阿摩線上測驗
登入
首頁
>
中醫臨床醫學(三)
> 98年 - 98-1 專技高考_中醫師:中醫臨床醫學(三)(包括中醫外科學、中醫傷科學、中醫五官科學)#36975
98年 - 98-1 專技高考_中醫師:中醫臨床醫學(三)(包括中醫外科學、中醫傷科學、中醫五官科學)#36975
科目:
中醫臨床醫學(三) |
年份:
98年 |
選擇題數:
80 |
申論題數:
0
試卷資訊
所屬科目:
中醫臨床醫學(三)
選擇題 (80)
1 37 歲男性,數日前左腳趾受傷,昨日在左小腿內側發現皮膚上有紅絲一條出現,且有迅速向軀幹方 向走竄的趨勢。根據其病情,則下列敘述何者錯誤? (A)治療宜砭其絲頭,以止其遊 (B)本病瘡頭如出現白皰者,不可挑破擠壓 (C)內治法主要以大劑清熱解毒藥為主 (D)此病人如伴有噁心嘔吐,屬毒盛,勢將走黃
2 「丹毒」是常見的急性感染性疾病,中醫外科有關本病的證治敘述中,下列何者錯誤? (A)生於小兒者,又名「赤遊丹毒」 (B)生於頭面者,又名「抱頭火丹」 (C)生於下肢者,稱為「流火」 (D)病勢發展由胸腹走向四肢者,屬逆證
3 病人患瘡證見體弱,形瘦,食少,便溏溲白或數,脈沉或無力,舌質淡或紅或舌胖,瘡平或陷,色 紫或不發,無痛或癢,起緩癒慢者,此屬下列何證? (A)虛 (B)陰 (C)裏 (D)寒
4 下列何項不是疥瘡(scabies)好犯的部位? (A)指縫 (B)胯下 (C)肚臍周圍 (D)頭面部
5 22 歲女性,腋下經常膿腫,近日腋窩內突然腫脹焮硬,灼熱疼痛,伴有惡寒發熱。根據上述,則下 列敘述何者錯誤? (A)中醫文獻中此為「夾肢癰」 (B)此病屬肺胃熱甚,聚毒而發 (C)初起宜服柴胡清肝湯,外敷沖和膏 (D)此癰膿脹痛者宜鍼之,潰後虛者補之
6 鬢疽發於鬢角,屬手少陽三焦足少陽膽二經,下列敘述何者正確? (A)此二經氣多血少,最難腐潰 (B)根盤不開大而聚縮者,乃屬真氣虛而邪氣實 (C)瘡堅痛少,潰而膿微,瘡形散漫不聚者,治以消毒為主,托裏為輔 (D)初起宜服托裏消毒散使膿出毒散
7 一名病人,皮膚病灶起如雲片,浮腫焮熱,痛癢相兼,高纍如粟。請問最可能的診斷為何? (A)紫白癜風 (B)火赤瘡 (C)血風瘡 (D)赤白遊風
8 夭疽、猛疽最早出現於下列何書中? (A)《外台祕要》 (B)《內經》 (C)《千金方》 (D)《外科精要》
9 黧黑斑最常見的起因為何? (A)風熱濕邪,侵襲皮膚,鬱久風盛 (B)濕熱內搏,滯於膚腠,外為風乘,不得宣通 (C)上焦熱甚 (D)憂思抑鬱,血虛不華,火燥結滯
10 下列有關「牙宣」的證治,何者錯誤? (A)牙齦腐臭,時津白膿者,屬胃中濕熱 (B)牙齦腐臭,齒根動搖者,屬胃中虛火兼腎虛 (C)客熱受風者,多牙齦出血,惡風口臭 (D)客熱受寒者,治宜清胃湯
11 纏腰火丹宜內服何方加以治療最佳? (A)羚羊角散 (B)消風散 (C)仙方活命飲 (D)龍膽瀉肝湯
12 下列有關「走馬牙疳」的證治,何者錯誤? (A)生於牙齦,腐爛迅速,勢如奔馬 (B)嚴重者可致破唇落齒,穿腮洞顎 (C)腐爛時若見惡寒發熱,飲食不進,泄瀉氣喘,身熱神昏者,多屬邪盛正虛,預後不佳 (D)屬「風火牙疳」者,宜桂附地黃丸加荊芥、防風治之
