所屬科目:進階專科護理-精神科
1. 有關腸道營養( enteral nutrition )的一般原則,下列敘述何者正確?①假如病人情況允許,靜脈營養應優先於腸道營養②管路灌食有腹瀉情形時,應使用止瀉藥及減少纖維素含量③鼻胃管放置錯位,包括插進氣管、支氣管,常發生在昏迷的病人④有長期管灌需求的病人,可以建議放置胃造廔管(A) ①② (B) ②③ (C) ③④ (D) ①④
2. 一位58歲男性罹患糖尿病15年,目前口服藥物控制,下列何者 不是 營養狀態評估的指標?(A) BMI (B) albumin (C) HbA1c (D) hemoglobin
3. 有關嚴重高血鉀合併心電圖改變的醫療處置,下列敘述何者 不適當 ?(A) 靜脈輸注葡萄糖酸鈣( calcium gluconate ),可以有效降低血清鉀離子濃度(B) 胰島素(regular insulin )與葡萄糖靜脈注射,可以使鉀離子移入細胞(C) 以NaHCO3等滲溶液靜脈輸注,可以改善代謝性酸中毒(D) 以 β2腎上腺素促效劑,可以促進細胞對鉀的攝取
4. 有關成年人的營養需求,下列敘述何者 不適當 ?(A) 蛋白質攝取量每日0.8 g/ kg,可以滿足97%成年人的需求(B) 對於重症病人,蛋白質攝取量至少每日1.2g/kg,以減少瘦體身體(lean body)質量流失(C) 身體質量指數25 - 29 kg/m2的成年人,其熱量需求為21 - 25kcal/kg/ day(D) 某些組織(如骨髓、眼睛等)不能代謝脂肪酸,需以葡萄糖(每日約40g)作為能量來源
5. 有關病毒性腦炎( encephalitis)感染,下列敘述何者 不適當 ?(A) 第一型單純皰疹病毒(HSV- 1)為最常見和最重要的病原(B) 臨床表現為發燒、意識狀態改變,合併性格改變或癲癇(C) 腦脊髓液分析應包括單純皰疹病毒和腸病毒聚合酶連鎖反應檢測(D) 磁振攝影常發現枕葉病灶,為HSV- 1最敏感的影像檢查
6. 有關胺基糖苷類( aminoglycosides)藥物,下列敘述何者 不適當 ?(A) 透過與細菌核糖體(ribosome )結合,在mRNA轉譯過程,抑制細菌蛋白質合成(B) 常與細胞壁活性藥物(如 β 內醯胺類)併用,用於治療嚴重感染(C) 在膿瘍( abscesses)的低 pH值/低氧環境中,仍保有良好的活性(D) 使用需注意發生不可逆腎毒性( nephrotoxicity)和耳毒性( ototoxicity)
7. 磺胺類藥物(trimethoprim/sulfamethoxazole:Baktar®),是廣效性抗生素,臨床 無法 治療下列何種病原?(A) 人類肺囊蟲(Pneumocystis jiroveci)(B) 大腸桿菌(E. coli)(C) 金黃色葡萄球菌( Staphylococcus aureus)(D) 綠膿桿菌(Pseudomonas aeruginosa )
8. 病人生命徵象為體溫 38.5 ℃、脈搏 120 次 / 分、呼吸 22 次 / 分、血壓 120 / 65 mmHg、WBC15000μL (seg 84.7%)、CRP 19.8mg/dL、指甲夾板出血及主動脈瓣區舒張期心雜音,下列何者為最可能的診斷?(A) bacterial peritonitis (B) myocarditis(C) pericarditis (D) bacterial endocarditis
9. 一位 70歲女性因暈厥被送至急診,圖(一)是此病人的心電圖,最有可能是下列何種心律?
(A) 一度房室傳導阻滯(first- degree AV block )(B) 二度房室傳導阻滯(second - degree AV block ),Mobitz type I(C) 二度房室傳導阻滯(second - degree AV block ),Mobitz type II(D) 完全性房室傳導阻滯( complete AV block )
10. 一位60歲女性因腹痛、噁心與嘔吐來急診。此病人有剖腹產與膽囊切除手術病史,其KUB如圖(二),請問最有可能的診斷為何?
