阿摩線上測驗
登入
首頁
>
中醫臨床醫學(三)
> 105年 - 105-2 專技高考_中醫師(二):中醫臨床醫學(三)(包括中醫外科學、中醫傷科學、中醫五官科學)#54544
105年 - 105-2 專技高考_中醫師(二):中醫臨床醫學(三)(包括中醫外科學、中醫傷科學、中醫五官科學)#54544
科目:
中醫臨床醫學(三) |
年份:
105年 |
選擇題數:
80 |
申論題數:
0
試卷資訊
所屬科目:
中醫臨床醫學(三)
選擇題 (80)
1 有關中醫外科的調治之法,下列何者最正確? (A)腫瘍內將成膿,總以補托為第一要務 (B)外瘍潰後,有火宜清,當用大劑涼血 (C)外風時熱,其證多在頸項腮頤等處,治必寒涼泄熱,行氣軟堅 (D)瘍之為病,氣血壅滯,消腫止痛,首推行血行氣
2 有關中醫外科選方用藥時的引經用藥,下列何者錯誤? (A)手厥陰經用獨活、知母、細辛 (B)足陽明經用白芷、升麻、石膏 (C)手陽明經用升麻、石膏、葛根 (D)足少陽經用柴胡、青皮
複選題
3 有關中醫外科開刀法的敘述,下列何者錯誤? (A)一般瘡瘍,宜循絡直開,刀頭向上,免傷血絡 (B)手指膿腫,從正上方切開,免生瘢疤 (C)膿淺而深切,則內膿雖出,而好肉受傷 (D)膿熟而遲不切開,則腐爛加深,瘡口難歛
4 有關腫瘍的治療,腫瘍初起宜用下列何法? (A)透托 (B)消散 (C)補托 (D)補益
5 有關「舌疳」的敘述,下列何者錯誤? (A)別名:舌菌 (B)起因為心脾毒火上升,結於舌部而生 (C)初起腫赤時,服「導赤散」加黃連 (D)治法雖多,預後良好
6 患者在兩眉中間長一如疙瘩小皰,痛癢相兼,根腳堅硬,根據病情,下列敘述何者錯誤? (A)此病是心肺兩經火毒結聚而生 (B)外治可用如意金黃散合紫金錠用蜜水調敷 (C)可用針刺,並擠出膿血,以瀉其毒 (D)初起可內服銀花解毒湯
7 有關乳癰治療的敘述,下列何者正確? (A)初起紅腫疼痛,最宜服復元通氣散 (B)腫硬不消,最宜服栝蔞牛蒡湯 (C)膿脹痛者忌鍼之,最宜服仙方活命飲 (D)腫硬治之不消,時時跳動而勢將潰膿者,最宜用托裏透膿湯
8 小明 2 天前換了新鞋,感覺鞋子前端有些緊,今天開始出現右大趾外側焮腫破爛,時流黃水,胬肉 高突,疼痛難忍,不能穿鞋,溲少便結,舌質紅苔白膩。根據上述病況,下列敘述何者正確? (A)診斷應為敦疽,別名臭田螺 (B)原係好肉受傷,不宜用鹽湯燙洗 (C)外治可用神燈照法,胬肉消盡即癒 (D)可內服泄濕清裏、利水潤腸等藥代號:3102頁次:8-2
9 有關印堂疽之敘述,下列何者錯誤? (A)起因由督脈經風熱壅結氣滯而成;或屬足太陽膀胱經風熱壅結,陰陽相滯而生 (B)初起色暗根平,腫硬疼痛,至 21 日,腐潰出稠膿者順 (C)生於眉棱 (D)有膿刺之,用升膏提毒,生肌散收口
10 下列何者不是發生於足心湧泉穴? (A)足心發 (B)穿窟天蛇 (C)琉璃疽 (D)井泉疽
11 有一外傷患者,數日後牙關緊閉,身體強直,角弓反張,口吐白沫,不省人事,最可能為下列何病? (A)痛風 (B)癩風 (C)癘風 (D)破傷風
