阿摩線上測驗
登入
首頁
>
中醫臨床醫學(三)
> 96年 - 96-2 專技高考_中醫師:中醫臨床醫學(三)(包括中醫外科學、中醫傷科學、中醫五官科學)#38732
96年 - 96-2 專技高考_中醫師:中醫臨床醫學(三)(包括中醫外科學、中醫傷科學、中醫五官科學)#38732
科目:
中醫臨床醫學(三) |
年份:
96年 |
選擇題數:
80 |
申論題數:
0
試卷資訊
所屬科目:
中醫臨床醫學(三)
選擇題 (80)
1 (A)腎囊風 (B)懸癰 (C)白屑風 (D)跨馬癰
2 承上題,內服何方最適宜? (A)仙方活命飲 (B)六味地黃丸 (C)龍膽瀉肝湯 (D)袪風換肌丸
3 (A)白駁風 (B)赤白遊風 (C)白屑風 (D)耳門癰
4 承上題,內服何方最適宜? (A)袪風換肌丸 (B)浮萍丸 (C)真人活命飲 (D)海艾湯
5 一名病人,皮膚病灶形如疹疥,色白而癢,搔起白皮,日漸蔓延,請問最可能的診斷為何? (A)白疕 (B)白駁風 (C)紫白癜風 (D)烏白癩
6 下列何病常發於夏秋季節,好發於幼兒,具傳染性,皮膚病灶多發於頭面、四肢,初起可見紅斑或 水疱,疱液初透明後混濁,並迅速化膿? (A)肥瘡 (B)膿疱瘡 (C)熱瘡 (D)蛇串瘡
7 下列有關疔瘡治療的敘述,何者錯誤? (A)血疔之流血,用內服藥即可止 (B)頭面之疔忌用刀針 (C)足跟處疔瘡膿未成熟,切忌開刀 (D)刀鐮疔宜用針刺
8 下列有關手發背的敘述,何者錯誤? (A)多因風火濕熱結聚,氣血壅結所致 (B)可因外傷染毒引起 (C)若潰後逐漸膿少而癒合,一般不需內服藥 (D)生於手背,屬手三陰經
9 下列有關疽證治療和預後的敘述,何者錯誤? (A)疽生於巔頂正中,初起如粟,屬氣實者,宜敷回陽玉龍膏 (B)偏腦疽多漫腫,色暗平塌堅硬,多屬逆證 (C)玉枕疽外形紅活高腫,潰出稠膿者,屬吉而順 (D)腦疽初起有表證,宜服荊防敗毒散
10 29 歲女性,產後一週因哺乳而乳房紅腫熱痛,乳汁分泌不暢。根據其病情描述,則下列敘述何者 錯誤? (A)此病在中醫文獻中叫外吹乳癰 (B)治療先當發表散邪,疏肝清胃,速下乳汁 (C)病灶如腫硬不消,宜用人參養榮湯 (D)膿脹痛者可鍼之,內服托裏排膿湯
11 有頭疽發於背部中間,初起形如粟米,焮痛麻癢,則下列敘述何者錯誤? (A)此病在中醫文獻中叫搭手疽 (B)本病起因皆因火毒而生 (C)此病可因氣血衰弱,或患消渴而發 (D)此病可因患熱毒傷寒之後,餘毒積聚,以致毒發於背
12 下列有關中醫外治的敘述,何者正確? (A)初潰之瘡用藥腐或割去法 (B)惡肉侵蝕,需用生肌收斂藥 (C)陰寒之腫,須用溫敷 (D)久腐之瘍,用提毒去腐藥
13 如意金黃散是瘡家要藥,但最不適合用於外敷治療下列何種病症? (A)痄腮 (B)大頭瘟 (C)足背發 (D)流注
14 一名女性病人,面部及頸部肉色忽然變白,狀類斑點,並不癢痛,請問最可能的診斷為何? (A)白屑風 (B)白駁風 (C)赤白遊風 (D)白疕
