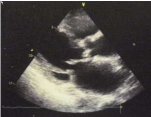
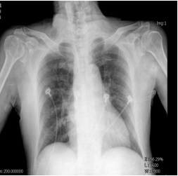
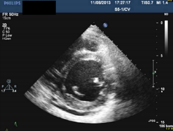
3. 82歲老婦人到院主訴五天來有日趨嚴重的呼吸困難。病史顯示30年前就有醫師告知心臟雜音,因無症狀,未曾有任何治療。近五年來運動耐受逐漸不佳,且偶有突發性悸動及心絞痛,特別在步行樓梯間更加惡化。住院當日清晨3點突然重度呼吸困難,因而急診住院。理學檢查:血壓110/62 mmHg;心跳90/分;頸靜脈怒張。心臟大小正常,但在右上胸骨緣及心尖部有Gr III/VI systolic murmur, S2減輕:其他所見尚無異常。其胸部X光、心臟超音波及心電圖如圖。WBC,5.2 k/micro L;AST,21U/L;CK,111U/L;CK-MB,14.6U/L;Troponin I,0.06 ng/ml。請問下列何項處置最恰當? (A) Percutaneous coronary intervention (B) Aortic valve replacement (C) Nitroglycerin IV infusion at the rate of 15mcg/min (D) Titrate PO carvedilol starting from 3.125 mg and reassess in 3 months (E) Treating with IV digoxin 0.125mg in conjunction with IV bolus Furosemide 20mg and then 20 mg BID
心電圖
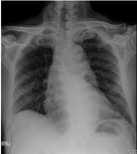
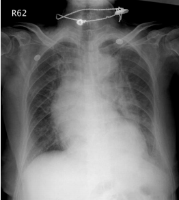
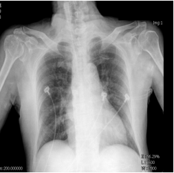
胸部 X 光
超音波
Estimated aortic valve area = 0.37 cm2 With the peak Ao flow at 580 cm/sec ; the peak pressure gradient at 134mmHg and the LVEF (56%)