12 (A)油風 (B)奶癬 (C)血風瘡 (D)白疕
13 承上題,宜內服下列何方加以治療最佳? (A)清胃湯 (B)防風通聖散 (C)消風導赤湯 (D)神應養真丹
14 某 28 歲男性患者,某日晨起初醒,家人發現他的頭髮突然掉了一大片,局部皮膚不癢不痛,原因不 明,臨床表現如圖所示,其最適合的診斷為下列何者? (A)髮際瘡 (B)白禿瘡 (C)斑禿 (D)白駁風
15 常發於夏秋季節,好發於幼兒,具傳染性,皮膚病灶多發於頭面、四肢,初起可見紅斑或水疱,疱 液初透明後混濁,並迅速化膿,診斷為下列何者? (A)肥瘡 (B)黃水瘡 (C)熱瘡 (D)蛇串瘡
16 有關蜘蛛瘡的證治敘述,下列何者錯誤? (A)多由蜘蛛遺水或遊走染毒而成 (B)生於腰部等處者,必重用外發之藥,以免殘毒內積 (C)內服宜清熱解毒利濕之藥 (D)未破前,外用可以金黃散調敷
17 有關便毒之敘述,下列何者錯誤? (A)俗稱橫痃、血疝 (B)好發於少腹之下或腿根之上摺紋縫中 (C)好發之部位屬於脾經 (D)為暴怒傷肝,氣滯血凝而發,或交合不潔,感染毒邪而成
18 下列病症何者不是因為濕寒下注血澀氣阻而成? (A)穿踝疽 (B)穿拐痰 (C)驢眼毒 (D)附陰疽
19 有關「帶狀皰疹」的中醫證治,下列治法何者最正確? (A)病灶皮膚出現成群小水泡,灼熱刺痛,治宜龍膽瀉肝湯 (B)病灶皮膚出現大小不等黃白色水泡,治宜托裏透膿湯 (C)病灶生在腰肋者,屬腎陰虧虛火上炎,治宜清涼消毒散 (D)如毒氣入腰,令人膨脹悶嘔,治宜藿香正氣散
20 一名男士平素嗜食辛辣厚味,近日工作勞累,熬夜晚睡,軀幹出現皮疹如累累珠形,色紅赤,形如 雲片,上起風粟,疼痛不已,其最可能的診斷為何? (A)葡萄疫 (B)血風瘡 (C)臍癰 (D)纏腰火丹
21 拇指與小指不能對掌運動或對掌肌力減弱,可能係因何神經損傷?①橈神經 ②尺神經 ③正中神經 (A)僅①② (B)僅①③ (C)僅②③ (D)①②③.
22 肱骨相當於《醫宗金鑑‧正骨心法要旨》中所稱的那一個結構? (A)臑骨 (B)臂骨 (C)龍骨 (D)竹節骨
23 下列何者不屬足部蹠屈肌(plantar flexors)? (A)屈長肌(flexor hallucis longus) (B)腓腸肌(gastrocnemius) (C)腓骨第三肌(peroneus tertius) (D)脛骨後肌(tibialis posterior)
24 肩脫位合併骨折,經整復後如圖所示,有關後續之治療,下列何者正確?①須再進手術房打鋼釘固定 ②一般以外固定即可 ③需固定加上皮膚牽引 3 週 ④3 週後不痛後,即可練習肩關節活動 ⑤一般 4 週後即可解除外固定 ⑥4 週後可配合中藥薰洗與練功活動以促進肩關節活動力
(A)1,3,4 (B)2,3,5,6 (C)僅2,4,6 (D)2,4,5,6
25 有關參與肩關節屈曲(flexion)的肌肉群敘述,下列何者錯誤? (A)肱二頭肌參與 (B)三角肌因連結鎖骨外 1/3,也參與肩部屈曲 (C)胸大肌只有負責內收內旋,並未參與屈曲 (D)喙肱肌參與