15 王先生 69 歲,因經常腰酸背痛,至醫院照 X 片檢查,意外發現在腰椎骨與髖骨處有多發性結核病灶。 請問若依中醫外科範圍進行診斷,此病最適合的病名應為下列何者? (A)流注 (B)穿骨疽 (C)骨螻疽 (D)穿骨流痰
16 舌下結腫如泡,光軟如綿,塞脹舌下,甚至妨礙飲食言語,色黃木痛,上述症狀是下列何病的特徵? (A)舌疔 (B)繭舌 (C)重舌 (D)痰包
17 下列何種疾病的特點是:發於少腹之下,腿根之上的摺紋縫中,無論男女,皆可以發? (A)下疳 (B)便毒 (C)蠟燭疳 (D)失營
18 慢喉風發病緩,其色淡微腫,症見咽乾,午後作痛作渴,身熱足冷,大便自利,六脈微細者,治以 下列何方最適宜? (A)補中益氣湯 (B)少陰甘桔湯 (C)荊防敗毒散 (D)清咽利膈湯
19 外鼻道長有鼻毛,臨床亦常見其毛囊發炎,初覺乾燥疼痛,進而紅腫如粟粒,痛如火灸,若鼻腔內 呈乾燥狀態,治以下列何方外敷最適宜? (A)黃芩湯 (B)辰砂定痛散 (C)辛夷清肺散 (D)黃連膏
20 下列何者的病灶位於足太陽膀胱經「睛明穴」? (A)鍼眼 (B)粟瘡 (C)眼丹 (D)漏睛瘡
21 《醫學衷中參西錄》中提到可用於頭部內傷恢復期,眩暈頭痛,心神不寧等後遺症者,是下列何種 方劑? (A)紫雪丹 (B)半夏朮麻湯 (C)鎮肝熄風湯 (D)天麻鉤藤飲
22 下列何者為腎虛性跟痛症常用的治療方劑? (A)腎陽虛常用左歸丸 (B)腎陰虛常用右歸丸 (C)臨床常用六味地黃丸加減 (D)臨床上常用河車大造丸加減
23 下列有關崗上肌(supraspinatus m.)肌腱斷裂之敘述,何者錯誤? (A)有明顯勞損史 (B)主動外展幅度等於被動外展幅度 (C)可分完全斷裂及部分斷裂 (D)斷裂常發生於肱骨大結節上方 1.25 公分處
24 關節脫位診斷要點有一般症狀及特有體徵,下列何者不包括在內? (A)疼痛和壓痛 (B)功能障礙 (C)關節畸形 (D)彈性鬆弛
25 依《醫宗金鑒‧正骨心法》,下列何者並非筋損傷之分類? (A)弛縱 (B)卷攣 (C)翻轉 (D)錯縫
26 肘關節脫位會使肘後三點骨性標誌(又稱肘三角)的關係發生改變。「肘三角」的構成,不包括下 列何者? (A)肱骨內上髁 (B)肱骨外上髁 (C)橈骨小頭 (D)尺骨鷹嘴突
27 肩關節前脫位,下列何者最為多見? (A)喙突下脫位 (B)肩峰下脫位 (C)盂下脫位 (D)鎖骨下脫位
28 (A)肱骨 (B)橈骨頭 (C)股骨 (D)鎖骨
29 承上題,上述骨折若見於成人,則下列敘述何者正確? (A)常見於間接暴力,骨折斷面呈垂直斷裂 (B)因肌肉附著位置關係,骨折後除重疊移位外,骨折近端和遠端位移方向不同 (C)骨體由內側至外側,雖形體不一,但各處骨折發生機率均相同 (D)因解剖位置關係,不會造成臂神經叢損傷
30 病患臀部挫傷,診視患處有大範圍瘀血腫脹硬塊,依《醫宗金鑒‧正骨心法》,除外治法外,宜處 以下列何方? (A)先服柴胡四物湯 (B)內服補中益氣湯 (C)先服四君子湯 (D)內服小柴胡湯
31 肩部旋轉腱袖由數條肌肉構成,下列何者不包括在內? (A)崗上肌 (B)崗下肌 (C)大圓肌 (D)肩胛下肌
