阿摩線上測驗
登入
首頁
>
一般醫學
> 98年 - 98 專技高考_法醫師:一般醫學#36883
98年 - 98 專技高考_法醫師:一般醫學#36883
科目:
一般醫學 |
年份:
98年 |
選擇題數:
100 |
申論題數:
0
試卷資訊
所屬科目:
一般醫學
選擇題 (100)
1 陳小弟是一位氣喘患者,因嚴重的呼吸道平滑肌收縮導致呼吸困難,送至醫院求診,檢查發現肺組 織的擴張程度(stretchability)仍屬正常,下列何種情況不會發生? (A)呼吸道阻塞處的肺通氣量(ventilation)與血液灌流量(perfusion)比值降低 (B)肺功能檢查之第一秒用力呼氣容積/用力肺活量(FEV
1
/FVC)<80% (C)肺順應性(lung compliance)增加 (D)功能性肺餘容量(functional residual capacity)增加
2 一名 58 歲男性,五天前開始陣發性胸悶。門診心電圖檢查發現於 leads V2-4 出現 Q 波,合併有 ST segment 昇高(elevation)及 T 波倒置(inversion),同時在 leads Ⅱ,Ⅲ,AVF 出現 ST segment 降 低(depression)。其診斷為何? (A)急性前壁心肌梗塞 (B)急性下壁心肌梗塞 (C)急性前壁及下壁心肌梗塞 (D)陳舊性前壁及下壁心肌梗塞
3 對移除內皮細胞之離體血管而言,若在不改變透壁壓(transmural pressure)的情況下增加趨動壓 (driving pressure),將導致下列何種結果? (A)血管阻力增加 (B)血管阻力下降 (C)血管阻力維持不變 (D)血管壁張力(wall tension)增加
4 下列何者與分辨兩點(two-point discrimination)感覺之神經傳遞路徑最有關聯? (A) Cerebellum (B) Medial lemniscus (C) Anterior column of spinal cord (D) Auditory cortex
5 (A)喪失左手痛覺與溫度覺 (B)喪失左手觸覺與本體覺(proprioception) (C)喪失左腳痛覺與溫度覺 (D)喪失左腳觸覺與本體覺
6 承上題:患者在運動系統可能出現之症狀為何? (A)喪失右手之隨意運動(voluntary movement) (B)喪失左手之隨意運動 (C)喪失右腳之隨意運動 (D)喪失左腳之隨意運動
7 有關骨骼肌在運動時疲勞情形的敘述,下列何者錯誤? (A)肌肉的疲勞可能與乳酸的堆積有關 (B)慢肌運動單位(slow-twitch motor units)是較不會疲勞的 (C)收縮能力的減弱通常是因為 ATP 顯著的耗盡所致 (D)肌肉疲勞現象與中樞神經系統有關
8 下列顱神經(cranial nerve)中何者不同時具有傳入神經(afferent nerve)與傳出神經(efferent nerve)? (A) Trigeminal nerve (B) Glossopharyngeal nerve (C) Vagus nerve (D) Hypoglossal nerve
9 右枕葉(right occipital lobe)損傷易導致何種視力損害? (A)只有左眼視力受損 (B)左眼之左視野消失或受損 (C)兩眼之左視野消失或受損 (D)右眼之右視野消失或受損
10 威而剛(Viagra)會加強nitric oxide(NO)作用,治療陽痿,主要是經由抑制陰莖那一種phosphodiesterase 酵素? (A) PDE Ⅰ (B) PDE Ⅲ (C) PDE Ⅴ (D) PDE Ⅵ
11 下列有關抗血栓成分 aspirin 之描述何者正確? (A)縮短 bleeding time (B)抑制血小板 thromboxane A2生合成 (C)抑制 warfarin 之作用 (D)抑制血小板 phospholipase A2之活性 代號:1116 頁次:8-2
12 下列何種抗癌藥物,患者服用後易產生呼吸困難、咳嗽、發燒及肺部浸潤的副作用? (A) Bleomycin (B) Doxorubicin (C) Vinblastine (D) Dacarbazine
13 下列何者為選擇性女性荷爾蒙受體調控分子(selective estrogen receptor modulator, SERM)並可用來 預防或治療骨質疏鬆症(osteoporosis)? (A) Calcitonin (B) RANKL(receptor activator of nuclear factor-κB ligand) (C) Calcitriol (D) Raloxifene
14 下列何種抗心律不整藥物,若是口服給予則不具療效? (A) Quinidine (B) Lidocaine (C) Verapamil (D) Phenytoin
15 下列何者為 atropine 中毒時的最佳解毒劑? (A) Physostigmine (B) Neostigmine (C) Edrophonium (D) Pilocarpine