13 中醫外科外用藥膏加味太乙膏,是按方配藥,浸在植物油中煎熬去渣,再煎至一定溫度時加注下列 何藥,凝結而成? (A)黃丹 (B)松脂 (C)白蠟 (D)凡士林
14 身體任何部位均可發生,但以四肢、軀幹、面頸部尤為多見。呈半球形成扁平隆起,境界明顯,性 質柔軟如海綿狀,表面為紅色、紫紅色或正常膚色者,為下列何病? (A)骨瘤 (B)脂瘤 (C)肉瘤 (D)血瘤
15 「口瘡」證屬「實火」者,最宜下列何方? (A)四物湯加黃柏、知母、丹皮,稍加肉桂為引 (B)涼膈散 (C)柳花散 (D)赴筵散
16 乳房保健檢查時,最佳的乳房觸診時段是: (A)月經來潮的第 1~3 天 (B)經後的 1~3 天 (C)經後的 3~5 天 (D)經後的 7~10 天
17 張小姐,28 歲。某次感冒後因細菌感染發生急性扁桃體膿腫。臨床出現咽喉腫痛,聲音難出,湯水 不下,痰涎壅盛聲如拽鋸等急性咽喉阻塞的症狀。若同時出現頸項皮下肌肉發紅漫腫成圈,致呼吸 困難,面青唇黑等現象。以中醫外科範圍進行診斷,下列何者是最恰當的病名? (A)喉疳 (B)喉閉 (C)緊喉風 (D)纏喉風
18 (A)錢癬 (B)鬼剃頭 (C)髮際瘡 (D)燕窩瘡
19 承上題,請問此病症類似現代醫學的何種疾病? (A)頭癬(tinea capitis) (B)圓禿(alopecia areata) (C)毛囊炎(folliculitis) (D)鬚癬(tinea barbae)
20 「流注」是指發生於肌肉深部的膿瘍,以下何者不是其常見的成因? (A)溫病後,邪留陽明而發 (B)寒邪入於經絡而成 (C)跌打損傷,瘀血停滯而成 (D)七情鬱結,日久致瘀 甲 乙 丙
21 如圖所示之 3 種股骨頸骨折,其中圖甲傾斜角 30°,圖乙傾斜角 45°,圖丙傾斜角 70°,試問:何者 較穩定,血循破壞較少,故癒合率較高?
(A)甲 (B)乙 (C)丙 (D)都一樣
22 兩歲女童小宣,於自家後院玩耍,自三輪車上跌落,旋即嚎啕大哭,右臂觸痛拒按。醫師為其作了 X 光檢查,發現如圖所示。其診斷應為:
(A)橈骨末端骨折 (B)橈骨幹骨折 (C)尺骨頭骨折 (D)尺骨幹骨折
23 下列 4 位脊椎的病變中,何者最屬急性之傷害?
(A)甲 (B)乙 (C)丙 (D)丁
24 50 歲林女士為一單純家庭主婦,平日並無特殊勞動或工作,亦無外傷史。自兩個月前起,開始覺得 右足背酸脹,而且經常連帶右小腿酸脹不適。經醫師檢視,發現其足背之外觀如圖示,其最可能之 診斷為:
(A)楔狀骨脫位 (B)腱鞘囊腫 (C)鈣化性肌炎 (D)雞眼
25 圖中所示之肱骨外科頸骨折,屬於下列何種型態?
(A)裂縫骨折 (B)外展型骨折 (C)內收型骨折 (D)骨折合併肩關節脫位
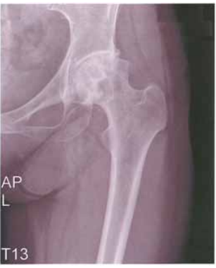
26 44 歲官小姐,罹患左髖關節疼痛已經 3 年,其 X 光檢查如圖所示。此病可能與下列何種藥物長期服 用有關?
(A) NSAID 止痛藥 (B)古柯鹼 (C)類固醇 (D)支氣管鬆弛劑
27 如圖示,「拇指不能對掌,不能向掌側運動」係屬於何神經損傷?
