阿摩線上測驗
登入
首頁
>
中醫臨床醫學(三)
> 96年 - 96-1 專技高考_中醫師:中醫臨床醫學(三)(包括中醫外科學、中醫傷科學、中醫五官科學)#38641
96年 - 96-1 專技高考_中醫師:中醫臨床醫學(三)(包括中醫外科學、中醫傷科學、中醫五官科學)#38641
科目:
中醫臨床醫學(三) |
年份:
96年 |
選擇題數:
80 |
申論題數:
0
試卷資訊
所屬科目:
中醫臨床醫學(三)
選擇題 (80)
1 患者於小腿肚出現紅腫熱痛化膿之瘡瘍,根據其病情,下列敘述何者錯誤? (A)此病由脾胃火毒下注而成 (B)若病灶焮赤高腫疼痛,潰出正膿兼血者,為順 (C)潰後體虛者,可用十全大補湯雙補氣血 (D)此病在中醫文獻中叫腓腨發
2 32 歲男性,左鼻孔旁長一小豆粒狀物已兩天,堅硬疼痛。根據病情,下列敘述何者錯誤? (A)此病起因乃肺經火毒凝結而成 (B)此稱為迎香疔 (C)此處誤治或失治,會引起“走黃"的危險 (D)內服可用加減升葛湯
3 有關產婦生癰疽,下列敘述何者正確? (A)胎前宜溫不宜清 (B)胎前生癰,破血動氣之藥不可少用 (C)惡露已淨,實而兼有內火者,可清散 (D)惡露未淨,有表邪者服回生丹
4 下列有關疔瘡的敘述,何者錯誤? (A)古云:「疔瘡禁灸不禁針,怕綿不怕鐵。」 (B)古云:「疔瘡先刺血,內毒宜汗泄。」 (C)疔瘡生於唇、口、及指節間者,其色鮮紅者屬脾 (D)無論何疔,均可刺委中穴使出血少許
5 下列關於疽的敘述,何者正確? (A)生於項背皮膚間者,叫無頭疽,如腦疽 (B)有頭疽多生於腿膝等關節,如附骨疽 (C)環跳疽發於髖部環跳穴,屬無頭疽 (D)疽為陽症,皮膚常見紅腫疼痛
6 試問辨證上最可能為下列何證? (A)血虛風燥 (B)氣滯血瘀 (C)氣虛血瘀 (D)脾虛挾濕
7 承上題,最適宜的治則是: (A)養血潤燥 (B)養血行氣 (C)補氣養血 (D)健脾祛濕
8請問其辨證分型何者最宜? (A)肝經濕熱 (B)火毒熾盛,燔灼營血 (C)氣滯血瘀 (D)血虛風燥
9 承上題,請問宜用何方加以治療為佳? (A)當歸飲子 (B)龍膽瀉肝湯 (C)犀角地黃湯 (D)血府逐瘀湯
10 一請問最可能的診斷為何? (A)赤白遊風 (B)纏腰火丹 (C)紫白癜風 (D)丹毒
11 承上題,請問此病症類似現代醫學的何種疾病? (A)脂漏性皮膚炎 (B)汗斑 (C)帶狀疱疹 (D)蜂窩組織炎
12 下列何者不生於髮內? (A)油風 (B)鬼剃頭 (C)紫白癜風 (D)白屑風
13 凡外瘍發於多氣多血之經,則病多為下列何者? (A)收斂較難 (B)凝滯必甚 (C)外發緩慢 (D)易潰易斂,實證居多
14 中醫外科辨膿,若患部瘡頂不熱、堅硬,按之指起而不復,脈不數者,此屬下列何者? (A)有膿 (B)無膿 (C)淺部膿腫 (D)深部膿腫
15 下列有關「眼丹」的證治何者錯誤? (A)多因脾胃濕熱受風而成 (B)病初起,宜以「荊防敗毒散」表散之 (C)口渴便燥,有裏實證者,宜以「內疏黃連湯」瀉其熱 (D)日久消之不應者,宜服「人參養榮湯」托補之
16 鼻痔,近似於現代所謂「鼻瘜肉」。常撐塞鼻孔,造成氣息難通。辨證多屬肺經風濕熱鬱,治療宜 選下列何方劑內服最恰當? (A)麻黃宣肺酒 (B)辛夷清肺飲 (C)辰砂定痛散 (D)黃芩湯
17 病乳蛾,來勢緩慢,日久不癒,且無頭痛身熱等表證。脈來細數,日輕夜重,口不甚渴,舌滑不燥 者。治療處方宜選下列何者最恰當? (A)荊防敗毒散 (B)黃連解毒湯 (C)桂附八味丸 (D)涼膈散