16 Glucocorticoid 具有多種之抗發炎藥理機轉,下列何者錯誤? (A)誘發 lipocortin 之產生 (B)抑制 COX2 的表現 (C)抑制 cytokine 的合成及作用 (D)直接抑制 COX1 酵素
17 下列有關抗癲癇藥物 valproic acid 的描述,何者錯誤? (A) Valproic acid 與 lamotrigine 合併使用時,會加速體內 lamotrigine 的代謝作用 (B)高濃度的 valproic acid 具有增加細胞膜上鉀離子通透性的作用 (C) Valproic acid 對於 2 歲以下的幼兒容易發生肝臟的毒性 (D) Valproic acid 可用於治療失神性小發作
18 下列何種反應是導因於副交感神經系統的活化所致? (A)心跳增快 (B)血管收縮 (C)氣管收縮 (D)分泌 renin
19 帕金森氏症(Parkinsonism)主要表現為動態性顫抖、僵硬及走路困難等。下列相關敘述何者正確? (A)此病是由於腦中製造太多的多巴胺(dopamine)所致 (B)多巴胺可經由一連串酵素(enzyme)作用代謝成腎上腺素(epinephrine) (C)多巴胺合成並不需要酪氨酸(tyrosine)的參與 (D)病因和大腦底部中間核(medial ganglia)以及白質(substantia alba)腦細胞快速退化有關
20 膽固醇(cholesterol)是重要的心血管疾病危險因子,下列關於膽固醇的敘述,何者錯誤? (A)是肝臟合成 bile salts 的前驅物(precursor) (B)膽固醇是 steroid hormone 合成的前驅物 (C)膽固醇是由 acyl-CoA 合成的 (D) Mevalonic acid 是膽固醇合成之重要中間產物
21 一位 12 歲,台灣女孩有嚴重貧血,檢驗得知有嚴重 β 型球蛋白的缺失。這小孩最有可能的病是: (A) sickle cell anemia (B) thalassemia (C) pernicious anemia (D) vitamin B deficiency
22 原核細胞中合成 RNA 的酵素是: (A) RNA 聚合酶(RNA polymerase) (B) RNA 聚合酶 Ⅰ(RNA polymerase Ⅰ) (C) RNA 聚合酶Ⅱ(RNA polymerase Ⅱ) (D) RNA 聚合酶 Ⅲ(RNA polymerase Ⅲ)
23 請找出下列正確配對的名詞與解釋: a.基因組(genome) Ⅰ.染色體的套數為二 b.基因圖(genetic map) Ⅱ.生物體遺傳訊息的總稱 c.表型(phenotype) Ⅲ.生物體的基因組合 d.二倍體(diploid) Ⅳ.單套的對偶基因 Ⅴ.生物體的外型構造及表徵 Ⅵ.基因在染色體上的相對位置 (A) a-Ⅵ, b-Ⅲ, c-Ⅴ, d-Ⅱ (B) a-Ⅲ, b-Ⅳ, c-Ⅴ, d-Ⅰ (C) a-Ⅱ, b-Ⅵ, c-Ⅴ, d-Ⅰ (D) a-Ⅰ, b-Ⅵ, c-Ⅲ, d-Ⅴ
24 Cohesin 與 condensin 這兩種蛋白質在細胞內的主要功能為: (A)穩定染色體結構(chromosome structure) (B)保護 RNA (C)保護蛋白質 (D)穩定脂質(lipid)
25 一位新生兒有輕微脊柱裂(spina bifida),最可能是母體於懷孕期間缺乏何種維生素所致? (A)生物素(biotin) (B)葉酸(folate) (C)核黃素(riboflavin) (D)硫胺(thiamine)
26 α-螺旋(α-helix)是一種常見的蛋白質二級結構,有關其氫鍵(hydrogen bonds)之敘述,何者正確? (A)通常與螺旋的軸(axis)互成垂直 (B)通常與螺旋的軸互成平行 (C)只會在螺旋的胺基末端(amino terminal)出現 (D)只會在螺旋的羧基末端(carboxyl terminal)出現 代號:1116 頁次:8-3
27 下列何者不是造成蛋白質變性(protein denaturation)的因素? (A)高溫 (B)強酸或強鹼的環境 (C)界面活性劑(detergents,如 SDS 等)的添加 (D)與分子伴護蛋白(molecular chaperones)的結合
28 細胞仰賴生物細胞膜上不同的運輸方式(membrane transport),藉此調控不同分子的進出,其中必 須利用離子梯度(ion gradient)作為能量來源的運輸方式為: (A)加速型滲透(facilitated diffusion) (B)被動運輸(passive transport) (C)初級主動運輸(primary active transport) (D)次級主動運輸(secondary active transport)
29 下列那一種病毒常僅感染單眼,並可能復發並導致永久之疤痕(scarring)、角膜受損(corneal damage) 及失明(blindness)? (A)麻疹病毒(measles virus) (B) B 型肝炎病毒(HBV) (C)單純疱疹病毒一型(herpes simplex virus-1) (D)腺病毒(adenovirus)