26 《醫宗金鑑‧正骨心法要旨》之加味健步虎潛丸服法為: (A)夏日淡黃酒送下 (B)薑棗水煎送下 (C)空心淡鹽湯送下 (D)冬日童便老酒送下
27 下列何者是測試真正長短腳最適當的作法? (A)髂前上棘到內踝的距離 (B)平躺後看足跟高低 (C)平躺後看內踝高低 (D)髂前上棘到足大趾尖的距離
28 有關腕隧道症候群之診斷治療,下列何者錯誤? (A)是由於正中神經在腕管中受壓,而引起以手指麻痛乏力為主的症候群 (B)主要症狀是第 1、2、3、4 四個手指的麻木和刺痛,或呈燒灼樣痛,患手握力減弱 (C)按壓腕橫韌帶部時,可使症狀減輕 (D)手法以減輕腕管內壓力為主
29 有關「椎間盤」的敘述,下列何者錯誤? (A)腰椎間盤突出好發於 20~50 歲青壯年,女多於男 (B)每個椎間盤是由纖維環、髓核、軟骨板三個部分組成 (C)椎間盤突出好發於 L4-5 及 L5-S1 之間 (D)髓核破裂,若突破後縱韌帶而壓迫神經,則以腿痛為主要症狀
30 28 歲男性患者,今天騎腳踏車時不慎跌倒,胸部撞擊到車把手。就醫時自述左脅區撞擊時一陣劇痛, 經過 3 小時後,疼痛雖稍緩但深呼吸時仍有痛感,於是攜帶自行到檢驗所拍攝胸部正位 X 光片來求 診。醫者仔細判讀該 X 光片,沒看到肋骨骨折。下列醫囑何者最不適當?①告訴病人,可當作嚴重 瘀血來治療 ②告訴病人,休息即可,保證肋骨完整無損 ③如症狀未緩解,兩週後再照一次 X 光 ④告訴病人,檢驗所拍攝的胸部 X 光照片角度可能不完整,可換個角度再照一張 (A)僅1,2 (B)僅2 (C)1,2,3 (D)4
31 有關錘狀指(mallet finger)之敘述,下列何者錯誤? (A)遠端指間關節過伸,近端指間關節屈曲 (B)手指伸肌肌腱斷裂 (C)俗稱棒球指 (D)可合併骨折
32 某甲在悶氣緊閉聲門時,腹部突遭快速而且強力的撞擊,如圖所示。他的面部、頸部和雙臂出現出血斑 點。他可能會有下列那些損傷?
①腸道破裂 ②橫膈破裂 ③部分腸子移動到肋膜腔 ④創傷性窒息 (A)僅① (B)僅2,3 (C)僅1,2,3 (D)1,2,3,4
33 有關膝關節損傷敘述,下列何者錯誤? (A)當暴力撞擊小腿上端的後方時,脛骨向前移位,造成後十字韌帶損傷,可能伴有外側副韌帶和外 側半月板損傷 (B)後十字韌帶起於股骨髁間窩的內前部,向後外止於脛骨髁間隆突的後部,可以限制脛骨向後移位 (C)當前十字韌帶斷裂或鬆弛時,患膝向前移動度明顯增大 (D)抽屜試驗是診斷十字韌帶損傷的重要方法
34 下列何者不是參與髖關節外展運動之主要肌肉? (A)臀中肌 (B)闊筋膜張肌 (C)股薄肌 (D)臀小肌
35 下列何者是踝扭傷最常受侵犯的韌帶? (A)三角韌帶(deltoid lig.) (B)跟腓韌帶(calcaneofibular lig.) (C)前距腓韌帶(anterior talofibular lig.) (D)後距腓韌帶(posterior talofibular lig.)