32 下列何者不是造成長短腳的原因? (A)股骨頭壞死 (B)髖內翻(coxa vara) (C)脛骨幹骨折 (D)髕骨外翻
33 下列有關股內收肌群損傷的敘述,何者錯誤? (A)股內收肌群主要功能為內收與外旋大腿 (B)所有的股內收肌群均止於股骨嵴 (C)損傷常由間接外力所致,如練習劈腿、跨木馬等動作引起 (D)“4"字試驗常呈陽性
34 內傷中期治法以「和法」為基礎,《醫宗金鑑》中提到可治跌仆墮墜,閃挫損傷,合併疼痛,瘀血 凝聚等症者,是下列何種方劑? (A)正骨紫金丹 (B)獨活寄生湯 (C)蠲痺湯 (D)龍膽瀉肝湯
35 (A)楔狀骨(cuneiform)骨折 (B)第五趾骨(phalange)骨折 (C)舟狀骨(scaphoid)骨折 (D)第五蹠骨(metartarsal)骨折
36 承上題,則其造成原因主要為下列何者? (A)第三腓骨肌(fibularis tertius m.)收縮 (B)腓短肌(peroneus brevis m.)收縮 (C)比目魚肌(soleus m.)收縮 (D)腓長肌(peroneus longus m.)收縮
37 21 歲陳同學為某大學橄欖球校隊,某日於 比賽時,因奔跑撲球導致左手掌劇烈撞擊, 旋即發生劇烈腫脹疼痛,手指仍可活動, 但掌背腫脹異常。經送醫檢查發現 X 光如 右圖,則其診斷應為下列何者?
(A)第一掌骨頸骨折 (B)舟狀骨骨折 (C)第四掌骨脫位 (D)第二掌骨頸骨折
38 7 歲男童小銘,某日於公園騎腳踏車跌倒,導致左腿腫 脹疼痛不已,經送醫檢查發現其 X 光如右圖,則其診斷 應為下列何者?
(A)脛骨粗隆骨折 (B)脛骨幹骨折 (C)脛骨末端骨折 (D)距骨脫位
39 病患因碰撞致胸腹悶痛損傷,胸腹患部畏手撫摸,臆診為肝經血滯,依《醫宗金鑒‧正骨心法》, 治以下列何方最適宜? (A)四物湯加柴胡、山梔、桃仁、紅花 (B)當歸導滯散 (C)復元通氣散 (D)四物湯加黃芩、柴胡
40 損傷嘔吐之臨床表現為素體陽虛,脾胃虛弱,損傷之後,嘔吐清水痰涎,頭眩心悸,苔膩脈滑者, 屬下列何證型? (A)瘀阻於上 (B)瘀阻中焦 (C)肺氣上逆 (D)痰飲內盛
41 橫斷或鋸齒形骨折,單靠手力牽引不易完全矯正重疊移位時,可用何種基本手法復位? (A)旋轉 (B)回旋 (C)折頂 (D)端提
42 (A)患肢屈腕 90 度,醫者按壓手腕正中處,患處出現疼痛加重 (B)患肢拇指在內側屈指,握拳,並向尺側屈曲,患處出現疼痛 (C)患者手腕背伸,醫者以阻力施以患肢,患處出現疼痛加重 (D)患者手腕屈曲,醫者以阻力施以患肢,患處出現疼痛加重
43 承上題,患處與下列那一條肌腱損傷有關? (A)外展拇長肌 (B)伸拇長肌 (C)橈側伸腕長肌 (D)橈側伸腕短肌
44 (A)半月板損傷 (B)後十字韌帶損傷 (C)髕骨骨折 (D)脛骨骨骺炎
45 承上題,下列何項敘述最為正確? (A)後抽屜試驗(posterior drawer test)在急性腫脹期,可以不受影響,準確檢驗出十字韌帶損傷 (B)急性腫脹期,關節屈伸有交鎖現象及響聲,通常是十字韌帶損傷 (C)半月板損傷患者,後期可出現股四頭肌萎縮現象 (D)可直接照 X 光片,鑑別十字韌帶或半月板損傷