30 可存活在游泳池,而使人感染結膜炎的病毒,是何種病毒? (A)正黏液病毒(orthomyxovirus) (B)副黏液病毒(paramyxovirus) (C)小病毒(parvovirus) (D)腺病毒(adenovirus)
31 下列何者不是 RNA 病毒? (A) Hepatitis A virus (B) Hepatitis B virus (C) Hepatitis C virus (D) Hepatitis D virus
32 下列何者不是藉由空氣傳染的疾病? (A) Pertussis (B) Diphtheria (C) Tuberculosis (D) Leprosy
33 下列何種疾病之病原菌最無法在人與人之間傳染? (A)梅毒(syphilis) (B)肺鼠疫(pneumonic plague) (C)肺結核(pulmonary tuberculosis) (D)龐地克熱(Pontiac fever)
34 細菌利用葡萄糖發酵時,主要之中間產物為下列何者? (A)醋酸(acetate) (B)丙酮酸(pyruvate) (C)乳酸(lactate) (D)丙酸(propionic acid)
35 在第一型過敏反應中受到抗原結合而產生去顆粒化(degranulation)反應的細胞為: (A) T 淋巴細胞(T lymphocyte) (B)肥大細胞(mast cell) (C)自然殺手細胞(natural killer cell) (D)嗜中性球(neutrophil)
36 急性風濕熱(acute rheumatic fever)是細菌感染後的關節炎、心肌炎及心瓣膜炎,其成因為何? (A)風濕因子-IgG 複合體(rheumatoid factor-IgG complexes)引起的免疫複合體疾病(immune complex disease) (B) T 細胞對於心臟及關節抗原的攻擊(T cell-mediated disease)引起之組織破壞 (C)抗鏈球菌抗原(streptococcal antigen)之抗體與心臟及關節組織結合引起之組織破壞 (D)細菌感染侵犯心臟及關節組織,引起之組織破壞
37 人類免疫缺損病毒(HIV)會感染 CD4+ T 細胞,相對地,EB 病毒(Epstein Barr virus)會感染下列 何種細胞? (A) B 細胞 (B)巨噬細胞 (C)嗜中性球 (D)嗜鹼性球
38 有關細胞激素功能的敘述,下列何者錯誤? (A)通常單一細胞激素只具有單一功能 (B)不同細胞激素對相同細胞有相同作用,這現象稱為 redundancy (C) IL-4 與 IL-5 可以一起幫助 B 細胞產生更多量 IgE,比起各自作用在 B 細胞產生的 IgE 還多,這稱 為 synergy (D) IL-4 與 IFN-γ 會互相抑制對方功能,這稱為 antagonism
39 比較第一型與第二型主要組織相容性複合體(MHC class Ⅰ and class Ⅱ)與抗原蛋白片段結合的敘 述,下列何者正確? (A) class Ⅰ主要負責呈現抗原蛋白片段給 CD8 T 細胞 (B) class Ⅰ通常結合較長的胜肽鏈抗原蛋白片段 (C) class Ⅱ結構上是以一條胜肽鏈與抗原蛋白片段結合 (D) class Ⅱ主要結合並呈現內源性抗原
40 「Anergy」之定義為何? (A)殖株選擇(clonal selection) (B)殖株消滅(clonal deletion) (C)殖株擴張(clonal expansion) (D)殖株不活化(clonal inactivation) 代號:1116 頁次:8-4
41 一位病人最近被醫師診斷為高血壓並給予單一藥物治療,之後病人常覺得喉嚨癢癢的以及咳嗽,醫 師開的最可能是那一類的降血壓藥物? (A)乙型交感神經阻斷劑(β-blockers) (B)鈣離子阻斷劑(calcium channel blockers) (C)血管張力素轉換酶抑制劑(angiotensin converting enzyme (ACE) inhibitors) (D)利尿劑
42 在評估將接受外科手術的病人時,下列何者不是易併發心臟病的高危險因子? (A)缺血性心臟病(ischemic heart disease) (B)糖尿病(diabetes mellitus) (C)消化性潰瘍(peptic ulcer) (D)腎功能失全(renal dysfunction)
43 下列何種情形不能確立「急性冠狀動脈症候群」之診斷? (A)突發呼吸困難,心電圖呈現新的右束支傳導阻滯 (B)心絞痛患者最近兩天胸悶程度加劇,且運動耐受性降低 (C)呼吸困難持續一天。心電圖並無 ST 節段變化。心肌酵素 CK 與 Troponin Ⅰ值升高為正常上限值 之 5 倍 (D)打網球時突發胸痛延伸至下顎,合併有心電圖Ⅱ, Ⅲ, 與 aVF 導程 ST 節段下降
44 下列有關血清癌胚抗原(carcinoembryonic antigen, CEA)的敘述,何者錯誤? (A)抽菸的人 CEA 可能會輕度上升 (B) CEA 必須上升才能下大腸直腸癌之診斷 (C)大腸直腸癌病人,手術前都要檢測 CEA,以為術後追蹤比較之用 (D)大腸直腸癌病人,手術後 CEA 如未降到正常,表示可能切除不完全
