所屬科目:兒科專科醫師
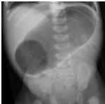
40. 新生兒出生2 星期開始食後噴射性嘔吐,1個月大求診, 這張影像的最佳診斷是? (A)Jejunal Atresia。 (B)Duodenal Atresia。 (C)Meconium Plug Syndrome。 (D)Hirschsprung Disease。 (E)Infantile Hypertrophic Pyloric Stenosis。
94. 下列三個家族系譜,分別最可能顯示的是哪一種遺傳型式的疾病?
(A)(a)autosomal recessive (b)X-linked recessive (c)autosomal dominant。 (B)(a)autosomal recessive (b)X-linked dominant (c)autosomal dominant。 (C)(a)autosomal recessive (b)autosomal dominant (c)X-linked recessive。 (D)(a)autosomal dominant (b)autosomal recessive (c)X-linked recessive。 (E)(a)autosomal dominant (b)autosomal recessive (c) autosomal recessive。
100. 一天大的足月產男嬰,出生時被發現有先天性畸形及心雜音。出生時體重為1.8公斤,身長為43公分,頭圍為31公分,肌肉張力強(hypertonia),其手腳之畸形如圖所示。請問下列何者為其最常見之合併心臟病?
(A)肺動脈狹窄(pulmonary stenosis)。 (B)大動脈轉位(transposition of great artery)。 (C)心室中膈缺損(ventricular septal defect)。 (D)主動脈弓窄縮(aortic coarctation)。 (E)法洛式四合症(tetralogy of Fallot)。