阿摩線上測驗
登入
首頁
>
中醫臨床醫學(三)
> 97年 - 97-2 專技高考_中醫師:中醫臨床醫學(三)(包括中醫外科學、中醫傷科學、中醫五官科學)#38434
97年 - 97-2 專技高考_中醫師:中醫臨床醫學(三)(包括中醫外科學、中醫傷科學、中醫五官科學)#38434
科目:
中醫臨床醫學(三) |
年份:
97年 |
選擇題數:
80 |
申論題數:
0
試卷資訊
所屬科目:
中醫臨床醫學(三)
選擇題 (80)
1 下列有關疔瘡治療的敘述,何者錯誤? (A) 其內服治療主要以清熱解毒為主 (B) 因攻利太過,以致發渴,六脈大虛者,可用補中益氣湯治療 (C) 麻木不痛,根盤散漫而不透膿,治當解毒清心 (D) 潰後真虛,應早用溫補之藥
2 下列有關疔瘡的敘述,何者錯誤? (A) 大抵面部的疔瘡不易自行排膿,宜用刀針及擠壓 (B) 前胸或後背起紅絲者,可先用針將之挑破或挑斷,擠去紫血 (C) 合谷疔已成未熟之時,往往會續發引起紅絲疔,上攻手臂腋下 (D) 手部疔瘡的治療,若膿已成熟,最好切開患部排膿,痊癒會較快
3 下列有關乳癰治療的敘述,何者錯誤? (A) 不散成膿,宜用清涼解毒 (B) 若食少作嘔,切戒清涼解毒 (C) 若潰後肌肉不生膿水清稀,宜補脾胃 (D) 初起腫脹疼痛,宜疏肝清胃通乳消腫
4 下列有關疔瘡的敘述,何者正確? (A) 顏面部的疔瘡以迎香疔最易毒散,非大解其毒常會導致餘毒入絡 (B) 紅絲疔生於身上頭面部居多 (C) 頭面部的疔瘡忌用刀針,但鼻疔處膿成可鍼刺 (D) 生黃耆在疔瘡屬慎用或禁用之藥
5 病人初起皮膚作癢,周身遍發扁疙瘩,形如豆瓣,堆累成片,忽隱忽現,夜晚搔癢加重。請問宜內 服何方加以治療最佳? (A) 藿香正氣散 (B) 當歸飲子 (C) 黃連解毒湯 (D) 陽和湯
6 學齡男童,家中飼養貓作為寵物,近日男童頭皮部出現覆蓋灰白色鱗屑的脫髮斑片,自覺搔癢。請問 最可能的診斷為何? (A) 髮際瘡 (B) 鬼剃頭 (C) 禿瘡 (D) 燕窩瘡
7 年輕人平日喜歡打球運動,夏天頸部出現斑點遊走,延蔓成片,色白,形如花斑。請問最可能的診 斷為何? (A) 白駁風 (B) 赤白遊風 (C) 白屑風 (D) 紫白癜風
8 一名外籍勞工出現皮膚麻木不仁,白屑紅斑,蔓延如癜,形若蛇皮,脫落成片。請問最可能的診斷 為何? (A) 白駁風 (B) 赤白遊風 (C) 白屑風 (D) 大麻風
9 (A) 四彎風 (B) 白疕 (C) 白屑風 (D) 癮疹
10 承上題,請問此病症類似現代醫學的何種疾病? (A) 乾癬(psoriasis) (B) 脂漏性皮膚炎(seborrheic dermatitis) (C) 蕁麻疹(urticaria) (D) 異位性皮膚炎(atopic dermatitis)
11 中醫外科諸病中,下列有關順證的敘述,何者錯誤? (A) 初起:腫處頂高根束,色赤發熱,焮腫疼痛,日漸突起而不散開,先高腫而後漫腫 (B) 膿成:腫勢焮起,皮薄光亮,易腫易腐,飲食知味 (C) 潰後:膿稠色鮮不臭,腐肉易脫,腫勢漸消,身輕痛減 (D) 收斂:收口之時,膿少黃淡,新肉易生,瘡口易斂,飲食漸增,無痛而微癢
12 下列何者為化痰消散法的藥物? (A) 青果 (B) 桑寄生 (C) 桂枝 (D) 白薇
13 下列有關失榮的敘述,何者錯誤? (A) 生於耳前後或頸項間 (B) 由憂思恚怒、氣鬱血逆,與火凝結而成 (C) 調治之法,戒除七情,適心冶情為首要 (D) 在未潰之先,可貼「奪命丹」
14 中醫外科辨腫中,若患部漫腫,腫勢平坦,盤根散漫,此腫屬下列何者? (A) 虛腫 (B) 寒腫 (C) 痰腫 (D) 氣腫