18 下列何種疾病造成呼吸困難或吞嚥困難的機會最低? (A)急喉風 (B)白喉 (C)鵝口瘡 (D)鼻痔
19 許多疾病均可能造成感染性膿瘍在皮下組織、肌肉、骨骼或關節之間漫延流竄,下列何者不具上述 特性? (A)流痰 (B)流注 (C)眼胞痰核 (D)螻蛄癤
20 身體某處發生疔、癤、癰、疽,膿毒隨血流行播散,至肌肉深處停住,而發生的轉移性、多發性膿 腫稱之為: (A)流注 (B)發 (C)走黃 (D)流痰
21 踝關節處於什麼位置最容易受傷? (A)內翻位(Varus) (B)外翻位(Valgus) (C)旋前位(Pronation) (D)背伸位(Extension)
22 對於膝關節常用的理學檢查,下列何者錯誤? (A)膝內翻(Varus)試驗,檢查膝關節外側副韌帶損傷 (B)拉離試驗,檢查膝外傷性滑膜炎 (C)抽屜試驗,檢查膝交叉(十字)韌帶損傷 (D)迴旋擠壓(研磨)試驗,檢查半月板損傷
23 大魚際肌萎縮,呈猿手畸形,為何者損傷所致? (A)橈神經 (B)正中神經 (C)尺神經 (D)肌皮神經
24 關於肩關節周圍炎的敘述,下列何者錯誤? (A)本病好發於五十歲左右的病人,故又稱「五十肩」 (B)病因可為腎氣不足、氣血虛虧,血不榮筋 (C)因疼痛,病人主動運動受影響,關節因此逐漸僵硬 (D)病因單純明確,治療依據證型用藥
25 下列有關肩峰下滑囊炎之敘述,何者錯誤? (A)常與崗上肌病變並存 (B)肩外展、外旋時疼痛加重 (C)肩峰下有壓痛點 (D)急性期宜於患處直接按摩
26 對髖關節滑膜炎的病患採用屈髖復位法時,其步驟如下,何者正確? (A)病患仰躺,醫師站在健側 (B)一手虎口按腹股溝,另一手握大腿下端將患肢拔直,環轉搖晃六至七次,再行牽引 (C)牽引後將髖、膝關節盡量屈曲;按腹股溝之手改按膝,並用力向下壓 (D)病患再側躺,按膝之手改按腸薦關節,另一手握小腿拔直
27 下列有關梨狀肌綜合徵的診斷要點,何者錯誤? (A)臀腿痛 (B)直腿抬高試驗(SLRT)陰性 (C)勞累後加劇 (D)嚴重跛行
28 股骨大粗隆外側的髂脛束在股骨大粗隆上前後滑動所致響聲,最可能的診斷為下列何者? (A)股骨大粗隆滑囊炎 (B)梨狀肌綜合徵 (C)彈響髖 (D)股外側肌損傷
29 下列有關「下尺橈關節損傷」之敘述,何者錯誤? (A)常因跌倒時腕部著地所引起 (B)可見橈腕關節背側腫脹、壓痛 (C)前臂旋轉功能障礙,握力下降 (D)前臂旋前時尺骨小頭向掌側突出
30 她自 行敷藥冰敷數日後,疼痛稍減,但卻發現其小指外觀畸形如圖所示。此種畸形稱為: (A)鵝頸變形 (B)鈕扣變形 (C)杵狀指 (D)槌狀指
31 承上題,此種變形是因為下列何種病變? (A)屈指肌腱斷裂 (B)伸指肌腱斷裂 (C)指間側副韌帶斷裂 (D)橈神經麻痺
32 可做下列何項輔助檢查確診? (A)萊特氏試驗(Wright’s test) (B)擠壓試驗(Squeeze test) (C)法倫氏試驗(Phalen’s test) (D)芬克史坦氏試驗(Finkelstein’s test)
33 承上題,與下列那兩條肌腱損傷有關? (A)外展拇長肌、伸拇長肌 (B)屈拇長肌、伸拇短肌 (C)外展拇長肌、伸拇短肌 (D)屈拇長肌、伸拇長肌
34 25 歲柯先生打球時不慎跌倒,致右肩疼痛,體檢時發現其右肩隆起腫塊,按之則下,鬆手則起。外觀 與 X 光檢查如圖所示,則其正確診斷應為下列何者?