(A) 沾黏性小腸阻塞( adhesive small bowel obstruction )(B) 大腸阻塞(large bowel obstruction )(C) 缺血性大腸炎(ischemic colitis)(D) 小腸憩室炎(small bowel diverticulitis)
11. 下列實驗室檢查結果,何者 不符合 腎前性急性腎損傷(prerenal acute kidney injury)的診斷?(A) 排鈉分率(fractional excretion of sodium,FENa )>1%(B) 尿液滲透壓( urine osmolality)>500mOsm/kg(C) 尿素氮和血清肌酸酐的比值(BUN:Cr ratio )>20(D) 尿素排出分率(fractional excretion of urea nitrogen ,FEUrea )<35%
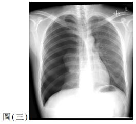
12. 一位 25歲男性因呼吸困難至急診就醫,主訴2天前工作撞擊到右側胸部,胸部X光檢查如圖(三),下列處置何者較適當?
(A) 立即給予右側胸管置入引流(B) 觀察呼吸困難狀況並給予肌肉鬆弛劑(C) 立即安排胸腔鏡手術治療(D) 安排胸部電腦斷層檢查確立診斷
13. 一位 68 歲男性因右上腹悶痛 3 天加劇,伴隨噁心,出現黃疸與發燒 ( 38.5 °C ) 而就醫。抽血檢查結果 WBC 16200 / μ L ( neutrophil 87 %,band form 9 % )、CRP 12.8 mg / dL、AST 38 U / L、ALT 45 U / L、total bilirubin 4.5 mg / dL。最有可能之診斷為何?(A) 病毒性肝炎 (B) 細菌性膽管炎 (C) 肝硬化急性發作 (D) 急性胰臟炎
14. 一位 38歲男性,罹患第二型糖尿病未規則治療,因意識改變就醫。抽血檢查結果血糖980mg/ dL、血清滲透壓350 mOsm/kg、ketone (定量) 0.1 mmol/L、lactate 1.9mmol/L,動脈血液氣體分析結果pH 7.36、PaCO₂ 41mmHg、 22mmol/L。根據以上數據,最可能的診斷為何?(A) 高滲透壓高血糖狀態 (B) 糖尿病酮酸中毒(C) 高乳酸酸中毒 (D) 正常代謝性酸中毒
15. 下列哪項檢驗最常用於判斷心衰竭嚴重程度的血清指標?(A) Troponin T (B) Myoglobin (C) BNP (D) Lactate
16. 一位 80 歲男性因肺炎併急性呼吸衰竭使用機械通氣 ( mechanical ventilation ) ,護理師發現呼吸器異常警示音、頸部可觸及皮下氣泡聲( crepitus)、呼吸音右側變弱,SpO ₂降至86 %。最可能的併發症及最恰當的處置為何?(A) 呼吸器相關肺炎;給予經驗性抗生素治療(B) 氣壓性傷害( barotrauma );通知醫師評估是否需胸管引流(C) 呼吸器脫落導致肺不張;立即重新連接呼吸器(D) 呼吸器異常同步( ventilator dyssynchrony);增加鎮靜劑改善病人適應度
17. 一位 65 歲男性因泌尿道感染併發寒顫與發燒入院,生命徵象為血壓 85 / 50 mmHg、體溫 37.8 °C、心跳 110 次 / 分、呼吸速率 24 次 / 分,尿量明顯減少。 SpO ₂為 98 %,乳酸值為4.2mmol/L。此時,作為專科護理師,下列哪項處置應優先執行?(A) 盡快安排病人立即接受腎臟超音波檢查,查明是否有水腎( hydronephrosis)(B) 給予退燒藥以降低病人不適(C) 快速給予靜脈輸注晶體溶液( crystalloid fluid ) 30mL/ kg以穩定血壓(D) 等待醫師評估後再決定是否使用升壓劑
