阿摩線上測驗
登入
首頁
>
中醫臨床醫學(三)
> 98年 - 98-2 專技高考_中醫師:中醫臨床醫學(三)(包括中醫外科學、中醫傷科學、中醫五官科學)#36976
98年 - 98-2 專技高考_中醫師:中醫臨床醫學(三)(包括中醫外科學、中醫傷科學、中醫五官科學)#36976
科目:
中醫臨床醫學(三) |
年份:
98年 |
選擇題數:
80 |
申論題數:
0
試卷資訊
所屬科目:
中醫臨床醫學(三)
選擇題 (80)
1 蟲傷在中醫外科的病因是屬於: (A)內因 (B)外因 (C)不內外因 (D)暑因
2 下列有關「骨槽風」的敘述,何者錯誤? (A)發生於頰車穴 (B)因風熱痰熱互結於少陽陽明之絡者,可用升陽散火湯 (C)別名牙叉發 (D)牙齩癰延久不癒,可轉為此症
3 鼻疽,堅硬色紫,時覺木痛,宜宣解鬱毒,病人宜服下列何方? (A)荊防敗毒散 (B)一粒金丹 (C)千金漏蘆湯 (D)託裏透膿湯
4 有關口糜的敘述,下列何者錯誤? (A)色紅作痛,甚則連及咽喉,不能飲食,治宜導赤湯 (B)糜爛延及咽喉,日輕夜重,治宜少陰柑桔湯 (C)口臭瀉泄脾虛濕者,治宜涼膈散 (D)外以薑柏散擦之
5 下列有關中醫外科辨膿的敘述,何者錯誤? (A)患部深按速起應指為膿稠 (B)內臟膿腫,若見浮數脈表膿尚未形成,可望消散 (C)潰後膿如薑汁,則多兼黃疸,病勢較重 (D)膿液不宜臭氣,略帶腥味,其質必稠,屬順證
6 慢性鼻竇炎,遷延日久不癒,臨床症見鼻涕清而不臭,但味腥者,辨證多屬虛寒。治療宜選下列何 方劑為最恰當? (A)天羅散 (B)溫肺止流丹 (C)麻黃宣肺酒 (D)硇砂散
7 有關產後癰疽的證治,下列敘述何者正確? (A)惡露未淨,有表邪者服生化湯 (B)產後宜清不宜溫 (C)惡露已淨,實而兼有內火者,可溫散或溫托 (D)惡露未淨,總以破瘀為首要原則
8 有關疔瘡的治療,下列敘述何者正確? (A)古云:「疔瘡先刺血,內毒宜汗泄。」 (B)古云:「疔瘡禁針不禁灸,怕綿不怕鐵。」 (C)《內經》云:「營氣不從,逆于肉理,乃生疔瘡。」 (D)生黃耆屬疔瘡必用之藥
9 耳癰實火係風溫外襲所致,虛火的原因為下列何者? (A)肝陽挾虛熱上升 (B)肝膽遺熱所生 (C)胃經濕熱火鬱 (D)皆風邪為病
10 有關中搭手的敘述,下列何者錯誤? (A)亦名龍疽 (B)屬督脈 (C)位於膏盲穴 (D)由七情失和傷內,憤怒火凝而生
11 有關中醫病名「大麻風」的敘述,下列何者錯誤? (A)類似現代醫學的「漢生病」(Hansen’s disease) (B)不具傳染性 (C)皮膚可見遍身如癬 (D)可出現麻木不仁,手足脫落 代號:5112 頁次:8-2
12 一名農夫赤足在戶外工作,不小心足底被生鏽的鐵釘刺傷,傷口周圍起白痂,不甚腫,伴見寒熱間 作,牙關微緊,口噤目斜,身體強直,角弓反張,此病患最可能的診斷是下列何者? (A)漏底風 (B)敦疽 (C)湧泉疽 (D)破傷風
13 對於「坐板瘡」的證治敘述,下列何者錯誤? (A)又名為「風疳」 (B)發病於小兒臀腿部者病灶泛紅,可稱為「猴疳」 (C)初發時宜以芫花、川椒、黃柏熬湯外洗 (D)不論內外證治,總以養血生肌為先
14 「桃花癬」好發於春月,多發於婦人面部,相當於現代醫學的單純糠疹。其中醫病機以下列何者最 恰當? (A)肺胃風熱 (B)肝膽濕熱 (C)膀胱濕熱 (D)毒熱熾盛
15 夏日小兒多患,瘡形如水泡,根赤頂白,皮薄而光澤,小者如芡實,大者如棋子。初生一處或數粒, 漸至遍體皆是。焮赤疼痛,破則毒水淋漓,味帶腥穢,但潰爛而無惡臭者,為下列何病? (A)火赤瘡 (B)天泡瘡 (C)浸淫瘡 (D)坐板瘡
