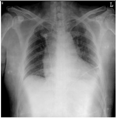
5. 病人男性59歲於午夜24時,突因胸悶並有牙床緊疼,乃直往急診部求診,時病人之T/P/R = 35.1/51/18, BP 137/74 mmHg; 理學檢查,未見任何異常。病史追尋,本病人曾經醫師確定高血壓、高脂血、糖尿病及攝護腺肥大,唯僅只服用Bisoprolol 2.5 mg/day。經緊急檢查:其心電圖及胸部X光顯示如圖:生化檢查: CK,96 U/L;CK-MB,20 U/L;TnI <0.0012 ng/ml;Sugar 252 mg/dL; Na,137 mmol/L; K, 3.7 mmol/L; TG,182 mg/dL and Total cholesterol, 222 mg/dL ; 血液檢查: Hb,13.9 g/dl; Platelet, 203 K/uL; WBC,9.45 K/uL; Cre,1.3 mg/dL 請問本病人最可能的急診診斷是:
(A) Printzmetal's angina (B) Aortic dissection (C) Acute anterior myocardial infarction (D) Hypertension (E) Acute periodontitis disease