(A)橈神經損傷 (B)尺神經損傷 (C)正中神經損傷 (D)腓總神經損傷
28 依據《醫宗金鑑.正骨心法》,膝蓋骨損傷離位,手法復位後,下列治療何者錯誤? (A)定痛散灸熨之 (B)八仙逍遙湯燻之 (C)內服加味健步虎潛丸 (D)內服補筋丸
29 骨折的特徵中,只要有一種出現,即可在臨床上初步診斷為骨折。所謂「骨折的特徵」並不包括下 列何者? (A)功能障礙 (B)畸形 (C)骨擦音 (D)異常活動
30 下列何項非造成骨性壞死的原因之一? (A)髖關節脫臼(hip dislocation) (B)扁平髖(coxa plana) (C)酗酒 (D)肱骨幹骨折
31 髖關節滑膜炎常發生於何種年齡層? (A) 1~2 歲 (B) 3~10 歲 (C) 14~18 歲 (D) 20~25 歲
32 肱骨髁上骨折根據暴力形式和受傷機理的不同,何種類型容易合併血管神經損傷? (A)伸直型 (B)屈曲型 (C)橈偏型 (D)尺偏型
33 從高處跳下,足跟著地,造成足跟骨折,最易合併那幾節脊椎壓迫性骨折? (A) C5~7 (B) T4~6 (C) T12~L2 (D) L3~5
34 關於脫臼整復治療之敘述,下列何者正確? (A)肘關節脫位以「前脫位」常見,伸肘時,肘三角仍可見呈一直線 (B)肩關節脫位以「前脫位」多見,因肱骨頭位移,可造成肩胛盂邊緣骨折 (C)橈骨半脫位多發生於小孩,是因橈尺骨間的齒狀韌帶尚未發育完全 (D)肩關節復發性脫位,多因患者拉抬重物所致,常見呈「後脫位」
35 下列關於骨折診斷之敘述,何者錯誤? (A)問病史雖然是例行項目,但也能提供疾病臆測 (B)骨傷患處均有腫脹、瘀青,但無法提供特殊部位骨折臆測 (C)病人表現有不等程度的關節功能障礙 (D)骨擦音為特殊症狀,有骨折就有骨擦音出現
36 橈尺骨幹雙骨折,若前臂肌肉比較發達,加之骨折後出血腫脹,雖經牽引後重疊未完全糾正者,可 用下列何種手法加以復位? (A)折頂手法 (B)屈伸手法 (C)回旋手法 (D)擠捏分骨手法
37 《醫宗金鑑.正骨心法》:「王好古云,登高墜下,撞打等傷,心腹胸中,停積瘀血不散者,則以 上中下三焦,分別部位,以施藥餌。」其治療原則中提及:瘀在下部者,最宜下列何方? (A)犀角地黃湯 (B)桃仁承氣湯 (C)抵當湯 (D)復元活血湯
38 18 歲周姓少年因飆車不慎與同僚飆車少年嚴重擦撞,人於高速狀態下彈出道路旁數十公尺。急救人 員抵達現場時,發現少年意識不清,四肢多處損傷出血,目閉口開,呼吸淺促,面蒼白,四 肢冷,二便失禁,脈搏微弱。則其正確之診斷應為下列何者? (A)氣閉 (B)氣脫 (C)氣滯 (D)氣虛
39 《醫宗金鑑.正骨心法》:「使斷者復續,陷者復起,碎者復完,突者復平」,在此骨折復位必須 達到下列何要求? (A)解剖復位 (B)功能復位 (C)保存生命 (D)不增加損傷
40 那一種膝關節損傷,症見關節腫脹積血、積液,臨床上以女性與肥胖者居多? (A)髕韌帶斷裂 (B)膝關節創傷性滑膜炎 (C)膝關節側副韌帶損傷 (D)退化性膝關節炎
41 損傷眩暈臨床表現為暈痛並見,每因煩勞、惱怒而增劇,面色潮紅、性情急躁、少寐多夢、泛泛欲 吐、胃納差、口苦,舌紅苔黃,脈弦數,應屬下列何證型? (A)熱毒火盛 (B)肝陽上擾 (C)氣血虛虧 (D)腎精不足
42 傷筋後的臨床症狀不包括下列何者? (A)疼痛 (B)瘀腫 (C)彈性固定 (D)功能障礙
43 下列何者為人體最大的屈戌關節? (A)肩關節 (B)髖關節 (C)膝關節 (D)踝關節