16 下列有關舌疳的敘述,何者錯誤? (A)肝火上升,結於舌部而生 (B)初起腫赤時可服「導赤散」加黃連 (C)大便溏薄者,可服「歸藥異功散」 (D)別名為舌菌
17 瘤之數目、大小不一,且無全身症狀,質地柔軟如棉,按之可以壓扁,推之也可移動,有時略硬如 饅者,此為下列何病? (A)肉瘤 (B)筋瘤 (C)氣瘤 (D)氣癭
18 下列關於管的敘述,何者錯誤? (A)俗稱痔漏 (B)肛門肌肉內生硬膜成管狀 (C)手術時,切開後敷上生肌拔毒藥物,新肉未生滿時,外口即可封結 (D)管較輕而時日尚短,可服雙鱉丸
19 下列那一個骨關節處是「流痰」最常發生的部位? (A)肩 (B)髖 (C)脊椎 (D)膝
20 「大頭瘟」發於頭面,下列相關敘述何者正確? (A)常由病後餘毒未清,毒邪乘虛而發 (B)治療先用退熱消毒之品 (C)常造成咽喉腫脹,吞嚥困難,故初起用藥宜峻 (D)初起可於患處先針刺,後以「太乙膏」敷貼
21 下列測試中,何者是用來檢查骶髂關節或是髖關節的病變? (A)芬克史坦測試(Finkelstein’s test) (B)麥克馬雷測試(McMurray’s test) (C)派崔克氏測試(Patrick’s test) (D)尤格森氏測試(Yergason’s test)
22 檢查是否患有梨狀肌症候群(piriformis syndrome)時,可將患肢髖關節擺在何種位置,若引發原疼 痛加劇,則為陽性體徵? (A)內旋內收 (B)內旋外展 (C)外旋內收 (D)外旋外展
23 有關成骨不全(osteogenesis imperfecta)的臨床表現,下列何者錯誤? (A)在出生前或嬰兒期發生多處骨折 (B)顱骨寬闊,鞏膜蒼白並有耳硬化及耳聾症 (C)發育阻滯,可有脊柱後突及側彎畸形 (D)多發性骨折
24 有關「關節炎」的敘述,下列何者正確? (A)痛風性關節炎,可在蹠趾關節發生紅腫疼痛,關節畸形主要是尿素氮沉澱,造成骨破壞所致 (B)僵直性脊柱炎,主要是椎間軟骨增生、骨化後僵直,形成竹節樣 (C)骨性關節炎,主要是關節軟骨硬化直接形成骨贅物,偶伴有膝膕窩囊腫 (D)類風濕性關節炎,嚴重時,可在指關節出現 Heberden 結節畸形
25 13 歲國中生做完 50 下交互蹲跳後產生坐骨神經痛之症狀,直腿抬高試驗50° 即呈陽性,過70° 後又呈 陰性。經研判為某一肌肉之損傷所致,則該肌肉之起止點為下列何者?①腸骨前上嵴 ② 2, 3, 4 薦椎 ③坐骨粗隆 ④股骨大轉子 (A)①② (B)①③ (C)②④ (D)③④
26 有關骨性關節炎的 X 光判讀,下列何者正確?①骨質疏鬆 ②關節腔游離體 ③軟骨下囊腫 ④骨 贅增生 ⑤骨皮質溶蝕 6骨小樑條狀增生 (A)①②④ (B)①④6 (C)②③④ (D)②⑤6
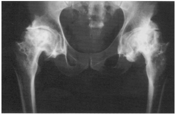
27 54 歲女性患者因右手指關節第 2, 3, 4 近端指關節(PIP)腫痛,右大指本節腫痛,頸肩酸痛,每天手 關節晨僵 2 小時等症狀已半年,至醫院就醫,實驗室檢查:RA factor:177 U/mL,CRP:3.99 mg/dL,下 列何者是最有可能的診斷? (A)退化性關節炎 (B)類風濕性關節炎 (C)痛風性關節炎 (D)創傷性關節炎
28 38 歲女性患者平日好穿高跟鞋,自三個月前起發現右足背酸 脹感日增,有時酸脹會延伸至小腿,回憶近期內並無特別之 外傷史,就醫望診時發現足背有一腫塊外觀如圖所示,其最 可能之診斷為何?