46 承上題,下列敘述何者錯誤? (A)可以藉由 X 光片區別有無髕骨骨折 (B)浮髕試驗陽性亦代表髕骨骨折 (C)研磨試驗陽性代表半月板損傷 (D)麥克莫雷(Mc Murray)試驗陽性可能半月板也損傷
47 下列有關膝關節的試驗,何者正確? (A)浮髕試驗為檢查有無積液存在,敏感性高,即使 2 c.c.積液亦可檢查出 (B)以麥克莫雷(Mc Murray)試驗檢查,若內側疼痛或有彈響聲,為外側半月板損傷 (C) Apley test 可同時檢查半月板和內外側副韌帶損傷 (D)抽屜試驗(drawer test)為檢驗前後十字韌帶,只要檢驗單側即可
48 下列何者非神經損傷引起之畸形? (A)猿手畸形 (B)腕下垂 (C)爪形手 (D)杵狀指
49 下列何者不屬於肘部關節構造? (A)肱尺關節 (B)肱橈關節 (C)上尺橈關節 (D)下尺橈關節
50 6 歲女童小馨,因玩耍跌倒,左臂撐地後發生劇 烈疼痛,家長緊急送醫後,經視診發現其前臂外 觀及 X 光片如右圖,此種變形應為下列何者? (A)餐叉 (B)湯匙 (C)沙鏟 (D)牛排刀
51 所謂「欲合先離,離而復合」是指那一種基本復位手法? (A)回旋 (B)旋轉 (C)拔伸 (D)折頂
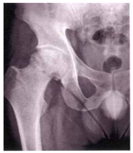
52 45 歲的方先生是錄影帶店的老闆,平日有酗酒習慣約 20 年, 但無重大外傷,右髖隱隱作痛已經 3 年,盤坐時或劇烈運動後 疼痛加劇,至醫院檢查其 X 光如右圖,其診斷為何? (A)缺血性骨壞死 (B)骨結核 (C)骨腫瘤 (D)痛風性關節炎
53 21 歲大學生尤同學自 4 月中旬起即覺腰酸痛,時好時壞,發作時腰間沉重難忍,身倦乏力,小便短 赤,大便時而溏稀時而黏膩不爽,納呆而眠差。她平常好打電腦,並無特殊運動習慣,偶有腰扭傷 之病史。診其脈象沉而濡,舌質紅苔黃厚膩,則下列何方劑最適合? (A)血府逐瘀湯 (B)濟生腎氣丸 (C)溫膽湯 (D)小建中湯
54 依《醫宗金鑒‧正骨心法》,下列那一熏洗方除治跌撲損傷外,尚可治療冷振風濕? (A)散瘀和傷湯 (B)地骨皮湯 (C)海桐皮湯 (D)八仙逍遙湯
55 26 歲少婦許太太 3 個月前剛剛產完第一胎,產後兩週起即親自哺育嬰兒。近日發現右腕疼痛,醫師 體檢時診斷為狹窄性腱鞘炎,此時,醫師應該使用下列何種測試? (A)
(B)
(C)
(D)
56 22 歲軍人楊班長腰痛反覆發作已經 2 年,自覺走路時身體不平衡,有長短之感覺,因此登門求醫。 體檢時,下列何種測量腿長短之方法是錯誤的? (A)病人仰躺,以一皮尺分別測量兩側自髂骨前上棘至內踝間之距離 (B)病人仰躺,膝部屈曲九十度,足部平放檢查檯,若一側膝部較高,表示該側脛骨較長 (C)病人仰躺,膝部屈曲九十度,足部平放檢查檯,若一側膝部較另一側往前突出,表示該側股骨 較長 (D)病人仰躺,以雙手握住病人雙側足踝,平均施力拔伸後平放雙足,如一側內踝較高,表示該側 腿較短
57 64 歲許先生罹患腰痛已經 8 年,其 X 光檢查如右圖, 則下列何種手法應該慎用?
