所屬科目:兒科專科醫師
6. 正常情況下男童最早出現的第二性徵是? (A)聲音低沉。 (B)睪丸長大(長軸>2.5cm or 體積≥4cc)。 (C)體毛增生,出現陰毛。 (D)陰莖增長>5cm。 (E)青春痘。
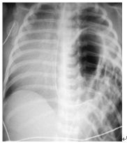
18. 一名沒有規則產檢的產婦產下呼吸窘迫的嬰兒,被轉送到醫院,胸部X光如下圖,請問關於這疾病的敘述何者正確? (A)Morgagni型態的占了大多數。 (B)此嬰兒的身體診察可能會出現有舟狀胸(scaphoid chest)。 (C)出生後早期就有症狀(6小時之內)是一個預後不佳的因子。 (D)產前就有懷疑診斷的嬰兒應該要以剖腹產的方式娩出。 (E)此疾病最佳的手術時機為出生24-48小時之間。
25. 一個10個月大男嬰神智不清,臉色蒼白,呼吸緩慢,心跳速度38/min,週邊脈博摸不到,臂動脈(brachial artery)脈博微弱,血壓為60/40 mmHg,微血管填充時間4秒。EKG monitor呈現下面波形: 在給予通暢呼吸道、100%氧氣、bag-mask換氣呼吸及建立IV途徑後,心律波形並未改變。下列何者為最適當之後續治療? (A)IV注射adenosine 0.1mg/kg並準備synchronized cardioversion。 (B)開始胸部按壓並給予IV注射epinephrine 0.1mg/kg(0.1mL/kg of 1:1000)。 (C)開始胸部按壓並給予IV注射epinephrine 0.01mg/kg(0.1mL/kg of 1:10000)。 (D)滴注normal saline 20mL/kg及IV注射epinephrine 0.1mg/kg(0.1mL/kg of 1:1000)。 (E)觀察即可。
49. 一個十天大的早產兒,出生後有胎便解出,但在第四天大時陸續開始出現餘奶,這兩天發現有腹脹嘔吐的現象,且嘔吐物為綠色膽汁性。目前體重較出生體重少了15%。腹部x光如圖。以下敘述,何者不正確? (A)此早產兒患了壞死性腸炎(Necrotizing enterocolitis, NEC)。 (B)應先置放鼻胃管引流,除可減輕腹壓,也可減少吸入性肺炎的發生。另外,必須給予足夠的水分以補充體液的流失。 (C)可以考慮使用Gastrografin診斷及治療。 (D)若確定有腸穿孔,應會診小兒外科醫師考慮手術治療。 (E)可能和cystic fibrosis的患者有相關。
50. 一個6個月大男嬰,無特殊過去史,突然連續數天排出暗紅色血便,病嬰無其他臨床症狀。身體診察無特殊發現。下圖為病嬰Tc-99m核醫影像,顯示有病灶存在,下列敘述有誤? (A)此病因可能導致intussusception。 (B)此病因可能導致appendicitis。 (C)此病因可能導致peritonitis。 (D)常發生在1至2歲幼童。 (E)用內科方式即可治療此症。