所屬科目:腎臟科
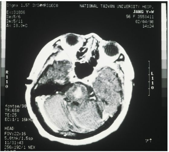
7. 承上題經過治療後三天,病人出現意識更加模糊、conjugate gaze出現障礙、四肢輕癱(quadriparesis),電腦斷層攝影如圖73 。下列何者敘述正確? (A) 如果在矯正低鈉血症時,同時給予10%mannitol可以預防這種病變。 (B) 通常這樣的病變是低鈉血症矯正太慢所致。 (C) 以下的治療可以減少或避免發生病變:以3%NaCl靜脈灌注,速度是0.05 mL/Kg/min以下。 (D) 矯正時必須每小時測定血清鈉,一直到血清鈉達到135 mmol/L為止。 (E) 或者血清鈉增加15 mmol/L為止。