36 (A)本病好發於 12~18 歲的青少年,男多於女 (B)多因劇烈運動(如跑步、蹲跳、球類等)造成 (C)本病可自癒,疼痛症狀自消 (D)發病緊急,局部腫脹,壓痛明顯
37 承上題,本病名為下列何者? (A) Sever 氏病 (B) Osgood-Schlatter 氏病 (C) Potts 氏病 (D) Jones 氏病
38 下列何者不屬於小腿後側深層肌群? (A)屈長肌(flexor hallucis longus) (B)屈趾長肌(flexor digitorum longus) (C)比目魚肌(soleus) (D)脛骨後肌(tibialis posterior)
39 測試腕隧道症候群時使用的 Tinel’s test 是在下列何穴位處進行敲擊? (A)孔最 (B)勞宮 (C)太淵 (D)大陵
40 50 歲男性工人,腰部酸痛 3 年,症狀時輕時重,近半年來出現走一段時間後腿痛,休息後症狀減緩, 但再行走又出現下肢麻痛症狀,最可能的診斷為何? (A)僵直性脊椎炎 (B)腰椎管狹窄症 (C)腰椎間盤突出症 (D)退化性關節炎
41 34 歲男性患者,因近日公司準備遷往大陸,連續數週以來均必須熬夜趕計畫,睡眠明顯不足,近兩日 突覺胸痛徹背,伴隨有灼熱感,口乾欲飲,溲黃便乾,脈弦舌紅苔薄黃。下列處置何者應優先考慮? (A)抽血檢驗心肌酵素 (B)掀開衣服,檢視胸背部皮膚 (C)先刺太衝、內關 (D)建議作心電圖檢查
42 王小姐 41 歲,某日不幸發生車禍,身體多處損傷,住院治療後抱怨大便不暢,腹中堅實,疼痛拒按, 按之痛甚。其較可能的證型為何? (A)氣虛失運 (B)血虛腸躁 (C)熱盛津枯 (D)瘀血蓄結
43 外損與內傷有著密切關係,人體受到外力影響而致急性損傷時,局部組織的損害會導致氣血、經絡、 臟腑的功能紊亂。明代薛己即在《正體類要‧序》中指出:「 損於外,則 傷於內, 有所 不貫, 由之不和。」以上空格當依次填入:①氣血 ②經絡 ③肢體 ④營衛 ⑤臟腑 ⑥皮肉 (A)6,3,4,2 (B)4,2,5,3 (C)3,1,4,5 (D)2,5,1,4
44 患者因磕碰致小腿皮下瘀青腫脹疼痛,同時有身熱口渴情形,依《醫宗金鑑‧正骨心法要旨》,先 以針刺法後,再處以下列何方? (A)沒藥丸 (B)身痛逐瘀湯 (C)加味逍遙散 (D)四物湯
45 依《醫宗金鑑‧正骨心法要旨》,傷損大便秘結,裏實氣壯,腹痛堅硬,宜治以下列何方? (A)加味承氣湯 (B)四物湯送潤腸丸 (C)玉燭散 (D)補中益氣湯
46 21 歲女性患者,受傷時出血過多,胸膈痛而發喘,是因氣虛血乘於肺,依《醫宗金鑑‧正骨心法要 旨》,應治以下列何方? (A)二味參蘇飲 (B)十味參蘇飲 (C)當歸補血湯 (D)獨參湯
47 患者損傷後,整日覺煩躁不安,自汗而覺頭暈,依《醫宗金鑑‧正骨心法要旨》,宜處以下列何方? (A)獨參湯 (B)十全大補湯 (C)參苓白朮散 (D)六君子湯
48 依《醫宗金鑑‧正骨心法要旨》,六味地黃丸運用在傷科內傷雜症,不包括下列何者? (A)傷損作渴 (B)傷損秘結 (C)傷損腰痛 (D)傷損肌肉作痛