(A)崗上肌肌腱炎 (B)鎖骨骨折 (C)肩鎖關節脫位 (D)腱鞘囊腫
35 下列何種固定術可以應用在肩關節之損傷? (A)十字固定術 (B) Z 字固定術 (C) 8 字包紮法 (D)米字固定術
36 35 歲男性病患,無明顯外傷史,近二週突感右肘部疼痛無力,肘內側壓痛明顯,屈腕抗阻時疼痛明 顯,其最可能病症為何? (A)鷹嘴滑囊炎 (B)肱骨內上髁炎 (C)尺神經損傷 (D)肱二頭肌長頭肌腱炎
37 50 歲女性病患,右肩疼痛已三個月,夜臥時亦感疼痛,上舉困難,肩關節主動及被動活動均受限, 其最可能病症為何? (A)肩峰下滑囊炎 (B)肱二頭肌長頭肌腱炎 (C)肩關節周圍炎 (D)崗上肌肌腱炎
38 30 歲男性病患,一週前開始右肩外側疼痛逐漸加劇,腫脹明顯,上肢外展、外旋時疼痛加劇,肩峰 下壓痛明顯,其最可能病症為何? (A)肩關節周圍炎 (B)肱二頭肌長頭肌腱炎 (C)肩峰下滑囊炎 (D)崗上肌肌腱炎
39 70 歲呂老太太腰酸痛已經八年,症狀反覆發作時好時壞,勞作後症狀加劇。經檢查發現 X 光如圖所 示,則其診斷應為何?
(A)椎間盤脫出 (B)脊椎滑脫 (C)椎管狹窄症 (D)僵直性脊椎炎
40 一病患損傷出血量過多,觸摸病人有身體發熱現象,脈診洪大而虛,重按全無,依《醫宗金鑑.正 骨心法》宜處以下列何方? (A)歸脾湯 (B)當歸補血湯 (C)四物湯 (D)八珍湯
41 內傷後期治法以「補法」為主,《和劑局方》中提到可治損傷後期中氣不足,脾胃虛弱,肌肉消瘦, 潰瘍日久未癒者,是下列何種臨床常用方劑? (A)四君子湯 (B)四物湯 (C)陽和湯 (D)真人活命飲
42 關於歷代文獻對損傷內證之論述,下列敘述何者錯誤? (A)《素問.繆刺論》說:「人有所墮墜,惡血留內,腹中滿脹,不得前後,先飲利藥。」 (B)《正體類要》陸序說:「肢體損於外,則氣血傷於內,榮衛有所不貫,臟腑由之不和。」 (C)《雜病源流犀燭.跌撲閃挫源流》指出:「跌撲閃挫,卒然身受,由外及內,氣血俱傷病也。」 (D)《素問.痹論》說:「風熱暑三氣雜至,合而為痹也。其風氣勝者為行痹,熱氣勝者為痛痹,暑 氣勝者為濕痹。」
43 病患下肢損傷,有大範圍瘀血腫脹硬塊,依《醫宗金鑑.正骨心法》,辨證屬下列何證型? (A)肝脾鬱火 (B)肝火侮肺 (C)肝火熾盛 (D)肝經血滯
44 骨折後之骨壞死最少見於下列何者? (A)舟狀骨(Scaphoid) (B)股骨頭(Femoral head) (C)肱骨頭(Humeral head) (D)尺骨頭(Ulnar head)
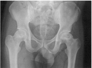
45 47 歲葉先生抱怨左髖部疼痛已經兩年,症狀反覆發作,劇烈活動後以及夜間均會加重症狀。醫師體 檢時發現 4 字試驗呈陽性,進一步 X 光檢查如圖所示,則此患者之疾病與下列何者最不相關?