15 下列有關「流注」的外治法,何者錯誤? (A) 若為瘀傷惡露所致,初起者,均可以針刺患部,後以「太乙膏」加「八將丹」外敷 (B) 若為瘀傷惡露所致,已潰者,可以「五虎丹」拌於紙捻上,插入瘡口以提毒 (C) 若為濕痰凝滯所致,初起者,宜以「陽和膏」加「陰毒內消散」蓋貼 (D) 若為濕痰凝滯所致,毒盡不斂者,宜以「甘露消毒丹」收功
16 下列有關「乳蛾」的證治,何者錯誤? (A) 此症一概重用寒涼以瀉火解毒 (B) 由外感而發者,來勢迅速,咽喉腫痛,難於吞嚥,兼頭痛口乾,脈數有力者,治宜疏散表邪 (C) 腫甚痰鳴,湯水難下者,急刺少商穴放血,以洩其毒 (D) 喉關緊縮者,可以中藥末吹入喉間,以探吐痰涎
17 下列中醫外科學的疾病中,何者不屬於「性接觸傳染病」? (A) 魚口 (B) 下疳 (C) 梅瘡 (D) 腎囊風
18 下列有關「走馬牙疳」預後的敘述,何者錯誤? (A) 肉蝕咽喉,齒落無血者,多死症 (B) 黑腐不脫,穿腮透唇者,多死症 (C) 風火牙疳,牙根腐爛,牙縫出血者,多死症 (D) 脾敗便泄,飲食不進者,多死症
19 下列方劑,何者的臨床功用是取其「發汗」解散表邪? (A) 萬靈丹 (B) 陽和湯 (C) 化堅二陳丸 (D) 人參養榮湯
20 王先生,53 歲。某日因性病求診於內科診所,並在注射盤尼西林後五分鐘內出現咽喉腫脹作痛,痰 涎壅盛,音啞難出。同時出現舌頭吐出不回縮,舌體脹悶,時時攪動,常欲以手捫舌的症狀。以中 醫外科範圍進行診斷,則下列何病名最恰當? (A) 啞瘴喉風 (B) 弄舌喉風 (C) 緊喉風 (D) 急性乳蛾
21 關於腕部腱鞘囊腫之敘述,下列何者錯誤? (A) 囊腫內容物為無色或淡黃色黏性膠凍狀液體 (B) 手法可用扣擠法壓破囊壁,可見囊腫消減 (C) 針灸可圍刺四針,並在囊腫正中加扎一針 (D) 一般預後良好,不易復發
22 肩關節主要活動依靠「肩袖」作用,下列何者非其中之一? (A) 崗上肌(supraspinatus m.) (B) 大圓肌(teres major m.) (C) 崗下肌(infraspinatus m.) (D) 肩胛下肌(subscapularis m.)
23 關於「彈響髖」的敘述,下列何者正確? (A) 指髖關節屈曲或伸展時,關節外側有響聲;好發於五、六十歲老年人 (B) 因活動時有響聲,對關節活動有影響,造成不適症狀 (C) 因股骨小轉子外側的髂脛束前後滑動,卡住股骨活動,造成影響 (D) 先天性髖關節脫位病患,因股骨頭和關節囊發育不良,活動時,也會有響聲
24 有關肩關節周圍炎之病名,下列敘述何者錯誤? (A) 因睡臥時肩部受涼可誘發,故稱漏肩風、露肩風 (B) 因肩部活動時功能受限,故稱凍結肩、肩凝症 (C) 因常發生於五十歲以上患者,故稱五十肩、老年肩 (D) 因肩關節穩定性變差,故稱失穩肩、恐慌肩
25 坐骨神經痛與下列那一條肌肉關係較密切? (A) 臀大肌 (B) 臀小肌 (C) 梨狀肌 (D) 股薄肌
26 下列何者不是理筋手法的適應症? (A) 急性扭挫傷 (B) 慢性勞損 (C) 僵直性脊椎炎 (D) 惡性腫瘤的局部
27 有關肱二頭肌長頭肌腱炎之治療方法,下列敘述何者錯誤? (A) 可用撥筋法以舒筋活絡、消炎鎮痛 (B) 可用刮筋法以鬆解黏連、解除疼痛 (C) 可用針法,不可用灸法 (D) 功能鍛鍊應加強肩後旋運動
28 下列何者不屬於傷筋的範圍? (A) 血管損傷 (B) 神經損傷 (C) 關節軟骨損傷 (D) 褥瘡
29 (A) 提肩胛肌(levator scapulae m.) (B) 崗上肌(supraspinatus m.) (C) 前鋸肌(serratus anterior m.) (D) 菱大肌(rhombodieus major m.)