18. 有關 4 種休克類型的病理機轉,下列敘述何者最適當?(A) 低血容量性休克是因血管阻塞,造成心臟無法有效射出血液(B) 心因性休克的主要機轉是心肌收縮力不足,導致心輸出量下降(C) 阻塞性休克常見於嚴重感染,造成微血管滲透性上升(D) 血管擴張性休克的特徵是前負荷增加,導致周邊灌流過度
19. 一位72歲男性因嚴重感染合併意識改變至加護病房治療,平均動脈壓 52mmHg,依體重給予生理食鹽水輸注30mL/kg後仍呈現低血壓。此時最適合的第一線升壓劑為何?(A) epinephrine (B) dopamine (C) norepinephrine (D) vasopressin
20. 院內心跳停止(in -hospital cardiac arrest,IHCA)後成功ROSC(恢復自發性循環)之病人,下列處置何者 不適當 ?(A) 常規給予lidocaine防止再次心律不整(B) 維持PaCO₂在35 - 45mmHg(C) 對STEMI病人或高度疑似STEMI病人做PCI治療(D) 將平均動脈壓控制在65mmHg以上
21. 一位58歲男性主訴胸悶、盜汗到急診,十二導程心電圖如圖(四)。目前血壓90/60mmHg、心跳52 次/分,無明顯肺部濕囉音。在等待心導管檢查的同時,下列處置何者 不適當 ?
(A) 監測生命徵象、建立靜脈路徑 (B) 給予低流量氧氣支持(若SpO₂<90%)(C) 給予硝酸甘油( nitroglycerin )緩解胸痛 (D) 安排右側心電圖以排除右心心肌梗塞
22. 有關抗精神病劑( antipsychotics)引發運動障礙的副作用與處理,下列敘述何者 錯誤 ?(A) 急性肌張力不全可以使用diphenhydramine (Benadryl®)注射治療(B) 眼睛上吊( occulogyric crisis)屬於急性肌張力不全的一種(C) 發生靜坐不能副作用時,不可使用lorazepam緩解(D) 使用clozapine出現藥物引發的巴金森氏症機率較小
23. 有關抗精神病劑惡性症候群(neuroleptic malignant syndrome,NMS),下列敘述何者 錯誤 ?(A) 典型的症狀是肌肉僵硬、高燒與自主神經系統的不穩定(B) 死亡率大約是20%(C) 支持性療法為主要治療方式(D) 臨床症狀之演進通常維持數週以上
24. 下列何種抗鬱劑 最不容易 導致性功能異常?(A) trazodone (B) bupropion (C) venlafaxine (D) imipramine
25. 下列何種抗鬱劑有治療糖尿病週邊神經痛的適應症?(A) paroxetine (B) bupropion (C) venlafaxine (D) duloxetine
26. 有關雙相情緒障礙症(躁鬱症)的病因與流行病學,下列敘述何者 錯誤 ?(A) 男女罹病率相當 (B) 具有較高的遺傳性(C) 多巴胺過低會造成躁症發作 (D) 血清素過低與鬱症發作相關
27. 有關雙相情緒障礙症(躁鬱症)的治療,下列敘述何者 錯誤 ?(A) 鋰鹽治療急性躁症時約要10至14天或更久,才可見症狀改善(B) 躁鬱症的鬱期時,bupropion相較其他抗鬱劑較不會引發躁症(C) 預防期時鋰鹽濃度維持在0.4 - 0.6或0.8- 1.0mmol/L,復發機率差不多(D) 當藥物治療都未見效,可改採電痙攣療法
28. 有關鋰鹽中毒的評估與治療,下列敘述何者 錯誤 ?(A) 中毒症狀輕微,可服用利尿劑加速移除體內的鋰鹽(B) 生理食鹽水靜脈注射可以有效降低鋰鹽濃度(C) 鋰鹽中毒早期症狀輕微,易造成醫師誤判(D) 剛服用半小時內,鋰鹽中毒可採洗胃方式處理