(A)拿捏法 (B)滾法 (C)按壓法 (D)揉法
58 48 歲男性患者,在用力搬重時右肩劇痛突作,肩前疼痛、腫脹明顯,皮下出現瘀斑,檢查發現肩前有 壓痛,屈肘抗阻力時無力感明顯,並可見屈肘時上臂有腫物隆起,腫脹上方凹陷,其最可能病症為何? (A)崗上肌肌腱斷裂 (B)肩峰下滑囊炎 (C)肩關節周圍炎 (D)肱二頭肌長頭肌腱斷裂
59 28 歲男性病患,跌倒時肘部撞擊地面,右肘部疼痛明顯,屈伸活動不便,肘後出現圓形包塊,其最 可能病症為何? (A)尺骨鷹嘴滑囊炎 (B)網球肘 (C)高爾夫球肘 (D)肱三頭肌肌腱炎
60 22 歲姚先生因右膝不適至醫院求診,醫師只用了左曲池一穴便立即解除了他的痛苦,此醫師用的是 《內經》裏的何種刺法? (A)齊刺 (B)傍刺 (C)毛刺 (D)繆刺
61 下列有關眼外傷之敘述,何者錯誤? (A)眼睛構造精細,組織脆弱嬌嫩,受傷後不易恢復 (B)有些組織修復後,也不能恢復原來的形態與功能,像黑睛結瘢即是 (C)眼睛脈道幽深細微,即使輕傷,既可傷血,又可傷氣,皆可導致功能障礙 (D)一輪受傷不會影響他輪,故不產生併發症
62 喉風之痰涎多時,應採取何種臥姿? (A)仰臥 (B)半臥 (C)俯臥 (D)側臥
63 混睛之證,是由於下列那一個臟腑之毒風,與瘀血上凝所致? (A)肝 (B)心 (C)肺 (D)腎
64 下列有關牙癰與牙齩癰的敘述,何者錯誤? (A)牙齩癰,又名牙棋風 (B)牙癰局限紅腫,初硬後軟,疼痛難忍,4-5 日可穿潰出膿 (C)牙齩癰發於盡牙處,故有開口困難症狀 (D)牙癰一般開合自如
65 嗅覺異常患者若鼻內肌膜淡白腫脹,嗅覺遲鈍者,屬下列何證型? (A)陰虛火旺 (B)脾肺氣虛 (C)肝火上炎 (D)血虛有熱
66 咽癢梗阻患者若咽喉肌膜焮而乾燥者,屬下列何證型? (A)陰虛火旺 (B)風熱實證 (C)肝膽濕熱 (D)肝氣鬱結
67 某患者自訴口腔內突然發生血泡,且血泡發生於上腭,則下列敘述何者錯誤? (A)此病名飛揚喉 (B)不可刺破血泡,以防感染 (C)多因嗜食辛辣厚味,脾胃積熱,火熱上炎,熱傷脈絡 (D)可用金銀花、甘草各等量,煎水含漱,以清熱解毒 代號:5112 頁次:8-8
68 一 20 餘歲男性病患因右側鼻塞流帶血之膿涕,並有臭味將近 1 個月,看了幾家中西醫吃了很多消炎 藥,病症仍在,因此來求診。查身體無其它病痛,脈緩,舌淡紅,苔薄白,問診得知最近 1 個月前 與朋友去溪河游泳,上述症狀應先以下列何法施治最為適宜? (A)給予芳香通竅如蒼耳子散之藥物 (B)給予清熱解毒如黃連解毒湯之藥物 (C)給予清熱利濕如加味四苓散之藥物 (D)檢查有無鼻腔異物,以外治法施治
69 40 歲男性患者,主訴牙齒痛劇烈 1 日餘,望其牙齦紅腫,腫連腮頰,舌苔黃厚,伴見口渴引飲,大 便秘結,聞其口氣臭穢,切其脈為洪數,治以下列何方最適宜? (A)銀翹散 (B)清胃散 (C)左歸丸 (D)六味地黃丸
70 下列何者不是鎖喉風之三凹證部位之一? (A)天突 (B)缺盆 (C)心下 (D)肋間
71 喉關癰往往是因下列何病證熱毒壅盛,侵犯喉核周圍,熱盛肉腐而成? (A)咽白喉 (B)乳蛾 (C)喉癬 (D)喉瘖
72 一病患主訴晚上睡覺時,人向右側睡時則右側鼻塞,向左側睡時則左側鼻塞,反覆發作經久不癒, 嗅覺遲鈍不靈,此為何種鼻病之臨床特徵? (A)鼻淵 (B)鼻疳 (C)鼻窒 (D)傷風鼻塞