(A)酗酒 (B)長期服用類固醇 (C)潛水 (D)梅毒
46 手腕關節發生月狀骨脫位常見下列那一神經損傷? (A)橈神經 (B)尺神經 (C)正中神經 (D)尺神經深部枝
47 承上題,所造成的症狀為下列何者? (A)小指麻木感,夜晚易痛醒 (B)手部刺痛、麻木感,手腕屈曲會產生刺痛 (C)病患無法做伸指動作 (D)無名指刺痛、肘內側酸痛
48 唐代孫思邈在《備急千金要方.七竅病》中首次描述顳顎關節脫位的口腔內復位法,下列有關口腔內復 位法的步驟,何者錯誤? (A)術者用雙手拇指伸入患者的口腔內,按於兩側下臼齒上,其餘四指在外托住下顎 (B)兩拇指先往上推,俟下顎骨移動時再往裏推之,餘指同時協調地將下顎骨向下按,聽到滑入關節 的響聲,說明脫位已復入 (C)此時拇指速向兩旁滑開,隨即從其口腔內退出 (D)固定
49 有關肘關節脫位的復位後檢查,下列敘述何者錯誤? (A)肘部外形與健側對比是否正常 (B)屈伸活動功能是否恢復 (C)手部能否觸及對側肘部 (D)肘後部肘三角的關係正常
50 「骨折」這一病名出自那一本中醫典籍? (A)《靈樞》 (B)《周禮.天官》 (C)唐.王燾《外臺秘要》 (D)漢代馬王堆出土的醫籍
51 下列有關脛腓骨幹骨折的敘述,何者正確? (A)脛骨幹上段發生骨折後,往往因血液供應不良,而發生延遲癒合或不癒合 (B)脛骨骨折可造成小腿筋膜間隔區內腫脹,壓迫血管,可引起缺血性攣縮 (C)脛骨上 1/3 骨折者,檢查時應注意腓總神經的損傷 (D)腓骨上端骨折時要注意膕動脈的損傷
52 鎖骨骨折的好發部位為下列何者? (A)內 1/3 處 (B)中 1/3 處 (C)外 1/3 處 (D)中外 1/3 交界處
53 關於橈骨遠端骨折之敘述,下列何者錯誤? (A)依骨折骨塊位移方向分為柯雷氏(Colles)及史密斯(Smith)骨折 (B)柯雷氏骨折可呈現餐叉樣(Fork hand) (C)史密斯骨折可呈現出沙鏟樣(Garden spade) (D)若合併橈尺關節脫位,則稱為蒙氏(Monteggia)骨折
54 6 歲林小妹妹,某日於公園玩耍,因不慎跌倒,致右膝嚴重挫傷。經 X 光檢查發現有骨折現象,如 圖所示。則其骨折之形態為何?
(A)裂紋 (B)撕脫性 (C)縱形 (D)斜形
55 28 歲黃先生為建築工人,某日工作時自兩公尺高鷹架上跌落,旋即 發生右肩劇烈疼痛,右臂上舉困難。就醫時,他以左手捧住其右肘, 右肩之外觀如圖所示。則以外觀來看,其最可能之診斷應為:
(A)肩脫位 (B)鎖骨骨折 (C)肱骨幹骨折 (D)肋骨骨折
56 如圖所示,有四位鎖骨骨折之患者,其預後最差者為何?
(A)甲 (B)乙 (C)丙 (D)丁
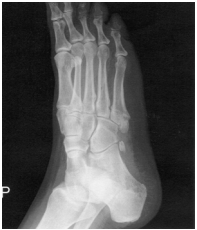
57 25 歲王小姐喜穿高跟鞋,某日逛街時,因下階梯不小心致右足 內翻受傷腫脹。醫師幫她做了檢查,發現 X 光如圖所示,則此 種骨折之形態應為下列何者?