29. 有關鋰鹽所造成的副作用評估與處置,下列敘述何者 錯誤 ?(A) 多尿問題可能是因為腎因性尿崩症,需改用其他情緒穩定劑(B) 手部顫抖可先採減少劑量及控制咖啡因處理(C) 甲狀腺功能低下可補充甲狀腺激素而無需停用鋰鹽(D) 白血球增加可能有感染及生命危險,需立即處理
30. 有關苯二氮平( benzodiazepine ,BZD)的副作用與處理,下列敘述何者 錯誤 ?(A) 疲倦與嗜睡為常見的副作用(B) 合併酒精使用將增加逆行性失憶(retrograde amnesia )的風險(C) 鑑別BZD過量,可以使用拮抗劑flumazenil(D) BZD的安全劑量範圍很大,不易因為單獨過量使用而致命
31. 有關抗焦慮劑及安眠藥之使用,下列敘述何者 錯誤 ?(A) buspiron為非BZD的抗焦慮劑,較不會有鎮靜作用,但要服用1至2週才會出現效果(B) Z-Drugs,如zolpidem,因化學構造式和BZD不同,不會有記憶力缺損的問題(C) 高效價的clonazepam和alprazolam都可用於恐慌發作治療,但前者較不會有依賴現象(D) lemborexant是一新型態以食慾素( orexin)受體拮抗劑的助眠劑,已在台灣上市
32. 有關治療注意力不足過動症所使用之精神刺激劑 ( 例如: methylphenidate , Ritalin®) 的副作用,下列敘述何者 錯誤 ?(A) 可能會惡化運動障礙 (B) 食慾不振、失眠是主要的副作用(C) 會有明顯的生理戒斷症狀 (D) 劑量過高有可能出現中毒性精神病
33. 有關老年失智症用藥中,可逆轉性膽鹼脂酶抑制劑的副作用,下列敘述何者 錯誤 ?(A) 噁心是donepezil常見的副作用(B) 貼片劑型的rivastigmine無法減輕腸胃道副作用(C) rivastigmine可以透過隨餐服用來減輕噁心的副作用(D) donepezil可能會造成肌肉疼痛
34. 使用乙型腎上腺素拮抗劑 ( beta - adrenergic antagonist )治療精神症狀之適應症, 不包括 下列何者?(A) 情緒低落 (B) 靜坐不能 (C) 酒精戒斷 (D) 表演焦慮
35. 有關clozapine,下列敘述何者 錯誤 ?(A) 和葡萄柚汁一起使用,會造成藥物血中濃度升高近2倍(B) 可能會造成顆粒性白血球下降,特別是前4至8週(C) 治療難治型精神病(refractory psychosis)較其他抗精神病劑來得有效(D) 從低劑量開始使用以降低副作用,如每天100mg睡前使用
36. 有關鬱症(major depressive disorder)的治療,下列敘述何者 錯誤 ?(A) 藥物有反應的病人,持續使用4個月即可開始調降劑量(B) 維持療法中所使用的抗鬱劑劑量應和急性期劑量一樣(C) 難治型鬱症的病人就算不曾有躁症,仍可加上鋰鹽做添加治療( augmentation )(D) L-triiodothyronin (T3 )可用於難治型鬱症病人的添加治療
37. 有關抗精神病藥長效針劑的使用原則,下列敘述何者 錯誤 ?(A) risperidone (Risperdal Consta®) 2週注射1次,適應症為思覺失調症與雙相情緒障礙症(B) paliperidone (Invega Sustena®) 4 週注射 1 次,適應症為思覺失調症與雙相情緒障礙症(C) aripiprazole (Abilify Maintena®) 4週注射1次,適應症為思覺失調症與雙相情緒障礙症(D) paliperidone (Invega Hafyra®)可6個月注射1次,但其適應症只有思覺失調症
38. 有關影響精神疾病的人格因素,下列敘述何者 錯誤 ?(A) 受遺傳影響 (B) 人格自嬰幼兒期開始發展(C) 人格特質會影響精神疾病預後 (D) 養育方式與人格養成無關