44 有關扳機指之診斷治療,下列何者錯誤? (A)肌腱膨大部位多發生於指間關節處 (B)在掌側可觸及疼痛的硬結節 (C)可用撥筋法鬆解狹窄之腱鞘 (D)可用捋筋法推捋膨大之肌腱
45 關於僵直性脊柱炎的敘述,下列何者正確? (A)病因未明,與家族遺傳性無關 (B)常有腰痛現象,並可能有向臀部放射性的「坐骨神經痛」,但無感覺異常 (C) X 光檢查,早期腸薦關節(Sarcoiliac joint)無明顯異常變化 (D)目前並無有效治療,為防止變形,應避免運動
46 28 歲女性病患,產後一個月,右手腕部疼痛逐漸加重,橈側腫脹、疼痛明顯,以四指握住拇指做尺 偏動作時疼痛加劇,其最可能病症為何? (A)腕隧道症候群 (B)腕腱鞘囊腫 (C)腕三角纖維軟骨損傷 (D)橈骨莖突狹窄性腱鞘炎
47 40 歲女性病患,右手腕部疼痛無力已 3 個月,大魚際肌肉萎縮,第 1、2、3 指覺麻作,扣擊腕部掌 面正中時,手麻症加,其最可能病症為何? (A)腕腱鞘囊腫 (B)腕舟狀骨骨折 (C)腕隧道症候群 (D)橈骨莖突狹窄性腱鞘炎
48 內傷後期治法以「補法」為主,《千金方》中提到可益肝腎,袪風濕,治腰脊損傷後期,風濕痛及 下肢麻木,屈伸不利者,為下列何種方劑? (A)桂枝茯苓丸 (B)獨活寄生湯 (C)二妙散 (D)清上防風湯
49 臨床上常見損傷痹證,若患者肢體關節疼痛,游走不定,以人體大關節多見,可有惡寒發熱,關節 活動受限,舌白滑,脈浮緩。則其證治分型屬於下列何者? (A)風痹 (B)寒痹 (C)濕痹 (D)熱痹
50 下列何者不是膝半月板損傷的臨床表現? (A)腫脹疼痛 (B)清脆響聲 (C)交鎖現象 (D)皮下出血
51 橈骨骨折病患整復固定後,仍抱怨患處疼痛,皮肉色無壞疽變化,依《醫宗金鑑.正骨心法》,除 外治法外,最宜下列何方? (A)益氣養榮湯 (B)沒藥丸加地黃丸 (C)復元通氣散 (D)當歸導滯散
52 椎間盤患者體檢時發現中指感覺減退,則常提示何部位有病變? (A) C4~5 (B) C5~6 (C) C6~7 (D) C7~T1
53 (A)肱骨髁上骨折(humeral supracondylar fracture) (B)肘關節脫臼(elbow dislocation) (C)橈骨頭骨折(radial head fracture) (D)橈骨頭半脫位(radial head subluxation)
54 承上題,病人有何種併發症較不需要考慮? (A)因患處腫脹壓迫血管,前臂覺麻木 (B)手掌肌肉攣縮,呈屈曲狀 (C)生長板損傷 (D)手指關節屈伸功能
55 腰部鈍痛,勞累或陰天加重,晨間起床時僵硬,最常見於下列何病症? (A)腰椎間盤突出症 (B)腰椎結核 (C)增生性脊柱炎 (D)脊柱轉移性腫瘤
56 關於鎖骨之敘述,下列何者正確? (A)依《醫宗金鑑.正骨心法》:「鎖子骨,經名拄骨。橫臥於兩肩前缺盆之內,其兩端外接肩解」 (B)骨折多因間接暴力所致,多呈短斜形 (C)骨折好發於外 1/3 處 (D)骨折常直接造成臂叢神經及腋動脈損傷
57 (A)腰椎滑脫 (B)腰椎間盤突出 (C)急性腰扭傷 (D)腰椎管狹窄症
58 承上題,如果患者跟腱反射減弱,應考慮是那一節段的病變? (A) L2~3 (B) L3~4 (C) L4~5 (D) L5~S1
59 小魚際肌及骨間肌萎縮,呈爪形手,為何者損傷所致? (A)橈神經 (B)正中神經 (C)尺神經 (D)肌皮神經