(A)疲勞性骨折 (B)骨壞死 (C)腱鞘囊腫 (D)痛風石
複選題
29 依圖示之湯瑪士測試(Thomas test),可以用在檢查下列那一 條肌肉的緊縮(tightness)?
(A)左髂腰肌(left iliopsoas) (B)右髂腰肌(right iliopsoas) (C)左股直肌(left rectus femoris) (D)右股直肌(right rectus femoris)
30 (A)腕隧道症候群(Carpal tunnel syndrome) (B)橈神經炎(Radial neuritis) (C)橈骨莖突狹窄性腱鞘炎(Radial tenosynovitis) (D)橈神經麻痺(Radial nerve palsy)
31 承上題,患者作下列何項試驗結果為陽性? (A)病患握拳,且將拇指包在其他手指的內部,一手固定病患的前臂,將病患的腕部向尺側偏移 (B)將患側肘關節稍彎曲,腕關節掌屈,前臂完全旋前;再將肘關節伸直 (C)雙手屈肘,手腕自然下垂彎曲90° 一分鐘,會出現麻痛症狀 (D)病患手腕背屈時,可給予一阻力並令其持續背屈對抗阻力
32 有關副甲狀腺亢進症對骨關節的影響,下列何者錯誤? (A)副甲狀腺亢進症,雖然在骨質的變化比較顯著,但多數患者均表現為骨關節疾病 (B)所謂囊腫性纖維性骨炎,即表明造骨細胞的活性增強,骨吸收並沉積了大量的纖維組織於骨髓中 (C)副甲狀腺亢進性骨軟化症對關節的影響主要是軟骨軟化、軟骨塌陷,小樑骨骨折,而這些狀況大 多隨外傷而來,故有併發關節積液、關節疼痛 (D)副甲狀腺亢進引起之高鈣血症,可引起軟組織的轉移性鈣化,如在滑膜、椎間盤、肌腱、腱鞘等 關節周圍軟組織均可鈣化
33 下列有關扳機指的敘述,何者正確?①發病緩慢,手指活動時出現彈響聲 ②晨起或勞動後症狀加 重 ③好發於無名指,多為單指發作 ④患指無法自行彎曲 ⑤屈指肌腱變性產生結節 (A)①②④ (B)①②⑤ (C)①③⑤ (D)②④⑤
34 拉赫曼氏檢查(Lachman’s test)的測試方式如圖所示, 這可以用來檢查那一種結構是否受傷? (A)髕骨肌腱(patella tendon) (B)股四頭肌肌腱(quadriceps femoris tendon) (C)前十字韌帶(anterior cruciate ligament) (D)後十字韌帶(posterior cruciate ligament)
35 有關足踝損傷的敘述,下列何項正確?①踝外側有三條韌帶,外翻(eversion)易造成前距腓韌帶損 傷 ②造成第五蹠骨撕脫性骨折與腓骨長短肌有關 ③前抽屜試驗(anterior drawer test)可檢查外側 跟腓韌帶損傷 ④擠壓試驗(squeeze test)可測試脛骨骨折 ⑤距骨傾斜測試(talar tilt test)在測試 跟腓韌帶及後距腓韌帶的完整性 距骨骨體前寬後窄,故背屈時踝關節穩定,不易扭傷 (A)①③ (B)②⑤ (C)② (D)④
36 25 歲的總機小姐因急性腰痛來求診,自述並無跌倒或外傷之病史,近日亦無勞動或搬重。因工作緣 故,經常連續工作久坐長達七、八小時。體檢時發現其背部有明顯敲擊痛(knocking pain)之反應, 直腿抬高試驗陰性,無腿部之牽引痛。接下來應先作何種實驗室檢查? (A)抽血驗尿酸、肝功能、腎功能、電解質 (B)驗小便 (C)腰椎正位及側位之 X 光攝影 (D)電腦斷層掃描
37 31 歲男性發生車禍,因未繫安全帶,導致胸部撞擊方向盤。胸悶痛,胸口可見方向盤之瘀斑,舌暗, 苔薄,脈沉澀。自發生車禍至今已三日無大便,則下列何方劑最適合? (A)桃紅四物湯 (B)金鈴子散 (C)疏經活血湯 (D)正骨紫金丹
38 18 歲男學生打橄欖球跌倒,致右髕骨骨折。經整復固定後,為避免制動產生之肌肉痿縮,應教導患者 作下列何種運動? (A)等長收縮 (B)等張收縮 (C)米字運動 (D)湯瑪士旋轉
39 55 歲婦女罹患類風濕性關節炎多年,就診時手部呈現如圖之外觀,病歷上應作何描述?
