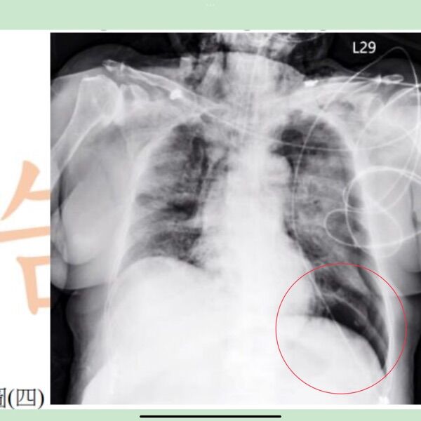
36. 76 歲病人曾因呼吸衰竭插上氣管內管並使用呼吸器輔助,呼吸器設定參數為 FiO2 100 %、 Pressure20cmH2O及PEEP10cmH2O;今日病人突然呼吸喘促,呼吸40次/分、心跳 125次/分、血壓 90 / 60 mmHg 、血氧飽和度 SpO288 %、皮膚濕冷及胸部X光檢查結果如圖 (四 ) 。下列後續處置何者最適當?(PEEP:positive end - expiratory pressure )
(A) 緊急重新設定呼吸器參數(提高PEEP),以提升血氧
(B) 緊急放置中央靜脈導管,給予升壓藥物,以提升血壓
(C) 緊急裝上葉克膜,以提升血氧及血壓
(D) 緊急插上胸管,以提升血氧及血壓
答案:登入後查看
統計: A(116), B(22), C(33), D(679), E(0) #3149621
統計: A(116), B(22), C(33), D(679), E(0) #3149621
詳解 (共 2 筆)
#6575258
可以發現CXR左下葉有出現明顯界線,且影像顯示較黑,疑似有氣胸,因此,需放置胸管,改善氧合。
0
0