30 承上題,下列何者為常見可能造成的原因? (A) 肌肉肥厚鼓起 (B) 長胸神經(long thoracic n.)損傷 (C) 崗上肌(supraspinatus m.)損傷 (D) 肩胛上神經(suprascapular n.)損傷
31 有關腕隧道症候群之治療,下列敘述何者錯誤? (A) 局部手法不宜過多過重 (B) 可做手指之拔伸牽引手法 (C) 手法以減輕腕管內壓力為主 (D) 可以強力護腕加以保護
32 下列何者並非崗上肌(supraspinatus m.)肌腱炎之臨床表現? (A) 可造成外展活動疼痛受限 (B) 於肱骨大結節處可有壓痛 (C) 外展 120°以上疼痛明顯 (D) X 光片偶見崗上肌肌腱鈣化
33 27 歲的業務張小姐因落枕前來求診,追蹤其工作史發現,她經常喜歡將電話夾在左側頸部講話,則 下列何肌肉最有可能受牽連? (A) 左崗上肌 (B) 右胸鎖乳突肌 (C) 左大菱形肌 (D) 右提肩胛肌
34 36 歲黃先生為一文書工作之上班族,前日因搬了家具之後,發生嚴重的腰痛,疼痛牽連到左腿,伴 隨麻木感。體檢時發現左側膝反射減低,左小腿內側感覺異常。其最可能的診斷是下列何者? (A) 脊椎滑脫 (B) 壓迫性骨折 (C) 椎間盤突出 (D) 椎管狹窄症
35 23 歲男性病患,無明顯外傷史,近一週突感右肘部疼痛逐漸加重,肘外側壓痛明顯,伸腕抗阻力時 疼痛明顯,其最可能病症為何? (A) 鷹嘴滑囊炎 (B) 肱骨外上髁炎 (C) 橈神經損傷 (D) 肱二頭肌長頭肌腱炎
36 60 歲的王老太太今晨運動時不小心跌倒,造成髕下韌帶部分斷裂,局部瘀血腫脹,來院接受醫師治 療,下列何者為錯誤的處理方式? (A) 可用消腫化瘀散加醋或金黃散外敷 (B) 傷肢要固定伸膝位 10 度 (C) 可選用跌打丸或活血丸;或大成湯與三妙丸合用 (D) 如果患者可以忍痛,可以作股四頭肌的功能鍛鍊
37 病患損傷出血量過多,病人有發熱現象,脈診沉微,按之軟弱,依《醫宗金鑑.正骨心法》宜處以 下列何方? (A) 當歸補血湯 (B) 四君子湯加炮薑、附子 (C) 歸脾湯 (D) 四物湯加人參、黃耆、白朮
38 下列何者為目前台灣中醫傷科最常用的骨折外敷藥? (A) 萬金膏 (B) 萬靈膏 (C) 如意金黃散 (D) 三黃散
39 內傷後期治法以「補法」為主,《醫學發明》中提到可治損傷後期氣血衰弱,潰瘍膿清稀,自汗,盜 汗,納差,消瘦,倦怠等症,是下列何種臨床常用方劑? (A) 十全大補湯 (B) 天王補心丹 (C) 玉屏風散 (D) 保和丸
40 內傷後期治法以「補法」為主,《和劑局方》中提到可治損傷後期血虛之症者,是下列何種臨床常 用方劑? (A) 四君子湯 (B) 四物湯 (C) 四神丸 (D) 四妙散
41 下列何者並非耳目失聰的病因病理? (A) 外傷 (B) 血虛 (C) 肝腎虧損 (D) 脊髓神經損傷
42 內傷的初期治法以「攻」、「消」二法為主,下列治法何者錯誤? (A) 攻下逐瘀法 (B) 行氣活血法 (C) 通竅開閉法 (D) 補益肝腎法
43 病人抱怨肢體疼痛,外觀無皮下瘀青瘀腫,結構無異常,診為榮衛氣滯;依《醫宗金鑑.正骨心法》, 宜處以下列何方? (A) 復元通氣散 (B) 六君子湯 (C) 當歸導滯散 (D) 六君子湯加當歸
44 45 歲林先生為一汽車研發之工程師,腰痛纏身已多年,清晨起床尤其不適。其血清檢查 HLA-B27 為陽性,X 光檢查發現脊椎呈竹節樣變化。則關於此病症之敘述,下列何者正確? (A) 好發於 40 至 60 歲之成年人 (B) 下背痛通常最先發生在腰薦關節(lumbosacral joint) (C) 可見伴隨發生葡萄膜炎與虹彩炎(uveitis) (D) 末期因椎崩解,形成脊椎滑脫
45 45 歲吳小姐,就醫時抱怨腰酸背痛以及右手酸痛、身癢、疲倦、失眠、便秘等症狀。視診時發現其 右手外觀如圖所示,則下列相關處置之敘述何者正確?