(A)爪狀手 (B)杵狀手 (C)猿狀手 (D)祈福手
40 如圖所示,箭頭所指之結構為下列何者?
(A)骨刺 (B)種子骨 (C)髁間嵴 (D)鈣化之肌腱
41 有關「骨折」的敘述,依《醫宗金鑑.正骨心法》對應於現代解剖學,下列何項正確? (A)肘關節損傷腫脹,且病人四、五指屈曲,無法伸展,可以判斷為「臑骨」外上髁損傷 (B)手腕跌仆損傷致「輔骨」遠端骨折,且向掌面位移,形成餐叉樣,應稱 Colles 骨折 (C)肩部跌仆損傷致「鎖子骨」骨折,外 1/3 部分,因重力和小圓肌附著關係,故向前下方移位 (D)手部損傷致遠端「竹節骨」屈曲下垂無法主動伸展,可能為錘狀指(Mallet finger)
42 有關「頰車骨」脫位的敘述,下列何項正確? (A)《傷科匯纂》認為是腎虛不能收束關竅 (B)《傷科補要》記載為氣虛導致 (C)《醫宗金鑑》內容記載為風濕入襲所致 (D)《外科正宗》認為是氣虛不能收束關竅所導致
43 12 歲男童由母親帶來就診,自述在學校經常跌倒致使 右肩膀經常疼痛。幾天前又因公車緊急煞車不慎撞到右 肩,疼痛腫脹持續四天,右臂上舉困難。經 X 光檢查如 圖所示。其診斷應為下列何者? (A)右肩脫位 (B)疲勞性骨折 (C)骨骺分離 (D)病理性骨折
44 57 歲男性為一貨運工人,抱怨肩痛無力,體檢時發現 左臂外觀異常如圖示,其診斷應該為下列何者?
(A)肩關節脫位 (B)五十肩 (C)臂神經叢麻痺 (D)二頭肌長頭斷裂
45 60 歲婦人,有高血壓病史,每天赤腳在紅土操場行走 2 小時,約有 6 個月之久,某天足背腫起疼痛,至診所 以外敷藥治療 2 星期之久,仍未消腫,至醫院 X 光檢 查如圖,則下列何項臆斷最為可能?
(A)骨膜骨肉瘤 (B)蹠骨骨折 (C)骨囊腫 (D)纖維瘤
46 關於尺骨上 1/3 骨折合併橈骨頭脫位的整復方法,下列何者正確? (A)原則上先整復橈骨頭脫位,後整復尺骨骨折 (B)伸直型骨折,助手拔伸牽引,同時外展肘關節,術者拇指放在橈骨頭外側,向內側推按,使之還納 (C)屈曲型骨折,術者兩拇指放在橈骨頭外側和前側,向尺側、背側推擠,同時徐徐屈曲肘關節至 90°, 使橈骨頭復位 (D)內收型骨折,兩拇指放在橈骨頭的外側、背側,向內側、掌側推按,同時徐徐伸直肘關節至 0° 位,使橈骨頭復位
47 有關肱骨外科頸骨折的敘述,下列何者正確? (A)無移位的裂縫骨折或嵌插骨折,僅用三角巾懸吊患肢 1~2 週即可開始活動 (B)外展型骨折,術者兩拇指按於骨折近端的外側,其他各指抱骨折遠端的內側向外捺正,助手同時 在牽拉下外展其上臂即可復位 (C)內收型骨折,術者兩拇指壓住骨折部向內推,其他四指使遠端外展,助手在牽引下將上臂內收即 可復位 (D)對合併肩關節脫位者,一定要先整復骨折,然後才能用手法推送肱骨頭
48 中醫傷科常用之「如意金黃散」係以下列何方所裁變? (A)四君子湯 (B)平胃散 (C)五苓散 (D)三黃散
