所屬科目:進階專科護理-一般外科
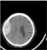
75.方同學 20 歲,在上體育課時不慎跌倒,頭部撞擊地上 隨即昏迷,送急診室急救並接受腦部電腦斷層檢查, 如圖(二)所示,請問你的臆斷為何? (A) Epidural hematoma ( EDH ) R't temporal (B) Epidural hematoma ( EDH ) L't temporal (C) Subdural hematoma ( SDH ) R't temporal (D) Subdural hematoma ( SDH ) L't temporal Vbfff 圖(二)