(A) 可能有心臟疾病,應做心臟相關之評估 (B) 可能有黴菌感染,應轉診皮膚科,作指甲之檢查 (C) 可能有類風濕性關節炎,應作血清檢查 (D) 可能有痛風關節炎,應作尿酸檢查
46 那一種基本復位手法可以矯正患肢的重疊移位和縮短畸形? (A) 拔伸 (B) 旋轉 (C) 折頂 (D) 回旋
47 下列有關骨折外用藥的敘述,何者錯誤? (A) 初期以活血化瘀、消腫止痛類的藥膏為主 (B) 中期以破血逐瘀、軟堅散結藥膏為主 (C) 後期可用舒筋活絡類膏藥外貼 (D) 骨折後期,如折斷在關節附近,可外用熏洗,熨藥及傷藥水揉擦,配合練功活動
48 骨骼長期反覆受到震動或形變,外力的積累,可造成慢性損傷的疲勞骨折。下列何部位最常見? (A) 腓骨 (B) 距骨 (C) 跟骨 (D) 蹠骨
49 下列有關初級骨痂期內服藥物的敘述,何者正確? (A) 以活血祛瘀為主 (B) 以接骨續筋為主,以活血祛瘀為佐 (C) 以補肝腎、養氣血、壯筋骨為主 (D) 以補益脾胃為主
50 脫位的藥物治療,一般可按早、中、後三期進行辨證論治,下列何者正確? (A) 初期以活血化瘀為主,佐以行氣止痛 (B) 中期應養氣血,補肝腎,壯筋骨 (C) 後期應和營生新,續筋接骨為主 (D) 中期應活血化瘀,佐以行氣止痛
50 (A) 月狀骨骨折(Lunate fracture) (B) 舟狀骨骨折(Scaphoid fracture) (C) 大多角骨骨折(Trapezium fracture) (D) 頭狀骨骨折(Capitate fracture)
52 承上題,下列何項併發症不需要考慮? (A) 骨性壞死 (B) 爪形手 (C) 關節炎 (D) 不癒合
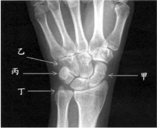
53 如右圖所示,何部位發生骨折後比較容易產生骨壞死?
(A) 甲 (B) 乙 (C) 丙 (D) 丁
54 下列有關跟骨骨折的敘述,何者正確? (A) 多從高處墜下或跳下,傷後跟部腫脹、瘀斑、疼痛、壓痛明顯,足跟部橫徑減小變窄,足縱弓更彎曲 (B) 有少數因跟腱牽拉而引起脊椎壓縮性骨折或脫位 (C) 根據骨折線的走向分類,波及跟距關節面骨折的預後較好 (D) 診斷跟骨骨折時,應常規詢問和檢查脊柱和顱腦損傷的情況
55 橈骨下端骨折,骨折遠端向手腕何側移位時,可見「餐叉樣」畸形? (A) 橈側 (B) 尺側 (C) 掌側 (D) 背側
56 因肩部外側或手掌先著地跌倒,外力經肩鎖關節傳至鎖骨而發生鎖骨骨折,骨折線的形態多為下列 何者? (A) 橫斷形 (B) 粉碎形 (C) 短斜形 (D) 螺旋形
57 關於髖關節後脫位的體徵,下列敘述何者錯誤? (A) 患肢呈屈曲、內收、內旋畸形,患側膝關節亦輕度屈曲,常置於健側膝上部 (B) 患肢外形較健側伸長 (C) 患側臀部膨隆,股骨大轉子上移凸出,在髂前上棘與坐骨結節聯線後上方可觸及股骨頭 (D) 患側不能主動活動,在做外展、外旋動作時呈彈性固定
58 關於青少年骨折之敘述,下列何者錯誤? (A) 鎖骨青枝骨折,不需手法整復,只需良好固定即可 (B) 肱骨外上髁骨折,雖然固定良好,仍可能出現肘外翻(cubitus valgus)後遺症 (C) 肱骨髁上骨折的晚期併發症,可出現肘內翻(cubitus varus) (D) 肱骨內上髁骨折通常併發神經損傷時,會造成手腕下垂(wrist drop)
59 48 歲秦太太,某日於傳統市場買菜,因地板濕滑跪倒在地,旋即發生右膝腫脹疼痛。醫師診斷為髕 骨骨折,則應使用下圖中何種固定器來固定?