45 下列何者為最常見之良性肝腫瘤? (A)血管瘤(hemangioma) (B)局部結節性增生(focal nodular hyperplasia) (C)腺瘤(adenoma) (D)肝膿瘍(liver abscess)
46 下列何者最不可能是肝癌的 paraneoplastic syndrome? (A)高血鈣(hypercalcemia) (B)高血膽固醇(hypercholesterolemia) (C)高血糖(hyperglycemia) (D)紅血球增多症(erythrocytosis)
47 下列有關大腸息肉(polyps)的敘述,何者錯誤? (A)增生性(hyperplastic)息肉,一般小於 5 mm,在乙狀結腸及直腸最多 (B)進行性(advanced)息肉,指腺瘤(adenoma),大於 1 公分、絨毛狀組織多、有高度細胞發育不 良(high grade dysplasia)時,其癌變可能性較高 (C)正常黏膜長出腺瘤平均要 5 年,由腺瘤長成腺癌要 10 年左右,所以大腸鏡息肉切除及定期追蹤有 其角色 (D)有增生性息肉的人除息肉切除外,每年要大腸鏡追蹤檢查一次,可以防止大腸癌的產生
48 長期臥床的老年人發燒,下列何項身體檢查發現最可能解釋發燒的原因? (A)足踝有輕度水腫(ankle edema) (B)右下肺有痰音(rhonchi) (C)前胸部主動脈區有收縮期射出性雜音(systolic ejection murmur) (D)上肢有些許瘀青(bruise)
49 乙醯膽鹼抗體(antibodies to acetylcholine receptor)存在於那個疾病? (A)多發性肌炎(polymyositis) (B)重症肌無力(myasthenia gravis) (C)與癌症有關之肌肉病變(Lambert-Eaton myasthenic syndrome) (D)肉毒桿菌中毒(botulism)
50 除糖尿病併發之多發性神經炎外,何者為最常見之後天性多發性神經炎? (A) Chronic inflammatory demyelinating polyradiculoneuropathy(CIDP) (B) Guillain-Barré syndrome(AIDP) (C) Multifocal motor neuropathy (D) Charcot-Marie-Tooth disease
51 翁先生 53 歲,罹患運動神經元疾病(motor neuron disease),下列何種藥物可能有效? (A) Carbamazepine (B) Riluzole (C) Beta-interferon (D) Choline
52 在一次大腿骨折後 2 天,病人經歷了意識混亂,半身偏癱,發燒及痰液帶血絲,應該懷疑: (A)轉移性腦部膿瘍(metastatic cerebral abscess) (B)併發性硬腦膜下血腫(associated subural hematoma) (C)腦部脂肪栓塞(cerebral fat embolism) (D)創傷性腦栓塞(traumatic cerebral thrombosis) 代號:1116 頁次:8-5
53 王老先生罹患路易氏體失智症(dementia with Lewy bodies, DLB),近日發生譫妄、失眠,並有明顯 被害妄想及視幻覺,被家人送到急診室,初步血液檢查顯示鈉鉀氯電解質正常,肝腎功能正常,白 血球數 2,800/mm3 ,血色素 12 g/dL。下列藥物何者最適當? (A)好度(holoperidol) (B)冬眠靈(chlorpromazine) (C)可致律(clozapine) (D)賜樂康(quetiapine)
54 關於精神分裂症之生物病因,一般認為是下列何種神經傳導物質(neurotransmitter)異常所造成? (A)多巴胺(dopamine)過多 (B)多巴胺過少 (C) γ-胺基丁酸(γ-aminobutyric acid, GABA)過多 (D)血清素(serotonin)第二受體(5-HT2 receptors)功能減少
55 下列有關重鬱症(major depressive disorder)的良好預後因子,何者正確?①穩定的家庭功能 ②合 併酒精與物質濫用 ③超過一次以上的憂鬱症發作 ④無精神病症狀 (A)①② (B)①④ (C)②③ (D)③④
56 有關皮膚病的檢查,下列敘述何者錯誤? (A)要診斷異位性皮膚炎(atopic dermatitis),可做貼布試驗(patch test) (B)診斷黴菌,可刮皮屑(scrap)溶解於 KOH 後在顯微鏡下觀察 (C)診斷疥瘡(scabies),可取皮膚檢體在顯微鏡下觀察 (D)要診斷單純疱疹病毒感染(herpes simplex virus infection),可做 Tzanck smear
57 有關脂漏性角化症(seborrheic keratosis)(如圖)的敘述, 何者錯誤?
