所屬科目:進階專科護理-精神科
5. 陳先生因接受冠狀動脈繞動手術,正在服用plavix,他不斷地抱怨傷口疼痛,讓他整夜 都睡不好,下列哪一種藥物會建議優先投予來改善疼痛問題? (A) celecoxib(Celebrex ) (B) keorolac(Keto) (C) ibuprofen(Motrin ) (D) acetaminophen(Scanol )
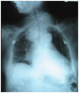
15. 李先生,70歲,罹甲狀腺癌,身體檢查時呈現呼吸喘、急促及窘迫,胸部X光(如附圖), 聽診時最可能發現下列何種狀況?
(A) crackles (B) mediastinal crunch(Hamman’s sign) (C) stridor (D) pleural friction rub