫五八腎氣衰,髮墮齒槁 (C)腎熱者色黑而齒槁 (D)齒者骨之所絡,髓之所養,腎實主之,故腎衰則齒豁,精盛則齒堅,虛熱則齒動
79 患者因牙齦疾患前來求診,診之發現牙齒疏豁鬆動,牙齦潰爛萎縮根露,潰爛邊緣微紅腫,頭暈耳 鳴,舌質微紅少苔,脈細數。此時處置方式下列何者錯誤? (A)宜選用五味消毒飲加薄荷、牛蒡子、連翹、竹葉 (B)除上述症狀外,若兼有口燥咽乾,口臭,便秘,宜選用玉女煎加女貞子、菟絲子 (C)除上述症狀外,若兼有腰寒肢冷,小便清長,宜選用附桂八味丸 (D)外治可常用淡鹽湯漱口或旱蓮草煎水含嚥
80 牙癰,波及頷面部腫脹者,宜以下列何種方法處置最為恰當? (A)用吳茱萸搗爛敷雙足湧泉穴,使浮游上炎之火下行,以引火歸原 (B)用冰硼散藥粉敷貼於患部 (C)用龍眼白鹽散敷貼患部 (D)用如意金黃散敷貼患部
申論題 (0)
相關試卷
111年 - 111-2 專技高考_中醫師(二):中醫臨床醫學(三)(包括中醫外科學、中醫傷科學、中醫五官科學)#109951
111年 · #109951
111年 - 111-1 專技高考_中醫師(二):中醫臨床醫學(三)(包括中醫外科學、中醫傷科學、中醫五官科學)#106353
111年 · #106353
110年 - 110-2 專技高考_中醫師(二):中醫臨床醫學(三)(包括中醫外科學、中醫傷科學、中醫五官科學)#100612
110年 · #100612
110年 - 110-1 專技高考_中醫師(二):中醫臨床醫學(三)(包括中醫外科學、中醫傷科學、中醫五官科學)#96439
110年 · #96439
109年 - 109-2 專技高考_中醫師(二):中醫臨床醫學(三)(包括中醫外科學、中醫傷科學、中醫五官科學)#89484
109年 · #89484
109年 - 109-1 專技高考_中醫師(二):中醫臨床醫學(三)(包括中醫外科學、中醫傷科學、中醫五官科學)#82967
109年 · #82967
108年 - 108-2 專技高考中醫臨床醫學(三)(包括中醫外科學、中醫傷科學、中醫五官科學)#78362
108年 · #78362
108年 - 108-1 專技高考_中醫師(二):中醫臨床醫學(三)(包括中醫外科學、中醫傷科學、中醫五官科學)#74496
108年 · #74496
107年 - 107-2 專技高考_中醫師(二):中醫臨床醫學(三)(包括中醫外科學、中醫傷科學、中醫五官科學)#71175
107年 · #71175
107年 - 107-1 專技高考_中醫師(二):中醫臨床醫學(三)(包括中醫外科學、中醫傷科學、中醫五官科學)#67795
107年 · #67795