所屬科目:心臟科
4. 病人82歲老太大因突漸嚴重性呼吸困難而住院,她三十年前就有心雜音可聞知,唯未曾進一步診療。從五年前開始就有運動難受,伴有運動性心悶,時在公保中心確認心臟擴大,在以後的歲月,症狀逐漸加劇,特別在運動或攀登樓梯中,休息即可改善。住院前三日,突然在凌晨發作呼吸困難。時,T/P/R:36.4/90/16; BP,110/62 mmHg;jugular vein engorgement;bilateral basal chest with crackles;heart,normal heart border,Gr.III systolic murmur over RUSB with carotid transmission,S2 diminished;otherwise unremarkable。 Chest X- ray & ECG如圖4-1及圖4-2所示。 請問病人最可能的診斷是: (A) 僧帽瓣狹窄(Mitral stenosis) (B) 僧帽瓣閉鎖不全(Mitral regurgitation) (C) 主動脈瓣狹窄(Aortic stenosis) (D) 主動脈瓣閉鎖不全(Aortic regurgitation) (E) 正常心臟(圖4-1)
(圖4-2)
8. 病人是28歲家庭主婦,曾有孕期高血壓及流產兩次。住院前有一個多月開始呼吸困難,其後逐漸加重且伴有食慾不振,偶有端立性呼吸困難,咳嗽,終至雙腳水腫及減少尿量。理學檢查:血壓,98/54 mmHg;心跳,131/min;體溫,37.3度;呼吸36/min;急病狀,貧血眼瞼;雙側肺部有濕囉聲;心臟擴大,有Gr.III/VI pansystolic murmur在apex及Gr.II/IV early diastolic murmur over right upper sternal border,有S3可聞;腹部未有肝脾腫大;雙腳水腫,皮膚冷汗,有紫斑及出血痕斑,如圖8-1及圖8-2所示。在急性心內膜炎(IE)之臆診下,乃在三小時內分別在左右手探血細菌培養都呈現:viridans streptococci。請問本病人依據Duke Criteria診斷IE的根據是: (A) 2 major criteria (B) 1 major criterion & 3 minor criteria (C) 1 major criterion & 2 minor criteria (D) 1 major criterion & 1 minor criterion (E) 2 major criteria & 2 minor criteria
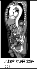
9. 男性病人,72歲,因尖銳性上背部疼痛突然發作,同時伴有急促呼吸及眩暈,乃往急診求治。時,血壓149/91 mmHg;心跳,70/min; RR, 20/min;其他理學檢查並無任何異常。病人每天抽煙一包,已有五十多年。Chest X-ray、ECG及CT,如圖9-1、圖9-2、圖9-3A及圖9-3B後,及其初步處置,後轉送加護病房途中,又突發後背疼,同時雙腳麻及疼痛,並呈現雙腳發紺,乃急照另次CT如圖9-4所示。請問下列何者決策不恰當? (A) 控制心收縮血壓在100-120 mmHg及心跳60-80/min (B) 靜脈注射Labetalol 30 mg/min (C) 口服Propranolol 20 mg tid po (D)口服Aspirin 100 mg qd 及Clopidogrel 75 mg qd (E) 外科會診,緊急手術
10. 病人62歲男性,於9月4月3:30AM因突發性心胸前區疼痛一個小時而求救急診,時伴有冷汗、臉色蒼白。時,血壓,135/82;心跳,76/min;呼吸,18/min;體溫,35.9度;理學檢查並無重大異常。病人有高脂血病史,Statin治療中。其胸部X光、心電圖及心肌酵素檢查,如圖10-1、圖10-2、圖10-3所示。請問本病人之冠狀動脈阻塞病變最可能的位置是: (A) 左主幹 (B) 左前下行枝 (C) 左迴旋枝 (D) 右冠脈枝 (E) 正常冠狀動脈
11. 病人82歲男性,主訴有寒顫(chills)及漸進性呼吸困難的兩天病程,同時伴有咖啡色嘔吐物。他有高血壓、左迴旋枝支架置放之冠心病及腦中風而左半邊麻痺的多年病史。血壓 125/64;心跳 100/min;體溫 38.6度;呼吸 24/min;心尖部有Gr 4/6 systolic murmur;肺部有濕性濁音,雙腳水腫;其他尚無重大異常。實驗室:WBC 9610/mm3,segment neutrophils 88%;Hb 10.0 g/dL;C-Reactive protein 1.69 ng/mL;CK 221 ng/mL; CK-MB 16 U/L;Troponin I 1.36 μg/L;尿檢有蛋自尿(++),大便潛血,(++);其心電圖及胸部X光如圖11-1及圖11-2所示。三、八及十二小時後之CK及CK-MB,分別為1340、1462、1422及40、44、38。且在翌日追蹤胸部X光如圖11-3所示。隨即 (1).逕行血液及痰細菌培養及啟用Unasyn 1g q8h及azithromycin 500 mg qd (2)輸2u packed cell RBC (3).靜脈注射Furosemide 20 mg (4)使用Clopidogrel 150 mg & then 75 mg qd 及Aspirin 80 mg qd (5)Heparin25,000 u/day (6)會診心臟科 請問下列哪一組的處置較恰當? (A) (1)+(2)+(5) (B) (1)+(3)+(6) (C) (1)+(4)+(6) (D) (2)+(5)+(6) (E) (3+(4)+(5)