(A) 甲 (B) 乙 (C) 丙 (D) 丁
60 64 歲何太太某日於菜市場滑倒,右手撐地後立即疼痛腫脹難忍。醫師立即作了 X 光檢查,發現其 X 光片如圖所示,則此種傷害一般稱為:
(A) 柯利氏骨折(Colles’fracture) (B) 蒙太奇骨折(Monteggia fracture) (C) 瓊斯骨折(Jones fracture) (D) 葛立茲骨折(Galeazzi fracture)
61 某患眼疾,其證不紅不腫,瞳人色變,而其光失明,應屬下列何病? (A) 花翳白陷 (B) 外障 (C) 黑翳如珠 (D) 五風
62 下列有關八廓部位的敘述,何者錯誤? (A) 瞳人屬巽,水廓也 (B) 白睛屬乾,天廓也 (C) 內眥大眥也,屬離火也,震雷之廓 (D) 兩胞屬坤,地廓也
63 一中學生準備考試,三餐以速食店炸雞薯條為主食,初起胞瞼微癢痛,繼之形成局限性硬結,並壓 痛,如下圖所示,則最可能為下列何者?
(A) 椒瘡 (B) 胞生痰核 (C) 眼丹 (D) 針眼
64 關於天行赤眼的敘述,下列何者正確? (A) 若久不治,漸長為癭,破則成漏 (B) 受邪深淺,視人強弱,強者先癒 (C) 宜用鎮肝明目羊肝丸 (D) 赤爛日久生翳遮瞳
65 有關眼外傷之真睛破損的敘述,下列何者錯誤? (A) 一般指外物傷目而又眼珠有穿透傷口者 (B) 有的還會伴有眼內異物,是一種嚴重的眼外傷 (C) 預後不錯,影響視力甚微 (D) 相當於西醫的機械性穿透性眼外傷
66 (A) 白翳黃心 (B) 黃膜上衝 (C) 棗花翳 (D) 花翳白陷
67 承上題,其病因乃因何臟腑之風熱,上衝於眼所致? (A) 肝膽 (B) 心 (C) 脾胃 (D) 肝腎
68 承上題,治療宜用何者? (A) 內服立應散;外
通脾瀉胃湯 (B) 內服通脾瀉胃湯;外
立應散 (C) 內服涼膈散;外
羚羊飲 (D) 內服羚羊飲;外
涼膈散
69 有關鼻病外治法的敘述,下列何者錯誤? (A) 慢性虛性鼻病,以扶正祛邪、滋潤肌膜為主,如蓯蓉滴鼻液、生蜂蜜等 (B) 外邪而致之鼻內肌膜紅腫、鼻塞流涕,以辛散風邪通竅為治則 (C) 實行吹藥法時,患者應深呼吸,使藥粉直達整個鼻腔 (D) 鼻息肉可使用乾枯收斂、除濕消腫藥物塗敷,如明礬散
70 28 歲女性眩暈,每因情緒而發,容易急躁心煩,面赤頭痛,口苦咽乾,胸脅苦滿,少寐多夢,舌質 紅苔黃,脈弦細,則最宜以下列何方治療? (A) 天 麻鈎 藤飲 (B) 歸脾湯 (C) 真武湯 (D) 半夏白朮天麻湯
71 18 歲男性耳痛劇烈,檢查發現耳膜充血、流膿,碰觸疼痛,兼有高熱、頭痛、口乾,舌質紅、脈數 有力,則該患者最宜以下列何方治療? (A) 銀翹散 (B) 龍膽瀉肝湯 (C) 甘露飲 (D) 六味地黃湯
72 58 歲男性耳內常聞蟬鳴之聲,晝夜不息,夜間尤甚,以致失眠,聽力逐漸下降,則最宜以下列何方 治療? (A) 銀翹散 (B) 龍膽瀉肝湯 (C) 益氣聰明湯 (D) 耳聾左慈丸
73 腦漏者,鼻如淵泉涓涓流涕,若見涕黃濁而量多,脈濡或滑數,舌質紅苔黃膩,體倦,脘部脹悶食 慾不振,小便黃,頭痛頭暈等症,則此為何種證型之腦漏? (A) 膽腑鬱熱 (B) 肺經風熱 (C) 脾胃濕熱 (D) 肺氣虛寒
74 (A) 陽虛 (B) 風寒外襲 (C) 氣虛 (D) 營衛失調
75 承上題,治療楊同學的處方應為何? (A) 濟生腎氣丸 (B) 小青龍湯 (C) 玉屏風散 (D) 桂枝湯
76 下列何病症之臨床表現主要為久病聲音不揚,甚至嘶啞失音? (A) 風熱乳蛾 (B) 梅核氣 (C) 慢喉瘖 (D) 緊喉風
77 下圖所示最可能為下列何病證?