73 多種鼻病皆可引起鼻塞,若鼻塞初起,鼻內肌膜紅腫,流黃涕身惡寒輕,發熱重、頭痛,脈浮數之 症狀,其病因為何? (A)風寒外邪犯肺 (B)風熱外邪犯肺 (C)脾胃濕熱 (D)脾虛濕聚
74 18 歲男性耳後皺襞、耳前及耳廓有局部潮紅、水泡、糜爛、滲液、結痂及皸裂,患處有灼熱、搔癢、 疼痛感,則此外耳濕疹相當於下列何種疾病? (A)旋耳瘡 (B)耳癤 (C)耳殼流痰 (D)耵耳
75 12 歲男性兒童化膿性中耳炎,合併耳後完骨(顳骨乳突)紅腫疼痛、壓痛,治以下列何方最適宜? (A)仙方活命飲 (B)六味地黃丸 (C)荊防敗毒散 (D)小柴胡湯
76 瞳人乾缺內障,若其色黑,乃是膽熱肝虛,治療宜用何方? (A)瀉肝湯 (B)鎮肝丸 (C)洗肝湯 (D)補肝散
77 下列眼病病因,何者為不內外因? (A)風、寒、暑、濕、燥、火 (B)喜、怒、憂、思、悲、恐、驚 (C)起居不慎,勞役過度 (D)內熱外蒸,腠理不密,相召外邪乘虛而入
78 下列有關胎風赤爛的證治,何者錯誤? (A)因在母腹,其母過食辛熱 (B)乳母過於勞動,外感風邪 (C)小兒雙目盡赤 (D)可用小防風湯
79 下列有關暴風客熱的證治,何者錯誤? (A)胞腫疼痛,淚多痛赤 (B)風淚初起,冬月甚 (C)肺客邪熱,外招風邪 (D)可用菊花通聖散清熱散邪
80 患者為 10 歲小學生,一日從學校回家,見二眼紅腫、 流淚、赤疼,如右圖所見,就讀學校中已有多人有此 症狀,下列敘述何者正確?
(A)宜用驅風散熱飲,風盛倍羌防,熱盛倍大黃 (B)若久而不治,漸長為癭 (C)有時夜臥多驚,嘔吐痰液黃汁 (D)初起宜用鉤藤飲,疏散風邪
申論題 (0)
相關試卷
111年 - 111-2 專技高考_中醫師(二):中醫臨床醫學(三)(包括中醫外科學、中醫傷科學、中醫五官科學)#109951
111年 · #109951
111年 - 111-1 專技高考_中醫師(二):中醫臨床醫學(三)(包括中醫外科學、中醫傷科學、中醫五官科學)#106353
111年 · #106353
110年 - 110-2 專技高考_中醫師(二):中醫臨床醫學(三)(包括中醫外科學、中醫傷科學、中醫五官科學)#100612
110年 · #100612
110年 - 110-1 專技高考_中醫師(二):中醫臨床醫學(三)(包括中醫外科學、中醫傷科學、中醫五官科學)#96439
110年 · #96439
109年 - 109-2 專技高考_中醫師(二):中醫臨床醫學(三)(包括中醫外科學、中醫傷科學、中醫五官科學)#89484
109年 · #89484
109年 - 109-1 專技高考_中醫師(二):中醫臨床醫學(三)(包括中醫外科學、中醫傷科學、中醫五官科學)#82967
109年 · #82967
108年 - 108-2 專技高考中醫臨床醫學(三)(包括中醫外科學、中醫傷科學、中醫五官科學)#78362
108年 · #78362
108年 - 108-1 專技高考_中醫師(二):中醫臨床醫學(三)(包括中醫外科學、中醫傷科學、中醫五官科學)#74496
108年 · #74496
107年 - 107-2 專技高考_中醫師(二):中醫臨床醫學(三)(包括中醫外科學、中醫傷科學、中醫五官科學)#71175
107年 · #71175
107年 - 107-1 專技高考_中醫師(二):中醫臨床醫學(三)(包括中醫外科學、中醫傷科學、中醫五官科學)#67795
107年 · #67795