39. 有關精神疾病的病因影響因子,下列敘述何者 錯誤 ?(A) 潛在因素( predisposing factor)是在病人發病前即存在的因素,例如:胎兒時期在子宮環境與產程的影響(B) 促發因素 ( precipitating factor )是指在精神疾病發作前不久發生的事件,例如:失戀(C) 續存因素(perpetuating factor)是疾病發作後使得病程加重或延長的可能因素,例如:與家人間的衝突(D) 保護因素(protective factor)是可以改善潛在因素、促發因素與續存因素的狀況,例如:遺傳基因
40. 有關精神疾病的遺傳學基因研究方式,下列何項 無法 明確區分遺傳與環境因素?(A) 家族風險研究(family risk study) (B) 領養研究( adoption study)(C) 基因研究( genetic study) (D) 雙胞胎研究(twin study)
41. 精神疾病的血清素研究發現,5-HTTLPR polymorphism可能與鬱症病人的自殺行為有關,此結果可能是從何種研究方法而獲得的結論?(A) 家族風險研究 (B) 雙胞胎研究 (C) 領養研究 (D) 基因研究
42. 有關思覺失調症的病因研究,下列敘述何者 錯誤 ?(A) 多巴胺假說認為正性症狀(妄想、幻覺)與多巴胺活性過高有關(B) 高情緒表達( high expressed emotion )與病人發病有高度相關(C) 家庭教養態度是發病的影響因子之一(D) 目前研究認為大麻並不會誘發思覺失調症
43. 有關憂鬱症的相關敘述,下列何者 錯誤 ?(A) 產後憂鬱症可能與荷爾蒙改變有關(B) 憂鬱症與血清素和正腎上腺素的活性異常機轉有關,但並未完全被證實(C) 典型症狀為憂鬱認知三元素:自我無價值感、無助感、無望感(D) 相較於西方國家,臺灣憂鬱症盛行率較低是因為少子化的影響
44. 下列何種大腦神經傳導物質活性偏低,與焦慮相關疾患最有關?(A) 血清素(serotonin ) (B) 多巴胺( dopamine )(C) 麩胺酸( glutamate ) (D) γ-胺基丁酸( γ- aminobutyric acid ,GABA)
45. 許多精神疾病如思覺失調症、鬱症、雙相情緒障礙症和腦神經結構功能相關,下列有關腦部影像證據的敘述,何者 錯誤 ?(A) 腦部白質神經細胞減少 (B) 腦部灰質神經細胞增加(C) 灰質的變化與疾病嚴重程度有關 (D) 灰質的變化與病程長短有關
46. 目前精神醫學在病因和治療以「生物-心理-社會模式」為主流觀點,下列敘述何者 錯誤 ?(A) 生物因子和心理社會因子分屬不同理論(B) 不同社會文化下精神症狀之表現大致相同(C) 精神疾病的評估與治療需同時考慮三者因素(D) 心理社會因子可能促發或加重疾病發生
47. 根據民國111年12月14日修正通過之「精神衛生法」的強制社區治療規定,下列敘述何者 錯誤 ?(A) 強制社區治療改由法院審理(B) 強制社區治療申請延長,只能延長1年不能再次延長(C) 消防機關須協助載送嚴重病人至指定辦理強制社區治療項目之機構或團體接受治療(D) 法院對於強制住院之聲請,認為未達應受強制住院程度,得裁定強制社區治療
48. 根據民國111年12月14日修正通過之「精神衛生法」的強制住院規定,下列敘述何者 錯誤 ?(A) 緊急安置期間為7日,強制鑑定應自緊急安置當日算起3日內完成(B) 延長強制住院聲請裁定次數,以1次為限,其延長強制住院期間,不得逾60日(C) 參審員應包括中央主管機關推薦之精神科指定專科醫師及病人權益促進團體代表各1人(D) 法院審理強制住院時,若法官覺得不須強制住院,參審員2人皆同意強制住院,結果還是通過強制住院
49. 根據民國111年12月14日修正通過之「精神衛生法」,有關嚴重病人相關條文何者 錯誤 ?(A) 嚴重病人定義為:病人呈現出與現實脫節之精神狀態,致不能處理自己事務,經專科醫師診斷認定者(B) 外國人若無本國身分證或居留證,就算符合嚴重病人或有自傷,不能申請強制住院(C) 嚴重病人診斷證明書,應記載1年至3年之有效期間(D) 嚴重病人有自傷或傷人之虞,保護人應協助辦理住院