49 依《醫宗金鑑‧正骨心法要旨》,王同學車禍後覺胸腹脹痛,大便不通,喘咳吐血,宜治以下列何方? (A)小柴胡湯加青皮、山梔 (B)六君子湯加當歸 (C)當歸導滯散 (D)四物湯加參、耆、白朮
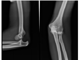
50 某 20 歲男性騎車跌倒,送醫後肘部 X 光如圖所示,下列敘述有幾項正確?①後脫位較常見 ②肘部 的三點骨突標誌分別是肱骨內、外上髁及尺骨鷹嘴突 ③如圖所示 X 光片為前脫位 ④肘關節又名 曲月秋 骱 ⑤《傷科補要》提及拔伸屈肘法復位:
「其骱若出,一手捏住骱頭,一手拿其脈窩,先令 直拔下,骱內有聲響,將手曲轉,搭著肩頭,肘骨合縫,其骱上矣」 (A)5 (B)4 (C)3 (D)2
51 有關股骨頸骨折之敘述,下列何者正確? (A)囊外骨折又稱股骨頸基底部骨折,血液供應不良,不易癒合 (B)頭下骨折,血液供應良好,易癒合 (C)囊內頸中部骨折,血液供應良好,易癒合,預後良好 (D)內收骨折較多見,常使下肢呈外旋位置,骨折不易癒合
52 有關指骨骨折之敘述,下列何者錯誤? (A)末節指骨基底背側撕脫性骨折,整復固定為近側指間關節過伸、遠側指間關節屈曲 (B)近節指骨骨折,常因骨間肌與蚓狀肌牽拉而向掌側突起成角 (C)指骨幹骨折,拔伸牽引擠壓矯正移位後,將遠端屈曲,病患指握裹有 3~4 層紗布的小圓柱狀固定 物,使手指屈向舟狀骨結節固定 (D)末節指骨基底背側骨折,是因指端受暴力彎曲引起撕脫性骨折,又稱錘狀指(mallet finger)
53 有關腕舟狀骨骨折之敘述,下列何者錯誤? (A)復位後,夾板固定範圍腕至掌橫紋處、拇掌指關節及指間關節 (B) X 光檢查除腕部正位、側位外,也需要照尺偏斜位照片 (C)陽谿穴部位(鼻煙窩處),局部有明顯壓痛 (D)骨折的位置若在腰部近端或體部,常導致遠側骨折塊發生缺血而影響骨折癒合
54 跟骨結節與後關節突的連線與前後關節的連線交叉成角,其後方夾角稱為跟骨結節關節角 (Böhler's angle),正常該角大約為幾度? (A)5 (B) 40 (C) 80 (D) 90
55 踝關節脫位,手法整復時,膝關節採屈曲位,其目的是要放鬆下列那一條肌肉? (A)脛骨前肌(tibialis anterior) (B)脛骨後肌(tibialis posterior) (C)腓腸肌(gastrocnemius) (D)比目魚肌(soleus)
56 依《醫宗金鑑‧正骨心法要旨》,關於圖示整復手法的敘述,下列有幾項正確?①即「攀索疊磚法」 ②保持脊柱於屈曲位 ③臨床多用於年老體弱胸腰椎壓迫骨折患者 ④施治中患者須直身挺胸 ⑤治療後宜用墊枕法維持整復效果 (A)2 (B)3 (C)4 (D)5
57 下列何者俗稱「小兒牽拉肘」? (A)肱骨頭半脫位 (B)橈骨頭半脫位 (C)尺骨頭半脫位 (D)橈尺下關節脫位
58 有關髕骨脫位的診斷要點,下列敘述何者錯誤? (A)《醫宗金鑑‧正骨心法要旨》曰:「若膝蓋骨離位,向外側者,則外筋腫大;向內側者,則筋直膕腫。」 (B)膝關節呈微屈位,活動受限 (C)膝前方凹陷,股骨下端的外側或內側可觸及移位的髕骨,股四頭肌和髕韌帶被拉緊 (D) X 光檢查可明確診斷