49 有關小腿筋膜間隔區症候群分區之描述,下列何者錯誤? (A)前側間隔區壓力升高時,小腿前側腫脹壓痛,伸趾肌及脛前肌無力,被動屈趾引起疼痛,腓深神 經支分布區麻木 (B)外側間隔區壓力升高時,小腿外側腫脹壓痛,腓骨肌無力,外翻足部引起疼痛,腓神經深淺支分 布區感覺麻木 (C)後側間隔區淺層壓力升高時,小腿後側腫脹壓痛,比目魚肌及腓腸肌無力,背伸踝關節,前述肌 肉疼痛 (D)後側間隔區深層壓力升高時,小腿內側遠端,跟腱與脛骨之間腫脹壓痛,屈趾肌及脛後肌無力, 伸趾時引起疼痛,脛後神經分布區的皮膚感覺麻木
50 腰椎間盤突出症患者,如果小腿太陽經皮部感覺異常,其病灶最常見於那一椎間? (A) L2-3 (B) L3-4 (C) L4-5 (D) L5-S1
51 要觸診膝外側副韌帶時,可以令患者以坐姿將腿翹起,以便將踝部放到對側膝部之上(翹二郎腿), 這樣髂脛束便會放鬆,使外側副韌帶較容易獨立出來。在上述的情況下,髖部是處於什麼樣的狀態? (A)內收內旋 (B)內收外旋 (C)外展內旋 (D)外展外旋 代號:5112 頁次:8-6
52 35 歲女性家庭主婦,右手腕部橈側疼痛、微腫、提物乏力,尤其不能作提熱水瓶倒水等動作,以四 指握住拇指做尺偏動作時患處疼痛加劇,其最可能病症為何? (A)腕三角纖維軟骨損傷 (B)腕腱鞘囊腫 (C)腕舟狀骨骨折 (D)橈骨莖突狹窄性腱鞘炎
53 患者受傷之後,心慌心悸,心煩不寐,眠則多夢,惡夢易驚,煩躁易怒,脈弦細而數。應以何方治 療最佳? (A)歸脾湯加硃砂、麥冬、梔子 (B)天王補心丹 (C)丹梔逍遙散 (D)血府逐瘀湯加硃砂、石決明、代赭石
54 12 歲男童,嬉戲追逐時跌倒造成肘部骨折,右手肘腫脹、疼痛,肘部呈靴形畸形,但肘後肱骨內、 外上髁和鷹嘴三點關係仍保持正常,初步診斷發生骨折的部位,下列何者正確? (A)肱骨髁上 (B)肱骨外髁 (C)肱骨內上髁 (D)尺骨鷹嘴
55 如圖所示屬下列何種骨折?
(A)柯雷氏(Colles)骨折 (B)史密斯(Smith)骨折 (C)蓋氏損傷(Galeazzi injury) (D)孟氏損傷(Monteggia injury)
56 有關橈尺骨幹雙骨折的整復方法,下列敘述何者正確? (A)如骨折在上 1/3,則先整復橈骨;如骨折在下 1/3,則先整復尺骨 (B)若雖經牽引後重疊未完全糾正者,可用擠捏分骨手法加以復位 (C)若橈尺骨骨折斷端互相靠攏時,可用折頂手法 (D)若斜形骨折或鋸齒形骨折有背向側方移位者,應用回旋手法進行復位
57 下列有關「骨折不癒合」的敘述,何者錯誤? (A)骨折所需癒合時間再三延長後,骨折仍沒有癒合 (B)斷端仍有異常活動 (C) X 光片顯示骨折斷端互相分離、骨痂稀少 (D)兩斷端萎縮光滑,骨髓腔沒有封閉,骨端無硬化者
58 48 歲男性於台東海域從事捕抓龍蝦之工作已 25 年, 他從船上以壓縮空氣打入橡皮管作為呼吸管道,一天 在水面下 15 公尺處工作 4~5 小時。就診時雙腿行動 已有困難,須以枴杖或輪椅代步。X 光檢查如圖所示, 則其正確診斷應為下列何者?