50. 罹患思覺失調症之病人,在急性精神科病房時表現出負性症狀,如被動、懶散、缺乏自我照顧能力,為提升自我照顧與社交互動行為,護理師運用下列何種增強行為策略為宜?(A) 正向增強法 (B) 洪水療法 (C) 負向增強法 (D) 策略性敏感減法
51. 有關照護具有聽幻覺症狀的思覺失調症病人,下列何者 較不適當 ?(A) 病人描述其幻聽相關的內容、想法時,可同理其情緒感受(B) 避免向病人說明護理師並未經驗到相同的聲音刺激(C) 協助病人覺察幻覺是如何影響其日常生活(D) 與病人討論如何阻斷幻聽的方法
52. 照護具有妄想性思考障礙的病人,有關護理措施的敘述,下列何者較適當?(A) 安排不同的護理師照護,避免病人產生情感轉移(B) 與病人互動時,強調主動友善態度以建立關係(C) 在急性期,指導病人與症狀共存(D) 在復健期,教導辨識妄想症狀、因應妄想與紓解壓力的方法
53. 有關思覺失調症的流行病學與共病問題,下列何者正確?(A) 體重過重盛行率約20% (B) 代謝症候群的盛行率約80%(C) 物質使用障礙共病率約有50%以上 (D) 平均死亡年齡較一般人提早約5年
54. 患有雙相情緒障礙症的病人,常會出現要求的行為,某天半夜 12 點她仍要求打電話,護理師此時最適切之回應為何?(A) 不面對病人此無理的要求,讓其知難而退(B) 讓病人打一通電話,但時間限為5分鐘(C) 予以隔離,以保護病室之安靜(D) 告知已經過了打電話時間,引導病人上床睡覺
55. 患有鬱症的病人表示:「我不想繼續參加這個活動。」護理師:「活動不好玩嗎?」病人回答:「雖然有時活動很有趣,但我常覺得融入不了別人的話題。」護理師:「不能融入別人的話題讓你感到不舒服嗎?」,上述情境中,護理師使用的治療性溝通技巧為何?(A) 給予建議( offering advice ) (B) 讚許( giving approval)(C) 反映(reflection ) (D) 面質( confrontation )
56. 護理師在照顧躁症病人時,下列何者較為適當?①對病人要求盡量滿足 ②工作團隊維持一致態度③補充足夠的進食量 ④鼓勵參加比賽性之活動(A) ①② (B) ②③ (C) ①③ (D) ②④
57. 有關autistic spectrum disorder(ASD)的臨床照護,下列何者正確?(A) 出現不合宜的行為時予以隔離,以減少社交行為異常(B) 規定須參與病房社交互動,藉此提高社交動機(C) 讓病人自由發展社交技能,不過度干預(D) 規律的生活作息與盡量安排固定的工作人員,增加安全感
58. 有關阿茲海默症的藥物治療機轉,下列何項與其它項目 不相同 ?(A) donepezil (B) galantamine (C) memantine (D) rivastigmine
59. 臨床上以donepezil(Aricept®)治療阿茲海默症,其主要作用機轉為下列何項?(A) 改善腦部血循環 (B) 抑制乙醯膽鹼酯酶(C) 增加乙醯膽鹼分解代謝 (D) 改善體液電解質濃度
60. 有關阿茲海默症的症狀表現,下列敘述何者正確?(A) 通常是依序對人、時、地,產生定向感障礙(B) 記憶力的喪失依序為立即、近期、遠期記憶喪失(C) 記憶障礙症狀通常是病程中期開始出現(D) 白天因為刺激多,所以白天症狀較混亂
61. 下列何者 不是 簡易心智量表(mini-mental state examination ,MMSE)評估的功能表現?(A) 定向感 (B) 注意力 (C) 記憶力 (D) 情緒狀態