(A)好發於老人 (B)好發於容易照射到陽光的皮膚 (C)容易轉變成鱗狀細胞癌(squamous cell carcinoma) (D)可以用冷凍(cryotherapy)或是電燒等方式治療
58 一位 36 歲健康男性,長期在眉毛、鼻側及髮際處有輕微搔癢、脫屑之紅色斑塊,如圖所示,情形時 好時壞,最近膽結石開刀住院後情況更嚴重,下列診斷何者最有可能?
(A)異位性皮膚炎 (B)缺脂性皮膚炎 (C)脂漏性皮膚炎 (D)接觸性皮膚炎
59 腦中風病人發生左右方向弄不清楚,空間、距離與定位失常,其病變位置最可能發生在下列何處? (A)額葉(frontal lobe) (B)基底核(basal ganglion) (C)枕葉(occipital lobe) (D)頂葉(parietal lobe)
60 製作膝下截肢患者所穿戴的膝下義肢套筒(socket)時,下列那一個部位要注意避開過多的壓力? (A)髕骨韌帶(patellar tendon) (B)膕後窩(popliteal fossa) (C)膕旁肌肌腱(hamstring tendon) (D)腓骨外側面(lateral fibular surface)
61 下列那一種管灌食品最適用於慢性阻塞性肺病(COPD)的病患? (A)含脂肪比率較高的管罐食品 (B)含蛋白質比率較高的管罐食品 (C)含碳水化合物比率較高的管罐食品 (D)含維生素比率較高的管罐食品
62 有關止血帶(tourniquet)的使用,下列何者錯誤? (A)止血帶的壓力用於上肢約 225 到 250 mmHg(對於大人),對於小孩約為 200 mmHg (B)止血帶在開完刀鬆開時馬上電燒止血 (C)持續的止血帶使用不可超過 3 個小時 (D)對於高血壓的病人,止血帶的壓力要大於收縮壓 100 mmHg 代號:1116 頁次:8-6
63 主動脈內氣球幫浦(intraaortic ballon pump)是一種左心室輔助循環工具,但它的作用機轉不包括下 列何項? (A)冠狀動脈血流增加 (B)腦部動脈血流增加 (C)左心室後負荷(afterload)減少 (D)心肌氧氣消耗量減少
64 關於肺部黴菌感染的敘述,何者錯誤? (A)免疫不全患者最常感染 aspergillosis (B)須和癌症作區分,而作手術切片 (C)應使用手術方式切除所有病灶 (D)最初應使用藥物治療
65 於腹腔鏡手術中,pneumoperitoneum 對呼吸系統所產生的 physiologic effects 之敘述,下列何者錯誤? (A)↓peak airway pressure (B)↓pulmonary compliance and vital capacity (C) superior displacement of the diaphragm (D)↑end-tidal CO2
66 有關良性乳部病灶之敘述,何者錯誤? (A)單純性囊腫(cyst),被抽吸出來的標本若為清液則必定要送病理細胞檢驗以確定是否有惡性細胞存在 (B)止痛藥通常可控制纖維囊腫(fibrocystic disease)引起之乳房疼痛 (C)假若囊腫(cyst),抽出液為血樣,則此病灶應作組織學診斷 (D)纖維囊腫(fibrocystic disease)之乳房疼痛通常發生在月經來前 7~10 天左右,月經來後就慢慢消失
67 下列那一有關先天性橫膈膜疝氣的說法正確? (A)約 80%發生在右側,20%發生在左側 (B)約 80%發生在左側,20%發生在右側 (C)約 80%發生在單側,20%發生在雙側 (D)左側及右側的發生率相同,雙側很少
68 28 歲王小姐,於三天前有突發性左胸痛,並感覺呼吸困難,在急診處,經胸部 X 光檢查發現有氣胸 現象,下列何者最正確? (A)不需詢問月經史 (B)不需詢問創傷病史 (C)可能是橫膈膜有破洞(fenetration)造成 (D)女性荷爾蒙治療無效
