54. 一位75歲女性糖尿病患,本次因發燒、咳黃痰住院,診斷為社區性肺炎,胸部X光片如下圖,下列何者是箭頭所指的變化?
5e5e0910a5572.jpg
(A) 肺空洞
(B) 肺實質
(C) 肺腫瘤
(D) 肺塌陷

答案:登入後查看
統計: A(53), B(1272), C(68), D(423), E(0) #2198673

詳解 (共 2 筆)

#3908326
肺空洞:黑色肺癌:圓形肺塌陷:氣管會偏移...
(共 28 字,隱藏中)
前往觀看
8
0
#5862448

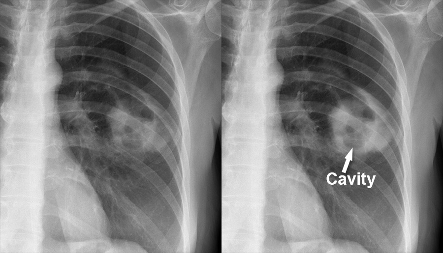
肺空洞:
cavity_lung_abscess_2.jpg?mtime=20210304211317&focal=none
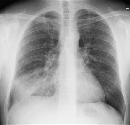
肺實質
0a1f5edc85aa58d5780928cb39b08659c1fc4d6d7c7dce2f8db1d63c7c737234_gallery.jpeg
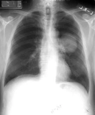
肺腫瘤

16810tn.jpg

肺塌陷

77_600.jpg

7
0