(A) 咽白喉 (B) 乳蛾 (C) 喉癰 (D) 喉瘖
78 下列有關口瘡的敘述,何者錯誤? (A) 是指口腔肌膜上發生的表淺,如豆大的小潰瘍點 (B) 實證多為心脾積熱而致 (C) 陰虛火旺常易反覆發作 (D) 俗稱雪口
79 50 歲男性患者,主訴為下頜處疼痛近 1 月,逐漸加重,望診其牙槽骨腐壞,患側腮頰紅腫焮熱,舌 紅苔黃,並有發熱惡寒,頭痛,口臭,大便秘,脈弦數等症,治以下列何方最適當? (A) 甘露飲加升麻 (B) 增液承氣湯加白芷 (C) 升陽益胃湯加蟬蛻 (D) 清陽散火湯加殭蠶
80 40 歲女性患者,主訴為唇內潰瘍,反覆發作近 10 餘年,有熱痛感,曾用中西藥治療,時輕時重。望 診其有二個綠豆大小的潰瘍面,周圍黏膜充血鮮紅,舌紅質裂苔薄少而黃,其它症狀為口乾渴,尿 短赤,大便乾硬,脈細數,治以下列何方最宜? (A) 八珍湯 (B) 甘露飲 (C) 黃連解毒湯 (D) 白虎湯
申論題 (0)
相關試卷
111年 - 111-2 專技高考_中醫師(二):中醫臨床醫學(三)(包括中醫外科學、中醫傷科學、中醫五官科學)#109951
111年 · #109951
111年 - 111-1 專技高考_中醫師(二):中醫臨床醫學(三)(包括中醫外科學、中醫傷科學、中醫五官科學)#106353
111年 · #106353
110年 - 110-2 專技高考_中醫師(二):中醫臨床醫學(三)(包括中醫外科學、中醫傷科學、中醫五官科學)#100612
110年 · #100612
110年 - 110-1 專技高考_中醫師(二):中醫臨床醫學(三)(包括中醫外科學、中醫傷科學、中醫五官科學)#96439
110年 · #96439
109年 - 109-2 專技高考_中醫師(二):中醫臨床醫學(三)(包括中醫外科學、中醫傷科學、中醫五官科學)#89484
109年 · #89484
109年 - 109-1 專技高考_中醫師(二):中醫臨床醫學(三)(包括中醫外科學、中醫傷科學、中醫五官科學)#82967
109年 · #82967
108年 - 108-2 專技高考中醫臨床醫學(三)(包括中醫外科學、中醫傷科學、中醫五官科學)#78362
108年 · #78362
108年 - 108-1 專技高考_中醫師(二):中醫臨床醫學(三)(包括中醫外科學、中醫傷科學、中醫五官科學)#74496
108年 · #74496
107年 - 107-2 專技高考_中醫師(二):中醫臨床醫學(三)(包括中醫外科學、中醫傷科學、中醫五官科學)#71175
107年 · #71175
107年 - 107-1 專技高考_中醫師(二):中醫臨床醫學(三)(包括中醫外科學、中醫傷科學、中醫五官科學)#67795
107年 · #67795