69 28 歲女性病患,一年前因闌尾炎穿孔(perforated appendicitis)而切除闌尾,術後已回復正常生活。 此次到診前一週發現排便量突然減少,四天前開始腹脹,一天前開始噁心並且吐出淡綠色嘔吐物, 同時有陣發性腹部絞痛;身體檢查發現腹脹,無明顯的壓痛或反彈痛(rebounding pain);腹部聽診 有高頻金屬音(high-pitched metallic sound)。根據病史,下列那一項診斷最可能? (A)急性腸胃炎(acute gastroenteritis) (B)急性膽囊炎(acute cholecystitis) (C)黏連性腸阻塞(adhesive ileus) (D)急性胰臟炎(acute pancreatitis)
70 下列有關神經病變性疼痛(neuropathic pain)之特徵的敘述,何者錯誤? (A)這類疼痛通常伴隨進行性的組織破壞 (B)常伴隨不愉快感受(dysesthesia)及有灼燒或觸電感 (C)常造成一區域之知覺缺失及有 allodynia 之出現 (D)會有特發性之射擊性(shooting)或刺入性(stabbing)疼痛
71 一位原本健康的 59 歲女性在全身麻醉下進行臉部美容手術時,突然發生心室心律過速(ventricular tarchycardia),血壓為 120/75 mmHg。下列何者為最不適當之處置? (A) Lidocaine 60 mgⅣ (B) Overdrive pacing (C) Amiodarone 150 mgⅣ (D)藥物無效時可考慮電擊整律(electrical cardioversion)
72 下列那個因素不會加強類鴉片麻醉藥物(opioid)的呼吸抑制作用? (A)老年人 (B)過度換氣(hyperventilation),血碳酸過低(hypocapnia) (C)呼吸性酸中毒(respiratory acidosis) (D)與 droperidol 合併使用
73 下列何種情形不會產生含鈣腎結石症(calcium nephrolithiasis)? (A)尿液鈣離子濃度增加 (B)尿液尿酸濃度減少 (C)尿液草酸濃度增加 (D)尿液檸檬酸濃度減少
74 當一病患接受經直腸超音波定位攝護腺細針切片後,病理報告為高度分化攝護腺管內贅瘤(high grade prostatic intraepithelial neoplasm)時,下一步最合理的處置方式為: (A)進行腫瘤期別鑑定檢查,如骨骼掃描、骨盆電腦斷層掃描(CT scan)等 (B)進行攝護腺根除手術(radical prostatectomy) (C)進行攝護腺之放射治療(radiation therapy) (D)仍持續定期追蹤 PSA 濃度 代號:1116 頁次:8-7
75 關於下尿路的神經調控敘述,何者錯誤? (A)膀胱脹尿的感覺主要由膀胱中的 C-fiber 接受刺激後經骨盆神經傳入脊髓 (B)控制膀胱收縮的副交感神經是由薦椎脊髓第二至第四節發出 (C)控制外尿道括約肌的運動神經元位於脊髓腹角的 Onuf 神經核 (D)由腰椎脊髓發出的交感神經主要作用為抑制膀胱體收縮
76 關於急性膀胱炎,下列敘述何者錯誤? (A)男多於女 (B)大腸菌是最常見的致病菌 (C)一般立即做尿液細菌培養 (D)一般給抗生素或抗菌劑 3~5 天
77 肘部向後脫位的神經傷害,最常發生在: (A)正中神經 (B)肌皮神經 (C)腋神經 (D)後骨間神經
78 骨折後併發脂肪栓塞(fat embolism),下列何者不是其臨床表徵? (A)呼吸速度變慢(bradypnea) (B)心跳速度加快(tachycardia) (C)神智改變(mental status change) (D)低氧血症(hypoxemia)
79 下列何種病徵和先天性髖關節脫臼(congenital dislocation of hip)沒有相關? (A) Allis’ sign (B) Hart’s sign (C) Telescoping sign (D) Patrick’s sign