60 利用固定墊所產生的加壓或槓桿作用,可以維持骨折斷端在整復後的良好位置。下列敘述何者錯誤? (A)固定墊必須質軟,有一定的彈性,能維持一定形態,有一定的支持力,能吸水,可散熱,對皮膚 無刺激作用 (B)厚而太小、堅硬的固定墊,容易引起壓迫性潰瘍,並使夾板與肢體不能緊貼而固定不穩 (C)薄而太大、柔軟的固定墊,作用力過小,不能有效地發揮其作用 (D)可以依賴固定墊對骨折段的擠壓作用來代替手法復位
61 一 50 餘歲婦人來求診時,抱怨煮飯做菜時不聞香味已近 2 年,經常單側鼻塞,偶頭部微脹不適,診 其舌質淡紅,薄白苔,脈緩無力,面色白。下列有關此病證之敘述,何者正確? (A)此為鼻鼽之症 (B)此病證可選用補肺益氣,袪風散寒之藥物 (C)此病證相當於現代醫學之萎縮性鼻炎 (D)此病證可選用手陽明大腸經的肺俞穴,手太陰肺經的太淵穴艾灸以溫經通竅施治
62 有關牙癰的治療,下列敘述何者錯誤? (A)初起胃火偏盛者,宜選用清胃湯 (B)久治不癒,瘡口不收,可用托裏消毒散 (C)若紅腫波及腮頰、下頜者,可外敷如意金黃散 (D)忌用針刺治療
63 一 20 餘歲男性病患,性好逞強,昨晚尾牙與朋友飲了 3 瓶 XO 好酒,今早發現棉被染了一大片血跡, 鼻腔也殘有血塊,故今早來求診,診其脈洪大而數,舌質紅苔黃厚乾,平常有口乾、口臭、便秘之 情形,依此症狀,該病患鼻衄之病因為何? (A)肝火上逆 (B)胃熱熾盛 (C)肺經熱盛 (D)脾不統血
64 16 歲女性患者,主訴為口腔內頰面潰瘍,反覆發作已 1 年,近 3 日加重,潰面呈圓形灰白色,周圍黏 膜淡紅,伴微有疼痛感,進食時加重,口不乾渴,舌淡紅少苔少津,脈細數,最宜下列何方? (A)涼膈散 (B)黃連解毒湯 (C)四物湯加黃柏、知母、丹皮 (D)八味地黃丸
65 關於小兒青盲的敘述,下列何者錯誤? (A)因胎受風邪,生後瞳人端好,惟視物不見 (B)有時夜臥易驚,嘔吐痰液黃汁 (C)宜用鎮肝明目羊肝丸 (D)紅花散清熱散瘀可癒
66 黑睛生翳,風輪四圍漸起,中間低陷,其翳狀如棗花魚鱗之形,烏睛或白或帶微黃,根據《醫宗金 鑑.眼科心法》,此為下列何證? (A)花翳白陷 (B)黑翳如珠 (C)玉翳浮滿 (D)棗花內障
67 承上題,最宜下列何方治療? (A)九仙散 (B)知母飲子 (C)除熱飲子 (D)羚羊角飲子
68 26 歲男性,挖完耳朵後,隔日耳部灼熱疼痛,張口、咀嚼或牽拉耳殼、壓迫耳屏時疼痛加劇。就診 時外耳道瀰漫性紅腫、潰瘍、滲液,伴隨惡風發熱,頭痛,周身不適,舌質紅苔白,脈浮數,最宜 下列何者治療? (A)五苓散合銀花解毒湯加減 (B)六味地黃丸合黃連解毒湯加減 (C)龍膽瀉肝湯合仙方活命飲加減 (D)五味消毒飲合銀翹散加減
69 內障之病皆因七情過傷,臟腑內損,精氣不上於目,故初病內障,久成五風。下列何者不包括在這 五風之列? (A)烏風 (B)赤風 (C)黑風 (D)綠風
70 有關眼外傷之敘述,下列何者錯誤? (A)常見的致傷因素有機械性與非機械性兩大類 (B)眼居高位,暴露於外,若忽視預防或回避不及,容易外傷 (C)如僅傷及眼瞼者,病情較輕;而傷及眼珠者,病情較重 (D)一輪受傷不會影響他輪
71 有關撞擊傷目之敘述,下列何者錯誤? (A)一般指眼部受鈍力撞擊傷而無穿破傷口者 (B)若傷輕而未及眼珠者,可對視力無妨 (C)若傷重而損及眼珠者,可使視力呈永久性損傷 (D)除眼瞼、白睛及黑睛外,其他組織不會受到影響
72 下列何書最早記載「吹鼻法」及「滴鼻法」? (A)《金匱要略》 (B)《諸病源候論》 (C)《傷寒論》 (D)《千金要方》
73 下列何者不是常見之耳病致病之外邪? (A)風邪 (B)熱邪 (C)燥邪 (D)濕邪