62. 精神科護理師進行護理評估,下列陳述何者正確?①問病人:有志者事竟成之含義為何?屬抽象能力評估②問病人:今天中午誰來看你?屬近期記憶評估③問病人:香蕉與蘋果有何不同?屬注意力評估④問病人:臺灣過年時大家都會作些什麼事?屬判斷力評估(A) ①②③ (B) ①②④ (C) ①③④ (D) ②③④
63. 有關自殺風險之敘述,下列何者正確?(A) 自殺死亡風險隨年齡增加而下降(B) 擁有致命工具屬於社會文化層面的危險因子(C) 住院病人在出院後一個月內,仍有極高的自殺風險(D) 所有精神疾病中,僅憂鬱症最易導致自殺行為
64. 有關重複透顱磁刺激術(repetitive transcranial magnetic stimulation ,rTMS),下列敘述何者 錯誤 ?(A) 主要是利用直流電直接經過頭顱,影響腦部磁場改變,達到刺激腦部的效果(B) 對於難治型鬱症治療具有充分的實證(C) 左側前額葉高頻rTMS刺激是常用的治療方式(D) 右背外側前額葉的低頻rTMS刺激也是常見的治療方式
65. 有關重複透顱磁刺激術(rTMS)的副作用與禁忌症,下列敘述何者 錯誤 ?(A) 常見的副作用包括:施打部位不適、局部疼痛(B) 間歇性theta波叢集型磁刺激(intermittent theta - burst stilmulation ,iTBS )與rTMS同樣是被國際準則推薦治療難治型鬱症(C) 癲癇、腦部有金屬植入物、動靜脈畸型都是禁忌症(D) 痙攣發作的風險很低,大約是千分之一
66. 與病人互動時護理師說:「當你聽到耳朵邊一直有人在談論你,你的感受是甚麼?」,下列何者為此時所運用的治療性溝通技巧?(A) 引導會談進行( offering general lead )(B) 拓寬話題( giving broad opening )(C) 鼓勵描述感受( encouraging description of perceptions)(D) 重述重點(restating)
67. 辯證行為治療(dialectical behavioral therapy,DBT)強調協助病人學習新的技巧,並將這些技巧融入生活環境中。常見的辯證行為治療技巧,下列敘述何者 錯誤 ?(A) 正念與察覺(mindfulness) (B) 情緒調節技巧( emotional regulation )(C) 痛苦耐受技巧( distress tolerance ) (D) 解構經驗( deconstruction experience )
68. 有關精神分析心理治療的重要理論與應用技巧,下列敘述何者 錯誤 ?(A) 主張病人內在的衝突來自於早期生活的不愉快經驗(B) 剖析防衛機轉,以協助了解病人心理與行為問題的根源(C) 將壓抑在潛意識下的衝突釋放,以改善內心的情結與焦慮(D) 著重協助病人覺察生命的意義,並學習為自己的生活負責
69. 有關團體治療工作期的成員反應和團體領導技巧,下列敘述何者 錯誤 ?(A) 團體成員可能會出現衝突或鬥爭,而有憤怒、不滿、焦慮的情緒(B) 領導者應維持團體的凝聚力,避免成員之間互相攻擊(C) 當受到成員質疑時,領導者應導正團體目標以避免和成員發生衝突(D) 鼓勵誠實表達負面情緒,允許害怕的成員暫時離開團體
70. 卡加利家庭處置模式(Calgary family intervention model,CFIM)目標為增進家庭功能在認知、情感及行為層面的效能,有關精神科護理師執行的步驟內容,下列敘述何者 錯誤 ?(A) 循環性問句 (B) 強調家庭及個人困境(C) 紓解及調適情緒反應 (D) 鼓勵敘事與喘息
71. 有關家庭系統治療(family system therapy)主張以系統性思維理解家庭整體運作過程,下列敘述何者錯誤?(A) 治療者以同儕的角色,利用家系圖領導多世代傳遞歷程(B) 個案偏差行為是整個家庭系統的產物,而非源自於個人(C) 個案在獨立與親密間的平衡,與原生家庭的自我分化度有關(D) 藉由修正三角關係,如父母與子女間的情感連結以改善家庭問題