80 下列關於腰椎滑脫(spondylolisthesis)的敘述,何者錯誤? (A)退化性滑脫通常移位超過 25% (B)若移位小於 25%且沒有症狀,則不用手術治療 (C)若移位超過 50%,則建議手術治療 (D)小孩比大人容易有 hamstring tightness 的症狀
81 有關退化性關節炎(osteoarthritis, OA)的敘述,何者正確? (A) OA 是所有關節炎中最常見的一種,造成的原因除了老化外,肥胖、外傷甚至晚期類風濕性關節 炎,或骨頭壞死(osteonecrosis)也會造成 (B) OA 疼痛的原因主要是關節軟骨磨損,造成軟骨內的神經受刺激引發疼痛感 (C)葡萄糖胺(glucosamine)是膝蓋軟骨內的重要成分之一,在退化性關節炎的病人裡,因軟骨磨損 而減少,應盡早補充有助軟骨新生及修補所需 (D)關節內注射玻尿酸(hyaluronic acid)具潤滑及止痛的效果,超過八成以上嚴重 OA 的病人其疼痛 可獲改善
82 有關股骨頭缺血性壞死(avascular necrosis of femoral head)之敘述,下列何者錯誤? (A)好發於 30~40 歲,男性比女性多,有 50%兩側同時發生 (B)致病機轉主要是股骨頭的血液供應改變,造成缺血性病變而進一步壞死 (C)血液不易凝結(hypocoagulable state)亦為可能病因 (D)早期的股骨頭壞死可用核心減壓術(core decompression)治療,晚期則大多須人工髖關節置換手術
83 有關敗血性關節炎(septic arthritis)的敘述,下列何者錯誤? (A)最常發生的關節是膝蓋(knee) (B)大多數的致病菌是 Staphylococcus aureus (C)細菌進入關節 48 小時後開始破壞軟骨 (D) interleukin-1 是破壞軟骨的重要原因
84 一個 48 歲的女士,最近經常在半夜因為右手麻而醒過來,將手甩一甩或是把手泡在溫熱水中似乎有 改善,檢查發現右手掌魚際肌萎縮,第一至第三指腹麻木感,請問最有可能的診斷是下列何者? (A)腕隧道症候群、正中神經受到壓迫 (B)類風濕性關節炎、尺神經受到壓迫 (C)頸椎椎間盤突出壓迫第 6、7 對頸部神經 (D)因睡姿不正確,壓迫引起臂索神經叢症候群
85 下列那一條血管位於下鼻道後方外側壁上,常為鼻道後方出血(posterior epistaxis)的原因之一? (A)前篩動脈 (B)後篩動脈 (C)大腭動脈 (D)蝶腭動脈
86 下列何者為喉骨架唯一完整環狀構造(complete circle)之軟骨? (A)甲狀軟骨(thyroid cartilage) (B)環狀軟骨(cricoid cartilage) (C)杓狀軟骨(arytenoid cartilage) (D)會厭軟骨(epiglottis cartilage)
87 24 歲男性主訴數日來右耳耳廓出現小水泡。隨著水泡數目增加及破裂,耳部疼痛感加劇,並有右耳 聽力障礙及右側眼皮無法完全閉合之現象。實驗室檢查可見下列何種病毒之抗體增加? (A)鼻病毒(rhinovirus) (B)單純疱疹病毒(herpes simplex virus) (C)帶狀疱疹病毒(varicella-zoster virus) (D)腺病毒(adenovirus)
88 一個 1 歲大的嬰兒被診斷為 bacterial meningitis,在細菌培養的結果未出來之前,最合適的 initial antibiotic therapy 為: (A) Ampicillin+gentamicin (B) Ceftriaxone (C) Vancomycin (D) Vancomycin+ceftriaxone
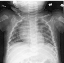
89 一個 6 個月大的嬰兒因為咳嗽 3 天就診,肺部與心臟 聽診正常,胸部 X 光片如圖所示。下列那一項最符合 胸部 X 光所見?