59 有關股骨頸與股骨幹形成之頸幹角,下列敘述何者錯誤? (A)正常值在 110 至 140 度之間 (B)依角度改變,診斷髖脫位 (C)大於正常值時為髖外翻 (D)會隨年齡增加而減少
60 有關小兒橈骨頭半脫位的敘述,下列何者正確? (A)多發生於四歲以上的幼兒,是臨床中常見的肘部損傷 (B)因幼兒橈骨頭發育尚不完全,環狀韌帶鬆弛,受外力作用下常容易發生 (C)多因幼兒在肘關節屈曲旋轉位時發生 (D)症見肘關節呈半屈曲、前臂呈旋後位,不敢旋前,不能抬舉與取物
61 足陽明筋病因寒拘急,導致下列何種眼病? (A)眼珠不能轉動 (B)胞瞼不能張開 (C)胞瞼不能閉合 (D)口眼歪斜
62 中醫名稱「眼帶」相當於現代醫學所稱之: (A)視神經 (B)眼瞼 (C)眼外肌 (D)懸韌帶
63 有關漏睛症之敘述,下列何者錯誤? (A)漏睛為邪毒長期存在,膿汁不盡,易轉為發生凝脂翳,甚至黃液上衝 (B)心脾濕熱者,大眦微紅,小便黃赤,舌苔黃膩,可用竹葉瀉經湯,清心利濕 (C)外治可用八寶眼藥點眼及淚道沖洗 (D)風熱停留者,大眦紅腫痛,可用千金托裏散
64 關於流淚症,下列敘述何者正確? (A)肝血不足,頭暈面色少華,脈細無力,宜四物湯加減治之 (B)肝火旺,肺陰虛,致陰液不斂,可以清燥救肺湯治之 (C)常合見眼瞼閉合不良,眼瞼振跳,可以腎氣丸加減治之 (D)淚竅未受阻者不宜溫針治療
65 黃小弟弟,年 12 歲,利用暑假時間到游泳池游泳。回家後不久,突然覺得眼睛澀癢,怕熱羞明,眵 多膠結。母親見其白睛紅赤,原本只有左眼,後來連右眼亦出現紅赤,其最有可能之診斷為何? (A)暴風客熱 (B)天行赤眼 (C)風赤瘡痍 (D)針眼
66 有關椒瘡之併發症與後遺症,下列敘述何者錯誤? (A)可導致瞼弦內急外弛,瞼弦內翻,倒睫拳毛 (B)邪毒侵及黑睛,血翳包睛,患者澀痛,羞明流淚 (C)邪毒侵及淚竅,可致眼珠乾燥 (D)邪毒壅盛,脈絡瘀阻,上胞重墜難舉
67 下列何者屬於急性眼疾? (A)白澀症 (B)瞼內結石 (C)雲霧移睛 (D)暴風客熱
68 目癢勢輕,時作時止,局部未見異常,形體不實,舌淡脈細,治以下列何方最適宜? (A)四物湯 (B)驅風一字散 (C)四君子湯 (D)小續命湯
69 某患者平日較喜吃肥甘厚味。多年來黑睛星翳,反覆發作、纏綿不癒、頭重胸悶、溲黃便溏、口黏、 舌紅苔黃膩、脈濡,應選用下列何方治療最適宜? (A)銀翹散 (B)龍膽瀉肝湯 (C)三仁湯 (D)荊防敗毒散
70 明代有關耳鼻喉相關醫學的論述,下列何者錯誤? (A)《解圍元藪》是喉麻風的第一篇論述 (B)《紅爐點雪》首論喉結核 (C)《景岳全書》首載咽喉梅毒與溫疫病 (D)《保生秘要》載有鼻息肉摘除手術
71 手持耳鏡若欲檢查嬰兒與幼兒童耳道,耳廓下部須往下列那個方向牽拉,以使外耳道變直,利於觀察? (A)後上 (B)後下 (C)前上 (D)前下
72 某患者耳周發生瘡瘍,出現紅腫,灼熱,糜爛,搔癢,滲液之症狀,處以下列何方最為適宜? (A)銀花解毒湯 (B)地黃飲 (C)甘露飲 (D)消風散
73 鼻病治療,於迎香穴、印堂穴、百會穴等處懸灸,在臨床上常用於下列何證? (A)實寒性 (B)實熱性 (C)虛寒性 (D)虛熱性