72. 有關酒精使用對生理的影響,下列何者正確?(A) 酒精會增加腦內的血清素濃度(B) 長期飲酒導致NMDA受體增加,停酒後導致過度興奮(C) 酒精戒斷期間會降低交感神經活動(D) 戒斷時血中鎂離子升高,引發休克
73. 有關酒精依賴的藥物治療,下列敘述何者 錯誤 ?(A) disulfiram(戒酒發泡錠)與乙醇去氫酶產生不可逆的結合,可降低酒精渴求感(craving)(B) naltrexone主要是抑制內啡因( endorphins)的作用,而達到減癮的效果(C) acamprosate ( calcium acetylhomotaurinate )可降低飲酒的量,為GABA促動劑(D) acamprosate也可以減緩酒精戒斷的症狀
74. 物質成癮與大腦酬賞系統(reward system)密切相關,下列有關多巴胺( dopamine )與成癮的敘述,何者最正確?(A) 物質使用後,多巴胺釋放減少,使個體更容易放鬆(B) 長期物質濫用會導致多巴胺受體結合率降低、對非藥物刺激的愉悅感降低(C) 長期使用成癮物質會導致多巴胺系統敏感度提高,使人對日常愉悅感更強烈(D) 物質成癮者的多巴胺系統不會發生永久性變化,戒毒後可完全恢復正常
75. 一位剛入急性病房的病人,因想打電話通知家人辦理出院,情緒焦躁,跑到護理站前要求出院,對工作人員大聲謾罵,並企圖攻擊護理師,面對該情緒失控的病人,下列何者措施較適當?(A)「你的行為已經干擾到大家,若你不能控制自己的行為,我們只好把你綁起來」(B)「你已經嚴重違反病房住院規定,你再這樣無法自我控制,會更延長住院的天數」(C) 不用告訴病人要約束他,以免使他更生氣激躁,聯絡其他可以協助的工作人員,直接將病人約束(D)「你看起來很生氣,我們可以談一談嗎?若你仍然無法控制自己的情緒,我們暫時需用約束的方式協助你」
76. 病人不能接受前男友要與別人結婚,覺得活著沒意義,不如一死,遂以割腕及服藥方式自殺。有關照護此病人的重點,下列何者正確?①房間儘量安排靠近護理站 ②避免與個案討論自殺行為③評估病人自殺危險程度,採取密切觀察 ④與病人訂定不自殺契約(A) ①②③ (B) ②③④ (C) ①②④ (D) ①③④
77. 美國藥物濫用暨心理健康服務署認為創傷知情照護具備下列哪四個要素?①安撫 ②理解 ③辨認 ④情緒宣洩 ⑤回應創傷 ⑥預防再受創(A) ①③④⑥ (B) ②③④⑤ (C) ②③⑤⑥ (D) ①②③④
78. 一位已婚無業病人,長時間在家借酒消愁,與家人多次因飲酒問題而爭執,對家人勸導仍以打罵回應,甚至拿刀自殘,之後雙方互動減少。下列關於此案例行為敘述何者 錯誤 ?(A) 潛在危險性自殺行為,與自責、挫折、憂鬱有關(B) 潛在危險性對他人的暴力行為,與酒精戒斷症候群無關(C) 家庭運作失常,與家人關係疏離、家暴史及失業有關(D) 個人因應能力不良,與失業、無法照顧家庭、無法符合社會角色功能有關
79. 有關造成精神病人肥胖的原因與處置,下列敘述何者 錯誤 ?(A) 治療躁症發作的鋰鹽可能會造成過度肥胖(B) 選擇性血清素再回收抑制劑(SSRI)如paroxetine有體重增加的風險(C) 正腎上腺素與專一性血清素抗鬱劑( noradrenergic and specific serotonergicantidepressant,NaSSA)如mirtazapine,不會有肥胖的副作用(D) 若懷疑病人的體重增加與所服用的藥物不良反應有關,可與醫師討論調整藥物,換成比較不會增加體重的藥物
80. 有關精神病人的性傳染病風險,下列敘述何者 錯誤 ?(A) 可能與病人從事危險性行為或共用針頭有關(B) 與病人對於性衝動自控力低有關(C) 與雙相情緒障礙症病人使用鋰鹽有關(D) 與難以建立穩定的社交和性伴侶關係有關