(A) Lobar pneumonia (B) Atelectasis of lung (C) Prominent thymus shadow (D) Cardiomegaly
90 剛出生一分鐘的新生兒:心跳每分鐘 95 下,周邊手腳發紺,呼吸淺快且不規則,對刺激無反射,肌 肉張力有稍微彎曲反應。其 Apgar score 應給幾分? (A) 2 分 (B) 4 分 (C) 6 分 (D) 8 分
91 一位 8 個月大的男童因為從出生以後即疑似有鬥雞眼現象前來就診,做 corneal light reflex test 發現角 膜反光亮點對稱出現於雙眼瞳孔正中央。下列那一項是最常見的原因? (A) Pseudostrabismus (B) congenital esotropia (C) congenital exotropia (D) transient strabismus of infancy
92 一位 42 週大的嬰兒出生時被發現羊水有濃稠胎便,並且嘴唇發紫、呼吸微弱、心跳每分鐘為 70 下, 此時首要之步驟是: (A)胸外心臟按摩以維持心跳 (B)提供氧氣以提昇血氧濃度 (C)給予正壓呼吸以幫助呼吸 (D)插入氣管內管並抽吸胎便
93 下列關於腸管迴轉異常(malrotation)之敘述,何者錯誤? (A)出生即出現症狀 (B)嘔吐是常見的症狀 (C)合併腸扭結之預後較差 (D)短腸症(short bowel)是開刀後常見的後遺症
94 下列何者不是糖尿病孕婦可能引起的併發症? (A)羊水過多 (B)胎兒子宮內死亡 (C)新生兒高血糖 (D)子癲前症機率較高
95 一位 50 歲的婦女因子宮頸癌第 Ib1 期,接受根除性子宮全切除及骨盆淋巴腺摘除術,術後曾以導管 引流尿液,現在是術後 9 週,還無法解尿;但在活動、咳嗽、打噴嚏時卻有漏尿的現象,她的漏尿 最可能是: (A)尿急性尿失禁(urge incontinence) (B)應力性尿失禁(stress incontinence) (C)溢流性尿失禁(overflow incontinence) (D)輸尿管陰道管(ureterovaginal fistula)
96 右圖最有可能的診斷是:
(A)子宮脫出 (B)前置胎盤 (C)子宮頸肌瘤 (D)大腸癌
97 腹腔鏡手術在肚臍穿刺放攝影鏡入腹腔後,看到骨盆腔無任何黏連時,第二支穿刺針放置部位應如 何才可避免傷到 inferior epigastric vessels 等? (A)耻骨聯合上方 3 公分及離中線 5 公分處 (B)耻骨聯合上方 3 公分及離中線 12 公分處 (C)耻骨聯合上方 5 公分及離中線 8 公分處 (D)耻骨聯合上方 1 公分及腹直肌內側
98 陳小姐今年 25 歲未婚,經婦產科診所醫師診斷有子宮內膜異位症。她在網路上搜尋到很多關於子宮 內膜異位症的症狀表現,來門診尋求專業解答。下列敘述何者正確? (A)有子宮內膜異位症的婦女都至少有經痛的症狀 (B)有經痛的婦女都有子宮內膜異位症 (C)經痛的程度和子宮內膜異位症的嚴重度並非在所有病人身上皆為正相關 (D)月經來時的腸胃症狀如腹脹、想吐及腹瀉和子宮內膜異位症無關
99 59 歲停經婦女,已服用荷爾蒙療法(Premarin 0.625mg+Provera 5mg)5 年,高血壓、糖尿病都有好 的控制。最近她的姑姑罹患乳癌,她最重要的乳癌危險因子是什麼? (A)家族中有乳癌 (B)高血壓 (C)糖尿病 (D)使用荷爾蒙療法
100 34 歲女性,G4P2A1,妊娠 36 週,其超音波檢查發現「羊水量正常」,其羊水指數(AFI, amniotic fluid index),何者最為可能? (A) AFI 15 cm (B) AFI 30 cm (C) AFI 35 cm (D) AFI 40 cm
申論題 (0)
相關試卷
114年 - 114 專技高考_法醫師:一般醫學#129090
114年 · #129090
113年 - 113 專技高考_法醫師:一般醫學#121756
113年 · #121756
112年 - 112 專技高考_法醫師:一般醫學#115982
112年 · #115982
111年 - 111 專技高考_法醫師:一般醫學#110002
111年 · #110002
110年 - 110 專技高考_法醫師:一般醫學#100622
110年 · #100622
109年 - 109 專技高考_法醫師:一般醫學#89474
109年 · #89474
108年 - 108 專技高考_法醫師:一般醫學#78359
108年 · #78359
107年 - 107 專技高考_法醫師:一般醫學#71174
107年 · #71174
106年 - 106 專技高考_法醫師:一般醫學#63994
106年 · #63994
105年 - 105 專技高考_法醫師:一般醫學#54565
105年 · #54565