(A)壓縮性骨折 (B)疲勞性骨折 (C)骨骺分離 (D)撕裂性骨折
58 如圖示,病患手部 X 光片出現骨折,屬於下列那一骨折?
(A)第五指骨骨折 (B)瓊氏骨折(Jones fracture) (C)拳擊手骨折(Boxer’s fracture) (D)槌狀指(Mallet finger)
59 腕關節最常發生的腕骨脫位為何? (A)舟狀骨 (B)月狀骨 (C)三角骨 (D)頭狀骨
60 「尺、橈骨、掌骨、蹠骨骨折時,骨折段因成角移位及側方移位而互相靠攏時,術者可用兩手拇指 及食、中、無名指,分別擠捏骨折處背側及掌側骨間隙,矯正成角移位及側方移位,使靠攏的骨折 端分開」,這是指那一種基本復位手法? (A)縱壓 (B)捺正 (C)分骨 (D)端提
61 關於五輪及五臟之敘述,下列何者錯誤? (A)輪屬標,臟屬本,標本相應 (B)輪之有病,多由臟腑功能失調 (C)通過觀察各輪外顯症狀,便可推斷臟腑內蘊病變 (D)依五輪辨證,白睛發黃,病位在氣輪,代表肺之為病
62 關於火疳的敘述,下列何者正確? (A)白睛結節,呈圓形或橢圓形隆起 (B)視神經充血、水腫 (C)視網膜中央血管阻塞暴盲 (D)視物模糊,頭暈耳鳴
63 關於鶻眼凝睛的敘述,下列何者正確? (A)目無翳障不疼痛,風熱攻衝心火上炎 (B)宜服退熱桔梗飲子 (C)可用鈎割法加抽風湯或茺蔚丸 (D)睛突於外,不能轉動,脹滿難忍
64 關於眯眼飛塵飛絲的敘述,下列何者錯誤? (A)飛塵飛絲風吹入目 (B)隱澀難開,睛珠疼痛 (C)或因驚恐,或緣擊振 (D)宜用酒調散治之
65 關於癍瘡入眼的敘述,下列何者正確? (A)輕則瞳斜垂反眥 (B)可鈎割劆洗去斑紅 (C)肝經餘熱上衝,可以天門冬飲治療 (D)赤腫難開澀淚疼
66 根據《眼科心法》,撞刺生翳,宜用何方治療? (A)洗刀散 (B)經效散 (C)通經散 (D)墜翳散
67 高風內障與下列那一個西醫疾病最為相似? (A)青光眼 (B)白內障 (C)視神經炎 (D)視網膜色素變性
68 有關口齒疾病敷藥法的敘述,下列何者錯誤? (A)患處紅腫痛,可使用清熱解毒,消腫止痛藥物 (B)牙癰,波及顎面部腫脹時,可用如意金黃散貼敷顎面腫脹部 (C)虛火上炎,熏蒸口腔或牙齦,可用降火藥物以降虛火 (D)虛火牙痛,可用吳茱萸搗爛貼敷於牙齦痛處
69 下列有關耳脹、耳閉的敘述,何者正確? (A)耳內脹悶堵塞初起稱耳閉,病之久者稱耳脹 (B)相當於急性、慢性化膿性中耳炎 (C)耳內有耵聹或異物堵塞 (D)耳脹聽力突然下降,是風入於耳,使經氣痞塞不宣,故為風聾
70 21 歲慢性中耳炎男性常有耳膿之苦,有時黏液牽絲如膠,最近的膿液清稀而量多,則該患者的辨證 分型下列何者最適宜? (A)肝經火熱 (B)脾虛有濕 (C)虛火上炎 (D)腎元虧虛
71 6 歲男童耳內流膿,病程久,流膿多而清稀,伴隨頭暈頭重,乏力,舌淡苔白潤,脈緩細等。則最宜 以下列何方治療? (A)托裏消毒散 (B)龍膽瀉肝湯 (C)桂附八味丸 (D)知柏地黃丸
72 一 40 餘歲婦人自訴經常鼻塞頭痛,嗅覺消失多年,現覺鼻腔乾燥焮熱微癢,時有少許血絲。經檢查 鼻腔鼻中膈無明顯病變,但中下鼻甲有萎縮,後鼻腔增大,鼻腔前庭有黃綠色痂皮附著,據上述, 此為何種鼻病? (A)鼻鼽 (B)鼻窒 (C)鼻槁 (D)鼻淵