74 鼻病診斷要點中,鼻前孔處出現皮膚漫腫、潮紅、潰爛、浸淫流水、積結痂塊、灼熱癢痛的症狀, 據此可以確診為下列何種鼻病? (A)鼻疳 (B)鼻窒 (C)鼻槁 (D)鼻鼽
75 鼻瘜肉,除主要症狀外,更兼有涕痰多,可選用何方加貝母、殭蠶、枳實、絲瓜絡,來發揮燥濕化 痰,行氣散結的功效? (A)二陳湯 (B)四君子湯 (C)清燥救肺湯 (D)黃芩湯
76 鼻鼽,若見腰膝冷痛,遺精早泄,形寒怕冷,夜尿多,舌質淡嫩,苔白濕潤,脈沉細,應選用何方 加減治療? (A)左歸丸 (B)五苓散 (C)補中益氣湯 (D)金匱腎氣丸
77 咽喉病中,患部腐爛淺表分散,反覆發作,周圍淡紅,多屬下列何證? (A)虛火 (B)風寒 (C)血瘀 (D)風熱
78 咽喉病紅腫痛加劇,並出現高熱,頭脹痛,腹脹悶,痰涎壅盛,溲黃,便結,脈洪數,舌紅絳,苔 黃膩等,屬下列何證? (A)胃腑熱盛 (B)肝火上炎 (C)肺經風熱 (D)肝氣鬱結
79 下列何者最不可能是引起牙宣的原因? (A)胃火上蒸 (B)精氣虧虛 (C)氣血不足 (D)風熱侵襲
80 口齒唇舌病的疼痛辨證中,若患處出現牙齦浮腫,不紅而痛,牙齒浮動,咬物時痛,午後痛加劇, 辨證應屬下列何者? (A)陰虛火旺 (B)風熱相煽 (C)胃火實熱 (D)痰涎濕濁凝聚
申論題 (0)
相關試卷
111年 - 111-2 專技高考_中醫師(二):中醫臨床醫學(三)(包括中醫外科學、中醫傷科學、中醫五官科學)#109951
111年 · #109951
111年 - 111-1 專技高考_中醫師(二):中醫臨床醫學(三)(包括中醫外科學、中醫傷科學、中醫五官科學)#106353
111年 · #106353
110年 - 110-2 專技高考_中醫師(二):中醫臨床醫學(三)(包括中醫外科學、中醫傷科學、中醫五官科學)#100612
110年 · #100612
110年 - 110-1 專技高考_中醫師(二):中醫臨床醫學(三)(包括中醫外科學、中醫傷科學、中醫五官科學)#96439
110年 · #96439
109年 - 109-2 專技高考_中醫師(二):中醫臨床醫學(三)(包括中醫外科學、中醫傷科學、中醫五官科學)#89484
109年 · #89484
109年 - 109-1 專技高考_中醫師(二):中醫臨床醫學(三)(包括中醫外科學、中醫傷科學、中醫五官科學)#82967
109年 · #82967
108年 - 108-2 專技高考中醫臨床醫學(三)(包括中醫外科學、中醫傷科學、中醫五官科學)#78362
108年 · #78362
108年 - 108-1 專技高考_中醫師(二):中醫臨床醫學(三)(包括中醫外科學、中醫傷科學、中醫五官科學)#74496
108年 · #74496
107年 - 107-2 專技高考_中醫師(二):中醫臨床醫學(三)(包括中醫外科學、中醫傷科學、中醫五官科學)#71175
107年 · #71175
107年 - 107-1 專技高考_中醫師(二):中醫臨床醫學(三)(包括中醫外科學、中醫傷科學、中醫五官科學)#67795
107年 · #67795