(A)無菌性骨壞死 (B)金伯克氏病(Kienböck’s disease) (C)慢性骨髓炎 (D)骨腫瘤
59 47 歲男性患者抱怨清晨起床後即發生頸部疼痛,體檢時 發現其頸部向左旋轉正常,向右旋轉困難,頸部左側肌肉 有明顯壓痛點(如圖示)。依解剖學知識配合循經取穴之 理論,應選用下列何穴治療? (A)右合谷 (B)左合谷 (C)右中渚 (D)左中渚
60 47 歲女性患者抱怨腰酸背痛已經十多年,尤其清晨 起床時症狀特別明顯。醫師為其進行 X 光檢查發現 典型之變化如圖,其最可能之診斷為:
(A)退化性關節炎 (B)類風濕性關節炎 (C)僵直性脊椎炎 (D)骨質疏鬆
61 腎陰不足,目失所養,可導致下列何症? (A)
(B)
(C)
(D)
62 有關化學性眼外傷之敘述,下列何者錯誤? (A)受傷程度與預後,取決於化學物質的性質、形狀、濃度、量的多少、接觸時間的長短及當時的緊 急處理措施 (B)一般而言,酸性物質比鹼性物質嚴重 (C)發生當時,應以大量清水或生理食鹽水沖洗 (D)若無清水或自來水沖洗,井水或河水也可以
63 一患者主訴為準備考試,多日沒睡好,且為了方便三餐均吃 西式速食油炸物,今天早上起床,覺得眼部疼痛、腫脹(如 圖),則下列相關證治何者正確?
(A)風邪入裏,化熱,風熱壅阻,灼傷津液 (B)熱毒蘊伏,上攻胞瞼 (C)衛外不固,風邪侵瞼 (D)熱毒內壅,宜用仙方活命飲
64 近日眼科門診,出現大量眼睛紅腫疼痛的患者,患者通常全家均發病,眼瞼腫脹,白睛紅,眼分泌 物增加,但黑睛並無患痛,下列相關敘述何者錯誤? (A)本病發病急速,初感厲氣者,全身症狀多不明顯,內熱不重,宜驅風散熱飲子加減 (B)肺經燥熱者,宣散失職,宜用養陰清肺湯加減 (C)因肺胃積熱者,患眼灼熱疼痛,當用瀉肺飲加減 (D)外治可用黃連西瓜霜或千里光眼藥水
65 一患者上胞或下胞不能自控,抽動振跳,下列敘述何者錯誤? (A)心脾血虛之胞瞼振跳,時疏時頻,勞累時重,可以歸脾湯,補養心脾 (B)胞輪振跳不休,屬血虛生風,宜當歸活血飲加減,養血息風 (C)肺陰虛者,乾澀灼癢,宜清燥救肺湯加減 (D)久病過勞,損傷心脾,筋肉失養者可見
複選題
66 關於神祟疼痛的敘述,下列何者錯誤? (A)忽然發作,緣於肺肝風熱 (B)初起可用紫金膏,久則宜鈎割熨烙攻之 (C)平素無病,瞼皮火熱 (D)可服酒調洗肝散
67 有關瞳人乾缺內障之敘述,下列何者錯誤? (A)初患之時,疼痛難忍,細看則瞳人現出缺形,或上或下,或左或右,缺而不圓 (B)瞳人之色,黑白不定 (C)若其色為白,乃是腦脂流下為患 (D)若其色為黑,乃是膽熱肝虛,宜用瀉肝湯
68 下列那一本古籍最早記載耳道異物、氣道異物和食道異物的處理方法? (A)《傷寒論》 (B)《金匱要略》 (C)《肘後備急方》 (D)《千金翼方》
69 有關耳鼻喉口齒科瘤症的敘述,下列何者錯誤? (A)鼻咽部血管纖維瘤:瘤體長大後,會出現鼻塞、耳鳴、耳聾、耳痛、張口呼吸、吞嚥困難等症, 甚則引起視覺障礙 (B)唇部黏液腺囊腫:為口腔黏膜常見的一種囊腫,一般多發生於下唇 (C)痰包:舌下結腫如包,外表光滑,色淡黃,按之柔軟,有波動感 (D)喉瘤:在咽部多生於喉關兩旁和喉結的地方,發病迅速
70 耳眩暈的病因十分複雜,歸納起來,以何臟腑之虛居多?①肝 ②心 ③脾 ④肺 ⑤腎 膽 小腸 (A)①② (B)②④ (C)③⑤ (D)
71 臨床上常見之耳癤、耳瘡病,病因病理大致相同,下列相關之敘述何者錯誤? (A)耳癤偏於熱毒 (B)耳瘡偏於濕熱 (C)耳癤疼痛劇烈 (D)耳瘡呈局部性紅腫,並無滲液
