所屬科目:兒科專科醫師
40. 十四歲男生半夜胸痛,吸氣時加重,直立或俯臥時緩解,低沉或遠處心音、心動過速、脈壓窄、頸靜脈怒張和心包摩擦音,心電圖如下。最可能的診斷為何? (A)早期再極化early repolarization。 (B)心房異位性心動過速atrial ectopic tachycardia。 (C)急性心肌缺血acute myocardial ischemia。 (D)心室提早縮收ventricular premature contraction。 (E)急性心包炎acute pericarditis。
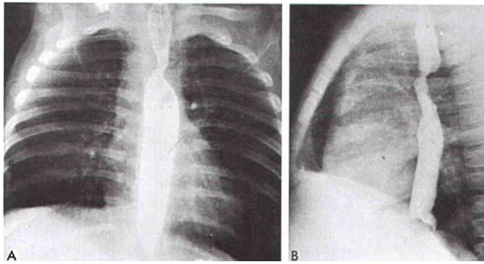
41. 一名5個月男嬰被發現呼吸困難合併喘鳴聲 (stridor) 及吞嚥困難。食道攝影如圖示。下列何者為最可能的心臟問題? (A)右主動脈弓併左開放性動脈導管 (right arch & left PDA)。 (B)肺動脈吊帶 (PA sling)。 (C)持續第5主動脈弓(persistent fifth arch)。 (D)雙主動脈弓(double aortic arch)。 (E)右主動脈弓併左鎖骨動脈異常源出。