74 關於漏睛症的敘述,下列何者正確? (A)大眥睛明穴下突發赤腫硬痛高起,繼之潰破出膿 (B)黑睛生白翳,四周高,中間低 (C)抱輪紅赤,白睛混赤,畏光流淚 (D)自覺視物昏朦,黑花飛舞
75 中醫名稱為「目系」,在西醫的部位名稱為何? (A)玻璃狀體 (B)脈絡膜及視網膜 (C)眼球周邊之肌肉 (D)包括視神經及球後血管
76 66 歲男性,常常眩暈時心下悸,惡寒,肢體不溫,咳痰稀白,腰痛背冷,精神萎靡,夜尿頻而清長, 舌質淡苔白潤,脈沉細弱,最宜下列何方? (A)杞菊地黃丸 (B)歸脾湯 (C)真武湯 (D)天麻鉤藤飲
77 下列何病證最可能因胸腔內負壓增加,吸氣時出現三凹證? (A)喉瘖 (B)咽白喉 (C)喉癬 (D)急喉風
78 鼻槁之為病,證見鼻內乾燥,下列有關鼻槁之敘述何者正確? (A)此病症常鼻氣腥臭故又稱臭鼻證 (B)此病症相當於現代醫學之肥厚性鼻炎 (C)此病症證見流黃綠濁涕並常帶有血絲,故外治法以清除鼻內積涕或痂皮,並用血管收縮劑滴鼻 (D)鼻槁證見咽喉燥痛,手足煩熱,舌紅苔少,脈細數,可選用銀翹散之類方藥施治
79 有關眼外傷之異物入目的敘述,下列何者錯誤? (A)本症相當於西醫學之結膜或角膜異物 (B)若能及時取出異物,一般可恢復正常 (C)若亂加揉擦挑撥或拖延失治,可加重眼珠損傷 (D)若為嚴重,則可能產生高風內障
80 一 70 歲婦人,近日因憂心過度,夜眠不足,早晨醒後,家人見其白睛外膜之下呈一片鮮紅,如圖所 見,下列敘述何者正確?
(A)患者多畏光流淚,眼瞼難睜 (B)常伴黑睛凝脂深大 (C)常見黃液上衝,白睛混赤 (D)可以清肺涼血藥治之
申論題 (0)
相關試卷
111年 - 111-2 專技高考_中醫師(二):中醫臨床醫學(三)(包括中醫外科學、中醫傷科學、中醫五官科學)#109951
111年 · #109951
111年 - 111-1 專技高考_中醫師(二):中醫臨床醫學(三)(包括中醫外科學、中醫傷科學、中醫五官科學)#106353
111年 · #106353
110年 - 110-2 專技高考_中醫師(二):中醫臨床醫學(三)(包括中醫外科學、中醫傷科學、中醫五官科學)#100612
110年 · #100612
110年 - 110-1 專技高考_中醫師(二):中醫臨床醫學(三)(包括中醫外科學、中醫傷科學、中醫五官科學)#96439
110年 · #96439
109年 - 109-2 專技高考_中醫師(二):中醫臨床醫學(三)(包括中醫外科學、中醫傷科學、中醫五官科學)#89484
109年 · #89484
109年 - 109-1 專技高考_中醫師(二):中醫臨床醫學(三)(包括中醫外科學、中醫傷科學、中醫五官科學)#82967
109年 · #82967
108年 - 108-2 專技高考中醫臨床醫學(三)(包括中醫外科學、中醫傷科學、中醫五官科學)#78362
108年 · #78362
108年 - 108-1 專技高考_中醫師(二):中醫臨床醫學(三)(包括中醫外科學、中醫傷科學、中醫五官科學)#74496
108年 · #74496
107年 - 107-2 專技高考_中醫師(二):中醫臨床醫學(三)(包括中醫外科學、中醫傷科學、中醫五官科學)#71175
107年 · #71175
107年 - 107-1 專技高考_中醫師(二):中醫臨床醫學(三)(包括中醫外科學、中醫傷科學、中醫五官科學)#67795
107年 · #67795