72 鼻病,若證見鼻內肌膜腫脹而硬實、紫赤凹凸不平、持續鼻塞,為此經絡壅塞,在治療上應掌握何 種方法? (A)芳香通竅 (B)清熱解毒 (C)行氣活血 (D)清熱利濕
73 《素問.氣厥論》曰:「膽移熱於腦,則辛頞鼻淵。」鼻淵之症,其主要特徵為何? (A)鼻流清涕,如泉下滲,量多不止 (B)鼻流清涕,反覆發作,量少 (C)鼻流濁涕,如泉下滲,量多不止 (D)鼻流濁涕,反覆發作,量少
74 鼻槁,如因脾氣虛弱,氣血生化不足,應選用那兩方合用加減治療? (A)逍遙散合四物湯 (B)補中益氣湯合逍遙散 (C)六味地黃丸合八珍湯 (D)補中益氣湯合四物湯
75 「慢喉瘖」見聲帶腫脹不消或形成小結、瘜肉,其治則與方藥為何? (A)補益肺脾,益氣開音;補中益氣湯加味 (B)滋養肺腎,降火利喉開音;百合固金湯加減 (C)補益肺脾,利喉開音化痰;千金葦莖湯加減 (D)行氣活血,化痰開音;會厭逐瘀湯加減
76 「急喉風」在深呼吸時出現何處凹陷,稱三凹症? (A)咽喉、天突、膻中 (B)雲門、膻中、乳根 (C)天突、缺盆、肋間 (D)缺盆、肋間、乳根
77 「虛火乳蛾」的病位在何處? (A)咽部 (B)聲門 (C)喉核 (D)會厭
78 下列何者是牙宣的同義詞? (A)懸旗風 (B)牙棋風 (C)骨槽風 (D)食床
79 有關牙癰的敘述,下列何者正確?①牙癰嚴重者可使紅腫連及腮頰、下頜等處 ②牙癰發於盡牙處, 齒齦紅腫,焮熱疼痛,咀嚼時痛甚 ③未成膿者,局部可擦冰硼散,或用六神丸放於疼處,有清熱 解毒止痛之效 ④牙癰內服方藥,可視症狀辨證選用五味消毒飲、清胃湯、托裏消毒散、八珍湯 (A)①②③ (B)①②④ (C)①③④ (D)②③④
80 口舌潰爛,心中煩熱,面色紅,舌質紅,苔黃,經辨證結果,其病因病機最可能是下列何者? (A)風熱外邪侵犯 (B)熱毒壅盛於裏,熱困脾胃 (C)脾不化濕,濕熱熏蒸 (D)心火上炎,熏灼口舌
申論題 (0)
相關試卷
111年 - 111-2 專技高考_中醫師(二):中醫臨床醫學(三)(包括中醫外科學、中醫傷科學、中醫五官科學)#109951
111年 · #109951
111年 - 111-1 專技高考_中醫師(二):中醫臨床醫學(三)(包括中醫外科學、中醫傷科學、中醫五官科學)#106353
111年 · #106353
110年 - 110-2 專技高考_中醫師(二):中醫臨床醫學(三)(包括中醫外科學、中醫傷科學、中醫五官科學)#100612
110年 · #100612
110年 - 110-1 專技高考_中醫師(二):中醫臨床醫學(三)(包括中醫外科學、中醫傷科學、中醫五官科學)#96439
110年 · #96439
109年 - 109-2 專技高考_中醫師(二):中醫臨床醫學(三)(包括中醫外科學、中醫傷科學、中醫五官科學)#89484
109年 · #89484
109年 - 109-1 專技高考_中醫師(二):中醫臨床醫學(三)(包括中醫外科學、中醫傷科學、中醫五官科學)#82967
109年 · #82967
108年 - 108-2 專技高考中醫臨床醫學(三)(包括中醫外科學、中醫傷科學、中醫五官科學)#78362
108年 · #78362
108年 - 108-1 專技高考_中醫師(二):中醫臨床醫學(三)(包括中醫外科學、中醫傷科學、中醫五官科學)#74496
108年 · #74496
107年 - 107-2 專技高考_中醫師(二):中醫臨床醫學(三)(包括中醫外科學、中醫傷科學、中醫五官科學)#71175
107年 · #71175
107年 - 107-1 專技高考_中醫師(二):中醫臨床醫學(三)(包括中醫外科學、中醫傷科學、中醫五官科學)#67795
107年 · #67795