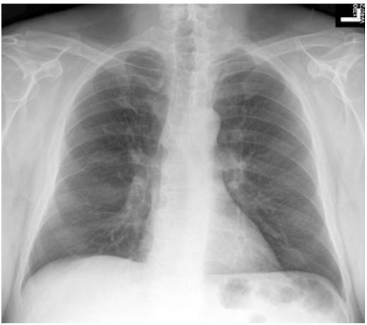
15. 50歲男性,患有糖尿病,胰臟癌及恐慌症,因突發性呼吸困難至急診求診。病患並無明顯胸痛或冒冷汗,意識清楚但情緒緊張,理學檢查發現體溫36.5℃,血壓 145/95 mmHg,脈博112/min節律規則, 呼吸 24/min快且深;四肢冰冷有輕微發紺現象。頸靜脈壓12 cm H2O,無明顯心雜音。呼吸音雙側正常,腹部平坦無壓痛,四肢活動正常亦無水腫。護理人員給予脈衝血氧定量計 (pulse oximeter) 偵測發現SpO2 84%,急診醫師隨即指示使用Venturi mask O2 35%。約半小時後,病人自覺症狀略為減緩,此時之動脈氣體分析: PH 7.50, PaO2 70mmHg, PaCO2 25 mmHg, HCO3 23 mEq/L, one touch blood glucose 320 mg/dl. EKG除竇性頻脈外其餘正常,胸部Ⅹ光如附圖,下列診斷何者最有可能? (A) Acute pulmonary embolism (B) Panic disorder related hyperventilation syndrome (C) Diabetic ketoacidosis (D) Endobronchial foreign body (E) Bronchial asthma