73 子瘖病因與下列何臟腑最相關? (A)脾、胃 (B)心、肝 (C)肺、腎 (D)膽、小腸
74 依《靈樞.癰疽篇》,癰發於嗌中,名曰何病證? (A)嗌癰 (B)猛疽 (C)喉疽 (D)兇疽
75 下列有關乳蛾與咽白喉診斷的敘述,何者正確? (A)風熱乳蛾,發熱不甚高 (B)咽白喉,喉核紅腫,假膜不超出喉核範圍 (C)風熱乳蛾,咽不痛,假膜呈灰白色或奶油樣 (D)咽白喉,假膜堅韌而厚,不容易擦去
76 下列有關骨槽風的敘述,何者錯誤? (A)病在牙齦處,局限性高突,紅腫疼痛 (B)證見耳前腮頰之間紅腫、疼痛、潰口流膿,膿中帶有腐骨 (C)相當於顎骨骨髓炎 (D)多因平素對牙齒保護不周,牙齒齲蝕,風火邪毒,乘機侵入
77 患者應屬下列何 種證型? (A)肝氣鬱結 (B)肺氣失宣 (C)脾虛痰濕 (D)氣滯血瘀
78 承上題,應治以下列何者最適當? (A)加味逍遙散加厚朴 (B)麻黃湯加白朮 (C)加味二陳湯加黨參 (D)血府逐瘀湯加半夏
79 若患者鼻病已久,頭痛綿綿,過勞則甚,或健忘,失眠,夢多者,屬下列何證型? (A)濕濁上結 (B)膽經熱盛 (C)氣血虧虛 (D)外感風邪
80 下列有關鼻淵之敘述,何者正確? (A)此病症經常鼻塞,涕流如泉下滲,量多不止,相當於現代醫學之過敏性鼻炎 (B)此病症病人經常抱怨眉間有扣壓痛感覺,此感覺是指上顎竇發炎 (C)《濟生方.鼻門》說:熱留膽府,邪移於腦,遂致鼻淵⋯⋯。此是指肺經風熱之鼻淵 (D)鼻流濁涕,涕流鼻腔上方向下流為本病之體徵
申論題 (0)
相關試卷
111年 - 111-2 專技高考_中醫師(二):中醫臨床醫學(三)(包括中醫外科學、中醫傷科學、中醫五官科學)#109951
111年 · #109951
111年 - 111-1 專技高考_中醫師(二):中醫臨床醫學(三)(包括中醫外科學、中醫傷科學、中醫五官科學)#106353
111年 · #106353
110年 - 110-2 專技高考_中醫師(二):中醫臨床醫學(三)(包括中醫外科學、中醫傷科學、中醫五官科學)#100612
110年 · #100612
110年 - 110-1 專技高考_中醫師(二):中醫臨床醫學(三)(包括中醫外科學、中醫傷科學、中醫五官科學)#96439
110年 · #96439
109年 - 109-2 專技高考_中醫師(二):中醫臨床醫學(三)(包括中醫外科學、中醫傷科學、中醫五官科學)#89484
109年 · #89484
109年 - 109-1 專技高考_中醫師(二):中醫臨床醫學(三)(包括中醫外科學、中醫傷科學、中醫五官科學)#82967
109年 · #82967
108年 - 108-2 專技高考中醫臨床醫學(三)(包括中醫外科學、中醫傷科學、中醫五官科學)#78362
108年 · #78362
108年 - 108-1 專技高考_中醫師(二):中醫臨床醫學(三)(包括中醫外科學、中醫傷科學、中醫五官科學)#74496
108年 · #74496
107年 - 107-2 專技高考_中醫師(二):中醫臨床醫學(三)(包括中醫外科學、中醫傷科學、中醫五官科學)#71175
107年 · #71175
107年 - 107-1 專技高考_中醫師(二):中醫臨床醫學(三)(包括中醫外科學、中醫傷科學、中醫五官科學)#67795
107年 · #67795